92. El Hueco Poplíteo. Quiste de Baker.

El Hueco Poplíteo es una región de estudio muy habitual de la Eco Msk ya que existe una patología tremendamente común que se llama Quiste de Baker y que es muy accesible para estudiar con Ecografía.

Voy a tratar de explicarte los pormenores de esta exploración, sus connotaciones, su semiología ecográfica y un diagnóstico diferencial al que hay que estar muy atentxs.

Vamos a hacerlo esquemáticamente porque son muchos conceptos, espero que lo entiendas bien…

Tenemos que saber que:

  • QUISTE POPLÍTEO
  • ACUMULACIÓN DE LÍQUIDO SINOVIAL DETRÁS DE LA RODILLA
  • PUEDE SER COMÚN Y NORMAL EN NIÑOS

POSIBLES CAUSAS:

  • SE ASOCIA A ROTURA DE MENISCOS
  • ARTRITIS DEGENERATIVAS
  • EDAD

SÍNTOMAS:

  • INFLAMACIÓN DOLOROSA O NO DE LA PARTE POSTERIOR DE LA RODILLA
  • SENSACIÓN DE GLOBO LLENO DE AGUA
  • LIMITACIÓN DE MOVIMIENTO
  • SI SE ROMPE:
    • DOLOR
    • HINCHAZÓN
    • HEMATOMA

PRONÓSTICO Y TRATAMIENTO:

  • LESIÓN BENIGNA QUE NO CAUSA DAÑO A LARGO PLAZO
  • TTO. NO NECESARIO, NORMALMENTE NO SE EXTIRPA
  • SE PUEDE ASPIRAR

A lo que nos importa de verdad:

En ECOGRAFÍA:

  • ESTUDIO DE RODILLA POSTERIOR
    • PACIENTE EN DECÚBITO PRONO PIES COLGANDO y LOCALIZACIÓN DEL BORDE POSTERO INTERNO DE LA RODILLA O BULTO SI EXISTIESE EN ESTA REGIÓN.
    • SONDA DE ALTA FRECUENCIA
  • ESTRUCTURAS A ESTUDIO:
    • VASOS, MÚSCULOS Y NERVIOS
    • BOLSA DEL SEMIMEMBRANOSO-GEMELO (Cuello)

EL OBJETIVO PRINCIPAL DEL ESTUDIO ES IDENTIFICAR EL CUELLO DE LA BOLSA ENTRE GEMELO INTERNO Y SEMIMEMBRANOSO

–SU FORMA ES VARIABLE SIENDO SU EXTREMOS REDONDEADOS

  • SI ALGÚN EXTREMO SE VE PUNTIAGUDO EN LA ECO OJO PORQUE ES SIGNO DE ROTURA
  • ECOGRÁFICAMENTE ES ANECOICO SI NO HA SANGRADO O SE HA COMPLICADO…

–COMPLICACIONES

  • HEMORRAGIAS, ROTURAS Y CALCIFICACIONES

SEMIOLOGÍA DEL QUISTE DE BAKER:

  • BOLSA POPLÍTEA ANECOGÉNICA si es normal, sin complicaciones, como en la foto anterior.
  • FORMA REDONDEADA
  • DOS PROYECCIONES TRANSVERSO Y LONGITUDINAL
  • CUELLO CARACTERÍSTICO DE ESTA LESIÓN
  • ORIGEN ENTRE EL GEMELO INTERNO Y EL SEMIMEMBRANOSO
  • TABIQUE SINOVIAL ENGROSADO
  • SI HAY ECOS INTERNOS ES SIGNOS DE HEMORRAGIA
  • CUERPOS HIPERECOGÉNICOS SON SIGNOS DE CALCIFICACIONES
  • AUSENCIA DE DOPPLER COLOR

Hemos visto la patología, pero muchas veces no vamos a ver patología, solo normalidad, esta:

Vemos en el pictograma como marca esa situación donde vamos a encontrar esa imagen y es exactamente lo que tenemos que buscar, el Gemelo, llamativo, grande, y el Semimembranoso, que lo estudiamos en el Post anterior, es unos de los que forman los Isquiotibiales.

DIAGNÓSTICO DIFERENCIAL:

LA TROMBOSIS VENOSA PROFUNDA:

  • COÁGULO DE SANGRE (TVP)
  • SINTOMATOLOGÍA MUY SIMILAR
  • TVP PELIGROSA, NECESITA ATENCIÓN MÉDICA INMEDIATA
  • EL BAKER ROTO SIMULA TVP

SIEMPRE SE RECOMIENDA DESCARTAR AMBAS PATOLOGÍAS

Para estudiar una posible TVP debemos saber conocer donde están la arteria y la vena poplítea…una anterior y otra posterior, una depresible, la vena y otra no, la arteria…mira:

Aquí tienes las dos imágenes, una sin comprimir, donde vemos los dos vasos, cuando comprimimos colapsamos la vena, si la vena no se colapsase sería signo de alarma y valoración inmediata de la Radióloga responsable.

Para conseguir esta imagen colocaremos la pierna afectada apoyando sobre la otra, para flexionarla ligerísimamente y conseguir un mayor retorno venoso, hará que veamos mejor los vasos, sobre todo la vena.

 

Quiero aprovechar este post para daros a todxs las gracias por el seguimiento del Blog, que después del Verano ha aumentado sus visitas considerablemente, sobrepasando las 1000 visitas diarias, una absoluta locura, a todxs lxs que estáis en el perfil de Facebook, en el de Twitter y en mi favorito, el de Instagram. Gracias a todos los que llegan nuevxs al Blog y a sus RR.SS, pero gracias de corazón a quien sigue y me lee desde hace tanto, sabéis que un poco de este blog es vuestro…además de verdad…

Confía siempre en tí.Si trabajas duro en algo, grandes cosas te ocurrirán…(Neal McDonough).

 

91. Aparato Expensor de la Rodilla. El Rotuliano.

Seguimos viajando a través del MMII y nos topamos con la Articulación de la Rodilla.

