91. Aparato Expensor de la Rodilla. El Rotuliano.

Seguimos viajando a través del MMII y nos topamos con la Articulación de la Rodilla.

Es una articulación estudiable con Ecografía, si bien no toda ella, digamos que la parte más interna de la cápsula articular, los ligamentos cruzados, los meniscos, los ligamentos colaterales y la articulación patelo-condílea deben ser estudiada con RMN mejor…pero el aparato extensor de la Rodilla, la inserción del Cuádriceps (como ya vimos) y el Tendón Rotuliano son muy estudiables con la Eco.

El Tendón del Rotuliano une la parte distal de la Rótula,que es el Sesamoideo más grande del cuerpo humano, con la Espina Anterior de la Tibia. El Rotuliano es muy superficial, por eso es muy importante una sonda de alta frecuencia para su estudio…Posterior al Rotuliano y estudiable con Ecografía tenemos la Grasa de Hoffa que es una almohadilla grasa que interviene en la movilidad de la articulación.

El Tendón Rotuliano es alargado, fino e hiperecogénico entre el Tejido Celular Subcutáneo y la Grasa de Hoffa.

La Grasa de Hoffa la verás entre el Tendón y la articulación de los huesos de la Rodilla, se ve ligeramente hipoecogénica con  respecto al Tendón, es voluminosa y heterogénea y puede albergar cierta cantidad de líquido perirotuliano que puede ser normal, dependiendo de la cantidad y de la localización de dicho líquido que de verse, será peritendinoso, anecoico y  casi siempre más cerca de la inserción tibial del Tendón.

Normalidad.Anatomía.
Ojo a la Anisotropía

La exploración es fácil, la/el paciente estará tumbado en decúbito supino y pediremos flexión cómoda de la articulación con el fin de estirar el tendón y así eliminar la Anisotropía (hipoecogenicidad) que habitualmente encontrarás cerca de la inserción tibial donde el rotuliano cambia su angulación ligeramente para insertar más superficial, esto puede inducir a error de diagnóstico con tendinitis del rotuliano (Imagen superior).

Puedes luchar contra la Anisotropía, flexiona más la rodilla, pon gel y siempre dos proyecciones.

Siempre realizamos cortes longitudinales y transversos del Tendón, estudiando globalmente toda la región extensora, colocando debidamente los Pictogramas, desde la Rótula hasta la inserción en la Tibia, haciendo todo el recorrido del Rotuliano y completando el estudio con el estudio de la inserción del Cuádriceps, es muy recomendable porque completarás el estudio de todo el aparato extensor de la Rodilla.

Corte Longitudinal.Normalidad y Patología.Observa medidas (flechas).
Corte Transversal.Normalidad y Patología.

En las imágenes superiores observas cortes longitudinales y Transversales de patología y normalidad en un Rotuliano en su porción rotuliana. Observa el aumento de tamaño y la hipoecogenicidad de esta patología habitual, respecto de la normalidad de la otra rodilla, y que es la Tendinitis del Rotuliano.

En las imágenes inferiores observarás con más detalle esta patología…incluso, en algunas tendinitis puede existir, aunque no es habitual, presencia de fibras rotas, como es en este caso, donde se objetiva en las fibras de rotuliano más centradas una imagen redonda, pequeña y anecoica, correspondiente a líquido producido por el sangrado de las fibras rotas (corte transverso).

Aumento de tamaño e hipoecogenicidad,flecha y línea roja, y fibras normales, flecha verde.
Corte Transverso. Imagen anecoica, dentro de una imagen redondeada e hipoecogénica de fibras tendinopáticas.

En conclusión, la patología más habitual, que es la tendinitis del Rotuliano, se verá con aumento de grosor de las fibras del Tendón afectada, hipoecogenicidad, que debemos estar seguros que no es anisotropía, para ello, estudiaremos con flexión de la rodilla y comprobaremos el hallazgo en dos proyecciones y comparativa con el lado contralateral, presumiblemente sano.

Trabaja mientras otros duermen, Estudia mientras otros se divierten, Persiste mientras otros descansan y Vivirás lo que otros tan solo sueñan…

 

 

 

 

90. Muslo Posterior. Isquiotibiales.

Si en la cara anterior del muslo teníamos el Cuádriceps como músculo o grupo muscular por excelencia, en el muslo posterior encontramos los Isquiotibiales.

