89. Cara Posterior Muslo. Nervio Ciático.

En esta localización no hay un protocolo de estudio como en el de la cara anterior donde podíamos estudiar el Cuadriceps desde la cadera hasta la rodilla.

Este estudio tiene un gran componente de musculatura que va por esta región anatómica y concentrarlo en un protocolo es muy complicado, por eso, para roturas musculares en esta parte del muslo es necesario una exploración física y determinar qué musculatura puede estar afectada para intentar localizar o focalizar la ecografía, normalmente serán los Isquiotibiales.

Me parece interesante que nos detengamos en un Nervio muy importante que circula por la parte posterior del muslo y que en muchas ocasiones se ve afectado e involucrado en dolor del miembro inferior, es el Nervio Ciático, que te voy a mostrar con ecografía para que lo puedas estudiar en pasos sencillos.

Es un nervio voluminoso que discurre por la profundidad del Muslo posterior, y es ecográficamente visible desde el Glúteo hasta su división cerca de la rodilla.

Ecográficamente es hiperecogénico, y se puede estudiar en todo el recorrido del Muslo.

Las neuropatías del Nervio Ciático tienen características ecográficas típicas, como aumento de grosor e hipoecogenicidad, incluso pueden presentarse lesiones tumorales de estos tejidos y se conocen como Neuroma o Tumor Neurogénico.

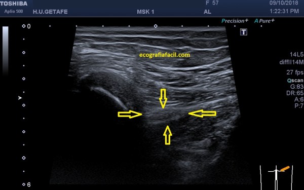
Mira la foto realizada con Panorama y estúdiala bien antes de seguir leyendo…

Los Tumores Neurogénicos (T.N.) son tumores de los Nervios, donde puede aparecer una lesión hipoecogénica y heterogéneaque antes y después de la lesión tienen un afilamiento (flechas amarillas) que se corresponde con la parte del Nervio no afectada y se continúa con el Nervio ecográficamente normal. Este hallazgo ecográfico es vital y además es diágnostico para el Radiólogo, en la mayoría de las ocasiones.

Hemos visto una foto de patología, seguimos ahora con la exploración y la semiología normal…hoy he cambiado el formato, acostúmbrate…vienen cambios…sigo…

La exploración es complicada por la ecogenicidad intrínseca del Nervio. La/el paciente estará decúbito prono y colocaremos nuestra sonda en la mitad del Fémur, allí encontraremos el Nervio Ciático, y partiendo de su visualización, donde es más fácil, iremos de proximal hasta distal recorriéndolo y estudiándolo tanto en transverso como en longitudinal.Así:

Región proximal, primer lugar de visualización del Nervio, posterior al Piramidal, lugar de conflicto patológico habitual.

En Tercio Proximal de la cara posterior del Muslo, seguimos viendo en Nervio.

Tercio Medio, donde se ve con más claridad este Nervio.

Tercio distal, el Nervio se bifurca en Nervio Peroneo y Nervio Tibial en su trayecto distal por el Miembro Inferior.

Visualización longitudinal del Nervio. 

Como hemos observado el Nervio se objetiva Hiperecogénico, central y profundo en la musculatura del Muslo.

No puedo estar sin ti…Necesito tu calor…

 

 

78. Protocolo de Codo. Canal Cubital.

No hemos acabado con el protocolo de Codo, aunque hemos estudiado ecográficamente sus 4 caras, queda una parte que a mi me parece de estudio obligado y es el estudio del Canal del Cubital o del desfiladero o del cañón de la cara interna del Codo, posterior al Epicóndilo medial, conocido como el «hueso de la risa» y que en realidad es el lugar por donde circula el Nervio Cubital, el cual puede padecer el «Síndrome del Cubital»…no es mi labor enseñar patología, pero esta es una petición recurrente en el servicio de ecografía para descartar patología a este nivel…

La técnica exploratoria es difícil, nivel 2 claramente, es una zona donde el apoyo de la sonda es malo, donde vas tener que buscar un Nervio, siempre complicado de ver, sobre todo en el eje largo del mismo, ese corte te va a costar un poco si estas empezando, pero paciencia, la piedra es dura, pero nuestra paciencia es ilimitada,ganamos nosotros siempre…

Podemos partir de la posición del estudio de la cara posterior y localizamos el lugar de interés, o bien en flexión del brazo partiendo del estudio de la cara anterior y localizar la zona, es a conveniencia, lo que resulte cómodo para explorador y exploradx.

