86. Región Ungueal.

Para acabar el miembro superior lo vamos hacer con este breve post, ideal para el fin de semana y con una exploración no demasiado habitual, pero interesantísima desde el punto de vista de la técnica ecográfica y de la curiosidad de la patología que se busca, es el estudio de la Región Ungueal.

aquí te voy a explicar la técnica…vamos?

La anatomía de la Uña es difícil, pero a nosotrxs nos interesa sobre todo la Matriz.

El estudio de la región extensora de los dedos es muy parecido al de la región flexora, pero vamos a tener una connotación muy importante, que es la siguiente, la parte extensora tiene mucho menos grosor que la flexora, por tanto tanto los tendones extensores y como no, la uña, están «bajo» la piel…

La técnica de estudio de esta región extensora y especialmente la uña es aplicar gran cantidad de Gel o alguna estructura que nos permita crear un campo acuoso que no comprima la zona de estudio…como esta almohadilla.

 

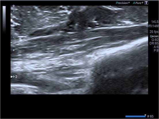
Esta es la imagen que perseguimos, un corte sagital de la porción distal del dedo donde se vea la uña sin compresiones que modifique la ecoarquitectura.

Muy importante una buena cantidad de gel o almohadilla.

La uña se verá como una superficie ligeramente curva e hiperecogénica.

El lecho ungueal hipoecogénico afilado en su terminación que coincide con la Matriz.

Esta es la normalidad, muchos pacientes vienen derivados de la consulta de dermatología para ver si tienen problemas en la matriz que justifiquen un nacimiento defectuoso de la uña.

La técnica y la delicadeza en el estudio es vital y la más la correcta utilización disposición de los parámetros técnicos.

Destacamos Ganancia General y Parcial Frecuencia Profundidad Foco como ajustes ecográficos cuyo uso y conocimiento es vital.

La patología típica vista con ecografía en estos estudios suelen ser pequeñas lesiones ocupantes de espacio en la Matriz Ungueal o en el lecho de la uña. Aquí te dejo un enlace donde consultarla…(Link).

Se termina el MMSS visto desde el punto de vista de la Ecografía MSK…pero queda mucho…

Muchas gracias a los que me leéis y seguís en Blog aquí y en RRSS, gracias por los comentarios y por el apoyo. Gracias por estar ahí…

 

80. Protocolo de Muñeca. Consideraciones.

El protocolo de Muñeca es un protocolo de una dificultad alta, un nivel 2 para la región extensora y un nivel 3 para la región flexora.

Dividimos pues la exploración en dos regiones:

Anterior o región flexora. Nivel de dificultad 3.

Posterior o región extensora. Nivel de dificultad 2.

La sonda apropiada es un transductor lineal de ultra alta frecuencia, rondando los 18 MHz. Siempre usaremos Los Armónicos.

Ajusta todos los parámetros técnicos.

Realizaremos cortes transversos y longitudinales, siempre en función del objeto de estudio.

La Articulación de la Muñeca es foco habitual de patología tendinosa, o es frecuente la aparición de gangliones.

Por ella discurren además gran cantidad tejidos, vasos y nervios…sobre todo en la cara anterior o región flexora.

Conocer la anatomía es muy importante, solo en la cara posterior la muñeca encontramos hasta 8 tendondes diferentes. Y la cara anterior ni te cuento…Tendones,Vasos,Nervios…Túnel Carpiano…Poco a poco…

Este Post es meramente informativo previo al protocolo en si, pero te he enlazado varias paginas para que repases conceptos básicos de técnica ecográfica.

Empezamos…

 

 

78. Protocolo de Codo. Canal Cubital.

No hemos acabado con el protocolo de Codo, aunque hemos estudiado ecográficamente sus 4 caras, queda una parte que a mi me parece de estudio obligado y es el estudio del Canal del Cubital o del desfiladero o del cañón de la cara interna del Codo, posterior al Epicóndilo medial, conocido como el «hueso de la risa» y que en realidad es el lugar por donde circula el Nervio Cubital, el cual puede padecer el «Síndrome del Cubital»…no es mi labor enseñar patología, pero esta es una petición recurrente en el servicio de ecografía para descartar patología a este nivel…

La técnica exploratoria es difícil, nivel 2 claramente, es una zona donde el apoyo de la sonda es malo, donde vas tener que buscar un Nervio, siempre complicado de ver, sobre todo en el eje largo del mismo, ese corte te va a costar un poco si estas empezando, pero paciencia, la piedra es dura, pero nuestra paciencia es ilimitada,ganamos nosotros siempre…

Podemos partir de la posición del estudio de la cara posterior y localizamos el lugar de interés, o bien en flexión del brazo partiendo del estudio de la cara anterior y localizar la zona, es a conveniencia, lo que resulte cómodo para explorador y exploradx.

Bien, atentx, partiendo de la exploración de exploración de la cara anterior del Codo pedimos flexión del Codo, localizamos Epitróclea y colocamos sonda en la línea imaginaria que une Epitróclea y Olécranon, y estas dos referencia óseas son clave y son criterio de calidad de la imagen para encontrar el Nervio en la profundidad de esta imagen. Encontraremos el nervio en este corte y lo localizaremos junto al Tríceps…este es el corte Transverso.

Una vez localizado el Nervio lo recorreremos de distal a proximal hasta donde queramos o se deje ver, luego vuelta al punto de partida y hacemos corte longitudinal, colocando la sonda paralela al teórico lugar del recorrido del tendón, costará, te lo advierto.

Usa mucho gel, no comprimas en exceso y paciencia¡¡

Ecográficamente el Nervio Cubital se verá en el corte transverso, redondo y ligeramente hipoecogénico debido al lugar donde se encuentra. En el corte longitudinal se verá como una «carretera» ligeramente curvado, hipoecogénico y con líneas centrales hiperecogénicas haciendo como «carriles», en este corte es muy complicado cogerlo íntegro,como la imagen que verás a continuación, tranquilx, solo es al principio.

Cortes e imágenes de normalidad:

Nervio ligeramente hipoecogénico y redondo.

Una imagen vale más que mil palabras, dos imágenes, figúrate…

Bien, ahora sí hemos terminado la exploración ecográfica del Codo, normal desde el punto de vista ecográfico.