Es una articulación estudiable con Ecografía, si bien no toda ella, digamos que la parte más interna de la cápsula articular, los ligamentos cruzados, los meniscos, los ligamentos colaterales y la articulación patelo-condílea deben ser estudiada con RMN mejor…pero el aparato extensor de la Rodilla, la inserción del Cuádriceps (como ya vimos) y el Tendón Rotuliano son muy estudiables con la Eco.

El Tendón del Rotuliano une la parte distal de la Rótula,que es el Sesamoideo más grande del cuerpo humano, con la Espina Anterior de la Tibia. El Rotuliano es muy superficial, por eso es muy importante una sonda de alta frecuencia para su estudio…Posterior al Rotuliano y estudiable con Ecografía tenemos la Grasa de Hoffa que es una almohadilla grasa que interviene en la movilidad de la articulación.

El Tendón Rotuliano es alargado, fino e hiperecogénico entre el Tejido Celular Subcutáneo y la Grasa de Hoffa.

La Grasa de Hoffa la verás entre el Tendón y la articulación de los huesos de la Rodilla, se ve ligeramente hipoecogénica con  respecto al Tendón, es voluminosa y heterogénea y puede albergar cierta cantidad de líquido perirotuliano que puede ser normal, dependiendo de la cantidad y de la localización de dicho líquido que de verse, será peritendinoso, anecoico y  casi siempre más cerca de la inserción tibial del Tendón.

Normalidad.Anatomía.
Ojo a la Anisotropía

La exploración es fácil, la/el paciente estará tumbado en decúbito supino y pediremos flexión cómoda de la articulación con el fin de estirar el tendón y así eliminar la Anisotropía (hipoecogenicidad) que habitualmente encontrarás cerca de la inserción tibial donde el rotuliano cambia su angulación ligeramente para insertar más superficial, esto puede inducir a error de diagnóstico con tendinitis del rotuliano (Imagen superior).

Puedes luchar contra la Anisotropía, flexiona más la rodilla, pon gel y siempre dos proyecciones.

Siempre realizamos cortes longitudinales y transversos del Tendón, estudiando globalmente toda la región extensora, colocando debidamente los Pictogramas, desde la Rótula hasta la inserción en la Tibia, haciendo todo el recorrido del Rotuliano y completando el estudio con el estudio de la inserción del Cuádriceps, es muy recomendable porque completarás el estudio de todo el aparato extensor de la Rodilla.

Corte Longitudinal.Normalidad y Patología.Observa medidas (flechas).
Corte Transversal.Normalidad y Patología.

En las imágenes superiores observas cortes longitudinales y Transversales de patología y normalidad en un Rotuliano en su porción rotuliana. Observa el aumento de tamaño y la hipoecogenicidad de esta patología habitual, respecto de la normalidad de la otra rodilla, y que es la Tendinitis del Rotuliano.

En las imágenes inferiores observarás con más detalle esta patología…incluso, en algunas tendinitis puede existir, aunque no es habitual, presencia de fibras rotas, como es en este caso, donde se objetiva en las fibras de rotuliano más centradas una imagen redonda, pequeña y anecoica, correspondiente a líquido producido por el sangrado de las fibras rotas (corte transverso).

Aumento de tamaño e hipoecogenicidad,flecha y línea roja, y fibras normales, flecha verde.
Corte Transverso. Imagen anecoica, dentro de una imagen redondeada e hipoecogénica de fibras tendinopáticas.

En conclusión, la patología más habitual, que es la tendinitis del Rotuliano, se verá con aumento de grosor de las fibras del Tendón afectada, hipoecogenicidad, que debemos estar seguros que no es anisotropía, para ello, estudiaremos con flexión de la rodilla y comprobaremos el hallazgo en dos proyecciones y comparativa con el lado contralateral, presumiblemente sano.

Trabaja mientras otros duermen, Estudia mientras otros se divierten, Persiste mientras otros descansan y Vivirás lo que otros tan solo sueñan…

 

 

 

 

86. Región Ungueal.

Para acabar el miembro superior lo vamos hacer con este breve post, ideal para el fin de semana y con una exploración no demasiado habitual, pero interesantísima desde el punto de vista de la técnica ecográfica y de la curiosidad de la patología que se busca, es el estudio de la Región Ungueal.

aquí te voy a explicar la técnica…vamos?

La anatomía de la Uña es difícil, pero a nosotrxs nos interesa sobre todo la Matriz.

El estudio de la región extensora de los dedos es muy parecido al de la región flexora, pero vamos a tener una connotación muy importante, que es la siguiente, la parte extensora tiene mucho menos grosor que la flexora, por tanto tanto los tendones extensores y como no, la uña, están «bajo» la piel…

La técnica de estudio de esta región extensora y especialmente la uña es aplicar gran cantidad de Gel o alguna estructura que nos permita crear un campo acuoso que no comprima la zona de estudio…como esta almohadilla.

 

Esta es la imagen que perseguimos, un corte sagital de la porción distal del dedo donde se vea la uña sin compresiones que modifique la ecoarquitectura.

Muy importante una buena cantidad de gel o almohadilla.

La uña se verá como una superficie ligeramente curva e hiperecogénica.

El lecho ungueal hipoecogénico afilado en su terminación que coincide con la Matriz.

Esta es la normalidad, muchos pacientes vienen derivados de la consulta de dermatología para ver si tienen problemas en la matriz que justifiquen un nacimiento defectuoso de la uña.

La técnica y la delicadeza en el estudio es vital y la más la correcta utilización disposición de los parámetros técnicos.

Destacamos Ganancia General y Parcial Frecuencia Profundidad Foco como ajustes ecográficos cuyo uso y conocimiento es vital.

La patología típica vista con ecografía en estos estudios suelen ser pequeñas lesiones ocupantes de espacio en la Matriz Ungueal o en el lecho de la uña. Aquí te dejo un enlace donde consultarla…(Link).

