324. Hepatopatía crónica por ecografía.

A veces es un hallazgo casual. Descubrir cambios en la ecogenicidad hepática es una semiología que tenemos que tener muy muy claro, para ello lo primero que tenemos que hacer es identificar correctamente una semiología normal hepática que en muy pocas palabras tiene que ser así:

  1. Parénquima hepático homogéneo
  2. Bordes lisos.

Siempre digo que estudiar el hígado es una de las partes más difíciles de la ecografía abdominal, percibir pequeños cambios en el parénquima a veces no es fácil. Por eso estas dos indicaciones de arriba te van a ayudar. Es interesante que posicionemos al paciente en decúbito lateral izquierdo para estudiar el borde derecho hepático que a menudo puede quedar oculto en decúbito supino.

La imagen que debes de conseguir en una imagen normal del hígado es el en lóbulo hepático derecho y sería esta:

Por tanto y atendiendo a la semiología normal, el hígado afectado por una hepatopatía crónica tendrá una ecogenicidad alterada y en nuestro documento de información al radiólogo deberemos reflejar dos hallazgos principales:

  1. Heterogeneidad parenquimatosa
  2. Bordes o contorno hepático lobulado

Quizá el punto número dos sea el más definitivo, por eso siempre es muy importante perder el tiempo en «pintar» muy bien el hígado pasando nuestra brocha por todos lo bordes, para que el trabajo sea perfecto y todos los detalles sean explorados.

La imagen típica de hepatopatía crónica sería esta:

Puedes observar la superficie hepática en forma de olas y la heteroecogenicidad del hígado..

Compara la dos imágenes y percibe los cambios, así podrás reconocer siempre estos cambios.

Es importante por último, preguntar al paciente si tiene hábitos enólicos, es nos dará pista sobre estos hallazgos y si es un hallazgo casual, obviamente debe ser estudiado.

Buen domingo¡

Nivel 1 ede Ecografía para TSIDs de Setss. Dirige María Leal Gondra y ecografíafacil.com

Inscripciones:

https://formaciontss.es/producto/curso-teorico-practico-de-ecografia-nivel-i-pontevedra-galicia/

317. El tendón. Tipos y patología.

En Eco Msk uno de los objetivos principales de estudio es el tendón y su patología, lo primero es entender bien el tipo de tendón que vamos a estudiar, para posteriormente comprender bien que le está pasando y por la razón que puede estar sufriendo y es que no es igual un tendón de anclaje o de deslizamiento. Me explico:

Tendones de Anclaje:

  • Generalmente rectos, grandes y fuertes
  • Recubiertos de paratendón vascularizado combinado con epitendón para formar el peritendón.
  • Aquiles, Rotuliano…

Tendones de Deslizamiento:

  • Atraviensan articulaciones sinoviales
  • Envueltos en una vaina de membrana sinovial
  • El mesotendón que conecta la vaina con el tendón está penetrado por vasos que nutren al tendón
  • Flexores de los dedos…

Patología habitual:

Luxación e inestabilidad:

  • Los tendones se mantienen en su posición por retináculos, poleas o retináculos especiales y los ligamentos.
  • Esta patología requiere un estudio en eje corte y estudio dinámico.
  • Bíceps, Perneos, Flexores y Extensores son los más habituales que sufran este tipo de patología.

Tendinopatías y desgarros parciales:

  • Perdida focal o difusa de la ecoestructura tendinosa.
  • Engrosamiento del tendón aun manteniendo su eoestructura (comparar siempre el lado contralateral)
  • Angiogénesis en pacientes sintomáticos.
  • Heterogeneidad como alto indicador de desgarros focales y marcador de mal pronóstico.
  • Las calcificaciones no están siempre presentes y si lo están, aparecen en zonas críticas.

Desgarros:

  • Parciales
  • De espesor total
  • Se usan grados por ejemplo en desgarros de tendones de alto grado de sufrimiento, por ejemplo en el Tendón del Supraespinoso o diferentes clasificaciones, lo explicaré más adelante.

Peritendinosis:

  • Detectamos con ecografía inflamación del paratendón vascularizado que rodea  a los de anclaje, principalmente al Aquiles y al tendón rotuliano.
  • Podemos hacer seguimiento del proceso inflamatorio.
  • Hallazgos de hipoecogenicidad en anillo en eje corto, típico del paratendón.

Tenosinovitis:

  • Halo concéntrico peritendón de aspecto anecoico o hipoecogénico.
  • Con la progresión inflamatoria el engrosamiento es mayor
  • A futuro, la cronificación de la lesión provoca atrapamiento tendinoso o falta de deslizamiento 
  • De Quervain, Tenosinovitis estenosantes de los flexores de los dedos…

Entensopatías:

  • Termino referido a la inflamación que no solo afecta al tendón, también a la inserción ligamentosa, cápsula articular y a la aponeurosis.
  • Aumentos de grosor
  • Heteroecogenicidad
  • Calcios de inserción
  • Áreas hipoecogénicas focales
  • Erosiones en al cortical del hueso
  • Osgood-Schlatter, Haglund

Gangliones:

  • Tumoraciones muy frecuentes.
  • Suelen darse en la vaina tendinosa
  • Quistes de polea

Tumores de Células gigantes:

  • Se originan en la vaina tendinosa
  • Localmente agresivos
  • Afecta asiduamente a los tres primeros dedos de la mano y a los dos primeros de los pies.
  • Mas hipoecogénica homogénea no depresible y bien definida.