Quiero aprovechar este Post para hacer una recomendación a todxs lxs que os sentáis a ejecutar una ecografía de cualquier tipo, pero la muscular más. En estudio de Eco MSK necesitamos máxima resolución, máxima calidad de imagen, máxima nitidez…con un manejo de sonda correcto tenemos que sacarle máximo partido a nuestro equipo (sobre todo cuando estos son portátiles o/y de inferior gama) y a sus ajustes ecográficos, algunos vitales como son el Foco y la Frecuencia, junto con la Ganancia General y Parcial y otros ajustes, como Profundidad o Rango Dinámico y estos son vitales y básicos…te los enlazo para que los repases.

Te animo a que le dediques tiempo a esto y me comentes si mejoran tus imágenes…

Y esto viene a colación de que estructuras tan pequeñas como un Nervio Cubital o Ciático son visibles con ecografía, pero si tenemos el foco a la altura del nervio o estructura del aparato locomotor a estudio vamos a lograr resultados mucho mejores, ni que decir tiene cuando algunas de esas estructuras son susceptibles de ser tratadas con algún tipo de punción usando como guía la ecografía. Tenemos que ser muy exquisitos en la parte técnica de la exploración, mejorará nuestro rendimiento y resultados.

Quiero esta brisa, esta humedad en el ambiente, esta PAZ y el mar…no quiero volver…

 

 

73. Protocolo de Codo. Consideraciones.

Dejamos atrás la exploración más importante con diferencia, a nivel de peticiones y patología visible con ecografía, que es la exploración del Hombro.

Ahora vamos a pasar a explicar la exploración ecográfica del Codo.

En la exploración del codo vamos a encontrar una serie de tejidos que no habían sido objeto de estudio en el protocolo de hombro, que muy básicamente explicado, es un protocolo muy dirigido a la parte tendinosa de la articulación a excepción de la AAC. Como digo, en el Codo vamos a tener que dirigir nuestras energías en estudiar, tendones, importantísimos, como la inserción del Bíceps, pero también deberemos manejar y reconocer estructuras vasculonerviosas, como el Nervio Cubital.

Vamos a realizar cortes Transversos y Longitudinales en función de la estructura a estudio, pero emplearemos siempre ambas, aunque una de ellas mandará, por ejemplo, para estudio de Epitrocleitis y Epicondilitis siempre serán primordiales los cortes longitudinales, que son coronales al Codo…

Es una exploración donde la anatomía es más compleja, es más pequeña, lo que aumenta su dificultad en el estudio, además es más compleja, se adereza con nervios y vasos, si bien, estos últimos los vamos a utilizar como guías para localizar otras anatomías de interés.

Fíjate en la imagen superior, es un corte axial al codo, como marca la imagen del brazo de MJ (muack)…Mira que cantidad de anatomía y que variada, para solo un corte ecográfico…

Ecoarquitectura (me encanta la palabrita) normal, o ecogenicidad habitual:

Músculo que se comporta hipoecogénico.

Tendón ligeramente hiperecogénico.

Arteria anecoica por su contenido líquido.

Nervio, siempre cerca del vaso, hiperecogénico.

Cartílago articular anecoico por su alto contenido líquido.

Piel y TCS.

Bien, pues fíjate ahora en la escala que aparece a la izquierda de la imagen donde marca la Profundidad de la imagen…dice que estás trabajando a 2cms¡¡¡¡, toda esa alucinante anatomía, localizada y estudiada en un solo corte¡¡¡ No me digas que no te enamora¡¡¡

Te preguntarás si eres Fisio o pretendes serlo…¿Y los Ligamentos?…mira, este estudio ecográfico es un nivel 1, casi 2 de dificultad, así como lo voy a explicar yo…pero los ligamentos que obviamente están presentes en la anatomía a la que nos vamos a entregar es un nivel superior, y no me quiero meter…cuando dejemos de ser peques y tengamos la base bien asentada, daremos pasos a alturas superiores.

La exploración ecográfica del Codo puede ser una exploración «de urgencia», al contrario que el hombro, ya que, por ejemplo, la rotura de la inserción del tendón del Bíceps es quirúrgica en la primeras horas de evolución de la patología y debe ser atendida inmediatamente.

Para estudiar el Codo vamos a dividir la anatomía en 4 zonas, Anterior, Lateral Externo, Lateral Interno y Posterior, dirigido al estudio de Tendón del Bíceps, Epicóndilo, Epitróclea e inserción del Tríceps, respectivamente y resumido muy a groso modo.Como ya os he contado la anatomía es mucho más compleja y la iremos desgranando en los próximos días.

Es principal la comodidad del paciente, pero también la del operador.

Puede aparecer dificultad en la exploración por dolor e incluso incapacidad funcional.

En Resumen:

Sonda de alta frecuencia.

Estructuras a estudio muy superficiales.

Técnica de elección para lesiones no óseas.

Compleja anatomía. 4 zonas de estudio.

Ajustes ecográficos bien posicionados.

Estamos preparadxs? Pues Vamooooooos¡¡

 

Desde mi retiro espiritual, no dejo de pensar en vosotrxs…Gracias por estar ahí.

 

26. Autoevaluación.

Después de tantos post y tanta información llega el momento de medir si los conceptos han sido asimilados.

Vas a tener la posibilidad de autoevaluarte con estas preguntas en las que hay 4 respuestas con una sola opción correcta.

Apenas te llevará media hora, es un test fácil, adelante…

La ecografía es…

  1. Una radiación ionizante que aprovecha las propiedades acústicas de la materia.
  2. Una radiación no ionizante que aprovecha las propiedades aéreas de la materia.
  3. Una radiación no ionizante que aprovecha las propiedades acústicas de la materia.
  4. Ninguna es correcta.

https://ecografiafacil.com/2017/11/23/que-es-la-ecografia/

¿Dónde se produce el efecto piezoeléctrico?

  1. En el monitor del ecógrafo.
  2. En el transductor.
  3. En las interfases.
  4. En los tejidos.

https://ecografiafacil.com/2017/12/22/8-la-piezoelectricidad/

Clasifica los sonidos según su frecuencia. Señala la correcta.