Bien, atentx, partiendo de la exploración de exploración de la cara anterior del Codo pedimos flexión del Codo, localizamos Epitróclea y colocamos sonda en la línea imaginaria que une Epitróclea y Olécranon, y estas dos referencia óseas son clave y son criterio de calidad de la imagen para encontrar el Nervio en la profundidad de esta imagen. Encontraremos el nervio en este corte y lo localizaremos junto al Tríceps…este es el corte Transverso.

Una vez localizado el Nervio lo recorreremos de distal a proximal hasta donde queramos o se deje ver, luego vuelta al punto de partida y hacemos corte longitudinal, colocando la sonda paralela al teórico lugar del recorrido del tendón, costará, te lo advierto.

Usa mucho gel, no comprimas en exceso y paciencia¡¡

Ecográficamente el Nervio Cubital se verá en el corte transverso, redondo y ligeramente hipoecogénico debido al lugar donde se encuentra. En el corte longitudinal se verá como una «carretera» ligeramente curvado, hipoecogénico y con líneas centrales hiperecogénicas haciendo como «carriles», en este corte es muy complicado cogerlo íntegro,como la imagen que verás a continuación, tranquilx, solo es al principio.

Cortes e imágenes de normalidad:

Nervio ligeramente hipoecogénico y redondo.

Una imagen vale más que mil palabras, dos imágenes, figúrate…

Bien, ahora sí hemos terminado la exploración ecográfica del Codo, normal desde el punto de vista ecográfico.

Quiero aprovechar este Post para hacer una recomendación a todxs lxs que os sentáis a ejecutar una ecografía de cualquier tipo, pero la muscular más. En estudio de Eco MSK necesitamos máxima resolución, máxima calidad de imagen, máxima nitidez…con un manejo de sonda correcto tenemos que sacarle máximo partido a nuestro equipo (sobre todo cuando estos son portátiles o/y de inferior gama) y a sus ajustes ecográficos, algunos vitales como son el Foco y la Frecuencia, junto con la Ganancia General y Parcial y otros ajustes, como Profundidad o Rango Dinámico y estos son vitales y básicos…te los enlazo para que los repases.

Te animo a que le dediques tiempo a esto y me comentes si mejoran tus imágenes…

Y esto viene a colación de que estructuras tan pequeñas como un Nervio Cubital o Ciático son visibles con ecografía, pero si tenemos el foco a la altura del nervio o estructura del aparato locomotor a estudio vamos a lograr resultados mucho mejores, ni que decir tiene cuando algunas de esas estructuras son susceptibles de ser tratadas con algún tipo de punción usando como guía la ecografía. Tenemos que ser muy exquisitos en la parte técnica de la exploración, mejorará nuestro rendimiento y resultados.

Quiero esta brisa, esta humedad en el ambiente, esta PAZ y el mar…no quiero volver…

 

 

77. Protocolo de Codo.Cara Posterior.

Continuamos con el objetivo de explorar ecográficamente en la cara posterior del Codo. Ya queda poco…

Para ello pediremos a la/el paciente que en esta ocasión nos muestre la cara posterior de su Codo, flexionando éste, y haciendo una flexión de 90º del eje largo del Húmero con el Codo. La mano apoyada en la mesa, la posición adoptada para la exploración puede denominarse como la del cangrejo…

Apoyaremos nuestra sonda en longitudinal siguiendo el eje largo del Húmero, con el borde de la sonda apoyando en el borde olecraniano para poder estudiar la inserción del Tendón del Tríceps. Después realizaremos cortes axiales girando la sonda 90º.

Estructuras a estudio:

  • Inserción del Tendón del Tríceps.
  • Músculo Tríceps y unión musculotendinosa de tendón y músculo.
  • Olécranon.
  • Tróclea.
  • Fosa Olecraniana.
    • Todas estas estructuras debemos conseguirla en un mismo corte, longitudinal.

Esta es la foto:

Ecográficamente, el tendón se verá hiperecogénico. El Músculo hipoecogénico con respecto al tendón.

Olécranon y Tróclea hiperecogénicos y lisos y en el mismo corte como criterio de calidad de la exploración.

Fosa olecraniana, hiperecogénica, en caso de rotura o presencia de líquido articular (anecoico) es un sitio donde suele depositarse en primera instancia, muy importante el estudio de esta parte de la anatomía.