María, yo y el resto de EcoAdictos te invitamos a inscribirte  al I Congreso Internacional de Ecografía para TSID de Octubre que organiza COPTESSCV con EcoAdictos.

Ya tenemos el Programa preliminar!!!

https://congresoecografia.coptesscv.com/programa-congreso/

Se pueden presentar trabajos hasta el 15-08-2022.

https://congresoecografia.coptesscv.com/normas-de-comunicaciones/

Información para realizar la inscripción

https://congresoecografia.coptesscv.com/inscripciones/

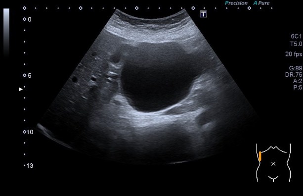
315. Clasificación Bosniak

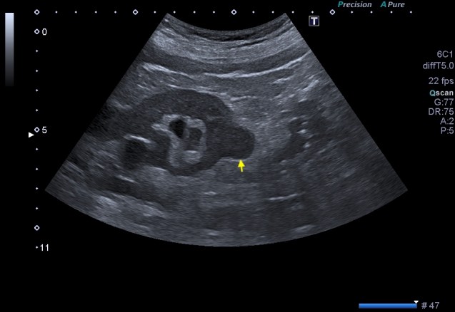
Vemos con muchísima asiduidad, es sin duda una de las figuras patológicas que más vemos en la exploración del Abdomen, los quistes renales.

Por definición práctica, el quiste renal simple es una estructura ecogénicamente anecoica, de bordes lisos y tersos, que aparecen en un número indeterminado y que constituyen la patología renal más recurrente, estos pueden ser, corticales o parapiélicos

El quiste parapiélico es un tipo extrarenal de quiste situado en el hilio del riñón y en íntimo contacto con la superficie externa de la pelvis, el cortical pertenece a la corteza renal.

Los quistes aparecen en un 30% de la población y en su inmensa mayoría no necesitan tratamiento ni seguimiento si son quistes simples, pero ¿qué pasa con aquellos quistes renales complejos?

Los quistes renales complejos deben de tener alguna característica que los diferencie de los simples, a saber:

  1. Septos
  2. Calcificaciones
  3. Captación vascular anómala en el Doppler

Estas características los hacen susceptibles de ser vigilados.

El riesgo de estos quistes es que alguno de ellos pudiera desarrollar un cancer renal, por eso su vigilancia activa, para ello existe una clasificación que los cataloga, evalúa y cataloga en una tabla para seguimiento de sospecha, la clasificación Bosniak.

Esta clasificación funciona así, te enseño la Clasificación Bosniak:

Categoría 1: Es un quiste simple benigno.

  1. Pared delgada sin tabiques, calcificaciones, o componentes sólidos.
  2. Tiene la densidad del agua (anecóico)
  3. No realza con material de contraste ecográfico.

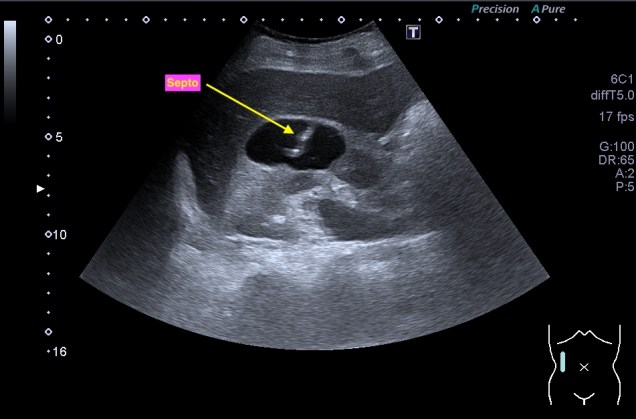
Categoría 2:Es un quiste simple benigno.

  1. Tabiques con pared delgada, menor de 1mm.
  2. Calcificaciones finas no medibles
  3. Aquellos quistes hiperedensos (CT) que son menores de 3cms que no realzan con CIV yodado.
  4. No precisan ni tratamiento ni seguimiento.

Quiste con septo fino en su interior que en la imagen siguiente comparte espacio con otro septo más grueso que lo clasifica en un nivel superior.

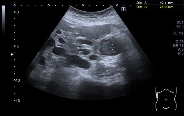
Categoría 2F: Es un quiste simple benigno en un 95% de los casos.

  1. Mayor número de septos.
  2. Mínimo engrosamiento del septo o calcios groseros o nodulares.
  3. Mayores de 3cm.
  4. Controles cada 6 meses.

Es desde esta clasificación que en el informe radiológicos se habla del quiste renal como una entidad sospechosa de malignidad.

Categoría 3: Masas indeterminadas, sospecha moderada de malignidad en torno al 50%:

  1. Engrosamientos de algún tipo sobre todo en septos intraquísticos
  2. Realce medible con contraste en TC y RMN.
  3. Son malignos entre 40 y 60 de cada 100.
  4. El resto de los benignos son hemorrágicos o infectados.
  5. Necesitan cirugía.