  1. INFRASONIDOS: entre 0 y 20 KHz.
  2. SONIDOS AUDIBLES: entre 20 Hz y 20 MHz.
  3. ULTRASONIDOS: entre 20 KHz y 1 GHz ( 1 GHz = 109 Hz).
  4. HIPERSONIDOS: a partir de 100 GHz.

https://ecografiafacil.com/2017/12/08/3-clasificando-los-ultrasonidos/

Señala la correcta respecto del concepto del ultrasonidos:

  1. El ultrasonido es capaz de arrancar electrones de la órbita.
  2. El ultrasonido tiene frecuencias inferiores a los sonidos audibles.
  3. La onda de ultrasonido es sinusoide con áreas de rarefacción y compresión.
  4. b y c son correctas

https://ecografiafacil.com/2017/12/13/3-la-onda-ultrasonica-caracteristicas/

De modo general el US se propaga en el cuerpo humano a una velocidad de:

  1. 331 m/s
  2. 1450 m/s
  3. 1540 m/s
  4. 4080 m/s

https://ecografiafacil.com/2017/12/15/5-magnitudes-de-la-onda-otras-magnitudes/

La frecuencia en ecografía se define como:

  1. Número de ciclos que se producen por unidad de tiempo.
  2. Número de sondas por segundo.
  3. Es la máxima distancia que se desplaza una molécula desde su estado normal.
  4. Es la distancia de una compresión a la siguiente.

https://ecografiafacil.com/2017/12/14/4-magnitudes-de-la-onda-ultrasonica-la-frecuencia/

Define longitud de onda…

  1. Número de ciclos que se producen por unidad de tiempo.
  2. Es la máxima distancia que se desplaza una molécula desde su estado normal.
  3. Distancia entre dos puntos correspondiente de una curva de presión.
  4. Ninguna es cierta.

https://ecografiafacil.com/2017/12/15/5-magnitudes-de-la-onda-otras-magnitudes/

Respecto de la impedancia acústica, di la correcta:

  1. Es la resistencia del medio a la propagación de la onda sonora.
  2. Los sólidos tienen una alta impedancia, y los líquidos, partes blandas y gases tienen una baja impedancia.
  3. El gas transmite muy mal el ultrasonido.
  4. Todas son ciertas.

https://ecografiafacil.com/2017/12/17/6-interaccion-del-haz-ultasonico-y-la-materia/

¿Qué efectos aparecen en una interfase? Señala la correcta.

  1. Reflexión, relajación y excitación.
  2. Atenuación, relajación y excitación.
  3. Refracción, relajación y excitación.
  4. Calor.

https://ecografiafacil.com/2017/12/19/7-las-interfases/

¿la zona de mayor utilidad para la ecografía, respecto del haz ultrasónico, es?:

  1. Zona Focal.
  2. Fraunhofer.
  3. Fresnel
  4. b y c son correctas.

https://ecografiafacil.com/2017/12/23/9-el-haz-ultrasonico/

¿Qué  sonda ecográfica usaremos en un estudio normal de Abdomen?

  1. Cónvex
  2. Lineal
  3. Intracavitaria
  4. Sonda lápiz

https://ecografiafacil.com/2018/01/01/11-tipos-de-transductores/

¿Qué  sonda ecográfica usaremos en un estudio normal de Tiroides?

  1. Cónvex
  2. Lineal
  3. Intracavitaria
  4. Sonda lápiz

https://ecografiafacil.com/2018/01/01/11-tipos-de-transductores/

¿Qué  sonda ecográfica usaremos en un estudio normal de Cadera Pediátrica?

  1. Cónvex
  2. Lineal
  3. Intracavitaria
  4. Sonda lápiz

https://ecografiafacil.com/2018/01/01/11-tipos-de-transductores/

El Modo B o 2D es:

  1. Modulación de amplitud.
  2. Modulación de brillo.
  3. El modo más usado en medicina.
  4. b y c son correctas.

https://ecografiafacil.com/2018/01/07/14-parametros-tecnicos-los-modos-de-trabajo/

La Ganancia General es:

  1. Capacidad que tenemos de modificar el contraste de la imagen.
  2. Capacidad que tenemos de modificar el brillo de toda la imagen.
  3. Es la modulación de la amplitud del ultrasonido.
  4. b y c son las correctas.

https://ecografiafacil.com/2018/01/10/15-la-ganancia-general/

Respecto del Foco o Enfoque señala la falsa:

  1. Aumentamos la nitidez en la línea donde lo situemos.
  2. Es un comando dependiente del Técnico que esté realizando la ecografía.
  3. Los equipos modernos son monofocales.
  4. Es vital su uso para una correcta visualización de la estructura a estudio.

https://ecografiafacil.com/2018/01/18/19-el-foco/

¿En ecografía médica si aumentamos la frecuencia en un estudio…?

  1. Obtendremos menos profundidad, pero obtendremos más nitidez.
  2. Obtendremos más profundidad, pero obtendremos menos nitidez.
  3. Obtendremos menos profundidad y obtendremos menos nitidez.
  4. Obtendremos más profundidad y obtendremos más nitidez.

https://ecografiafacil.com/2018/01/24/21-la-frecuencia/

Del Rango Dinámico depende…

  1. El brillo de la pantalla.
  2. Depende el contraste de la pantalla.
  3. Depende la nitidez de la imagen.
  4. a y b son correctas.

https://ecografiafacil.com/2018/02/02/23-el-rango-dinamico/

Usaremos el armónico cuando…

  1. La imagen fundamental no es buena.
  2. Es recomendable cuando hay muchas interfases.
  3. La imagen armónica procesa ecos generados por la imagen fundamental.
  4. Todas son correctas.

https://ecografiafacil.com/2018/01/29/22-los-armonicos/

La Potencia de transmisión del ecógrafo:

  1. tiene que ver con el criterio ALARA.
  2. Tiene que ver con el IM.
  3. Tiene que ver con la calidad de la imagen.
  4. Todas son correctas.

https://ecografiafacil.com/2018/02/04/24-la-potencia-de-transmision/

Espero que hayas disfrutado. En cada pregunta tienes el enlace para que busques la respuesta correcta.

 

 

22. Los Armónicos.

Los Armónicos o frecuencia armónica es un ajuste ecográfico que está muy ligado a la frecuencia de la que hablábamos en el capítulo anterior y que de modo general es un parámetro técnico muy desconocido para la mayoría de los operadores que se sientan frente a un ecógrafo a realizar una eco.

Es un ajuste o parámetro de difícil comprensión en lo que a su formación se refiere, pero es muy útil y vamos a intentar desmenuzar bien su base teórica para que nos ayude a usarlos mejor…

Es un sistema de recepción de ecos para captar señales con una frecuencia el doble o más que la emitida, que solo es posible producirla por la reverberación de los tejidos y nunca por un artefacto. Es decir, yo emito un pulso de ultrasonidos a 5 MHz y recojo ecos de retorno de 10 MHz discriminando los que están por debajo de ese umbral. Uno de los efectos perseguidos con este ajuste es «limpiar» la imagen de aquellos ecos de retorno que no son útiles y «ensucian» la imagen con ese moteado característico de la imagen fundamental de la ecografía.