Estos músculos están implicados en la mayoría de los incidentes con rotura fibrilar de la parte posterior del muslo, además de otras patología que veremos, ya sabes que por encima, un poco más adelante.

Es un grupo muscular formado por 3 músculos diferentes, que tienen origen en la pelvis e insertan en cara lateral y en la cara medial de la rodilla…y son esos que estiramos cuando intentamos tocar el suelo con la punta de los dedos sin doblar la rodillas…

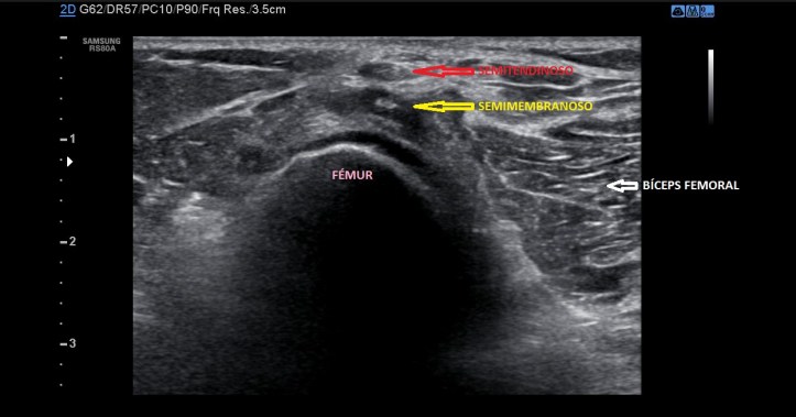
Los isquiotibiales son muy estudiables con ecografía en el tercio medio del fémur, ahí son muy superficiales y van los tres músculos unidos, justo superfial al Nervio Ciático que va más profundo que estos. Si consultas el Netter y miras la siguiente foto que te pongo, verás que la correlación anatomo-ecográfica en el tercio medio es perfecta en este corte axial o transverso.

Estos músculos son hipoecogénicos, separados por una línea de separación hiperecogénica.

Estos músculos pueden seguirse ecográficamente desde proximal a distal y de interno en la parte proximal, a externo el Bíceps Femoral e interno, el Semimembranoso y el Semitendinoso, que antes de buscar su inserción y en el tercio distal del fémur, se posicionan uno sobre otro…así…Este corte es muy distal y transverso:

La inserción del Bíceps Femoral es diferente, lo hace, tanto su porción larga, como su porción corta, unidas, en la cabeza del Peroné, por tanto lateral. Mira:

Normalidad

Esta es una imagen, conseguida con un corte longitudinal, en situación normal…mira la misma imagen en una situación de rotura del Tendón del Bíceps Femoral:

Patología

En la imagen patológica que ves arriba es vital la localización del Peroné. Ahora te voy a pedir que compares y que observes como en la imagen de normalidad vemos un tendón hiperecogénico, marcado por flechas amarillas, homogéneo insertando en el Peroné…en la imagen siguiente el tendón está aumentado de tamaño, heterogéneo y con componente líquido, lo marcan las líneas rojas…Es precioso, ¿verdad?…ambas imágenes son de deportistas, una corredora y amiga, la imagen de normalidad y un futbolista, la imagen patológica.

El Músculo en este caso, también se ve afectado…mira…

Patológico

Este es el Bíceps Femoral en un corte superior al de la inserción en el Tercio Distal del Fémur, vemos la parte más superficial de la imagen la porción corta del músculo, desestructurada, heterogénea en su parte distal, más normal en la parte proximalmás profundo vemos la porción larga del Bíceps, más grande, separados por la Fascia, esta porción larga del B.F. tiene fibras normales y fibras afectadas, más hipoecogénicas, marcadas por una flecha verde, y la Fascia de separación de ambos, también afectada…Patología…Compara ahora con la Normalidad de la imagen siguiente:

Normal

Ves el Bíceps Femoral hipoecogénico (normal) que termina en forma de cuchillo (normal), superficial el Tendón de la porción corta del Bíceps Femoral, hiperecogénico y homogéneo (normal)…

No quería terminar la parte posterior del muslo sin incluir los Isquiotibiales…superimportantes… Espero que lo hayas disfrutado…

Gracias Mabel…eres tan buena Compañera como Corredora…

Me voy con Siena a que nos dé el aire…Verano vuelve… :((

 

 

 

79. Protocolo de Codo.Patología básica.

No soy Médico ni Fisioterapeuta, no tengo que diagnosticar, pero en el ejercicio de mi labor tengo que conocer la normalidad del tejido que estudio con Eco y los signo ecográficos de las patologías que se buscan.

