Es muy habitual ver en la sala pacientes con tiroidectomía. Son pacientes que han sido diagnosticados de algún tipo de tumor de la glándula y deben ser intervenidos para extirpar el tumor. La tiroidectomía puede ser parcial o total, parcial suele verse en pacientes con bocio multinodular, la total en pacientes con cáncer de tiroides, pero ¿qué pasa cuando hacemos una eco de un paciente con tiroidectomía?
Sabemos que cuando vemos un paciente con su tiroides normal, vemos esto:

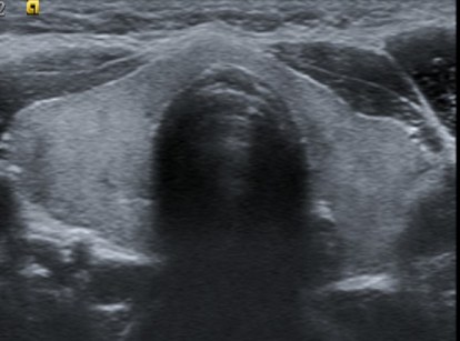
cuando hacemos un tiroidectomizado, vemos esto:

Quiero que veas las dos imágenes y compares.
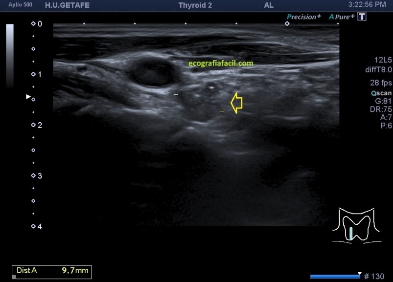
Cuando realizamos este estudio, lo hacemos a modo de control según protocolos de los especialistas de endocrinología ya sea por simple control o por sospecha de recidivas en sus despitajes con analíticas y otras pruebas. Me quiero parar en este último punto, ya que hoy lo que hoy quiero mostrarte el caso de una mujer que ronda los 40 años y a la que le vi esto en la eco tiroidea solicitada por su especialista, mira (flecha amarilla):

Siempre que encontramos ocupación de la zona quirúrgica tenemos dos posibilidades generalmente, una que la ocupación la produzca tejido tiroideo, normal, lo que los radiólogos denominan, restos tiroideos, es decir, tejido tiroideo normal regenerado. Segunda opción, que el tejido que haya crecido sea recidiva de un tumor previamente extirpado.
La flecha amarilla señala un hallazgo anormal, una vez localizado, protocolo habitual con medidas, doppler, zoom si fuera necesario, documentando bien todo.
El aspecto semiológico, la analítica y otras pruebas que no vienen al caso comentar, junto con la ecografía confirmarán la recidiva y por tanto podrá pautarse tratamiento.
Lo más importante, saber cómo es la «normalidad» de una región tiroidectomizada, te la dejo en las dos siguientes imágenes, veremos una zona hiperecogénica correspondiente a la grasa que ocupa el espacio que ya no ocupa el tiroides. Cuando el paciente es diagnosticado de ca de tiroides suele realizarse tiroidectomía total.


Una vez conocida la normalidad relativa de esta arquitectura anatómica volvemos al hallazgo, que como puedes comprobar tiene aspecto nodular, hipoecogénico, de bordes mal definidos y eventualmente, como es el caso de la imagen siguiente (corte longitudinal), tiene microcalcificaciones, semiología ésta de altísimo grado de sospecha.
La semiología del tejido normal que puede crecer en el lecho quirúrgico, lo denominado anteriormente como «restos tiroideos» es una ecoarquitectura mucho más amable y más parecida al tejido tiroideo normal, hiperecogénico, bordes respetados aunque irregular, homogéneo…

Siempre repasamos muy cuidadosamente la región tiroidectomizada, pero por supuesto, también revisamos concienzudamente las regiones del cuello donde poder encontrar ganglios afectado o con metástasis, mucho cuidado siempre en estas exploraciones, siempre alerta ante cualquier pequeño cambio y si hay dudas siempre consultar a la radióloga responsable para que lo tenga en cuenta, revisar las imágenes juntas y tener un feed-back que nos haga crecer.
En este caso los ganglios locorregionales eran rigurosamente normales, es posible que también se hubiesen retirado ganglios afectados, con lo que el tejido pueda verse afectado por cambios postquirúrgicos en la zona de extirpación ganglionar sospechosa…Dedicaré otro post a este tipo de afectaciones ganglionares para mostrarte diferentes tipos de aspectos semiológicos y actitudes que los clínicos pueden tomar para concluir un diagnóstico.
Sorprendentemente para mí, en este caso la actitud frente a esta recidiva fue la de vigilancia sin cirugía, es anecdótico, pero quería contártelo por que este caso me enseñó muchas cosas.
150. Índice del Blog.
Me encanta verte crecer…solo quiero «que seas feliz».