En resumen, puedo emitir una frecuencia f y recibir aquellos ecos de retorno que sean 2f, 3f o más…

¿Imagen fundamental?, te explico, la imagen fundamental es una imagen primaria, sin armónicos, con sus cosas buenas y sus cosas malas desde el punto de vista diagnóstico, es la imagen de base que nos ofrece el ecógrafo. Esta imagen es susceptible de ser modificada con todos los ajustes que hemos ido explicando hasta ahora y luego, aplicar los armónicos para ver si nos ofrece ese salto de calidad, que se produce casi siempre cuando ponemos los armónicos.

Harmonics or harmonic frequency is an ultrasound adjustment that is closely linked to the frequency that we talked about in the previous chapter and that in general is a technical parameter that is very unknown to most operators who sit in front of an ultrasound machine to perform an echo It is an adjustment or parameter that is difficult to understand in terms of its training, but it is very useful and we are going to try to break down its theoretical base to help us use them better … It is a system of reception of echoes to pick up signals with a frequency twice or more than that emitted, which can only be produced by the reverberation of the tissues and never by an artifact. That is to say, I issue a pulse of ultrasound at 5 MHz and I collect echoes of 10 MHz return discriminating those that are below that threshold. One of the effects pursued with this adjustment is to «clean» the image of those return echoes that are not useful and «dirty» the image with that mottled characteristic of the fundamental image of the ultrasound. In summary, I can issue a frequency f and receive those return echoes that are 2f, 3f or more … Fundamental image ?, I explain, the fundamental image is a primary image, without harmonics, with its good things and its bad things from the diagnostic point of view, is the basic image that the ultrasound machine offers us. This image is susceptible to be modified with all the adjustments that we have been explaining so far and then apply the harmonics to see if it offers that quality jump, which occurs almost always when we put the harmonics.
Imagen de alta frecuencia con y sin armónicos.

Las diferencias en algunos estudios son extremadamente llamativas, pudiendo llegar a diferenciar estructuras usando este ajuste que con la imagen fundamental se observan dificultosamente. En la imagen anterior, Tendón extensor común de los dedos de la mano. Misma imagen sin y con armónicos. Juzgar vosotros.

The differences in some studies are extremely striking, being able to differentiate structures using this adjustment that with the fundamental image are observed difficultly. In the previous image, Tendon extensor common of the fingers of the hand. Same image without and with harmonics. Judge you.
Observa las diferencias entre las dos imágenes.

En la imagen vemos dos imágenes, observamos que la nitidez y la definición de las estructuras es mucho mayor con armónicos que sin ellos.

Los armónicos es un ajuste implementado gracias al avance y la investigación de las casas comerciales en pos de conseguir una imagen mejor. Ya suelen estar integrados en los presets que vienen de fábrica o en la configuración personal que nos ofrece el técnico de aplicaciones cuando nos instala el equipo, una labor vital, por cierto.

Podemos explicar que los armónicos son, ecos de retorno múltiplos de la frecuencia transmitida en origen y que se debe a una propagación de la onda de ultrasonidos donde el componente de alta presión o compresión se transmite más rápidamente que el componente negativo o rarefacción.

Como esta explicación resulta bastante dura, pero no hay otra, puesto que es física pura, vamos a centrarnos en lo que importa en la práctica y que son sus ventajas, las mismas que a continuación te presento esquemáticamente.

In the image we see two images, we observe that the clarity and definition of the structures is much greater with harmonics than without them. The harmonics is an adjustment implemented thanks to the advance and research of the commercial houses in pursuit of achieving a better image. They are usually integrated in the presets that come from the factory or in the personal configuration that the application technician offers us when he installs the equipment, a vital task, by the way. We can explain that harmonics are return echoes multiples of the frequency transmitted at origin and that is due to a propagation of the ultrasound wave where the component of high pressure or compression is transmitted faster than the negative component or rarefaction. As this explanation is quite hard, but there is no other, since it is pure physics, we are going to focus on what matters in practice and what are its advantages, the same ones that I present here schematically.
  • Reducen los artefactos y aumentan la resolución.
  • Los armónicos o frecuencia armónica mejora la imagen respecto de la frecuencia fundamental, ya que esta debida a las interfases puede resultar poco resolutiva
  • Utilizaremos armónicos cuando la imagen fundamental no sea suficientemente buena.
  • Es una imagen más nítida ya que “limpia” la imagen fundamental.
  • En frecuencias altas ofrece una gran calidad de imagen.
  • Con los armónicos reducimos el moteado.
  • They reduce the artifacts and increase the resolution.
  • The harmonics or harmonic frequency improves the image with respect to the fundamental frequency, since this due to the interfaces can be not very resolutive
  • We will use harmonics when the fundamental image is not good enough.
  • It is a sharper image because it «cleans» the fundamental image.
  • In highs frequencies it offers a great image quality.
  • With the harmonics we reduce the mottling.

El moteado es un factor de degradación de la imagen producido por la dispersión de ultrasonidos de pequeños reflectores o pequeñas interfases, mostrando una imagen con un grano característico. En estas pequeñas interfases se producen ecos de retorno que ensucian la imagen y no aportan información porque una parte de los ecos de retorno producidos en las interfases ni siquiera llega al transductor, los eliminamos y nos queda una imagen mejor.

No confundamos, para ir terminando, armónicos con filtros porque no es lo mismo, el armónico es una representación selectiva de los mejores ecos de retorno. Dependiendo del equipo, normalmente de su gama, podemos disfrutar de varios tipos de armónicos.

En la pantalla la imagen armónica se identifica habitualmente dependiendo de la casa comercial acompañando al valor de la frecuencia alguna letra o palabra, en la imagen fundamental, la frecuencia aparecerá como un valor numérico solitario (últimas imágenes).

Los armónicos deben estar siempre a disposición del operador, y se identifican en muchas marcas como THI o tissue harmonic imaging. El uso de los armónicos no es obligatorio, pero recomendable. Siempre asociando su uso a las características del paciente y del estudio.

Mottle is a factor of degradation of the image produced by the scattering of ultrasound of small reflectors or small interfaces, showing an image with a characteristic grain. In these small interfaces return echoes are produced that dirty the image and do not provide information because a part of the return echoes produced at the interfaces does not even reach the transducer, we eliminate them and we have a better image. Let’s not confuse, to finish, harmonics with filters because it is not the same, the harmonic is a selective representation of the best return echoes. Depending on the equipment, normally of its range, we can enjoy several types of harmonics. In the screen the harmonic image is usually identified depending on the commercial house accompanying the value of the frequency some letter or word, in the fundamental image, the frequency will appear as a solitary numerical value (last images). Harmonics must always be available to the operator, and are identified in many brands as THI or tissue harmonic imaging. The use of harmonics is not mandatory, but recommended. Always associating its use with the characteristics of the patient and the study.
Observar en recuadro rojo el tipo de armónico y su valor numérico con las letras.
Imagen fundamental y valor de frecuencia en solitario.