En el contexto de una poliquistosis renal, algunos elementos pueden cambiar de aspecto, la vigilancia de estos es obligada y la dificultad cuando existen tantos se hace evidente.

Categoría 4: Malignas

  1. Con las características de la categoría anterior, pero con captación de un componente sólido intraquístico o realce periférico.
  2. Neoplasias quísticas.
  3. Cirugía y estadificación.

El aspecto quístico complejo, y su sospecha de ser hemorrágico o infeccioso se elimina con la captación en anillo de la unidad quística a estudio, el realce periférico lo determina como una tumor maligno.



Tenía muchas ganas de escribir este post, los últimos meses han sido increíbles, este año ha sido irrepetible, hoy es el primer día de calma, en muchos cientos de días, hoy me puedo sentar a escribir y antes de iniciar una serie de post que van a cambiar ligeramente el derrotero de este post, más centrado en Eco MSK y el Doppler, en el que eventualmente le dedicaremos espacio al la general, quería dejar escrito esto, os lo debía, me lo debía.

Ha sido un año irrepetible, inolvidable, uno de los mejores años de mi vida, he crecido profesionalmente y personalmente. He estado flanqueado por un grupo humano de profesores impresionantes a los que quiero mucho, de profesionales que además quiero como amigos, de los que aprendo cada día y a los que nos queda algo muy grande por disfrutar.

Gracias a Setss, que me ha ayudado en todo, creyendo en nosotros sin preguntar, mis gracias eternas. Afíliate, merece la pena.

Gracias por el soporte, sin el que no hubiéramos podido hacer la formación de TSIDs en Sevilla, Canarias, León, Villalba, Oviedo, Canarias otra vez y Estepona, de verdad, impagable, nuestro agradecimiento sincero a Canon Medical Sistem

Y digo «nuestro» porque esto ha sido un trabajo de equipo junto a quien ha vivido esto a mi lado, y a la que debo tanto, gracias a María Leal por haber estado en las buenas, y en la malas que también las hemos tenido, por ser tan loca o más que yo, por haber aprendido, estudiado, crecido y brillado tanto juntos, queda mucho por hacer, queda mucho por aprender y por crecer.

Te invitamos a venir con nosotros al I Congreso Internacional de Ecografía para TSID de Octubre que organiza COPTESSCV con EcoAdictos.


Ya tenemos el Programa preliminar!!!

https://congresoecografia.coptesscv.com/programa-congreso/

Se pueden presentar trabajos hasta el 15-08-2022.

https://congresoecografia.coptesscv.com/normas-de-comunicaciones/

Información para realizar la inscripción

https://congresoecografia.coptesscv.com/inscripciones/

Crecer…

312. Revisión Estudio del Cuádriceps. Caso/Sorpresita final.

 

Este post es un compendio de todo lo que podemos encontrarnos, de manera habitual en la musculatura de la cara anterior del muslo, espero que disfrutes la lectura de este post, dividido en varias figuras patológicas con una rareza final que es la afectación de vasto intermedio…Buen domingo:

Denervación del Recto Anterior:

Paciente varón de 43 años que presenta dolor e impotencia funcional en cara anterior del muslo izquierdo a la altura del tercio medio. Su médico de cabecera pide una ecografía muscular de la región afectada después de que el paciente tuviese que haber sido valorado de urgencia en su hospital de referencia por dicha sintomatología que le impide la deambulación habiendo sido diagnosticado de rotura fibrilar en la zona de dolor.

Se le pide al paciente que se tumbe en la camilla de exploración. Se realiza exploración de protocolo de la cara anterior del Muslo. Exploré detenidamente la zona que el paciente indicaba, así como todo el muslo anterior no encontrando ningún signo de rotura fibrilar en la región,ni en la zona de dolor ni en la inserción proximal ni en la distal.

Lo único que me me llamó la atención fue la ecogenicidad (fig 1) de uno de los músculos del cuádriceps, en concreto el Recto Anterior, músculo anterior de la línea media de la musculatura en la cara anterior. Esta ecogenicidad era discretamente más ecogénica de lo habitual, sabemos que los músculos son hipoecogénicos por definición.

Inmediatamente exploré la misma zona del muslo contralateral, comprobando efectivamente los cambios en la ecogenicidad del músculo y cambios en el grosor, claramente disminuido en el lado afecto.

fig 1

Un breve recuerdo anatómico de la zona tanto en eje largo como en eje corto (longitudinal o transverso), fig 3 y 2 respectivamente, . Fíjese la/el lectora en el posicionamiento del pictograma de referencia.

Fig 2
fig 3

Acto seguido procedo a las mediciones en ambos planos:

fig 4
fig 5

Comprobando los cambios objetivados en la ecoarquitectura del músculo figuras 4 y 5, le pido al paciente que realice contracción del muslo normal y del patológico, observando claros cambios de la ecoarquitectura y de comportamiento en la exploración dinámica.Mira:

fig 6
fig 7

El Recto anterior afectado no se contrae correctamente (fig 6), de facto, casi no sufre variación respecto de su situación basal, el normal sufre una hipoecogenicidad aumentada, semiológicamente normal en la contracción (fig 7) y un cambio en su aspecto respecto de la situación de reposo muscular.