Se termina el MMSS visto desde el punto de vista de la Ecografía MSK…pero queda mucho…

Muchas gracias a los que me leéis y seguís en Blog aquí y en RRSS, gracias por los comentarios y por el apoyo. Gracias por estar ahí…

 

82. Protocolo de Muñeca. Región Flexora.

He tardado un poco en subir este Post, y es que es difícil y laborioso para el que lee y para el que escribe. Voy a intentar explicarlo lo más light posible, bien estructurado y desmenuzado.

Como digo seguimos con uno de los estudios más complejos que nos vamos a encontrar en la ecografía muscular y no es otro más que el estudio de la cara anterior de la muñeca.Es un nivel de dificultad 3 tanto por la anatomía como por la anatomía radiológica.

Nervios, Vasos y multitud de Tendones conviven en un espacio reducido.

Es muy importantes estudiar individualmente cada estructura buscando su referencia anatómica y su funcionalidad.

 

  1. Arteria Radial
  2. Tendón Flexor Radial
  3. Tendón del Flexor Largo del Pulgar en bolsa radial
  4. Nervio Mediano
  5. Tendón del Palmar Largo
  6. Tendones del Flexor Superficial y Profundo de los dedos
  7. Arteria Cubital
  8. Nervio Cubital
  9. Tendón del Flexor Cubital del Carpo

Cortes a nivel del Músculo Pronador Cuadrado, aunque hay que seguir cada estructura y estudiarlo en Axial y Longitudinal.

  • -Siempre en función de la estructura anatómica que vayamos a estudiar, e individualmente en cada una de ellas.
  • -Es un músculo que se origina en la cara volar de la metáfisis del radio y se inserta en la cabeza del cúbito.
  • -Sobre él, el flexor profundo de los dedos, flexor del pulgar y más superficial el flexor superficial de los dedos.
  • -Nervio Mediano y Arteria Radial
  • -Arteria y Nervio Cubital.
  • Arterias y Nervios

Arterias: Arteria Radial (su referencia Cara externa Flx Rad Carpo, a nivel distal se posiciona encima del pronador para dirigirse hacia la tabaquera anatómica) y Arteria Cubital (Dentro del Flexor cubital del carpo).Son anecoicas, esféricas en el corte axial y tubulares en el longitudinal.

Nervios, ecográficamente en panal de abeja. Nervio Mediano (Al aproximarse al túnel del carpo se hace más superficial y externo y finalmente corre hacia la línea media posicionándose superficial al largo del 1 dedo) y nervio cubital (Entre el tendón cubital y la arteria cubital).

El corte de más valor es el axial, pero los longitudinales se usan para un estudio individualizado de cada estructura. Los cortes axiales nos van a servir para encontrar referencias y el estudio, los longitudinales para estudios de cada estructura.

Son estos:

Buscamos como referencia siempre el Músculo Pronador Cuadrado. En corte AXIAL. Ecográficamente alargado, profundo, hipoecogénico, anterior a Radio y Cúbito.

Después y de externo a interno vamos a ir buscando las estructuras anatómicas que te dibujé arriba…mira:

Arteria Radial, anecoica, flanqueda por dos venas, que son anecoicas, más pequeñas y depresibles.

Profundo y más medial el Flexor del Pulgar, mueve el pulgar y vas a ver como se mueve el tendón, infalible si tienes dudas de cual es. Es hiperecogénico con halo hipoecogénico y casi redondo.

Más superficial, más ovalado el Tendón Flexor Radial del Carpo. Ecográficamente hiperecogénico.

Un poco más medial, otras dos estrecturas, el Nervio Mediano, más profundo , aunque luego se hace superficial.

Más superficial, el tendón del palmar largo. Ten cuidado de no comprimir en exceso porque lo perderás de la visión.

De igual modo, sin comprimir, en la muñeca anterior, muy centrado y superficiales al Músculo Pronador Cuadrado, tenemos un magma de tendondes, estratificados en profundidad, hiperecogénicos. rodeados de una envotura hipoecogénica correspondiente a la bolsa cubital…Mueve segundo, tercer, cuarto y quinto dedo, verás como se mueven sus tendones.

 

Finalmente tres estructuras que son complejas de ver en un solo corte, pero en este caso se ven, de medial a externo y de superficial a profundo:

Arteria Cubital, anecoica. Flecha amarilla.

Nervio Cubital, pegadito a ella, en forma de panal de abeja y ovalado. Flecha amarilla.

Más externo y profundo el Tendón Flexor Cubital del Carpo, con una forma ovalada, dispuesto en forma oblícua.

Es una exploración que te va a costar mucho, se requiere mucha práctica y una estructura anatómica muy clara en nuestra cabeza.Si te resulta mejor, al principio tira de Netter mientras haces la exploración.

Hasta aquí…Hay mucho más en esta exploración, pero lo más básico de este estudio está en este Post.

Volar…

 

 

 

 

 

 

 

73. Protocolo de Codo. Consideraciones.

Dejamos atrás la exploración más importante con diferencia, a nivel de peticiones y patología visible con ecografía, que es la exploración del Hombro.

Ahora vamos a pasar a explicar la exploración ecográfica del Codo.

En la exploración del codo vamos a encontrar una serie de tejidos que no habían sido objeto de estudio en el protocolo de hombro, que muy básicamente explicado, es un protocolo muy dirigido a la parte tendinosa de la articulación a excepción de la AAC. Como digo, en el Codo vamos a tener que dirigir nuestras energías en estudiar, tendones, importantísimos, como la inserción del Bíceps, pero también deberemos manejar y reconocer estructuras vasculonerviosas, como el Nervio Cubital.

Vamos a realizar cortes Transversos y Longitudinales en función de la estructura a estudio, pero emplearemos siempre ambas, aunque una de ellas mandará, por ejemplo, para estudio de Epitrocleitis y Epicondilitis siempre serán primordiales los cortes longitudinales, que son coronales al Codo…

Es una exploración donde la anatomía es más compleja, es más pequeña, lo que aumenta su dificultad en el estudio, además es más compleja, se adereza con nervios y vasos, si bien, estos últimos los vamos a utilizar como guías para localizar otras anatomías de interés.

