37.Protocolo de Tiroides.Las imágenes.

Bien, hemos visto las consideraciones básicas del protocolo del Tiroides, como se hacen los cortes y hoy vamos a ver qué fotos necesitas sacar en un protocolo de Tiroides normal para poder ser presentado a un radiólogo para que realice un informe. Buscaremos también en esta primera parte del estudio la presencia de las Paratiroides.

Well, we have seen the basic considerations of the Thyroid protocol, how the cuts are made and today we are going to see what photos you need to take in a normal thyroid protocol to be presented to a radiologist to make a report. We will also look for the presence of parathyroids in this first part of the study.
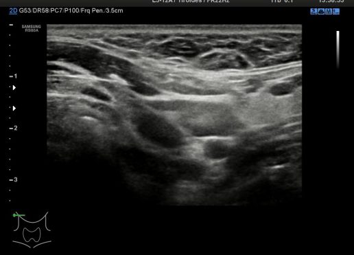
1. Corte axial ambos lóbulos.

En esta imagen 1 buscamos una visualización global de la glándula y nos interesa el aspecto ecográfico de ambos lóbulos.Junto al lóbulo izquierdo observamos la porción visible del esófago.

Colocaremos el doppler color para comprobar vascularización normal de la glándula y sacaremos foto si lo consideramos necesario. (recomendado).

In this image 1 we look for a global visualization of the gland and we are interested in the echographic aspect of both lobes. Next to the left lobe we observe the visible portion of the esophagus. We will place the color Doppler to check normal vascularization of the gland and we will take a photo if we consider it necessary. (recommended).
Comprobación doppler
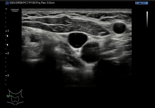
2. Medidas LD

Imagen 2 para las medidas AP y RL (Antero-Posterior y Derecha Izquierda) del Lóbulo tiroideo Derecho.Observamos dos vasos, Carótida Derecha y Yugular, interna y externa respectivamente.

Image 2 for the AP and RL measurements (Anteroposterior and Right Left) of the Right Thyroid Lobe. We observe two vessels, Right Carotid and Jugular, internal and external respectively
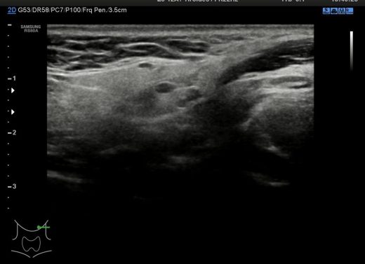
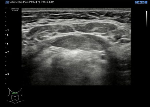
3. Medida Istmo

Imagen 3 donde observamos el Istmo y hacemos medida para evaluar un posible aumento de la glándula, no debe superar esta medida en AP los 0,3 cms.

Image 3 where we observe the Isthmus and measure to evaluate a possible increase in the gland, this measure should not exceed 0.3 cm in AP.
4. Medida LI

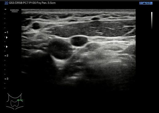
Imagen 4 para las medidas AP y RL (Antero-Posterior y Derecha Izquierda) del Lóbulo tiroideo Izquierdo.Observamos dos vasos, Carótida Derecha y Yugular, interna y externa respectivamente el Esófago en forma de diana en posición medial junto a la tráquea.

Image 4 for AP and RL measurements (Antero-Posterior and Left Right) of the Left Thyroid Lobe.We observe two vessels, Right and Jugular Carotid, internal and external, respectively, the esophagus in the form of a bullseye in medial position next to the trachea.
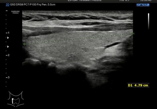
5. Medida LD Longitudinal

La 5 es la foto correspondiente a la medida en Longitudinal del LD. Es vital sacar todo el Tiroides en longitudinal para poder medirlo en toda su extensión en este corte,tanto LD como LI.(Luz Noemí).

The 5 is the photo corresponding to the measure in Longitudinal of the LD. It is vital to remove the entire Thyroid in longitudinal to be able to measure it in its entirety in this section, both LD and LI
6. Istmo Longitudinal

La 6 es la foto correspondiente a la vista en Longitudinal del Istmo.