Se comprobó que las fibras musculares estaban íntegras (el paciente fue diagnosticado erróneamente al no realizarse prueba de imagen en su visita a urgencias) y el diagnóstico radiológico final fue una alteración del Recto Anterior secundaria a un Síndrome de Denervación Muscular

Rotura Recto Anterior:

Paciente varón de 59 años. Acude a la consulta remitido por su médico de cabecera con bulto en la región anterior del tercio medio del muslo derecho en relación con sospecha de rotura fibrilar en dicha localización de varias semanas de evolución, el paciente no refiere haber acudido a urgencias para valoración.

Lo primero que hay que hacer es ir a la zona de interés y comprobar que toda la ecoarquitectura es correcta, en la primera visulización observo una imagen que me llama poderosamente la atención (fig 1).

fig 1.

Se objetiva un Recto Anterior aumentado de tamaño, heterogéneo y romo, sin continuidad, el Crural normal, profundo, ecográficamente sin cambios.Lo indica la flecha amarilla.

Me deslizo por la cara anterior a buscar la inserción del recto anterior en la rótula, observando que entre la zona de discontinuidad y la rótula, no existe presencia del Recto Anterior, aunque el Crural inserta en su localización. En el trayecto que debiera estar ocupado por el Recto Anterior solo hay una mínima cantidad de líquido filiforme,un hematoma en evolución apoyado sobre la fascia que separa el teórico lugar del Recto Anterior y el Crural, alargado e hipoecogénico lo que supone una lesión no aguda. (Fig. 2)

fig 2.

Busco el origen anterior del Recto Anterior derecho se origina en la Espina Anteroinferior del ilion observando que es normal

Lógicamente busco la comparación con el lado contralateral observando que es rigurosamente normal y hacemos foto comparativa para demostrar la patología. (Fig.3).Los cambios son muy evidentes.

fig 3.

Compruebo los hallazgos en ambos planos. (Fig 4).

Fig 4.
Fig 5.

Observa en el corte transverso de la misma región un Recto Anterior sano, ecográficamente perfecto, el de la figura 5,y compara con la imagen inmediatamente superior, figura 4, donde vemos el músculo retraído cambiado en su ecoestructura, edematoso en su contorno, con un aspecto claramente patológico.

En este caso es una rotura muscular, concretamente, es una desinserción del músculo

Entensopatía Recto Anterior:

Para explicar lo que es una entesopatía, es mejor conocer la etimología de la palabra. Entesis es la inserción de los tendones, ligamentos, cápsulas y fascias al hueso. El sufijo-patía, es enfermedad o dolencia.

Te cuento una entesopatía que encontré no hace mucho. El paciente era deportista, padecía dolor crónico, en la cara anterior de la cadera derecha, no impedía el ejercicio, en alguna ocasión fue invalidante, apareciendo un dolor agudo nocturno tras ejercicio intenso, según me comentó. Su médico de familia le envía para valoración de la cara anterior de la cadera, la zona de dolor.

Repasamos anatomía y aprender una forma de estudio de la inserción del tendón del recto anterior del cuadricipital donde vas a ver esas fibras, perfectas. Como se tiene que ver para buscar entensopatías a ese nivel y para que las reconozcas en otras localizaciones típicas, aquiles, epicóndilo…etc…

Lo primero que hice fue tumbar al paciente en la camilla, con una sonda de alta frecuencia posicionada en la zona de dolor, explorando dicha zona en eje largo respecto del fémur, es decir, corte longitudinal.

Encontré esta imagen:

Evidentemente es una imagen patológica comparada con una normal contralateral, la anatomía de la región patológica está cambiada, el hueso está irregular, comparativamente con la zona normal. Esos cambios en el hueso se visualizan en la espina iliaca inferior, donde inserta el tendón del recto anterior, pero este tendón no solo inserta fibras ahí, sino que algunas de ellas insertan justo en la región superior del acetábulo,imagen 3, es decir, justo antes de la inserción en la espina iliaca anteroinferior, algunas se bifurcan hacia profundo, buscando el acetábulo.

La imagen 2 es centrándonos en la zona de patología, aún más espectacular. Se observa la deformación global del hueso en esa zona marcado con flecha amarilla plana.

2

Explorar esta zona de inserción es complejo, el recto anterior, que luego es el tendón intramuscular o rafe del recto anterior del cuadriceps, inserta mediante su tendón buscando la profundidad en la cadera, con lo que encontramos anisotropía…te voy a enseñar una forma de explorarlo donde vas a poder corregir esa anisotropía. La exploración habitual es con la pierna en extensión y decúbito supino, pero vamos a pedir al paciente que se siente en la camilla, baje la pierna  y apoye el talón del pie, el tronco del paciente mínimamente inclinado hacia atrás, la cadera y la rodilla en extensión y la sonda colocada en la zona de inserción…la imagen que logras es esta maravilla, imagen 3.

3

Cuando en la zona de inserción en la EIA inferior tiene cambios en la inserción del tendón se verán imágenes de calcificación lineal de la inserción, cuando esos cambios son muy llamativos tenemos la imagen 1 y 2, cuando son menos llamativos la imagen 4, pero ojo que ambos pueden dar clínica a valorar por los médicos especialistas.