Fíjate en la imagen superior, es un corte axial al codo, como marca la imagen del brazo de MJ (muack)…Mira que cantidad de anatomía y que variada, para solo un corte ecográfico…

Ecoarquitectura (me encanta la palabrita) normal, o ecogenicidad habitual:

Músculo que se comporta hipoecogénico.

Tendón ligeramente hiperecogénico.

Arteria anecoica por su contenido líquido.

Nervio, siempre cerca del vaso, hiperecogénico.

Cartílago articular anecoico por su alto contenido líquido.

Piel y TCS.

Bien, pues fíjate ahora en la escala que aparece a la izquierda de la imagen donde marca la Profundidad de la imagen…dice que estás trabajando a 2cms¡¡¡¡, toda esa alucinante anatomía, localizada y estudiada en un solo corte¡¡¡ No me digas que no te enamora¡¡¡

Te preguntarás si eres Fisio o pretendes serlo…¿Y los Ligamentos?…mira, este estudio ecográfico es un nivel 1, casi 2 de dificultad, así como lo voy a explicar yo…pero los ligamentos que obviamente están presentes en la anatomía a la que nos vamos a entregar es un nivel superior, y no me quiero meter…cuando dejemos de ser peques y tengamos la base bien asentada, daremos pasos a alturas superiores.

La exploración ecográfica del Codo puede ser una exploración «de urgencia», al contrario que el hombro, ya que, por ejemplo, la rotura de la inserción del tendón del Bíceps es quirúrgica en la primeras horas de evolución de la patología y debe ser atendida inmediatamente.

Para estudiar el Codo vamos a dividir la anatomía en 4 zonas, Anterior, Lateral Externo, Lateral Interno y Posterior, dirigido al estudio de Tendón del Bíceps, Epicóndilo, Epitróclea e inserción del Tríceps, respectivamente y resumido muy a groso modo.Como ya os he contado la anatomía es mucho más compleja y la iremos desgranando en los próximos días.

Es principal la comodidad del paciente, pero también la del operador.

Puede aparecer dificultad en la exploración por dolor e incluso incapacidad funcional.

En Resumen:

Sonda de alta frecuencia.

Estructuras a estudio muy superficiales.

Técnica de elección para lesiones no óseas.

Compleja anatomía. 4 zonas de estudio.

Ajustes ecográficos bien posicionados.

Estamos preparadxs? Pues Vamooooooos¡¡

 

Desde mi retiro espiritual, no dejo de pensar en vosotrxs…Gracias por estar ahí.

 

60. Protocolo de Mama. Exploración y tejido normal.

El Protocolo de Mama desde mi punto de vista es el más difícil de los protocolos que realizo de forma habitual, la consideraciones especiales de esta técnica, de las pacientes que acuden a la revisiones, hacen que la presión y la responsabilidad sean muy elevadas.

Empezamos…

Objetivo Principal:

Diagnóstico no invasivo específico en pacientes con hallazgos clínicos y/o mamográficos anómalos para localizar lesiones sospechosas. Si es así la/el radióloga/o podría recomendar realizar biopsia o alguna otra prueba invasiva.

Si se demuestran hallazgos benignos esta técnica podría ahorrar a la paciente la realización de una biopsia.

¿Porqué los ultrasonidos?

Mayor capacidad de diferenciar el tejido normal e identificar además:

  • Aire
  • Grasa
  • Agua
  • Metal o calcio

La ecografía es capaz de demostrar diferentes tipos de densidad agua, lo que no puede hacer la mamografía.

Exploración complementaria, ¿Porqué?:

  • Es muy difícil detectar las microcalcificaciones.
  • Es una técnica muy «Operador-Dependiente». 
    • Requiere un alto nivel de experiencia por parte de la/el Técnica/o.

Es una técnica donde Mamas densas y Polinodulares hacen que se resienta la efectividad de dicha técnica es decir, disminuye la sensibilidad del estudio y dificulta y alarga las exploraciones.

Se requiere un equipo de media-alta gama para poder hacer evaluaciones de lesiones que siendo menores de 3 mms hemos demostrado como enseñaré cuando lleguemos a la patología habitual, que se pinchan y dan positivo para Ca.

Petición:

La petición puede llegarnos desde fuera del servicio de rayos, o desde dentro, donde se quiera complementar con ecografía una exploración de mamografía.

Cuando nos llega la petición por parte de la/el radióloga/o, nos señalará si tiene alguna sospecha que haya visto en la mamografía.

Es vital saber lo que le pasa a la paciente, tanto con la información clínica como con su testimonio.

La imagen:

La diferencia entre la mamografía y la ecografía es que mientras que la mamografía es una técnica donde se superponen las imágenes, ya que es un sumatorio de estas, en la ecografía hacemos un corte tomográfico donde vemos de superficial a profundo todas las capas de tejido existente evitando superposiciones.

Al no haber superposiciones tanto los hallazgos patológicos como la anatomía normal se complementan para ofrecer máxima información.

La técnica:

  • Transductores de ALTA FRECUENCIA. Siempre emplear la mayor frecuencia posible. La/el Técnica/o valorará la posibilidad de usar imagen fundamental en lugar de los ármonicos en la exploración de eco de mama.
Transductores de alta frecuencia.Lineales.
  • Paciente en decúbito supino y oblicuo-supino y brazo sobreextendido sobre la cabeza. Manejaremos a la paciente en función del volumen de la mama para tener siempre la estructura a estudio colocada idóneamente para ejecutar la técnica.
  • Cortes radiales y antirradiales ortogonales.

Para hacer los cortes radiales haremos que la mama sea un reloj, desde cada hora posicionaremos el transductor y lo llevaremos desde el extremo de la mama hasta el pezón. así vamos a repetir con todas la horas.

Después, dividiremos en 4 cuadrantes la mama y realizamos cortes longitudinales y transversos, tantos pases como necesitemos para cubrir cada cuadrante en función del tamaño de la mama, en cada cuadrante garantizándonos así pasar tres veces por cada zona de la mama.