Una vez conseguido este corte has de mover de lateral a medial para estudiar toda la cara posterior del codo.

En el corte transverso me gusta hacer dos cortes, uno proximal y otro distal, el primero para estudiar Fosa Olecraniana y el segundo y distal para la inserción del Tríceps. Puedes estudiar así desde la inserción hacia proximal, toda la anatomía del músculo, pero solo son necesario estas dos fotos, Mira:

De esta manera puedo descartar anisotropía en la inserción. Ten siempre presente la colocación de la sonda como marca el cuadro con el codo de MJ.

El estudio del tendón en el olécranon en longitudinal es muy técnicamente difícil porque la sonda casi no puede apoyar, como truco te invito a que uses gran cantidad de gel en esta localización y este corte, para poder conseguir una buena imagen, como la primera de este Post.

Podría vivir a tu lado siempre…Mediterráneo…

 

73. Protocolo de Codo. Consideraciones.

Dejamos atrás la exploración más importante con diferencia, a nivel de peticiones y patología visible con ecografía, que es la exploración del Hombro.

Ahora vamos a pasar a explicar la exploración ecográfica del Codo.

En la exploración del codo vamos a encontrar una serie de tejidos que no habían sido objeto de estudio en el protocolo de hombro, que muy básicamente explicado, es un protocolo muy dirigido a la parte tendinosa de la articulación a excepción de la AAC. Como digo, en el Codo vamos a tener que dirigir nuestras energías en estudiar, tendones, importantísimos, como la inserción del Bíceps, pero también deberemos manejar y reconocer estructuras vasculonerviosas, como el Nervio Cubital.

Vamos a realizar cortes Transversos y Longitudinales en función de la estructura a estudio, pero emplearemos siempre ambas, aunque una de ellas mandará, por ejemplo, para estudio de Epitrocleitis y Epicondilitis siempre serán primordiales los cortes longitudinales, que son coronales al Codo…

Es una exploración donde la anatomía es más compleja, es más pequeña, lo que aumenta su dificultad en el estudio, además es más compleja, se adereza con nervios y vasos, si bien, estos últimos los vamos a utilizar como guías para localizar otras anatomías de interés.

Fíjate en la imagen superior, es un corte axial al codo, como marca la imagen del brazo de MJ (muack)…Mira que cantidad de anatomía y que variada, para solo un corte ecográfico…

Ecoarquitectura (me encanta la palabrita) normal, o ecogenicidad habitual:

Músculo que se comporta hipoecogénico.

Tendón ligeramente hiperecogénico.

Arteria anecoica por su contenido líquido.

Nervio, siempre cerca del vaso, hiperecogénico.

Cartílago articular anecoico por su alto contenido líquido.

Piel y TCS.

Bien, pues fíjate ahora en la escala que aparece a la izquierda de la imagen donde marca la Profundidad de la imagen…dice que estás trabajando a 2cms¡¡¡¡, toda esa alucinante anatomía, localizada y estudiada en un solo corte¡¡¡ No me digas que no te enamora¡¡¡

Te preguntarás si eres Fisio o pretendes serlo…¿Y los Ligamentos?…mira, este estudio ecográfico es un nivel 1, casi 2 de dificultad, así como lo voy a explicar yo…pero los ligamentos que obviamente están presentes en la anatomía a la que nos vamos a entregar es un nivel superior, y no me quiero meter…cuando dejemos de ser peques y tengamos la base bien asentada, daremos pasos a alturas superiores.

La exploración ecográfica del Codo puede ser una exploración «de urgencia», al contrario que el hombro, ya que, por ejemplo, la rotura de la inserción del tendón del Bíceps es quirúrgica en la primeras horas de evolución de la patología y debe ser atendida inmediatamente.

Para estudiar el Codo vamos a dividir la anatomía en 4 zonas, Anterior, Lateral Externo, Lateral Interno y Posterior, dirigido al estudio de Tendón del Bíceps, Epicóndilo, Epitróclea e inserción del Tríceps, respectivamente y resumido muy a groso modo.Como ya os he contado la anatomía es mucho más compleja y la iremos desgranando en los próximos días.

Es principal la comodidad del paciente, pero también la del operador.

Puede aparecer dificultad en la exploración por dolor e incluso incapacidad funcional.

En Resumen:

Sonda de alta frecuencia.

Estructuras a estudio muy superficiales.

Técnica de elección para lesiones no óseas.