Es importante que conozcas la zona, la anatomía, y que pruebes la proyección que te he explicado, verás esas fibras insercionales muy bien porque corriges la anisotropía.

En la imagen número 5 puedes ver el corte axial de la imagen 4, como a tres centímetros de la inserción. Puede estar ligeramente modificada la angulación para corregir anisotropía del tendón, y me parece una imagen muy bonita, el recto anterior es externo.

5

En el corte axial puedes observar el tendón del recto anterior, que ya no intramuscular, ya no el rafe, como ves en la imagen 6:

El corte ya no es en el muslo, es prácticamente en la cadera, y lo importante es seguir bien en las dos proyecciones el tendón.

Aumento vasto intermedio

En este caso final una mujer acude a realizarse una ecografía con una petición de su médico de cabecera, viene por aumento del calibre del muslo anterior, no refiere dolor, no cuenta traumatismo previo.

La exploración es la habitual, revisión sistemática de toda la ecoarquitectura musculoesquelética de la cara anterior del muslo, dirigido al Cuádriceps.

Me llama poderosamente la atención, lo recuerdo perfectamente, la normalidad del recto anterior, pero después de buscar un poco observo como el vasto intermedio si está «distinto», algo heterogéneo, voy a comparar con el lado contralateral y bingo¡ el vasto intermedio, que es de esa musculatura «que nunca tiene nada», modo «ironía on», te sorprende…y la ecografía muscular es como el océano, nunca puedes confiarte…

Mira las imágenes y tu misma te darás cuenta:

  

La zona que presenta mayor abombamiento y empastamiento (cara lateral del muslo izquierdo), se visualiza aumento del grosor del fascículo muscular correspondiente con el vasto intermedio, sin poder evidenciarse la presencia de lesiones definidas. El diagnóstico es un aumento difuso e inespecífico del Vasto Intermedio, sin masas ni roturas. A valorar con RMN.

Hay dos eventos maravillosos a la vista:

  1. Jornada de Ecografía para técnicos:

2. Congreso Internacional de Ecografía para TSID

3. Nivel 1 para TSID En Estepona, Málaga.

 

 

 

 

 

311. Doppler color y Modo Angio, dos secretos que igual no sabías.

Cuando realizamos una exploración ecográfica, el protocolo que sea, no es raro que uno de los comandos que más usemos sea el Doppler, sabemos cómo funciona el Doppler, Alejandro lo ha explicado en este blog y el libro Eco Fácil de Marbán, pero yo quiero contarte dos secretos, que seguro que sabes, pero que quiero contarlo por si hay alguien un poquito más rezagado que aún no se ha enterado.

Quiero que te preguntes si sabrías diferenciar entre una imagen Doppler Color y una imagen en Modo Angio o Doppler Power. Vas a decir que sí, que lo sabes. Y es cierto, en la mayoría de las ocasiones distinguimos estas dos técnicas por el color, una rojo y azul, otra azul o morado, u otras coloraciones según la casa comercial.

Modo Doppler Color
Modo Angio o Doppler Power

Ahora quiero que te preguntes si sabrías decirte que magnitud de la onda ultrasonográfica toma de referencia cada una de los dos comando cuando los activamos para darnos la imagen que estamos buscando…igual aquí tienes alguna dificultad, igual aquí, te he pillado¿Te sonríes?…me encanta…ah que ya lo sabes…bueno, pues lo voy a explicar para quien no lo sepa.

En la onda ultrosonográfica hay dos magnitudes claves, la longitud de onda, que es la distancia entre dos puntos de una misma onda, por ejemplo, entre sus valles o entre sus crestas, que será menor cuanto más alta sea la frecuencia, y la amplitud de la onda que es la máxima distancia que alcanza la onda, o de otro modo, lo enérgica que es esa onda.

Muy bien, en el Doppler Color (CDI) la magnitud de referencia que tomará nuestro equipo para hacer la medición de aquello que estemos interesados en estudiar será la longitud de onda. Sin embargo, en el Doppler Power o Modo Angio (Power) el equipo lee la Amplitud de la onda ultrasonográfica, la imagen de abajo. 

 

Otra de las diferencias entre estos modos de trabajo si lo quieres llamar así es la medición de los hematíes. Me explico, cuando estamos haciendo Doppler lo que medimos es el movimiento hístico. No estamos midiendo las características ecográficas del tejido, es decir, no queremos saber si es anecoico, hipo o hiperecogénico, estamos midiendo su movimiento, el de los vasos, o el de las estructuras que puedan estar vascularizadas.

 

Por tanto este modo de trabajo valoriza el movimientos de los hematíes, su velocidad, y la densidad de estas células sanguíneas las mide el modo angio, por eso el Doppler color se usa para flujos rápidos (medidad cuantitativa) y el modo angio para flujos lentos (medida cualitativa), por eso el modo angio es mas sensible, así que si eres muy sensible, eres modo angio… ¿lo entiendes?



Hay dos eventos maravillosos a la vista:

  1. Jornada de Ecografía para técnicos:

 

2. Congreso Internacional de Ecografía para TSID

 

 

 

310. Los Armónicos. Cuándo, Cómo y Por qué.

Voy a tratar de explicarte en este post, esquemático y fácil, el manejo de los armónicos, espero que te ayude mucho. Los Armónicos:

  1. ¿Qué son?