 

 

21. La Frecuencia.

La Frecuencia es sin duda el ajuste ecográfico más importante desde el punto de vista técnico a la hora de hacer una ecografía, es el eslabón más importante de la cadena que forman los «5 fantásticos» que son en mi opinión, la Ganancia General, la Ganancia Parcial, el Foco, la Profundidad y la mencionada Frecuencia. Manejando estos 5 parámetros podemos estar seguros de que si los usamos correctamente, nuestra imagen será diagnóstica, claro está, si sabemos como realizar los cortes de la estructura anatómica a estudio.

Este ajuste lo enlazamos https://ecografiafacil.com/2017/12/14/4-magnitudes-de-la-onda-ultrasonica-la-frecuencia/ con este episodio donde hablábamos de modo más abstracto de esta magnitud, pero que son la misma cosa. En ese episodio decía que según las frecuencia utilizadas en los ecógrafos que usamos para realizar los estudios, utilizaremos diferentes transductores o sondas ecográficas para llevar a cabo dichos estudios, me explico…

Si utilizamos frecuencias bajas (entre 2 y 6 MHz), tenemos que usar una sonda cónvex, y estudiaremos estructuras con profundidades grandes, Abdómenes y Ginecológicas.

Si usamos frecuencias altas (entre 10 y 18 MHz), utilizamos sonda lineal y serán objeto de estudio estructuras superficiales como, Músculos, Tendones, Ligamentos, Partes Blandas, Tiroides y Cuello, estructuras vasculares superficiales, Testes, Mama, Ojos, etc…Muy versátiles, por tanto, estas frecuencias altas. Incluso, podemos usar éstas en ecografía pediátrica, si la/el paciente es suficientemente pequeño, por ejemplo, es muy normal realizar ecografía de Caderas, Transfontanelar y Abdomen a bebés, y estas frecuencias altas son ideales.

¿Pero qué logramos en realidad usando una u otra frecuencia? Debemos partir de la base que siempre debemos usar la mayor frecuencia posible para obtener la imagen con máxima resolución posible.

Para realizar el estudio de un músculo, por ejemplo, usaremos, dentro de las frecuencias altas, la más alta si el músculo es muy superficial, pero si el músculo es más profundo y/o el paciente es muy voluminoso quizá sea bueno bajar un salto de frecuencia, así ganaremos un poco más de visión profunda aunque perdamos un poco de resolución o nitidez.

This adjustment is linked to https://ecografiafacil.com/2017/12/14/4-magnitudes-of-the-onda-ultrasonica-la-frecuencia/ with this episode where we talked in a more abstract way of this magnitude, but which are the same thing. In that episode he said that according to the frequency used in the ultrasound machines that we use to carry out the studies, we will use different transducers or sonographic probes to carry out these studies, I mean … If we use low frequencies (between 2 and 6 MHz), we have to use a convex probe, and we will study structures with large depths, abdomens and gynecology. If we use high frequencies (between 10 and 18 MHz), we use linear probe and will study superficial structures such as muscles, tendons, ligaments, soft parts, thyroid and neck, superficial vascular structures, testes, breast, eyes, etc. . Very versatile, therefore, these high frequencies. We can even use these in pediatric ultrasound, if the patient is small enough, for example, it is very normal to perform ultrasound of hips, transfontanel and abdomen to babies, and these high frequencies are ideal. But what do we actually achieve by using one or the other frequency? We must start from the base that we should always use as often as possible to obtain the image with maximum possible resolution. To perform the study of a muscle, for example, we will use, within the high frequencies, the highest if the muscle is very superficial, but if the muscle is deeper and / or the patient is very voluminous, it may be good to jump down of frequency, this way we will gain a little more of deep vision although we lose a little resolution or clarity.
Diferencias de nitidez. Frecuencias altas.

En la imagen superior observamos dos imágenes idénticas del Tendón extensor común de los dedos de la mano (flecha amarilla) estudiado con sonda de alta frecuencia y donde en la imagen superior se observa en recuadro rojo que se emplean 12 MHz y en la inferior, la misma estructura (flecha verde) estudiada con 7 MHz. Nótese la abrumadora diferencia de nitidez de la imagen superior.

Dentro de las frecuencias altas y bajas podemos elegir entre varias, eso es debido al Ancho de Banda…Es decir, para frecuencias bajas, por ejemplo para hacer un abdomen, usaré frecuencia de 3 mHz si en paciente es obeso (mucha profundidad) y 5 mHz si el paciente es muy delgado (poca profundidad), o de otra manera, mi sonda cónvex (baja frecuencia) puede usar varias frecuencias bajas en función de las necesidades del estudio. De otro modo, el ancho de banda es una horquilla de frecuencias que puedo usar dentro de un tipo de frecuencias, bien sean altas o bajas. Un ejemplo de esto lo tenemos en las imágenes siguientes.

In the upper image we observed two identical images of the common extensor tendon of the fingers of the hand (yellow arrow) studied with high frequency probe and where in the upper image it is observed in red box that 12 MHz are used and in the lower one, the same structure (green arrow) studied with 7 MHz. Note the overwhelming difference in sharpness of the upper image.
Within the high and low frequencies we can choose among several, that is due to the Bandwidth … That is, for low frequencies, for example to make an abdomen, I will use a frequency of 3 mHz if the patient is obese (a lot of depth) and 5 mHz if the patient is very thin (shallow), or otherwise, my convex probe (low frequency) can use several low frequencies depending on the needs of the study. Otherwise, the bandwidth is a fork of frequencies that I can use within a type of frequencies, either high or low. We have an example of this in the following images.
3 MHz.
5 MHz.

Otro ejemplo…para hacer un hombro, usaré frecuencia alta de 12 mHz si en paciente es muy musculoso (mucha profundidad) y 18 mHz si el paciente es muy delgado (poca profundidad), o de otra manera, mi sonda lineal (alta frecuencia) puede usar varias frecuencias altas en función de las necesidades del estudio.

Por ejemplo en algunas patologías es muy útil el cambio de frecuencias, por ejemplo en los hígados con Esteatosis Hepática donde no se observa bien los planos más profundos del órgano afectado. En la imagen siguiente podemos ver como disminuyendo la frecuencia ganamos poder de penetración pudiéndose observar en la profundidad con más claridad la interfase producida por el diafragma (línea blanca hiperecogénica o brillante).

