Esta patología es muy habitual. Normalmente siempre se estudiaba con Rx, pero cada vez más, la ecografía le come el terreno a la radiación convencional y las imágenes cada vez mejores la hacen técnica de elección en algunas ocasiones.
En el caso que te presento hoy, un niño de 11 años, que acude por dolor en rodilla, en la cara anterior, el objetivo es descartar tendinopatía rotuliana. El paciente practica fútbol.
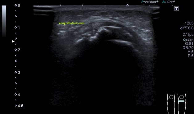
La exploración es típica para el tendón rotuliano, te enlazo la exploración para que tengas base. Cuando el paciente empieza a contar la zona de dolor, el tipo de dolor que padece y colocamos el transductor en la zona de interés, observamos esto en el corte longitudinal a la altura de la inserción del rotuliano en la tibia.

En la inserción del rotuliano, en la cara anterior de la tibia, en la espina anterior, observamos como el hueso está llamativamente irregular, parece que el tendón pudiera estar tendinopático, porque está aumentado de tamaño y además hipoecogénico. coincide con la zona de dolor. En ocasiones, cuando las metáfisis no están osificadas por completo, en adolescentes, por ejemplo, podemos ver cambios en esa zona, pero precisamente estos signos ecográficos, que se pueden dar de forma bilateral, han de ser estudiados.
El eje corto presenta este aspecto ecográfico:

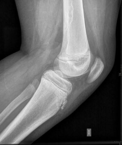
Cuando terminé la exploración y el radiólogo la chequeó le pidió al paciente unas placas para demostrar estos hallazgos, el resultado de las radiografías son estos, se aprecia perfectamente en la lateral los cambios o hallazgos que mostraba la ecografía MSK, mira:


Observa como en la espina tibial anterior, parece que el hueso se está despegando.
Como conclusión, podemos decir, una vez tenemos las imágenes de ambas técnicas que el diagnóstico de estos hallazgos radio-ultrasonográficos es la existencia de irregularidad a nivel de la tuberosidad tibial izquierda con engrosamiento de la porción insercional del rotuliano y cambios inflamatorios en partes blandas adyacentes.
Hallazgos que junto con los visualizados en RX son compatibles con enfermedad de Osgood-Schlatter.
Si me dicen esto hace unos meses…qué locura…