Compleja anatomía. 4 zonas de estudio.

Ajustes ecográficos bien posicionados.

Estamos preparadxs? Pues Vamooooooos¡¡

 

Desde mi retiro espiritual, no dejo de pensar en vosotrxs…Gracias por estar ahí.

 

67. Protocolo de Hombro. Tendón del Bíceps.

Para explorar el hombro con ecografía vamos a realizar el siguiente protocolo.

  1. Tendón del Bíceps.

  2. Tendón del Subescapular.
  3. Tendón del Supraespinoso.
  4. Articulación Acromio-Clavicular.
  5. Tendón del Infraespinoso.

Vamos a empezar por el punto número 1. Es el Tendón del Bíceps. 

Recuerda la anatomía, repasa si no la tienes dominada, es la base.

Especialmente vamos a prestarle mucha atención a la parte del tendón que discurre por la corredera bicipital muy pegadito al húmero, en su cara anterior y que es el único tendón con vaina que vamos a estudiar en este protocolo.

Asegúrate siempre de tener los parámetros ecográficos bien ajustados y sobre todo el Foco en la zona de interés.

Posición del paciente:

  • PACIENTE SENTADO
  • PALMA DE LAS MANO HACIA ARRIBA Y APOYADA EL MUSLO, CODO APOYADO EN EL ABDOMEN
  • ÁNGULO DE 90º ENTRE EL EJE LARGO DEL HÚMERO Y DEL RADIO, ESTO ES VITAL PARA CORREGIR ANISOTROPÍA.
  • SONDA POSICIONADA EN TRANSVERSO APOYADA EN LA ZONA ANTERIOR DEL HÚMERO (NARANJA) y PARA CORTE LONGITUDINAL ROTAR LA SONDA 90º HACIA LA CABEZA DEL PACIENTE (ROJO)
El artefacto de anisotropía es de importancia capital en la Eco MSK.

Para no tener anisotropía en el corte transverso como la imagen superior indica,coloca la sonda paralela al suelo y si no lo ves correctamente angula hacia craneal  ligeramente para corregir la ANISOTROPIA,según Javier Alvarez,Fisioterapeuta y experto en Eco Muscular, y sobre todo han amigo,el motivo es por la angulación que tiene el cuello del húmero y la redondez de la cabeza humeral.

Ten cuidado,una angulación excesiva también puede ser contraproducente y seguro hará que aparezca la Anisotropia,así que tendrás que jugar hasta encontrar la imagen correcta.

Posicionamiento de paciente y Cortes

Estructuras a visualizar:

  1. –AMBAS TUBEROSIDADES
  2. –CORREDERA BICIPITAL
  3. –TENDÓN DEL BÍCEPS REFLECTANTE
  4. –LIGAMENTO TRANSVERSO
  5. –DELTOIDES

¿Cómo se hace el estudio?:

Tenemos que estudiarlo en eje largo y en eje corto y desde proximal, en su origen y recorrerlo por el tercio proximal del húmero en la cara anterior hasta que veamos que empieza el vientre muscular. Cuando veamos el músculo podemos parar a no ser que busquemos patología del músculo.

El Bíceps es muy fino, delgado, es difícil mantenerlo en pantalla si no tienes pericia, tranquilxs, se adquiere con las primeras 100 exploraciones…(es broma).

Busca siempre la corredera bicipital, como la primera imagen que vas a ver a continuación y la imagen correcta del tendón y a partir de ahí, haz la exploración.

Imágenes que tenemos que conseguir:

Corte Transverso o Eje Corto (Naranja)
Eje Longitudinal o Eje Largo (Rojo)

Las flechas rojas marcan todo el recorrido del tendón del biceps.

Ecográficamente:

  1. TCS: Hipoecogénico, debajo de la Piel (Hiperecogénico) antes del Deltoides.
  2. DELTOIDES: Músculo, por tanto Hipoecogénico, entre el Tejido Celular Subcutáneo y el Tendón del Biceps.
  3. LIGAMENTO TRANSVERSO: Hiperecogénico, liso y fino por encima o anterior respecto del tendón del Biceps
  4. TENDÓN DEL BÍCEPS: Hiperecogénico, ovalado, dentro de la corredera en eje corto e Hiperecogénico,alargado, junto al húmero en el eje largo.
  5. HUESO: Liso, fino y llamativamente hiperecogénico. Corresponde con la cortical del Hueso.Después la nada por la sombra acústica posterior.