De eso os voy a hablar…de signosSemiología ecográfica.

Básicamente a la sala de ecografía muscular llegan pacientes para descartar Epicondilitis, Epitrocleitis como estudios Top…Estas patologías en la mayoría de las ocasiones el Médico o Fisioterapeuta ya la diagnostica sin necesidad imagen, pero a veces estas patologías pueden no responder a tratamiento y hay que buscar complicaciones.

También vemos desinserciones del Bíceps, esta patología es de urgencia porque es operable en las primeras horas del suceso.

Calcificaciones y otras patologías forman parte de algunas imágenes que vas a ver en este Post…Espero que te sea útil.

Tendinopatías

Tanto para Epicondilitis, Epitrocleitis o Tendinitis de los tendones estudiados en Ecografía Muscular del Codo cursan con estos signos ecográficos en Modo 2D:

Engrosamiento del tendón 

Hipoecogenicidad difusa/áreas hipoecogénicas focales

Focos de calcio

Entensopatía de inserción

Roturas lineales

Siempre permanentemente atentxs a la ANISOTROPÍA

Con el Doppler veremos hipervascularización tendinosa por neovascularización en el proceso de cicatrización.

Roturas

En las roturas veremos ausencia del Tendón del Bíceps en su lugar natural de inserción. En ecografías precoces veremos líquido anecoico por el sangrado y debemos buscar las fibras retraídas del músculo que estarán habitualmente en el Tercio Distal del Húmero. La/el paciente tendrá una «bola» a ese nivel. La roturas pueden ser también parciales. La imagen superior señala con flechas presencia normal del tendón, imagen contigua ausencia tendinosa.

Calcios

Los Calcios aparecidos en la inserción del Tríceps muy habituales aparecen como imágenes hiperecogénicas finas y lineales rectas o curvas (flecha amarilla) con sombra acústica posterior como en la imagen superior. Vemos imágenes Rx y Eco de la misma región y del mismo paciente donde vemos misma patología con dos técnicas diferentes.

Bursitis

Las bursitis ecográficamente (flechas amarillas) se van a ver como lesiones hipoecogénicas/anecoicas en forma de globo en ocasiones heterogéneas y en la parte subcutánea del Olécranon.

 

Neuropatías

Las neuropatías cambian el aspecto de la ecoarquitectura normal de nervio y lo aumentará de tamaño y lo volverá hipoecogénico (flecha amarilla), eventualmente pueden sufrir luxaciones como en este Vídeo de mi canal de Youtube.

Tumores

Y por último los hallazgos tumorales, que pueden aparecer en múltiples aspectos y que de modo muy general serán lesiones ocupantes de espacio subcutáneos o intramusculares, no compatibles con patrones ecográficos estándar para patología muscular que se sospeche. Siempre especial cuidado con presencia de «bultos» que refiera el/la paciente. En el caso que te describo a continuación, vemos un lipoma, lesión benigna donde el uso del doppler es diagnóstico para diferenciación del liposarcoma. Este tipo de hallazgos generarán interconsultas y eventualmente si la eco no es concluyente otras pruebas diagnósticas…RMN,TAC,RX…

 

Con Siena, inseparablemente preciosa.

 

 

67. Protocolo de Hombro. Tendón del Bíceps.

Para explorar el hombro con ecografía vamos a realizar el siguiente protocolo.

  1. Tendón del Bíceps.

  2. Tendón del Subescapular.
  3. Tendón del Supraespinoso.
  4. Articulación Acromio-Clavicular.
  5. Tendón del Infraespinoso.

Vamos a empezar por el punto número 1. Es el Tendón del Bíceps. 

Recuerda la anatomía, repasa si no la tienes dominada, es la base.