7. Medida LI Longitudinal

La 7 es la foto correspondiente a la medida en Longitudinal del LI.

En las siguientes imágenes vamos a ver la segunda parte del estudio del cuello que no es el Tiroides y que es de obligatorio repaso como decíamos en el Post 35 donde hablábamos de las consideraciones básicas a tener en cuenta y detallábamos que otras estructuras se incluían en el estudio del Protocolo de Tiroides.

Para ello vamos a dividir el cuello de la/el paciente que estemos estudiando en 8 regiones así:

The 7 is the photo corresponding to the measure in LI longitudinal. In the following images we will see the second part of the study of the neck that is not the thyroid and that is mandatory review as we said in the Post 35 where we talked about the basic considerations to take into account and detailed that other structures were included in the study of the Thyroid Protocol. To do this we are going to divide the neck of the patient we are studying in 8 regions like this:
Regiones del cuello

Cada región del cuello tiene que tener una foto en el estudio y que puedes ver a continuación, el objeto de esta división es la búsqueda de ganglios locorregionales, así como otros hallazgos extratiroideos que pudieran ser de interés, calcificaciones carotídeas, Tiroides ectópico, incluso las glándulas submaxilares (espacio 1 y 6 pegados al 4) y parótidas (espacio 1 y 6, debajo del pabellón auditivo u oreja).

Con esta división nos garantizamos que repasamos la parte lateral del cuello (1,2,3,6,7,8) y la parte central – superior al Tiroides (4) donde encontramos el Conducto del Tirogloso. También el espacio número 5 o escotadura supraesternal donde pueden ocultarse ganglios o restos del Timo.

Los espacios 1,2,3,6,7,8 siguen la longitud del Esternocleidomastoideo y todas las cadenas ganglionares del cuello.

Debemos permanecer muy atentos a la situación del pictograma y como se corresponde con los espacios del cuello de la foto superior.

En condiciones normales no tenemos que encontrarnos hallazgos patológicos, pero es habitual ver ganglios que no deben sobrepasar el centímetro de diámetro en eje corto para ser considerados normales, todos los hallazgos no normales deben ser registrados para posterior evaluación del Radiólogo/a.

Each region of the neck has to have a photo in the study and you can see below, the object of this division is the search for locoregional ganglia, as well as other extrathyroidal findings that might be of interest, carotid calcifications, ectopic thyroid, even the submaxillary glands (space 1 and 6 attached to 4) and parotid glands (space 1 and 6, below the auditory pinna or ear).
With this division we guarantee that we review the lateral part of the neck (1,2,3,6,7,8) and the central part – superior to the Thyroid (4) where we find the Tirogloso Conduit. Also the space number 5 or suprasternal notch where ganglia or remains of the Thymus can be hidden. The spaces 1,2,3,6,7,8 follow the length of the Esternocleidomastoideo and all the ganglionic chains of the neck. We must remain very attentive to the situation of the pictogram and how it corresponds to the spaces in the neck of the upper photo. Under normal conditions we do not have to find pathological findings, but it is usual to see nodes that should not exceed one centimeter in diameter on a short axis to be considered normal, all non-normal findings should be recorded for further evaluation by the radiologist.
8. Región 1 o Infrauricular (igual que la región 6)
9. Región 2
10. Región 3 o supraclavicular (igual que la región 8)
11. Región 4 Conducto del Tirogloso
12. Región 5
13. Región 6

 

14. Región 7
15. Región 8

Estas son las fotos del protocolo estándar, normal, es decir, estas son las imágenes mínimas que debemos sacar en un protocolo de Tiroides normal, lo que se considere patológico o deba ser estudiado se registrará a posteriori.

These are the photos of the standard protocol, normal, that is, these are the minimum images that we should take in a normal thyroid protocol, what is considered pathological or should be studied will be recorded a posteriori.

Muchas gracias Vito…

4 comentarios sobre “37.Protocolo de Tiroides.Las imágenes.

Deja un comentario