Sistema de recepción de ecos para recoje señales con una frecuencia el doble o más que la emitida y que solo es posible producirla por la reverberación de los tejidos y nunca por un artefacto.

Reducen los artefactos y aumentan la resolución. Ojo que si reducimos artefactos, las sobras acústicas de las litiasis también pierden entidad, por eso para ver litiasis renales con poca sombra acústica, necesitamos eliminar los armónicos.

  1. ¿Qué hacen?

Los armónicos o frecuencia armónica mejora la imagen respecto de la frecuencia fundamental, o imagen fundamental ya que esta debida a las interfases puede resultar poco resolutiva

  1. ¿Cómo se identifican?

THI

  1. ¿Cuándo los usamos?

Utilizaremos armónicos cuando la imagen fundamental no se suficientemente buena. La imagen fundamental es la primera imagen que no ofrece el equipo, sin filtrar.

Es una imagen más limpia ya que “limpia” la imagen fundamental.

En frecuencia altas ofrece una gran calidad de imagen

  1. ¿Por qué los usamos?

Con los armónicos reducimos el moteado.

El moteado es un factor de degradación de la imagen producido por la dispersión de ultrasonidos de pequeños reflectores mostrando una imagen con un grano característico.

No todos los ecos de retorno llegan al transductor.

  1. ¿Cómo funcionan?

Cuando realizamos una exploración nuestra sonda está emitiendo a una frecuencia x, según el ancho de banda del transductor seleccionado. Muy bien, vamos a poner el caso de que estamos realizando una ecografía de abdomen y que estamos emitiendo a 6 Mhz.

Cuando los ecos de retorno llegan al transductor después de haber rebotado en las diferentes estructuras del tejido a estudio, pueden llegar a frecuencias superiores a las que se emitieron, pero también pueden llegar a frecuencias inferiores.

Para conseguir una calidad de imagen mayor, nosotros podemos escoger o elegir solo aquellos ecos de retorno que vengan multiplicados por el doble o por el triple de la frecuencia a la que fueran emitidos, por tanto y si la frecuencia es mayor que la emitida, la nitidez de estos ecos de retorno también será mejor.

 Los ecos de retorno con frecuencias inferiores a aquellas a las que fueron emitidas hacen que la imagen tenga una calidad de imagen peor, esto es debido al ya comentado moteado aleatorio, pero si yo consigo eliminar estos ecos de frecuencias más bajas y solo quedarme con aquellos de frecuencias mayores, la nitidez de mi imagen mejorará. Esto se realiza con procesos complejos dentro del transductor que nos ofrecerá una lectura óptima y una mejor imagen.

Por tanto, yo puedo escoger si quiero leer todos los ecos, o solo los ecos de retorno multiplicados por dos o por tres respecto de la frecuencia a la que fueron emitidos.

Eso mejorará la imagen obstensiblemente.

Con los ecos de retorno que vuelven a la misma frecuencia de la emitida, puedo bloquearlos con un pulso inverso de la misma frecuencia al pulso de eco que fue emitiso, ¿qué logro con esto?, muy fácil, si yo hago una fuerza de la misma intensidad que otra fuerza, pero en sentido opuesto, lo que consigo es bloquear.

Con la frecuencia del Eco pasa igual, yo anularé los ecos de retorno recibidos con la misma frecuencia que los emitidos, si les envío un pulso invertido que les contrarreste. Imagina dos trenes idénticos, en una misma vía, unidos por sus lanzaderas en sentidos opuestos y a la misma velocidad, efectivamente, no se moverían. Este el conocido Armónico por inversión de pulso. 


Hay dos eventos maravillosos a la vista:

  1. Jornada de Ecografía para técnicos:

2. Congreso Internacional de Ecografía para TSID

 

 

 

309. Afectación del Nervio Mediano

Paciente que acude por corte en la región anterior y central de la muñeca.

Después de 20 días nota parestesias en los dedos. La herida está cicatrizada, pero el movimiento es limitado.

Voy a tratar de explicarte en 4 imágenes los hallazgos para que veas la complejidad del caso, de la anatomía y de la exploración ecográfica de la cara anterior del la muñeca.

Primero necesitamos conocer bien la anatomía de esa región. En la parte central de la muñeca el nervio mediano ya se ha situado por encima de los tendones flexores de la muñeca que luego se convertirán en en los músculos flexores de la cara anterior del antebrazo, previamente en nervio mediano, más en la muñeca, a distal, es mas profundo y radial.

En el lugar del corte el nervio mediano es muy superficial antes de hacerse más profundo entre la musculatura flexora superficial y profunda del antebrazo anterior. Ahí donde más expuesto está es donde se produce el corte que estudiado en eje largo nos ofrece esta imagen preciosa, mira:

En la imagen aprecias claramente como la superficie de la muñeca está afectada por un tejido cicatricial, fibroso, heterogéneo, típico de una herida de reciente curación.

Más profundo el nervio mediano, comprimido por la fibrosis y claramente afectado en esta localización en su parte más superficial. Así mismo y fruto de la presión ejercida en capas, el flexor, más pequeño y cóncavo bajo el tejido neuronal afectado. Claramente afectación de las dos primeras capas.