Especialmente vamos a prestarle mucha atención a la parte del tendón que discurre por la corredera bicipital muy pegadito al húmero, en su cara anterior y que es el único tendón con vaina que vamos a estudiar en este protocolo.

Asegúrate siempre de tener los parámetros ecográficos bien ajustados y sobre todo el Foco en la zona de interés.

Posición del paciente:

  • PACIENTE SENTADO
  • PALMA DE LAS MANO HACIA ARRIBA Y APOYADA EL MUSLO, CODO APOYADO EN EL ABDOMEN
  • ÁNGULO DE 90º ENTRE EL EJE LARGO DEL HÚMERO Y DEL RADIO, ESTO ES VITAL PARA CORREGIR ANISOTROPÍA.
  • SONDA POSICIONADA EN TRANSVERSO APOYADA EN LA ZONA ANTERIOR DEL HÚMERO (NARANJA) y PARA CORTE LONGITUDINAL ROTAR LA SONDA 90º HACIA LA CABEZA DEL PACIENTE (ROJO)
El artefacto de anisotropía es de importancia capital en la Eco MSK.

Para no tener anisotropía en el corte transverso como la imagen superior indica,coloca la sonda paralela al suelo y si no lo ves correctamente angula hacia craneal  ligeramente para corregir la ANISOTROPIA,según Javier Alvarez,Fisioterapeuta y experto en Eco Muscular, y sobre todo han amigo,el motivo es por la angulación que tiene el cuello del húmero y la redondez de la cabeza humeral.

Ten cuidado,una angulación excesiva también puede ser contraproducente y seguro hará que aparezca la Anisotropia,así que tendrás que jugar hasta encontrar la imagen correcta.

Posicionamiento de paciente y Cortes

Estructuras a visualizar:

  1. –AMBAS TUBEROSIDADES
  2. –CORREDERA BICIPITAL
  3. –TENDÓN DEL BÍCEPS REFLECTANTE
  4. –LIGAMENTO TRANSVERSO
  5. –DELTOIDES

¿Cómo se hace el estudio?:

Tenemos que estudiarlo en eje largo y en eje corto y desde proximal, en su origen y recorrerlo por el tercio proximal del húmero en la cara anterior hasta que veamos que empieza el vientre muscular. Cuando veamos el músculo podemos parar a no ser que busquemos patología del músculo.

El Bíceps es muy fino, delgado, es difícil mantenerlo en pantalla si no tienes pericia, tranquilxs, se adquiere con las primeras 100 exploraciones…(es broma).

Busca siempre la corredera bicipital, como la primera imagen que vas a ver a continuación y la imagen correcta del tendón y a partir de ahí, haz la exploración.

Imágenes que tenemos que conseguir:

Corte Transverso o Eje Corto (Naranja)
Eje Longitudinal o Eje Largo (Rojo)

Las flechas rojas marcan todo el recorrido del tendón del biceps.

Ecográficamente:

  1. TCS: Hipoecogénico, debajo de la Piel (Hiperecogénico) antes del Deltoides.
  2. DELTOIDES: Músculo, por tanto Hipoecogénico, entre el Tejido Celular Subcutáneo y el Tendón del Biceps.
  3. LIGAMENTO TRANSVERSO: Hiperecogénico, liso y fino por encima o anterior respecto del tendón del Biceps
  4. TENDÓN DEL BÍCEPS: Hiperecogénico, ovalado, dentro de la corredera en eje corto e Hiperecogénico,alargado, junto al húmero en el eje largo.
  5. HUESO: Liso, fino y llamativamente hiperecogénico. Corresponde con la cortical del Hueso.Después la nada por la sombra acústica posterior.

Puedes seguir el Blog en Twitter,Facebook e Instagram y en mi perfil de LinkedIn http://linkedin.com/in/antonio-lanzas-carmona-1b459738

También puedes suscribirte en el Blog y compartirlo para llegar a todo el mundo!!!

Agradezco los comentarios que me hacéis en el Blog y que quedan publicados,es un honor para mi.

 Be Kind.

 

 

29. La Semiología Ecográfica. La Ecogenicidad.

Se acabó la parte más teórica de la ecografía, ahora toca disfrutar con las imágenes.