  • Ligera compresión de la mama con el transductor para adelgazar la zona a estudio. 
  • Siempre incluir en el protocolo el estudio axilar. Una vez hayamos recorrido la estructura terminaremos la exploración estudiando detenidamente el área de la Axila realizando cortes axiales y longitudinales de la región.Haremos fotos de cada cuadrante y de la axila si es un estudio sin patología.Es decir,5 fotos por cada mama.
  • Siempre hacer los recorridos por la mama con la sonda perpendicular a la piel de la mama con el fin de evitar artefactos, siempre adaptándonos a la anatomía.
  • Muy importante la correcta colocación y el uso del pictograma.

Anatomía ecográfica:

En una imagen ecográfica del estudio de la mama por ecografía estándar observamos una imagen tomográfica, donde vemos una serie de «capas» de ecogenicidad diferente que se corresponde con la flechas indicando el tipo de tejido al que pertenecen.

Ecogenicidad:

La Piel y el tejido celular subcutáneo es la capa más superficial, después la grasa, normalmente hipoecogénica respecto del tejido mamario, que es hiperecogénico, más en profundidad el músculo, otra vez hipoecogénico y finalmente podemos estudiar, el hueso de la costilla, o el cartílago y el pulmón, que en tiempo real podemos verlo incluso moverse en su capa pleural que se ve hiperecogénica.

El tejido mamario normal se distribuye aleatoriamente en función de cada paciente y de sus características.

Podemos diferenciar muy a groso modo 3 tipo de tejido mamario, uno donde el tejido sea predominantemente graso, otro donde sea muy denso y otro intermedio.

Tejido denso.

Es un tejido abigarrado con gran cantidad de interfases que dificultarán la exploración.

Tejido intermedio.
Tejido graso.

En un tejido graso las lesiones se identifican mejor, gracias al tejido graso, pasa igual con la mamografía.

En la Axila encontramos tejido graso, muscular, vasos normales dentro de la anatomía axilar, pero nuestra búsqueda se tiene que dirigir a los ganglios axilares. Estos tienen un aspecto ovalado, hipoecogénico en la corteza ganglionar e hiperecogénico en el seno renal. Además su vascularización estará conservada observándose arteria y vena en cada ganglio. Así:

Ganglio normal.

Otros tejidos habituales, pueden ser estos:

La zona retroareolar.

El estudio normal del conjunto areola pezón de la mama es dificultoso por la orografía de la zona, la areola puede sufrir modificaciones con la estimulación por frío del gel, se arruga y alberga aire que dificulta la exploración,para ello cuando lleguemos a esa zona del estudio, tendremos que angularnos buscando la parte posterior del pezón desde los cuatro puntos principales que en nuestro dibujo de la división horaria de la mama correspondería a las 12,las 3,las 6 y las 9. Entonces desde las 12 de la zona de la areola tenemos que angular la sonda hacia las 6 y viceversa, e igualmente con las 3 y la 9 horas de la areola.

Así podremos asegurarnos que retropezón no nos dejamos nada sin ver.

Habitualmente podemos ver conductos alargados anecoicos que confluyen en el pezón.

Costilla.

La costilla se verá hipoecogénica con sombra acústica posterior, ojo a los principiantes no confundir estas estructuras ovaladas con lesiones del parénquima de la Glándula mamaria.

Protesis mamarias.

Algunas pacientes pueden estar intervenidas y poseer prótesis mamarias cuyo aspecto normal es anecoico y de tamaño variable.

En el post siguiente veremos la patología habitual.

 

 

 

 

 

 

31. Los Artefactos.Artefactos Beneficiosos.

El ultrasonido cuando atraviesa los tejidos y estos devuelven los ecos de retorno no siempre lo hacen coherentemente, es decir, en ocasiones en  la imagen ecográfica vamos a ver imágenes que no son deseadas, o sí…son los artefactos.

Artefactos hay en todas las técnicas de imagen, desde la radiología convencional hasta la Ecografía pasando por la RMN o el TAC.Cada una tiene sus propias características, íntimamente relacionadas con la naturaleza física de la técnica que estemos usando.

Los Artefactos ecográficos nocivos son Interacciones del haz con la materia que producen imágenes no deseadas. Pueden llevar a equívoco y/o facilitar el diagnóstico. ¿Todos los artefactos son negativos en Ecografía? la respuesta es NO.Hay algunos artefactos que son buenos, beneficiosos, porque ayudan al diagnóstico.

Dos tipos de Artefactos ecográficos:

  • Útiles
  • Nocivos

En este Post31 vamos a tratar los buenos, que además son importantísimos, porque los vamos a «disfrutar» todos los días que nos dediquemos a realizar ecografía…Por tanto…

Artefactos Ecográficos beneficiosos:

  1. Sombra Acústica Posterior:

El ultrasonido choca con una interfase https://ecografiafacil.com/2017/12/19/7-las-interfases/ muy ecogénica y no puede atravesarla. (Flecha Amarilla). 

No hay información detrás de esta interfase tan ecogénica. (Sombra Posterior).

Es muy característico de las litiasis biliares y renales y de las calcificaciones musculares y otro tipo de estructuras ricas en calcio.

The ultrasound when it crosses the tissues and these return echoes do not always do so coherently, that is, sometimes in the ultrasound image we will see images that are not desired, or yes … they are the artifacts. Artifacts are found in all imaging techniques, from conventional radiology to ultrasound through MRI or CT. Each has its own characteristics, closely related to the physical nature of the technique we are using. Harmful ultrasound artifacts are beam interactions with matter that produce unwanted images. They can mislead and / or facilitate diagnosis. Are all artifacts negative in Ultrasound? the answer is NO. There are some artifacts that are good, beneficial, because they help the diagnosis.
Two types of sonographic artifacts:
Tools
Harmful
In this Post31 we will try the good ones, which are also very important, because we are going to «enjoy» them every day that we dedicate ourselves to perform ultrasound … Therefore … Beneficial Ecographic Artifacts: Rear Acoustic Shade: Ultrasound collides with an interface that is very echogenic and can not pass through it. (Yellow arrow).
There is no information behind this echogenic interface. (Rear Shadow). It is very characteristic of biliary and renal stones and muscle calcifications and other types of structures rich in calcium.
Litiasis Biliar y su Sombra Posterior.