Another example … to make a shoulder, I will use a high frequency of 12 mHz if the patient is very muscular (very deep) and 18 mHz if the patient is very thin (shallow), or otherwise, my linear probe (high frequency) can use several high frequencies depending on the needs of the study. For example, in some diseases it is very useful to change frequencies, for example in livers with Hepatic steatosis where the deeper planes of the affected organ are not well observed. In the following image we can see how decreasing the frequency we gain penetration power being able to observe in the depth with more clarity the interface produced by the diaphragm (hyperechogenic or bright white line).

En el equipo la presentación de este ajuste puede estar en la botonera o en la pantalla táctil, en casi todos los equipos ya se incorpora en esta última apariencia. Además esa frecuencia puede aparecer con un valor numérico o con grados de poder de penetración, como en las imágenes de a continuación.

In the equipment the presentation of this adjustment can be in the keypad or on the touch screen, in almost all the equipment is already incorporated in this last appearance. In addition, this frequency can appear with a numerical value or with degrees of penetration power, as in the images below.
Frecuencia con valor numérico.
Frecuencia con valor según poder de penetración.

En función del grado de penetración, tendremos «Penetración» para las frecuencias bajas dentro del ancho de banda correspondiente a esa sonda y «Resolución», para frecuencias altas dentro de esa misma sonda, el punto intermedio se queda para «General».

Si el valor fuese numérico, lo veremos reflejado en la pantalla, como en la imagen siguiente…

Depending on the degree of penetration, we will have «Penetration» for the low frequencies within the bandwidth corresponding to that probe and «Resolution», for high frequencies within that same probe, the intermediate point stays for «General». If the value were numeric, we will see it reflected on the screen, as in the following image …
En rojo, rodeado el valor de la frecuencia usada.

Es un parámetro dependiente del operador, del Técnico en nuestro caso, su buen uso relanza la calidad del estudio.

Por tanto y para terminar este denso pero importantísimo capítulo, resumimos con dos frases que deben ser grabadas para cualquiera que se precie de sentarse delante de un ecógrafo…y son…

Si aumentamos la frecuencia tendremos menor poder de penetración pero mayor resolución.

Si disminuimos la frecuencia tendremos mayor poder de penetración pero menor resolución.

Además, la elección de la frecuencia correcta la marca las características físicas de cada paciente, cuando mas grueso sea, menos frecuencia debemos emplear.

It is a parameter dependent on the operator, the Technician in our case, its good use re-launches the quality of the study. Therefore and to finish this dense but very important chapter, we summarize with two phrases that should be recorded for anyone who claims to sit in front of an ultrasound … and they are … If we increase the frequency we will have less penetration power but higher resolution. If we decrease the frequency we will have greater penetration power but lower resolution. In addition, choosing the correct frequency marks the physical characteristics of each patient, the thicker it is, the less frequently we should use it.

20. Medidas.

Os voy a hablar hoy de las medidasEl botón de medida o caliper, no es en si mismo un ajuste ecográfico, pero está integrado en la botonera y su uso y su función es muy importante porque nos va a permitir conocer cuales son las proporciones de las estructuras que estamos estudiando o las velocidades de la sangre en los estudios vasculares.

En algunos equipos esta función puede aparecer directamente en la pantalla, pero lo normal es que aparezca en la botonera, es, desde un aspecto de vista funcional, mucho más práctico, pero esto es una opinión personal.

I am going to talk about the measurements today … The measure button, or caliper, is not an echographic adjustment in itself, but it is integrated in the keypad and its use and function is very important because it will allow us to know which are the proportions of the structures that we are studying or the velocities of the blood in the vascular studies. In some teams this function can appear directly on the screen, but it is normal to appear on the keypad, it is, from a functional aspect, much more practical, but this is a personal opinion.

En estas tres imágenes anteriores vemos los diferentes aspectos que pueden tomar esta función y que cada marca comercial implementa según su criterio.

No es un ajuste ecográfico porque no afecta a la calidad de la imagen. Pero la verdad, es tan importante en el día a día que, en mi opinión, merece estar aquí.

Suele aparecer en la botonera cerca de Trackball, nos vamos a valer del Trackball para poder manejar los comandos del medidor en la pantalla por lo que ambas funciones, medidas y trackball están íntimamente relacionadas.

In these three previous images we see the different aspects that this function can take and that each commercial brand implements according to its criteria. It is not an ultrasound adjustment because it does not affect the quality of the image. But the truth is that it is so important in the day to day that, in my opinion, it deserves to be here. It usually appears in the keypad near Trackball, we will use Trackball to be able to handle the meter commands on the screen, so both functions, measurements and trackball are closely related.
Medida de un Bazo.

Cuando tenemos una estructura que queremos medir, por ejemplo, el tamaño del Bazo, vamos a localizar la imagen, después vamos a congelarla y si nos gusta, procedemos a hacer una medida. Para ello pulsaremos el botón de medidas, en la pantalla aparecerá un comando en forma de «+» o de «*» o de alguna forma similar, llevaremos con el trackaball ese comando hasta el principio de la estructura que queramos medir, pulsaremos el botón de «SET» o botón de función idéntica aunque no tenga este nombre (marcas comerciales) que habitualmente está junto a trackball, fijando ese primer comando y desplazamos otro signo igual que el que hemos utilizado y que aparece al pulsar «SET» hasta el punto final de la estructura a medir, otra vez, como no, con el trackball. Nos aparecerá en pantalla una medida, correspondiente a la medida de la estructura a estudio. Fácil.

El ejemplo de la foto anterior observamos un bazo medido y su medida abajo a la izquierda de la imagen.

Podemos repetir esto tantas veces como deseemos volviendo a pulsar el botón de medida.

When we have a structure that we want to measure, for example, the size of the Spleen, we will locate the image, then we will freeze it and if we like it, we proceed to make a measurement. For this we will press the button of measures, in the screen it will appear a command in the form of «+» or of «*» or in some similar way, we will take with the trackaball that command until the beginning of the structure that we want to measure, we will press the button «SET» or identical function button even if it does not have this name (trademarks) that is usually next to trackball, setting that first command and move another sign like the one we used and that appears when you press «SET» to the point end of the structure to be measured, again, of course, with the trackball. A measure will appear on the screen, corresponding to the size of the study structure. Easy. The example in the previous photo shows a measured spleen and its measurement at the bottom left of the image. We can repeat this as many times as we wish by pressing the measurement button again.
Medidas de un estudio vascular.