Sin embargo en este vídeo del perfil de María Leal puede comprobar perfectamente como el flexor desliza perfectamente bajo el nervio, que funcionalmente normal, no se mueve con la flexión de los dedos..

Explicarte estos cambios individualizadamente es complicado a sí que voy a usar la comparativa de normalidad y patología de amabas muñecas y vas a poder ver como cambia el aspecto, las medidas tanto en milímetros como en áreas.

Mira:

Observa las medidas, observa en esta imagen superior el Retináculo afectado, engrosado, hiperecogénico. 

Como en las últimas 3 imágenes comparativas puedes ver perfectamente la afectación local, pero en esta imagen final que tienes arriba justo, ves la afectación global de todas la ecoestrusturas que componen la anatomía locorregional. 

El proceso cicatrizador afectando al nervio y a las partes blandas es evidente, muy plástico, uno de lo estudios más bonitos que he hecho, con la calidad de la imagen de CANON MEDICAL.


Hay dos eventos maravillosos a la vista:

  1. Jornada de Ecografía para técnicos:

2. Congreso Internacional de Ecografía para TSID

308. Nódulos Plantares. Enfermedad de Ledderhose.

Revisión de la fascia plantar, aprovechando un caso ya explicado en el post 284, lo hace Candi, si hubiera tenido un hermano y hubiera podido elegir, le hubiese elegido a él. El caso es de una rotura de la fascia plantar.

El paciente acude a la sala con una petición con sospecha de fascitis plantar.

Imágenes y después comentamos este breve, pero preciso post de la planta del pie.

1
2
3
4
5
6
7

Cuando realizamos la exploración básica de la fascia plantar buscamos en la linea media de la planta del pie una estructura fibrosa que es la fascia plantar. Es una banda de tejido conectivo que se origina en la zona plantar del calcáneo y se inserta en la base de los dedos. Va por tanto de profundo a superficial, ojo a la anisotropía, tendremos que talonar la sonda y estirar bien la planta.

En la exploración podemos observar claramente que una fascitis al uso no es…La fascia plantar, inflamada o no son fibras a tensión que siguen una línea recta salvo en aquel lugar que es donde suele estar inflamada, que es en el origen, en el calcáneo. Aquí observas otra cosa, después de su origen, las fibras están caídas,no mantienen tensión, esto no corresponde con una fascitis, se documentó perfectamente los hallazgos, haciendo comparativas, midiendo, y poniendo el doppler y se avisó al radiólogo responsable.

Tras la evaluación, el galeno estimó rotura de fibras de la fascia plantar en su origen en el calcaneo, aunque no total, ya que se demuestra que algunas fibras si están insertadas.

La clave del estudio es la imagen 6. En ella puedes observar claramente ambas fascias plantares, me he ayudado de lineas que marcan normalidad y flechas amarillas que marcan claramente la deformidad de la fascia en el origen, bueno, justo después.

Después la fascia continúa correctamente buscando su inserción en la cabeza de los metas, no hay retracción de la fascia, lo que hace pensar que es una rotura parcial, no se sabe, pero presumiblemente debido a una fascitis plantar crónica y muy pasada. Está demostrada esta situación con la imagen 7. Obviamente la retracción existe en la zona de deformación, pero eso indica que es parcial y pertenece al origen de la propia fascia.

Enfermedad de Ledderhose

A colación de este caso aprovecho para explicarte otra patología habitual de la fascia plantar. Son los nódulos plantares, de modo habitual encontramos patología en esta localización en la inserción de la aponeurosis plantar o fascia plantar en la base del calcáneo, te dejo patología y normalidad para que te des cuenta como en la inserción patológica la aponeurosis está aumentada de tamaño e Hipoecogénica, una fascitis plantar.

En esta ocasión no nos fijamos en la inserción, vamos a recorrer la aponeurosis, la fascia, desde el calcáneo hasta las cabezas de los metas y vamos a repasar la anatomía de la planta del pie que es muy compleja, tiro de Imaios. 

La aponeurosis plantar a medida que va separándose de la inserción en el calcáneo se hace algo más delgada, se ve mejor, se hace más superficial y la anisotropia se corrige, llega un momento que se distribuye para tapizar la musculatura que rodea la cabeza los metatarsos, me encanta esta aponeurosis.

Debajo, profunda a ella una musculatura muy importante, es el Músculo Flexor Corto de los Dedos, un músculo potente que en sagital se aprecia perfectamente, un poco más profundo, en el tercer piso encontraríamos el Músculo Cuadrado Plantar, en este caso delgado y por último y más profundo un músculo grueso, el Aductor del dedo gordo, que es precioso porque tiene dos cabezas, una transversa, paralela a la cabeza de los metas y la otra cabeza es oblicua, cruza la planta del pie de medial a lateral.

Mira que preciosidad:

Observa la imagen por fi, de superficial a profundo, plano a plano, vas a descubrir otra manera de explorar la planta y la fascia del pie.

Con líneas amarillas de profundo a superficial tenemos marcados dos ecoestructuras, alargadas, hipoecogénicas, circunscritas en la fascia plantar, que más hacia posterior, hacia el calcáneo es normal, y lo marca otra línea rosa. La linea rosa es la fascia plantar normal, fina, hiperecogénica, los nódulos previamente descritos.