En la imagen anterior observas, señalada por una flecha amarilla, una imagen hiperecogénica, porque brilla, redonda, única, dentro de una estructura anecoica (contiene líquido). Tras la imagen hiperecogénica vemos una estela negra alargada que busca la profundidad de la imagen…Bien, esta estela negra se llama Sombra Acústica Posterior. En la imagen estás viendo una piedra dentro de una vesícula biliar, es decir, una litiasis biliar.

Analicemos el término «Sombra Acústica Posterior». Sombra nos habla de una ausencia de luz. Acústica hace referencia a la naturaleza de los ultrasonidos. Posterior indica que se produce después de algo.

La sombra acústica posterior es la ausencia de información producida tras la piedra que impide que el haz ultrasónico atraviese dicha piedra debido a su alta impedancia provocando que el haz de ultrasonido que llega  la piedra vuelva reflejado casi en su totalidad hacia el transductor.

In the previous image you can see, indicated by a yellow arrow, a hyperechoic image, because it shines, round, unique, inside an anechoic structure (it contains liquid). After the hyperechogenic image we see an elongated black wake that looks for the depth of the image … Well, this black stele is called Posterior Acoustic Shade. In the image you are seeing a stone inside a gall bladder, that is, a biliary lithiasis. Let’s analyze the term «Posterior Acoustic Shade». Shadow speaks of an absence of light. Acoustics refers to the nature of ultrasound. Later indicates that it occurs after something. The posterior acoustic shadow is the absence of information produced after the stone that prevents the ultrasonic beam from crossing that stone due to its high impedance, causing the ultrasound beam that reaches the stone to return reflected almost entirely to the transducer.
Reflexión total del haz de US y Sombra Posterior.

En la foto anterior ves dos flechas, la amarilla representa el tren de ultrasonidos que llega a la litiasis y la flecha roja los ecos de retorno que se devuelven hacia el transductor ya que no consiguen atravesarla y como consecuencia la sombra acústica posterior.

In the previous photo you see two arrows, the yellow represents the train of ultrasound that arrives at the lithiasis and the red arrow the return echoes that are returned to the transducer as they can not pass through and consequently the subsequent acoustic shadow.

2. Refuerzo Posterior:

Se produce cuando el ultrasonido atraviesa un medio sin interfases en su interior y pasa a un medio sólido ecogénico.

Nos permite diferenciar quistes.

Permite estudiar estructuras usando como ventana estructuras llenas de líquido.

Este artefacto funciona diametralmente opuesto al anterior, ya que en vez de devolver todos los ecos del haz cuando llega a una estructura, estos ecos, en el caso de una estructura acuosa, atraviesan la estructura en un 100% prácticamente, y al llegar al tejido posterior a dicha estructura, se ve un halo hiperecogénico, es decir, más brillante, que es el Refuerzo Posterior y que responde a un paso casi total del haz de ultrasonido emitido desde nuestra sonda.

Es típico de los quistes, cuyo contenido es acuoso, y de las vejigas, y de aquellas estructuras cuyo porcentaje de agua sea muy elevado y que funcionan como ventanas para estudios de otros órganos, como el de la próstata, el útero y los ovarios, por eso decimos a los pacientes que para estudiar estas estructuras masculinas y femeninas, deben acudir a la cita con la vejiga llena.

2. Posterior Reinforcement: It occurs when the ultrasound passes through a medium without interfaces in its interior and passes to a solid echogenic medium. It allows us to differentiate cysts. It allows studying structures using structures filled with liquid as a window. This device works diametrically opposite to the previous one, since instead of returning all the echoes of the beam when it reaches a structure, these echoes, in the case of an aqueous structure, practically cross the structure in a 100%, and when reaching the tissue After this structure, a hyperechogenic halo is seen, that is, brighter, which is the Posterior Reinforcement and responds to an almost total passage of the ultrasound beam emitted from our probe. It is typical of cysts, whose content is aqueous, and bladders, and those structures whose water percentage is very high and which work as windows for studies of other organs, such as the prostate, uterus and ovaries, that’s why we tell patients that to study these male and female structures, they should go to the appointment with a full bladder.
Halo Hiperecogénico correspondiente a Refuerzo Posterior.
Estudio de Próstata con vejiga llena.

En la imagen anterior vemos la vejiga con líquido y una estructura posterior, hipoecogénica y que está medida, la próstata, que de no ser porque la vejiga está llena de líquido, no se podría haber estudiado tan bien.

Hemos estudiado dos importantes conceptos que te van a acompañar en todo el viaje que hagas por el mundo de la ecografía. La Sombra Posterior y El Refuerzo Posterior. Forman parte de los Artefactos Beneficiosos.

En el próximo post haré un resumen de los principales artefactos nocivos.

In the previous image we see the bladder with fluid and a posterior structure, hypoechoic and that is measured, the prostate, that of not being because the bladder is full of liquid, it could not have been studied so well. We have studied two important concepts that will accompany you throughout the journey you make in the world of ultrasound. The Posterior Shadow and the Posterior Reinforcement. They are part of the Beneficial Artifacts. In the next post I will summarize the main harmful artifacts.

Resolvemos las preguntas del Post anterior https://ecografiafacil.com/2018/02/17/30-la-homogeneidad-y-la-hetergenicidad-de-la-imagen/

Imagen 1: Heterogénea.

Imagen 2: Homogénea.

 

29. La Semiología Ecográfica. La Ecogenicidad.

Se acabó la parte más teórica de la ecografía, ahora toca disfrutar con las imágenes.