Puedes seguir el Blog en Twitter,Facebook e Instagram y en mi perfil de LinkedIn http://linkedin.com/in/antonio-lanzas-carmona-1b459738

También puedes suscribirte en el Blog y compartirlo para llegar a todo el mundo!!!

Agradezco los comentarios que me hacéis en el Blog y que quedan publicados,es un honor para mi.

 Be Kind.

 

 

60. Protocolo de Mama. Exploración y tejido normal.

El Protocolo de Mama desde mi punto de vista es el más difícil de los protocolos que realizo de forma habitual, la consideraciones especiales de esta técnica, de las pacientes que acuden a la revisiones, hacen que la presión y la responsabilidad sean muy elevadas.

Empezamos…

Objetivo Principal:

Diagnóstico no invasivo específico en pacientes con hallazgos clínicos y/o mamográficos anómalos para localizar lesiones sospechosas. Si es así la/el radióloga/o podría recomendar realizar biopsia o alguna otra prueba invasiva.

Si se demuestran hallazgos benignos esta técnica podría ahorrar a la paciente la realización de una biopsia.

¿Porqué los ultrasonidos?

Mayor capacidad de diferenciar el tejido normal e identificar además:

  • Aire
  • Grasa
  • Agua
  • Metal o calcio

La ecografía es capaz de demostrar diferentes tipos de densidad agua, lo que no puede hacer la mamografía.

Exploración complementaria, ¿Porqué?:

  • Es muy difícil detectar las microcalcificaciones.
  • Es una técnica muy «Operador-Dependiente». 
    • Requiere un alto nivel de experiencia por parte de la/el Técnica/o.

Es una técnica donde Mamas densas y Polinodulares hacen que se resienta la efectividad de dicha técnica es decir, disminuye la sensibilidad del estudio y dificulta y alarga las exploraciones.

Se requiere un equipo de media-alta gama para poder hacer evaluaciones de lesiones que siendo menores de 3 mms hemos demostrado como enseñaré cuando lleguemos a la patología habitual, que se pinchan y dan positivo para Ca.

Petición:

La petición puede llegarnos desde fuera del servicio de rayos, o desde dentro, donde se quiera complementar con ecografía una exploración de mamografía.

Cuando nos llega la petición por parte de la/el radióloga/o, nos señalará si tiene alguna sospecha que haya visto en la mamografía.

Es vital saber lo que le pasa a la paciente, tanto con la información clínica como con su testimonio.

La imagen:

La diferencia entre la mamografía y la ecografía es que mientras que la mamografía es una técnica donde se superponen las imágenes, ya que es un sumatorio de estas, en la ecografía hacemos un corte tomográfico donde vemos de superficial a profundo todas las capas de tejido existente evitando superposiciones.

Al no haber superposiciones tanto los hallazgos patológicos como la anatomía normal se complementan para ofrecer máxima información.

La técnica:

  • Transductores de ALTA FRECUENCIA. Siempre emplear la mayor frecuencia posible. La/el Técnica/o valorará la posibilidad de usar imagen fundamental en lugar de los ármonicos en la exploración de eco de mama.
Transductores de alta frecuencia.Lineales.
  • Paciente en decúbito supino y oblicuo-supino y brazo sobreextendido sobre la cabeza. Manejaremos a la paciente en función del volumen de la mama para tener siempre la estructura a estudio colocada idóneamente para ejecutar la técnica.
  • Cortes radiales y antirradiales ortogonales.

Para hacer los cortes radiales haremos que la mama sea un reloj, desde cada hora posicionaremos el transductor y lo llevaremos desde el extremo de la mama hasta el pezón. así vamos a repetir con todas la horas.

Después, dividiremos en 4 cuadrantes la mama y realizamos cortes longitudinales y transversos, tantos pases como necesitemos para cubrir cada cuadrante en función del tamaño de la mama, en cada cuadrante garantizándonos así pasar tres veces por cada zona de la mama.

  • Ligera compresión de la mama con el transductor para adelgazar la zona a estudio. 
  • Siempre incluir en el protocolo el estudio axilar. Una vez hayamos recorrido la estructura terminaremos la exploración estudiando detenidamente el área de la Axila realizando cortes axiales y longitudinales de la región.Haremos fotos de cada cuadrante y de la axila si es un estudio sin patología.Es decir,5 fotos por cada mama.
  • Siempre hacer los recorridos por la mama con la sonda perpendicular a la piel de la mama con el fin de evitar artefactos, siempre adaptándonos a la anatomía.
  • Muy importante la correcta colocación y el uso del pictograma.