Estos nódulos son típicos de Fibromatosis.

La fibromatosis plantar o enfermedad de Ledderhose es causa frecuente de aparición de nódulos en la planta del pie, . Forma parte de las fibromatosis superficiales junto a la enfermedad de Dupuytren y la de Peyronie. La ecografía es patognomónica y es muy útil porque determina la extensión de la lesión, pero la RMN es necesaria si se determina tratamiento quirúrgico.


Hace tiempo que no estaba por aquí, son días de altísima intensidad, cambios de muchos tipos, pero me gusta venir por aquí, prometo estar más presente. aquí es donde empezó todo.

Hay dos eventos maravillosos a la vista:

  1. Jornada de Ecografía para técnicos:

2. Congreso Internacional de Ecografía para TSID


 

 

 

 

 

 

306. Hígado Bicolor.

Sé que ultimamente no estoy apareciendo mucho por aquí.

Cambios importantes, mucho trabajo dedicado a aprender, a crecer y a ayudar a otros también a crecer en el mundo de la ecografía.

No me olvido de este lugar, pero el tiempo es el que es. Intentaré estar algo más activo con Posts cortitos, sobre todo para contar cosas chulas que me vaya encontrando. Casi seguro atrás quedarán esos post largos, quizá alguno…quien sabe, día a día.

Hace poco me encontré un hígado superchulo. Paciente de más de 40 años, con elevación de transaminasas, piden eco. 

En la ecografía me encontré uno de los estudios más chulos y bonitos que he visto en el hígado. Es un hígado bicolor, de una plasticidad increíble, delimitando claramente la infiltración grasa hepática, esteatosis, con el hígado preservado. El preservado más hipoecogénico, el esteatósico, más hiperecogénico.

Te voy a pedir que te fijes en como se distribuye la grasa y com «respeta» las zonas más cercanas a los vasos y a la vesícula, esto es habitual en esto procesos. En estas zonas encontrarás más cantidad de hígado preservado.

Te invito a ver las imágenes. Espero que las disfrutes, pero antes, siempre, siempre…conocer la normalidad. Mira:

Parénquima hepático y corteza renal, isoecogénicos, parénquima hepático homogéneo.

Hígado bicolor:

No es inusual ver hígado graso, verlo como va transformándose es una suerte, y deleita la vista. Disfruté mucho haciendo esta prueba. Gracias, Ecografía.

 

Ven a Oviedo a aprender ecografía, a dar tus primeros pasitos, a probar a coger el transductor, cuando lo coges, la ecografía entra en ti…

Día a día. Haz lo que te haga feliz.

305. Miositis Osificante

Hacía muchísimo tiempo que perseguía un caso como este. Por fin el otro día me llegó. Paciente con bulto que llega a la sala de ecografía procedente la consulta de su médico de familia. Había consultado porque se había notado un bultoma en el gemelo de su pierna. De crecimiento paulatino, duro y doloroso. No refería trauma previo. No había tenido hematoma. No tenía pruebas de imagen previas. El estudio requiere de tres técnicas para el diagnostico, empezamos.

Ecografía:

En el lugar de palpación encontramos coincidiendo con el bultoma palpable que refiere la paciente, localizado en la superficie del gemelo interno, una lesión de 15 mm x 10 mm en el plano axial y 4 cm de diámetro longitudinal.

La lesión se encuentra calcificada y no presenta aumento de la vascularización en el estudio Doppler color y si presenta sombra acústica posterior aunque esta no es muy llamativa.

Esta lesión es inespecífica, es decir, puede corresponder a varias entidades patológicas que cursen con similares características ecográficas mediante esta técnica de imagen, aunque por su localización y morfología, es una ecoestructura heterogénea.

Se pide ampliar el estudio con Rx.

1
2
3
4

Rx

Imagen calcificada de 4 cm en gemelo interno de la pierna derecha, coincidiendo con la lesión visualizada en ecografía. La lesión no se visualiza clara, es tenue y hay que fijarse. Flecha amarilla, por eso la densidad del calcio hace que la sombra acústica posterior en la eco sea sutil.

CT:

En el espesor del vientre muscular del gemelo interno, en su tercio proximal, se identifica una lesión de morfología ovalada y de márgenes irregulares que mide 1,8 x 1 x 3 cm (TR x AP x CC). Sugiere miositis osificante.

El diagnóstico es de Miositis osificante, visto por tres técnicas diferentes. La que más me gusta, la ecografía, donde mejor se objetivó, pero ¿qué esta MO?

Esta entidad patológica rara es la formación de tejido óseo en tejidos que no son óseos, típicamente se da en músculos de la extremidades. Puede estar en relación con traumatismos, pero solo en el 20% de los casos, y en estos casos se presenta en pacientes deportistas de disciplinas de contacto. En estos casos, y en zonas de golpeo recurrente, la incidencia de esta patología es altísima.

Puede cursar con dolor e inflamación, también puede ser asintomática. No es premaligna.



El proyecto formador que María Leal y yo con el apoyo de SETSS tiene estos cursos en marcha junto con el Villalba que ya está completo. Son pocas plazas, y te va a encantar. Contamos con el soporte de CANON MEDICAL.