En este post vas a aprender como se ven las estructuras y su comportamiento ecográfico según de la naturaleza que estén hechos. En radiología tenemos una serie de densidades que tenemos que estudiar cuando hacemos un estudio radiológico, en ecografía, el comportamiento de esas densidades es vital para poder identificar estructuras y patologías.

El comportamiento de esas estructuras cuando interaccionan con el haz ultrasónico va a dar una serie de imágenes, entre el blanco y el negro y todos los grises que hay entre medias, según sean negro, gris oscuro, gris, gris claro o casi blanco vamos a poder identificar esas estructuras como son, el agua, la grasa, el hueso, el aire…bueno, el aire no, ya sabes que en ecografía el aire provoca ausencia de información…Lo bueno de la ecografía a diferencia de la radiología convencional es que es capaz de identificar diferentes densidades de agua, por ejemplo, sangre, pus, etc.

Vamos a utilizar una serie de palabras para identificar esa representación de grises, es el argot de la ecografía y eso tiene un nombre, se conoce como la ECOGENICIDAD de la estructuras…eso es lo que voy a intentar explicar en este Post…adelante…

Anecoico o anecogénico: No devuelve ecos de retorno, cuando el haz llega a una estructura anecoica, esta va a dejar pasar todo el tren de ultrasonidos y es típico comportamiento del líquido, y donde tenemos líquido en el cuerpo, Vejiga (Orina), Vesícula (Bilis), Vasos (Sangre), LCR (Líquido cefalo-raquídeo)…También estructuras patológicas como los Quistes simples,que tienen un contenido acuoso…bien todas estas estructuras se van a ver en la imagen en colo negro. Por tanto, Anecoico=Negro.

Hipoecogénico o Hipoecoico: Estas estructuras devuelven muy pocos ecos, su aspectos no es negro, pero tienden a un gris muy oscuro y son multitud de estructuras las que se ven así, tanto normales, como patológicas.

Isoecogénico o Isoecoico: Estas estructuras tienen un comportamiento que identificamos igual a la estructura con la que la comparamos, es decir, dentro de la escala de grises de mi equipo, ambas estructuras, aunque distintas anatómicamente, tienen que verse igual, es decir, del mismo gris, por ejemplo, el parénquima hepático y la corteza renal son isoecogénicas, es decir, iguales, el mismo gris.

Hipercogénico o hiperecoico: Estas estructuras devuelven muchos ecos en su interfase, su aspectos no es blanco, pero tienden a un gris muy claro, casi blanco, es decir, brillan mucho y son multitud de estructuras las que se ven así, tanto normales, como patológicas.

The most theoretical part of ultrasound is over, now it’s time to enjoy the images. In this post you will learn how the structures and their ecographic behavior are seen according to the nature they are made of. In radiology we have a series of densities that we have to study when we do a radiological study, in ultrasound, the behavior of these densities is vital to be able to identify structures and pathologies. The behavior of these structures when interacting with the ultrasonic beam will give a series of images, between white and black and all grays that are in between, depending on whether they are black, dark gray, gray, light gray or almost white. to be able to identify those structures as they are, water, fat, bone, air … well, the air does not, you know that in ultrasound the air causes lack of information … The good thing about ultrasound, unlike the Conventional radiology is that it is able to identify different densities of water, for example, blood, pus, etc. We are going to use a series of words to identify that representation of grays, it is the slang of the ultrasound and that has a name, it is known as the ECOGENICITY of the structures … that is what I will try to explain in this Post .. .ahead… Anechoic or anechogenic: It does not return echoes, when the beam reaches an anechoic structure, it will let the whole train of ultrasound pass and it is typical behavior of the liquid, and where we have fluid in the body, Bladder (Urine), Vesicle (Bile), vessels (blood), cerebrospinal fluid (cerebrospinal fluid) … Also pathological structures such as simple cysts, which have an aqueous content … well all these structures will be seen in the image in black. Therefore, Anecoico = Black. Hypoechogenic or Hypoechoic: These structures return very few echoes, their aspects are not black, but they tend to a very dark gray and there are many structures that look like this, both normal and pathological. Isoechogenic or Isoechoic: These structures have a behavior that we identify equal to the structure with which we compare it, that is, within the gray scale of my team, both structures, although different anatomically, have to look the same, that is, the same gray, for example, the hepatic parenchyma and the renal cortex are isoechogenic, that is, equal, the same gray. Hypercogenic or hyperechoic: These structures return many echoes in their interface, their aspects are not white, but tend to a very light gray, almost white, that is, they shine a lot and there are a multitude of structures that look this way, both normal and pathological.
La Ecogenicidad y sus variables.

Cuando decimos que una estructura es Hipo, Iso, Hiper – Ecoico, Ecogénico o Refringente – lo hacemos porque la comparamos, habitualmente, con la estructura que tenemos al lado…No sé si te ha quedado muy claro esto, pero te lo explico de otro modo, con imágenes…verás como lo entiendes.

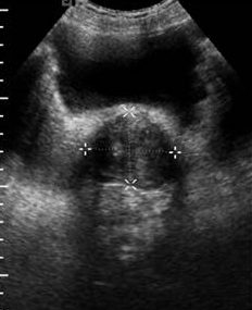
Anecoico: Negro, que no devuelve ecos. En la imagen que ves a continuación ves el corte coronal de un neonato en el contexto de una ecografía transfontanelar, se ven las circonvoluciones del cerebro y en el centro en forma de «Y» y completamente negro el líquido cefalorraquídeo en los ventrículos laterales.El LCR normal se ve así, negro, anecoico.

When we say that a structure is Hipo, Iso, Hiper – Ecoico, Ecogenic or Refringente – we do it because we compare it, usually, with the structure that we have next … I do not know if this has been very clear to you, but I explain it to you otherwise, with images … you’ll see how you understand it. Anechoic: Black, which does not echo. In the image that you see below you see the coronal cut of a neonate in the context of a transfontanel ultrasound, you can see the circonvolutions of the brain and in the center in the form of «Y» and completely black the cerebrospinal fluid in the lateral ventricles. Normal CSF looks like this, black, anechoic.
Imagen del LCR con aspecto Aneocico (Negro)
Imagen de la vejiga.Anecoica.