En este post vas a aprender como se ven las estructuras y su comportamiento ecográfico según de la naturaleza que estén hechos. En radiología tenemos una serie de densidades que tenemos que estudiar cuando hacemos un estudio radiológico, en ecografía, el comportamiento de esas densidades es vital para poder identificar estructuras y patologías.

El comportamiento de esas estructuras cuando interaccionan con el haz ultrasónico va a dar una serie de imágenes, entre el blanco y el negro y todos los grises que hay entre medias, según sean negro, gris oscuro, gris, gris claro o casi blanco vamos a poder identificar esas estructuras como son, el agua, la grasa, el hueso, el aire…bueno, el aire no, ya sabes que en ecografía el aire provoca ausencia de información…Lo bueno de la ecografía a diferencia de la radiología convencional es que es capaz de identificar diferentes densidades de agua, por ejemplo, sangre, pus, etc.

Vamos a utilizar una serie de palabras para identificar esa representación de grises, es el argot de la ecografía y eso tiene un nombre, se conoce como la ECOGENICIDAD de la estructuras…eso es lo que voy a intentar explicar en este Post…adelante…

Anecoico o anecogénico: No devuelve ecos de retorno, cuando el haz llega a una estructura anecoica, esta va a dejar pasar todo el tren de ultrasonidos y es típico comportamiento del líquido, y donde tenemos líquido en el cuerpo, Vejiga (Orina), Vesícula (Bilis), Vasos (Sangre), LCR (Líquido cefalo-raquídeo)…También estructuras patológicas como los Quistes simples,que tienen un contenido acuoso…bien todas estas estructuras se van a ver en la imagen en colo negro. Por tanto, Anecoico=Negro.

Hipoecogénico o Hipoecoico: Estas estructuras devuelven muy pocos ecos, su aspectos no es negro, pero tienden a un gris muy oscuro y son multitud de estructuras las que se ven así, tanto normales, como patológicas.

Isoecogénico o Isoecoico: Estas estructuras tienen un comportamiento que identificamos igual a la estructura con la que la comparamos, es decir, dentro de la escala de grises de mi equipo, ambas estructuras, aunque distintas anatómicamente, tienen que verse igual, es decir, del mismo gris, por ejemplo, el parénquima hepático y la corteza renal son isoecogénicas, es decir, iguales, el mismo gris.

Hipercogénico o hiperecoico: Estas estructuras devuelven muchos ecos en su interfase, su aspectos no es blanco, pero tienden a un gris muy claro, casi blanco, es decir, brillan mucho y son multitud de estructuras las que se ven así, tanto normales, como patológicas.

The most theoretical part of ultrasound is over, now it’s time to enjoy the images. In this post you will learn how the structures and their ecographic behavior are seen according to the nature they are made of. In radiology we have a series of densities that we have to study when we do a radiological study, in ultrasound, the behavior of these densities is vital to be able to identify structures and pathologies. The behavior of these structures when interacting with the ultrasonic beam will give a series of images, between white and black and all grays that are in between, depending on whether they are black, dark gray, gray, light gray or almost white. to be able to identify those structures as they are, water, fat, bone, air … well, the air does not, you know that in ultrasound the air causes lack of information … The good thing about ultrasound, unlike the Conventional radiology is that it is able to identify different densities of water, for example, blood, pus, etc. We are going to use a series of words to identify that representation of grays, it is the slang of the ultrasound and that has a name, it is known as the ECOGENICITY of the structures … that is what I will try to explain in this Post .. .ahead… Anechoic or anechogenic: It does not return echoes, when the beam reaches an anechoic structure, it will let the whole train of ultrasound pass and it is typical behavior of the liquid, and where we have fluid in the body, Bladder (Urine), Vesicle (Bile), vessels (blood), cerebrospinal fluid (cerebrospinal fluid) … Also pathological structures such as simple cysts, which have an aqueous content … well all these structures will be seen in the image in black. Therefore, Anecoico = Black. Hypoechogenic or Hypoechoic: These structures return very few echoes, their aspects are not black, but they tend to a very dark gray and there are many structures that look like this, both normal and pathological. Isoechogenic or Isoechoic: These structures have a behavior that we identify equal to the structure with which we compare it, that is, within the gray scale of my team, both structures, although different anatomically, have to look the same, that is, the same gray, for example, the hepatic parenchyma and the renal cortex are isoechogenic, that is, equal, the same gray. Hypercogenic or hyperechoic: These structures return many echoes in their interface, their aspects are not white, but tend to a very light gray, almost white, that is, they shine a lot and there are a multitude of structures that look this way, both normal and pathological.
La Ecogenicidad y sus variables.

