Es habitual pacientes que consultan por dolor testicular. La inmensa mayoría de los casos son pacientes cuya exploración es normal, o tiene que ver con algún grado de varicocele. En el caso de hoy el paciente consultaba por dolor testicular derecho. La exploración por parte del médico fue normal, se le pidió ecografía testicular para descartar patología.
El carcinoma testicular suele darse en pacientes jóvenes y suelen ser de células germinales.
En el protocolo de exploración testicular te contaba cómo había que hacerlo y la semiología normal habitual.
Tenemos que tener claro que el testículo debe verse hiperecogénico y homogéneo y partiendo de esta premisa, realizar los cortes necesarios estudiando la anatomía testicular, incluyendo siempre, testes, epidídimo, cubierta y paquete vascular, es decir, dentro de la bolsa escrotal no nos dejamos nada sin ver.
Ojo a la presencia de microlitiasis testiculares, que me ocuparé de ellas en próximos posts, así como la criptorquidia, infertilidad y los antecedentes del paciente, que normalmente pueden están en relación con patología tumoral maligna en el futuro.
Ahora debemos saber que aquello que afecte al testículo, como las masas malignas, normalmente cambiarán el aspecto homogéneo del teste, es decir, la ecoarquitectura. Estas lesiones suelen ser hipoecogénicas y por tanto, enmarcado en una hiperecogenicidad global, la lesión será muy estudiable con la eco.
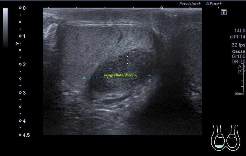
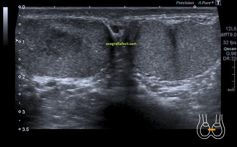
La mayoría de las exploraciones están dentro de la normalidad, este aspecto:

En algunas ocasiones podemos encontrarnos esto:

Compara la imagen 1 y la 2, grábala en tu memoria fotográfica. Ambas son unas imágenes en corte longitudinal del teste derecho de dos pacientes distintos.
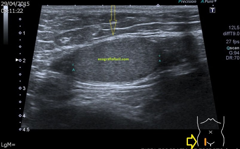
Una vez que hemos encontrado la lesión, es momento de estudiarla detenidamente, su aspecto, tamaño bordes y vascularización son vitales para que la radióloga pueda efectuar un informe.


La imagen 3 y 4 son parte estudian en eje largo y corto las medidas de la lesión en los tres ejes del espacio, en ocasiones, podemos tener más de una lesión. Siempre super atentos si las lesiones son intra o extratesticulares.

En la imagen 5 podemos ver afectación testícular de las mismas características ecográficas, pero existen varios focos de lesión. imágenes 4 y 5 son pacientes distintos.
El aspecto de esta lesión, su semiología ya la has visto en estos dos casos diferentes, pero tienen en común, de modo general, hipoecogenicidad, heterogenicidad, bordes irregulares, con aspecto polilobulado y de tamaño y número variable.
Ahora queda ver cómo es su vascularización.

La vascularización no aporta demasiado, no suele ser concluyente, excepto en pacientes infantes, donde las lesiones pueden ser muy sutiles, aquí sí. Puedes ver en la imagen 6 que la vascularización afecta de modo similar tanto a la parte afectada por el tumor testicular, tanto como en la parte sana.


En el estudio comparativo, obligatorio en este protocolo, salvo cirugías, podemos comparar ambos testículos, es rara la afectación de ambos, así que podemos comparar normalidad y patología en el mismo estudio.
Siempre que veamos lesiones debemos avisar a la radióloga responsable del informe.
Hasta aquí acabas de leer el post 190 que tiene que ver con la patología maligna de testículo, que es el objetivo principal, descartarla, quiero decir…pero tenemos otras semiologías que debemos conocer para poder reconocerlas en el próximo estudio testicular que lleves a cabo y son estas, las más importantes que en mi opinión debes saber.
Empezamos:
Quistes: Las lesiones quísticas no son uniformemente benignas debido a que los tumores testiculares pueden sufrir
degeneración quística a causa de una hemorragía o una necrosis, pero habitualmente, los quistes (flecha roja), anecoicos, redondos, en número indeterminado y en la cabeza epididimaria son muy habituales y benignos (imagen 9), su tamaño también es variable.
Pueden tener otras localizaciones, como la túnica albugínea o los quistes de cordón.

Microlitiasis: La ecografía muestra pequeños focos hiperecogénicos sin sombra. Se ha demostrado la incidencia
de neoplasia testicular primaria y microlitiasis testicular. Las microlitiasis aisladas menores de 5 calcificaciones por testículo es la afectación más frecuente probablemente benigna, relacionada con calcificaciones inflamatorias, granulomatosas o vasculares, puedes verlas en la imagen 10 en número incontable, por tanto deberá el radiólogo decidir su nivel de sospecha.

Hidrocele: Es la acumulación anormal de líquido seroso, anecoico (imagen 11) y en volumen variable, a veces septado, hipoecogénico, siendo la causa más frecuente de hinchazón testicular indoloro. Frecuentes en pacientes mayores.

Criptorquidia: El testículo no descendido es una de las anomalías genitourinarias más comunes en niños. La mayoría de los testículos no descendidos son palpables y se localizan en el canal inguinal. Su aspecto ecogénico es normal, salvo si son vistos en la edad adulta, que pueden ser más pequeños y de ecogenicidad alterada. Objetivamente no van a estar en las bolsas y los vamos a encontrar donde marca el picto de la imagen 12. En ocasiones necesitan tratamiento quirúrgico. La flecha amarilla fina y alargada te marca la profundidad anómala debido a la piel y el tejido celular subcutáneo típico de la región inguinal, observa como cambia esta imagen respecto de cualquiera de las anteriores con los testes en sus bolsas.

Torsión testicular: Se produce cuando los testículos y el cordón espermático giran una o más veces, obstruyendo el flujo sanguíneo. El diagnóstico depende de la capacidad de confirmar la ausencia de flujo sanguíneo en el testículo doloroso. El testículo está aumentado de tamaño e hipoecogénico, con una imagen de relativa heteoecogenicidad, por el edema y presenta una orientación anormal dentro del escroto. Puede verse afectado todo e teste o una porción, imagen 13 y 14 respectivamente.


Varicocele: Estrella invitada de muchas exploraciones de escroto que llegan a la sala. Por eso lo he dejado para el final. Es la colección de venas agrandadas, tortuosas y anormalmente dilatadas.
En la imagen 15 puedes ver una imagen bastante sugerente de varicocele, en esos vasos anecoicos e hipocogénicos podemos encontrarnos un movimiento lento de la circulación sanguínea visible sin necesidad de doppler en relajación, pero que cambia su aspecto con el modo doppler y/o modo angio y con maniobra de valsalva como ves en la imagen 16. Hay diferentes grados, nosotros debemos documentar todo de manera correcta para que la radióloga pueda evaluar y definir el nivel o grado de dicho varicocele.


Sé que ahora te disfrutan en otras latitudes donde iluminas otras vidas, pero yo te echo de menos cada día, necesito sentir tu calor de verano, silencioso, casi abrasador, aunque te sepa inalcanzable e intocable.












































