38.Protocolo de Tiroides.La Semiología.

Una vez que sabemos qué fotos tenemos que hacer para poder hacer un protocolo, debemos saber qué aspecto ecográfico tienen los tejidos que aparecen en estas fotos y que te explico a continuación.

Esta semiología que vamos a ver es la que se refiere a aquellos tejidos de aspecto normal. Este concepto es muy importante, la única manera de identificar la patología en un tejido es conocer como es su aspecto normal. Esto siempre me lo preguntan cuando hacemos las clases tanto teóricas como talleres, porque normalmente siempre queremos empezar por lo más difícil, pero hay que conocer primero el tejido normal, luego el patológico.

Once we know what photos we have to do to be able to make a protocol, we must know what ecographic appearance the tissues that appear in these photos have and what I explain next. This semiology that we are going to see is the one that refers to those tissues of normal appearance. This concept is very important, the only way to identify the pathology in a tissue is to know how is its normal appearance. This is always asked when we do both theoretical and workshop classes, because normally we always want to start with the most difficult, but we must first know the normal tissue, then the pathological one.
Imagen 1. La glándula tiroidea.

Es la estructura base del estudio, alrededor de esta estructura va todo. El aspecto ecográfico normal del Tiroides es hiperecogénico y homogéneo, es decir, brilla más que el tejido adyacente y además el tono de gris es uniforme en toda la glándula. Patologías como las Tiroiditis, o gran cantidad de nódulos que afectan a esta glándula, alteran la ecoarquitectura y también el aspecto ecogénico. En la imagen la glándula la reconocemos por las dos flechas blancas.

It is the basic structure of the study, around this structure everything goes. The normal sonographic appearance of the thyroid is hyperechogenic and homogeneous, that is, it shines more than the adjacent tissue and also the tone of gray is uniform throughout the gland. Pathologies such as thyroiditis, or large number of nodules that affect this gland, alter the ecoarchitecture and also the echogenic aspect. In the image we recognize the gland by the two white arrows.
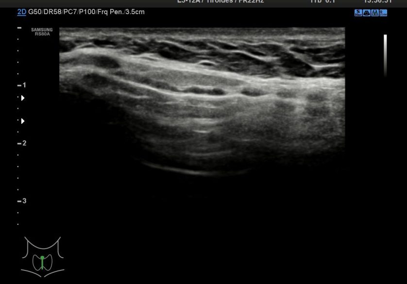
Imagen 2.El Músculo.

La musculatura cervical en la ecografía de Tiroides no suele tener significación patológica, pero dentro del estudio realizamos cortes donde vamos a sacar dicha anatomía y debemos reconocerla. En la imagen superior observamos tres flechas blancas que indican la presencia de una ecoestructura hipoecogénica que en su interior tiene pequeñas imágenes hiperecogénicas, lineales y paralelas. Son las fibras de colágeno de dichas fibras. El Esternocleidomastoideo es el más grande,pero son multitud los músculos que conforman la musculatura del cuello, reconocer su aspecto es vital.

The cervical musculature in the thyroid ultrasound does not usually have pathological significance, but within the study we made cuts where we are going to get that anatomy and we must recognize it. In the upper image we see three white arrows that indicate the presence of a hypoechoic echoestructure that has small hyperechoic, linear and parallel images in its interior. They are the collagen fibers of these fibers. The Esternocleidomastoideo is the largest, but there are many muscles that make up the muscles of the neck, recognizing its appearance is vital.
Imagen 3. Vasos.

Los vasos tienen un aspecto anecoico, tubular y hay muchísimos ya que el cuello en general y especficamente el Tiroides, son una anatomía muy vascularizada. Carótida (interna) y Yugular (externa) son las más reconocibles. La Arteria Carótida es pursátil y no compresible y la Vena Yugular es compresible. Además las arterias y la venas tiroideas llegan y salen del tiroides irrigándolo, pero son de menor calibre aunque su aspecto también es anecoico.

The vessels have an anechoic, tubular appearance and there are many because the neck in general and specifically the Thyroid, are a very vascularized anatomy. Carotid (internal) and jugular (external) are the most recognizable. The Carotid Artery is non-compressible and non-compressible and the Jugular Vein is compressible. In addition, the arteries and the thyroid veins come and go from the thyroid irrigating it, but they are of smaller caliber although their appearance is also anechoic.
Imagen 4. Los Ganglios.