En la imagen inmediatamente superior objetivamos un corte longitudinal de la vejiga, completamente llena de orina, líquido, por tanto anecoico.

Hipoecogénico: Es toda aquella imagen que sea más oscura que el tejido que tenga alrededor o con el tejido que lo queramos comparar…esta imagen siguiente te lo va a aclarar.

In the image immediately above we objectify a longitudinal section of the bladder, completely filled with urine, liquid, therefore anechoic. Hypoecogenic: It is all that image that is darker than the tissue that has around or with the tissue that we want to compare … this next image will clarify it.
Estructura hipoecogénica dentro de un teste.

En la imagen, bastante antigua, por cierto, vemos una imagen de una estructura ovalada que en su interior alberga otra estructura más pequeña y oscura.Bien, en este caso, es el estudio de un testículo que en su interior tiene una masa de aspecto hipoecogénico, es hipoecogénico porque sin ser negro, es más oscuro que el testículo que lo contiene.

In the image, quite old, by the way, we see an image of an oval structure that inside houses another smaller and darker structure. Well, in this case, it is the study of a testicle that inside has a mass of appearance hypoechogenic, it is hypoechoic because without being black, it is darker than the testicle that contains it.
Isoecogenicidad de corteza renal y parénquima hepático.

En la imagen anterior vemos parénquima hepático y corteza renal cuyo gris es muy parecido, esa es la normalidad, se dice que ambas estructuras se ven isoecogénicas, si alguna de ellas no respetase ese aspecto, nos alertaría de una patología sobre ese órgano, por eso es vital un perfecto ajuste de los parámetros técnicos y una imagen técnicamente bien ejecutada.

Isoecogénico, por tanto será que tiene el mismo gris que el tejido que lo envuelve o con el que lo comparemos…por ejemplo…En la imagen que ves a continuación hay dos estructuras ovoides, del mismo gris, son los testículos en su aspecto ecogénico normal, por tanto iguales. Mismo tono de gris se dice que son de igual ecogenicidad, por tanto aplicamos el sufijo iso para interpretar igualda, por tanto ambos testes entre si son Isoecogénicos.

In the previous image we see liver parenchyma and renal cortex whose gray is very similar, that is normality, it is said that both structures are isoechogenic, if any of them did not respect that aspect, it would alert us of a pathology on that organ, for that reason a perfect adjustment of the technical parameters and a technically well executed image is vital. Isoechogenic, therefore it will be that it has the same gray as the tissue that surrounds it or with which we compare it … for example … In the image that you see below there are two ovoid structures, of the same gray, are the testicles in its normal ecogenic appearance, therefore equal. Same shade of gray is said to be of equal echogenicity, therefore we apply the iso suffix to interpret equal, therefore both tests are Isoechogenic
Comparativa de ambos testículos.

Hipercogénico, hiperecoico o hiperrefringente, son las diferentes denominaciones que unidas al sufijo hiper indican que brilla más que el tejido con el que lo compraremos…por ejemplo…

Estas imágenes devuelven muchos ecos de retorno, sus interfases https://ecografiafacil.com/2017/12/19/7-las-interfases/ son más potentes y por eso brillan más.

En esta imagen que ves a continuación,vemos un riñón, concrétamente el derecho, junto al hígado. Este riñón tiene aspecto ovalado y dos áreas muy definidas, la corteza (flecha naranja) y el seno renal (flecha azul).La corteza es hipoecogénica con respecto a la grasa del seno renal que se objetiva más brillante y por tanto hipercogénica.

Hypercogenic, hyperechoic or hyperrefrigent, are the different names that together with the hyper suffix indicate that it shines more than the tissue with which we will buy it … for example … These images return many echoes of return, their interfaces https://ecografiafacil.com/2017/12/19/7-las-interfases/ are more powerful and therefore shine more. In this image that you see below, we see a kidney, specifically the right, next to the liver. This kidney has an oval aspect and two very defined areas, the cortex (orange arrow) and the renal sinus (blue arrow). The cortex is hypoechoic with respect to the fat of the renal sinus that is seen as brighter and therefore hypercogenic.
Corteza y seno renal y su aspecto ecogénico diferente.

En la imagen anterior vemos una estructura anecoica (negra), que es la vesícula llena de bilis, en su interior una estructura Hiperecogénica, muy brillante, que corresponde a una colelitiasis.

Ya sabes que los tejidos se ven en escala de grises y según sea su brillo los vamos a catalogar. Normales o patológicos los hallazgos deben de interpretarse en base al conocimiento de la normalidad.

A continuación te voy a poner dos imágenes para que puedas evaluar el aspecto ecográfico, en el próximo post te daré la solución.

In the previous image we see an anechoic (black) structure, which is the gall bladder, inside it is a very bright Hyperecogenic structure, corresponding to cholelithiasis. You already know that the fabrics are seen in gray scale and according to their brightness we are going to catalog them. Normal or pathological findings should be interpreted based on knowledge of normality. Next I’m going to put two images so you can evaluate the echographic aspect, in the next post I will give you the solution.
Imagen A. 

En la imagen A tienes que decir qué aspecto ecográfico tiene la estructura que marca la flecha azul:

  1. Hiperecogénico
  2. Isoecogénico
  3. Anecoico
  4. Hipoecogénico.

En la imagen A tienes que decir qué aspecto ecográfico tiene la estructura que marca la flecha amarilla:

  1. Hiperecogénico
  2. Isoecogénico
  3. Anecoico
  4. Hipoecogénico.
Imagen B.

En la imagen B ves dos estructuras redondas dentro de un rectángulo y marcadas con flecha amarilla. Quiero que me digas que aspecto ecográfico tienen respecto del parénquima del bazo marcado con flecha roja.

  1. Hiperecogénico
  2. Isoecogénico
  3. Anecoico
  4. Hipoecogénico.