En la imagen anterior, la medida de la velocidad en una arteria en un estudio Doppler de TSA.

Cuando pulsamos el botón de medida, en la pantalla táctil de los ecógrafos más modernos suele desplegarse un submenú con las funciones que alberga dentro de si el botón de medida, por ejemplo, medida de volumen, para las próstatas, medidas de indices de resistencia para estudio vasculares, medidas de áreas, las más usadas y un largo etcétera de sub-funciones que por norma general son de uso ocasional. Por ejemplo la foto que observas a continuación.

In the previous image, the measurement of the velocity in an artery in a Doppler study of TSA. When we press the measurement button, on the touch screen of the most modern echographs, a submenu is usually displayed with the functions that it houses inside the measurement button, for example, measurement of volume, for prostates, measures of resistance indices for vascular studies, measurements of areas, the most used and a long etcetera of sub-functions that as a rule are for occasional use. For example, the photo you see below.

En esta imagen observamos que en el modo 2D podemos ejecutar estas acciones dentro de la función de medir. El el modo Doppler, tendremos otro submenú con tareas específicas de la función de medir y que se usarán en estudios de vascular y en el modo M, para cardio, pero os digo que en este caso es la presentación de una marca comercial, otras implementarán estas acciones de manera similar, pero no igual.

Cuando medimos distancias lo haremos en centímetros, por ejemplo, en el Bazo que has visto antes, pero en estudios vasculares mediremos en cm/s ya que medimos velocidades y no distancias.

En la imagen, observamos, señalada con flecha blanca, la palabra «Borrar», es obvio que si nos equivocamos al ejecutar una medida, podamos borrarla para realizarla correctamente.

Hoy hemos tratado un tema «amable», fácil de entender y de usar, te invito a que te suscribas al Blog y así poder seguir cada nuevo Post, te advierto, el próximo será muy, muy interesante…será muy didáctico.

In this image we observe that in the 2D mode we can execute these actions within the function of measuring. In the Doppler mode, we will have another submenu with specific tasks of the function to measure and that will be used in studies of vascular and M-mode, for cardio, but I tell you that in this case it is the presentation of a commercial brand, others will implement These actions similarly, but not the same. When we measure distances we will do it in centimeters, for example, in the Spleen that you have seen before, but in vascular studies we will measure in cm / s since we measure speeds and not distances. In the image, we observe, marked with a white arrow, the word «Delete», it is obvious that if we make a mistake when executing a measurement, we can erase it to perform it correctly. Today we have treated a «friendly» theme, easy to understand and use, I invite you to subscribe to the Blog and thus be able to follow each new Post, I warn you, the next one will be very, very interesting … it will be very educational.

19. El foco.

También conocido como enfoque, es una herramienta vital en día a día. Es el ajuste ecográfico que vamos a utilizar para ver con mayor nitidez aquella parte de la pantalla en la que tenemos la estructura que nos interesa estudiar. Es decir, imagina que estamos utilizando una profundidad de 12 centrímetros en el estudio de un hígado, pero ese hígado tiene en la parte mas superficial de la pantalla, como a 4 centímetros de la piel, una estructura sospechosa, una lesión, que necesito estudiar con más cuidado, lo que voy a hacer es llevar el foco a la profundidad de 4 centrímetros para ver con mayor resolución, con mayor nitidez,  en esa parte de la imagen, eso conllevará una resolución menor en otras profundidades de la imagen, tanto mayores como menores.

Si no objetivamos nada particular en la imagen que debamos estudiar, tendremos el foco colocado en aquella zona donde observemos la imagen globalmente, lo más nítida posible, suele ser en la zona central de la profundidad, siempre que ésta esté acorde con la zona de estudio, como expliqué en el capítulo anterior.

Also known as focus, it is a vital tool on a day-to-day basis. It is the ultrasound adjustment that we are going to use to see more clearly that part of the screen in which we have the structure that we are interested in studying. That is, imagine that we are using a depth of 12 centimeters in the study of a liver, but that liver has in the most superficial part of the screen, about 4 centimeters from the skin, a suspicious structure, an injury, that I need to study more carefully, what I’m going to do is take the focus to the depth of 4 centimeter to see with higher resolution, with greater clarity, in that part of the image, that will lead to a lower resolution in other depths of the image, both higher as minors. If we do not objectify anything particular in the image that we must study, we will have the focus placed in that area where we observe the image globally, as clearly as possible, usually in the central area of ​​the depth, as long as it is in accordance with the study area , as I explained in the previous chapter.
Foco o Focus, junto a Profundidad o Depth
Aspecto de rueda pequeña superior al Trackball.

El foco es un comando que puede tener diferentes aspectos en la botonera, puede ser una pequeña rueda, en la imagen anterior, entre las teclas SET y NEXT. Puede ser una tecla que se pueda accionar arriba y abajo, debe estar siempre cerca de la profundidad, a mi me gusta que sea así, porque su uso está bastante relacionado.

The focus is a command that can have different aspects in the keypad, it can be a small wheel, in the previous image, between the SET and NEXT keys. It can be a key that can be operated up and down, it must always be close to the depth, I like it to be that way, because its use is quite related.
Foco y profundidad en rectángulo amarillo.

Este ajuste está íntimamente relacionado con la propagación del haz ultrasónico y sus partes https://ecografiafacil.com/2017/12/23/9-el-haz-ultrasonico/.

En ese capítulo veíamos que justo antes de la divergencia del haz había una zona conocida como «zona focal», esa zona la podemos modificar para corregir la divergencia del haz y poder ver con mayor nitidez en la profundidad de la pantalla, por ejemplo.

El foco o enfoque tiene que estar siempre en la línea de interés o un poco por debajo de ella.

Los equipos de ecografía cuanto mejores son, más foco dependientes son, es decir, que tengamos un equipo de alta gama no nos evita la utilización de este ajuste, sino que en la práctica, puedo asegurar que es más efectivo y necesario.

This adjustment is closely related to the propagation of the ultrasonic beam and its parts https://ecografiafacil.com/2017/12/23/9-el-haz-ultrasonico/. In that chapter we saw that just before the divergence of the beam there was an area known as «focal area», that area can be modified to correct the divergence of the beam and be able to see more clearly in the depth of the screen, for example. The focus or focus must always be on the line of interest or a little below it. The sonography equipment the better they are, the more dependent they are, that is to say, that we have a high-end equipment does not prevent us from using this adjustment, but in practice, I can assure that it is more effective and necessary.
Colocación óptima del foco mejora la imagen en zona de interés.