Cuando decimos que una estructura es Hipo, Iso, Hiper – Ecoico, Ecogénico o Refringente – lo hacemos porque la comparamos, habitualmente, con la estructura que tenemos al lado…No sé si te ha quedado muy claro esto, pero te lo explico de otro modo, con imágenes…verás como lo entiendes.

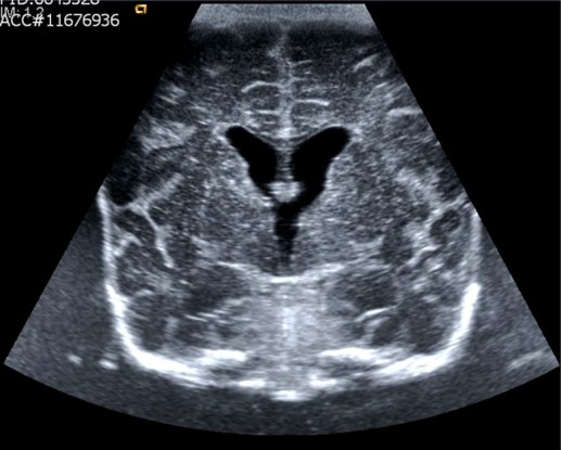
Anecoico: Negro, que no devuelve ecos. En la imagen que ves a continuación ves el corte coronal de un neonato en el contexto de una ecografía transfontanelar, se ven las circonvoluciones del cerebro y en el centro en forma de «Y» y completamente negro el líquido cefalorraquídeo en los ventrículos laterales.El LCR normal se ve así, negro, anecoico.

When we say that a structure is Hipo, Iso, Hiper – Ecoico, Ecogenic or Refringente – we do it because we compare it, usually, with the structure that we have next … I do not know if this has been very clear to you, but I explain it to you otherwise, with images … you’ll see how you understand it. Anechoic: Black, which does not echo. In the image that you see below you see the coronal cut of a neonate in the context of a transfontanel ultrasound, you can see the circonvolutions of the brain and in the center in the form of «Y» and completely black the cerebrospinal fluid in the lateral ventricles. Normal CSF looks like this, black, anechoic.
Imagen del LCR con aspecto Aneocico (Negro)
Imagen de la vejiga.Anecoica.

En la imagen inmediatamente superior objetivamos un corte longitudinal de la vejiga, completamente llena de orina, líquido, por tanto anecoico.

Hipoecogénico: Es toda aquella imagen que sea más oscura que el tejido que tenga alrededor o con el tejido que lo queramos comparar…esta imagen siguiente te lo va a aclarar.

In the image immediately above we objectify a longitudinal section of the bladder, completely filled with urine, liquid, therefore anechoic. Hypoecogenic: It is all that image that is darker than the tissue that has around or with the tissue that we want to compare … this next image will clarify it.
Estructura hipoecogénica dentro de un teste.

En la imagen, bastante antigua, por cierto, vemos una imagen de una estructura ovalada que en su interior alberga otra estructura más pequeña y oscura.Bien, en este caso, es el estudio de un testículo que en su interior tiene una masa de aspecto hipoecogénico, es hipoecogénico porque sin ser negro, es más oscuro que el testículo que lo contiene.

In the image, quite old, by the way, we see an image of an oval structure that inside houses another smaller and darker structure. Well, in this case, it is the study of a testicle that inside has a mass of appearance hypoechogenic, it is hypoechoic because without being black, it is darker than the testicle that contains it.
Isoecogenicidad de corteza renal y parénquima hepático.

En la imagen anterior vemos parénquima hepático y corteza renal cuyo gris es muy parecido, esa es la normalidad, se dice que ambas estructuras se ven isoecogénicas, si alguna de ellas no respetase ese aspecto, nos alertaría de una patología sobre ese órgano, por eso es vital un perfecto ajuste de los parámetros técnicos y una imagen técnicamente bien ejecutada.