Los Ganglios cervicales son muy numerosos en el cuello, se establecen en forma de cadenas ganglionares, laterales a la glándula tiroidea. Su aspecto normal es una imagen ovoidea hipoecogénica y en el centro de esa estructura, una imagen hiperecogénico, la corteza es la parte hipoecogénica y la grasa del ganglio, la parte hiperecogénica. Pueden aparecer solitarios o en varias unidades.

The cervical lymph nodes are very numerous in the neck, they are established in the form of ganglion chains, lateral to the thyroid gland. Its normal appearance is an ovoid hypoechoic image and in the center of that structure, a hyperechogenic image, the cortex is the hypoechoic part and the ganglion fat, the hyperechoic part. They can appear solitary or in several units.
Imagen 5a. La Tráquea.
Imagen 5b. Detalle de los anillos traqueales.

La tráquea es una imagen central, grande, marcada con flecha blanca en la imagen 5a, con imágenes curvas hiperecogénicas que corresponden a los cartílagos y anillos traqueales. El aspecto ecográfico de la tráquea es hipoecogénico por ausencia de información debido al contenido aéreo de la estructura. El aire, aunque con muy baja impedancia, no transmite el sonido.

Los anillos traquelaes son fácilmente reconocible en la imagen 5b por su aspecto ovalado justo después del Istmo tiroideo en el corte longitudinal.

Superior a la tráquea encontramos el Istmo tiroideo, del mismo aspecto ecográfico que los lóbulos tiroideos.

The trachea is a central, large image, marked with a white arrow in image 5a, with hyperechoic curved images corresponding to the cartilages and tracheal rings. The ultrasound appearance of the trachea is hypoechogenic due to the absence of information due to the air content of the structure. The air, although with very low impedance, does not transmit the sound. The tracheal rings are easily recognizable in image 5b because of their oval aspect just after the thyroid isthmus in the longitudinal section. Superior to the trachea we find the thyroid Isthmus, with the same ultrasound appearance as the thyroid lobes.
Imagen 6.El Esófago.

Esta estructura como muy bien sabes pertenece al sistema digestivo, teóricamente aparece siempre en la linea media según la anatomía, pero cuando hacemos el corte ecográfico axial del cuello para ver en transverso de ambos lóbulos aparece hacia la izquierda una estructura en forma de diana, que con la deglución se mueve, el Esófago. Tiene aspecto circular, hipoecogénico con círculos hiperecogénicos correspondiente a las capas de dicha estructura. Su presencia hace que el LTI sea ligeramente más pequeño, como curiosidad.

This structure as you know very well belongs to the digestive system, theoretically always appears in the middle line according to the anatomy, but when we make the axial ultrasonographic section of the neck to see in transverse of both lobes a target structure appears to the left, which with swallowing it moves, the esophagus. It has a circular, hypoechogenic appearance with hyperechogenic circles corresponding to the layers of said structure. Its presence makes the LTI slightly smaller, as a curiosity.
Imagen 7. Otros Tejidos.

Residuales y carentes de importancia para el estudio de la glándula tenemos la piel y el tejido celular subcutáneo que está debajo.

La piel es justo una línea hiperecogénica, lisa, que es la primera barrera anatómica que se encuentra el haz de ultrasonido.

El Tejido Celular Subcutáneo está inmediatamente posterior y es la grasa que se encuentra bajo la piel, con aspecto hipoecogénico, anterior a la musculatura y separada de esta por una fina línea hiperecogénica correspondiente a la fascia muscular.

La grasa, distribuida aleatóriamente por el tejido del cuello, puede verse hipoecogénica siempre dependiendo del tejido que tenga alrededor.

Con esto queda repasado el aspecto ecográfico de la anatomía que podremos ver con este protocolo.

Residual and unimportant for the study of the gland we have the skin and the subcutaneous cellular tissue that is below. The skin is just a hyperechoic, smooth line, which is the first anatomical barrier found in the ultrasound beam. The subcutaneous cellular tissue is immediately posterior and is the fat that is under the skin, with hypoechogenic appearance, anterior to the musculature and separated from it by a thin hyperechoic line corresponding to the muscular fascia. The fat, distributed randomly by the tissue of the neck, can be seen hypoechogenic always depending on the tissue around it. This is reviewed the sonographic aspect of anatomy that we can see with this protocol.

 

 

Un comentario sobre “38.Protocolo de Tiroides.La Semiología.

Deja un comentario