En las imágenes anteriores se demuestra mejor visualización del Tendón del Biceps en la corredera bicipital si situamos el foco a su altura, más nítido que si situamos el foco en la profundidad de la imagen.

Su aspecto en pantalla suele ser un triángulo blanco junto a la línea centimetrada de la profundidad, pueden ser varios focos a la vez los que utilicemos, de manera que «enfoquemos» mejor en varias zonas de la pantalla, pero esto lógicamente tiene un precio, que es el refresco de la pantalla, es decir, vamos a hacer que tengamos menos imágenes por segundo en pantalla y podamos observar que la imagen va como a «saltos», como cuando vemos una película en fotogramas…eso en la práctica agota y por eso se recomienda el uso de un solo foco, en la zona de interés.

In the previous images, better visualization of the Biceps Tendon in the bicipital slider is shown if we place the focus at its height, more clear than if we place the focus in the depth of the image. Its appearance on the screen is usually a white triangle next to the centimeter line of the depth, there may be several bulbs at the same time that we use, so that we «focus» better in several areas of the screen, but this logically has a price, which is the refresh of the screen, that is, we are going to have less images per second on the screen and we can observe that the image goes as «jumps», as when we see a film in frames … that actually exhausts and for that reason the use of a single focus is recommended, in the area of ​​interest.
2 focos en pantalla, a casi 1 cm y a 2 cms. Obsérvese el triángulo blanco a dos alturas.

Este ajuste se usa también en otros modos de imagen, como el doppler, no es exclusivo del Modo «B» o «2D».

Es un ajuste de uso exclusivo del operador…y es esencial su conocimiento con el objetivo de conseguir la mejor imagen posible, con la mayor nitidez en la zona de interés.

This setting is also used in other image modes, such as the Doppler, it is not exclusive to the «B» or «2D» mode. It is an adjustment for the exclusive use of the operator … and his knowledge is essential in order to achieve the best possible image, with the greatest clarity in the area of ​​interest.

18. La Profundidad.

La profundidad es un ajuste ecográfico en el cual vamos a poder controlar la distancia a la que queremos trabajar o la distancia que necesitamos en centímetros para estudiar aquella estructura que deseemos. Por ejemplo, usaremos profundidades muy diferentes para estudiar un tendón supraespinoso o de un hígado.

Para estudios superficiales como pueden ser ecografías musculares o de partes blandas emplearemos profundidades pequeñas de máximo 4 cms para un paciente estándar, pero para estudiar el Abdomen de un adulto necesitamos perentoriamente utilizar profundidades de unos 15 cms…

The depth is an ultrasound adjustment in which we will be able to control the distance we want to work or the distance we need in centimeters to study that structure we want. For example, we will use very different depths to study a supraspinatus or a liver tendon. For superficial studies such as muscle or soft tissue ultrasounds we will use small depths of maximum 4 cm for a standard patient, but to study the abdomen of an adult we need to use depths of approximately 15 cm.
Imágenes de Hígado y Tendón del Supraespinoso y sus profundidades de estudio en rectángulo amarillo.

Bien, esto es fácil de entender, pero este tipo de distancias se acompañan de la elección de sondas ecográficas que nos den la imagen correcta para cada estudio…cuando hablamos de los tipos de transductores, dijimos que los lineales eran de alta frecuencia y los cónvex de baja frecuencia. En el siguiente enlace puedes consultar esta información. https://ecografiafacil.com/2018/01/01/11-tipos-de-transductores/

Por tanto, para técnicas que requieran estudios de poca profundidad usaremos sondas de alta frecuencia y para estudios de más profundidad, usaremos sondas de baja frecuencia.

Este ajuste suele estar situado en la botonera a la derecha del trackball y el freezer, se puede identificar en ingles como «Depth» y suele situarse junto al foco, otro ajuste de gran importancia y que estudiaremos muy próximamente. En algunas marcas como Toshiba, este ajuste se integra en el mismo botón con el Zoom y no se deben de confundir, en otras marcas como Samsung, están separados como puedes ver en las fotos expuestas a continuación.

Well, this is easy to understand, but this type of distance is accompanied by the choice of ultrasound probes that give us the correct image for each study … when we talk about the types of transducers, we said that the linear ones were of high frequency and the low frequency convex. In the following link you can check this information. https://ecografiafacil.com/2018/01/01/11-tipos-de-transductores/ Therefore, for techniques that require shallow studies we will use high frequency probes and for deeper studies, we will use low frequency probes. This adjustment is usually located in the keypad to the right of the trackball and the freezer, can be identified in English as «Depth» and is usually placed next to the focus, another adjustment of great importance and we will study very soon. In some brands like Toshiba, this setting is integrated in the same button with the Zoom and should not be confused, in other brands such as Samsung, are separated as you can see in the photos shown below.

En las dos primera imágenes vemos ambas funciones y un solo botón, en la tercera un botón negro con una lupa con un + dentro y abajo la tecla «Depth», funciones separadas.

 

Debemos diferenciar profundidad y zoom. Profundidad es la distancia que necesitamos ver para llevar a cabo un estudio y el zoom se usa para captar una imagen en unas condiciones y mediante la aplicación de un software, realizar un aumento, «inventando» píxeles inexistentes a partir de otros que se han recogido. Es como hacer una foto, donde la distancia sería el tamaño de pantalla que necesitamos para meter dentro un atardecer en el mar y el zoom sería una imagen, ampliada a posteriori, sólo del sol…solo que en ecografía, el zoom puede usarse en tiempo real. Por tanto, siempre tendremos más calidad de imagen usando la profundidad y no el zoom, siendo este último de uso específico para ampliar alguna estructura en particular.

Si cambiamos la profundidad modificamos la velocidad de refresco de la pantalla, sabremos más de esto más adelante, no es lo mismo escanear 5 cms que 20 cms.

In the first two images we see both functions and a single button, in the third a black button with a magnifying glass with a + inside and below the «Depth» key, separate functions. We must differentiate depth and zoom. Depth is the distance we need to see to carry out a study and zoom is used to capture an image in some conditions and by applying software, make an increase, «inventing» nonexistent pixels from others that have been collected . It’s like taking a picture, where the distance would be the screen size we need to put a sunset in the sea and the zoom would be an image, enlarged a posteriori, only from the sun … only in ultrasound, the zoom can be used in real time. Therefore, we will always have more image quality using depth and not zoom, the latter being of specific use to extend some particular structure. If we change the depth we modify the refresh rate of the screen, we will know more about it later, it is not the same to scan 5 cm than 20 cm.