Isoecogénico, por tanto será que tiene el mismo gris que el tejido que lo envuelve o con el que lo comparemos…por ejemplo…En la imagen que ves a continuación hay dos estructuras ovoides, del mismo gris, son los testículos en su aspecto ecogénico normal, por tanto iguales. Mismo tono de gris se dice que son de igual ecogenicidad, por tanto aplicamos el sufijo iso para interpretar igualda, por tanto ambos testes entre si son Isoecogénicos.

In the previous image we see liver parenchyma and renal cortex whose gray is very similar, that is normality, it is said that both structures are isoechogenic, if any of them did not respect that aspect, it would alert us of a pathology on that organ, for that reason a perfect adjustment of the technical parameters and a technically well executed image is vital. Isoechogenic, therefore it will be that it has the same gray as the tissue that surrounds it or with which we compare it … for example … In the image that you see below there are two ovoid structures, of the same gray, are the testicles in its normal ecogenic appearance, therefore equal. Same shade of gray is said to be of equal echogenicity, therefore we apply the iso suffix to interpret equal, therefore both tests are Isoechogenic
Comparativa de ambos testículos.

Hipercogénico, hiperecoico o hiperrefringente, son las diferentes denominaciones que unidas al sufijo hiper indican que brilla más que el tejido con el que lo compraremos…por ejemplo…

Estas imágenes devuelven muchos ecos de retorno, sus interfases https://ecografiafacil.com/2017/12/19/7-las-interfases/ son más potentes y por eso brillan más.

En esta imagen que ves a continuación,vemos un riñón, concrétamente el derecho, junto al hígado. Este riñón tiene aspecto ovalado y dos áreas muy definidas, la corteza (flecha naranja) y el seno renal (flecha azul).La corteza es hipoecogénica con respecto a la grasa del seno renal que se objetiva más brillante y por tanto hipercogénica.

Hypercogenic, hyperechoic or hyperrefrigent, are the different names that together with the hyper suffix indicate that it shines more than the tissue with which we will buy it … for example … These images return many echoes of return, their interfaces https://ecografiafacil.com/2017/12/19/7-las-interfases/ are more powerful and therefore shine more. In this image that you see below, we see a kidney, specifically the right, next to the liver. This kidney has an oval aspect and two very defined areas, the cortex (orange arrow) and the renal sinus (blue arrow). The cortex is hypoechoic with respect to the fat of the renal sinus that is seen as brighter and therefore hypercogenic.
Corteza y seno renal y su aspecto ecogénico diferente.

En la imagen anterior vemos una estructura anecoica (negra), que es la vesícula llena de bilis, en su interior una estructura Hiperecogénica, muy brillante, que corresponde a una colelitiasis.

Ya sabes que los tejidos se ven en escala de grises y según sea su brillo los vamos a catalogar. Normales o patológicos los hallazgos deben de interpretarse en base al conocimiento de la normalidad.

A continuación te voy a poner dos imágenes para que puedas evaluar el aspecto ecográfico, en el próximo post te daré la solución.

In the previous image we see an anechoic (black) structure, which is the gall bladder, inside it is a very bright Hyperecogenic structure, corresponding to cholelithiasis. You already know that the fabrics are seen in gray scale and according to their brightness we are going to catalog them. Normal or pathological findings should be interpreted based on knowledge of normality. Next I’m going to put two images so you can evaluate the echographic aspect, in the next post I will give you the solution.
Imagen A. 

En la imagen A tienes que decir qué aspecto ecográfico tiene la estructura que marca la flecha azul:

  1. Hiperecogénico
  2. Isoecogénico
  3. Anecoico
  4. Hipoecogénico.

En la imagen A tienes que decir qué aspecto ecográfico tiene la estructura que marca la flecha amarilla:

  1. Hiperecogénico
  2. Isoecogénico
  3. Anecoico
  4. Hipoecogénico.
Imagen B.

En la imagen B ves dos estructuras redondas dentro de un rectángulo y marcadas con flecha amarilla. Quiero que me digas que aspecto ecográfico tienen respecto del parénquima del bazo marcado con flecha roja.

  1. Hiperecogénico
  2. Isoecogénico
  3. Anecoico
  4. Hipoecogénico.