Anatomía ecográfica:

En una imagen ecográfica del estudio de la mama por ecografía estándar observamos una imagen tomográfica, donde vemos una serie de «capas» de ecogenicidad diferente que se corresponde con la flechas indicando el tipo de tejido al que pertenecen.

Ecogenicidad:

La Piel y el tejido celular subcutáneo es la capa más superficial, después la grasa, normalmente hipoecogénica respecto del tejido mamario, que es hiperecogénico, más en profundidad el músculo, otra vez hipoecogénico y finalmente podemos estudiar, el hueso de la costilla, o el cartílago y el pulmón, que en tiempo real podemos verlo incluso moverse en su capa pleural que se ve hiperecogénica.

El tejido mamario normal se distribuye aleatoriamente en función de cada paciente y de sus características.

Podemos diferenciar muy a groso modo 3 tipo de tejido mamario, uno donde el tejido sea predominantemente graso, otro donde sea muy denso y otro intermedio.

Tejido denso.

Es un tejido abigarrado con gran cantidad de interfases que dificultarán la exploración.

Tejido intermedio.
Tejido graso.

En un tejido graso las lesiones se identifican mejor, gracias al tejido graso, pasa igual con la mamografía.

En la Axila encontramos tejido graso, muscular, vasos normales dentro de la anatomía axilar, pero nuestra búsqueda se tiene que dirigir a los ganglios axilares. Estos tienen un aspecto ovalado, hipoecogénico en la corteza ganglionar e hiperecogénico en el seno renal. Además su vascularización estará conservada observándose arteria y vena en cada ganglio. Así:

Ganglio normal.

Otros tejidos habituales, pueden ser estos:

La zona retroareolar.

El estudio normal del conjunto areola pezón de la mama es dificultoso por la orografía de la zona, la areola puede sufrir modificaciones con la estimulación por frío del gel, se arruga y alberga aire que dificulta la exploración,para ello cuando lleguemos a esa zona del estudio, tendremos que angularnos buscando la parte posterior del pezón desde los cuatro puntos principales que en nuestro dibujo de la división horaria de la mama correspondería a las 12,las 3,las 6 y las 9. Entonces desde las 12 de la zona de la areola tenemos que angular la sonda hacia las 6 y viceversa, e igualmente con las 3 y la 9 horas de la areola.

Así podremos asegurarnos que retropezón no nos dejamos nada sin ver.

Habitualmente podemos ver conductos alargados anecoicos que confluyen en el pezón.

Costilla.

La costilla se verá hipoecogénica con sombra acústica posterior, ojo a los principiantes no confundir estas estructuras ovaladas con lesiones del parénquima de la Glándula mamaria.

Protesis mamarias.

Algunas pacientes pueden estar intervenidas y poseer prótesis mamarias cuyo aspecto normal es anecoico y de tamaño variable.

En el post siguiente veremos la patología habitual.

 

 

 

 

 

 

57. Protocolo de Abdomen. La Vejiga. Patología más habitual.

Bien, estamos llegando al final del protocolo¡¡¡Madre mía, cualquiera lo diría, han pasado semanas y eso que nos hemos pegado una buena paliza…Hoy toca el estudio de la Vejiga y vamos a incluir también en este Post la patología.

Bien, bajando por la Línea Alba, una vez entramos en la pelvis menor nos vamos a encontrar con una estructura redonda, anecoica que visualizaremos dependiendo de la replección que tenga.

Es importante advertir a los pacientes que para hacerse la prueba deben venir con la vejiga llena por eso se recomienda una hora antes de la ecografía beber líquido abundante para repleccionarla y poder valorar la estructura y aquellas estructuras colindantes.

Es habitual que las/los pacientes tengan que rellenar vejiga para completar el estudio, siempre que no tengan la vejiga suficientemente repleccionada.

Técnicamente la vejiga tiene un acceso fácil, la localizaremos por encima del pubis. Debemos realizar cortes transverso y longitudinal y observar minuciosamente las paredes de la estructura, por eso debe estar bien repleccionada.

El transductor se dispondrá como el rojo de la figura para Transverso y como el amarillo para corte longitudinal.

Ecográficamente vamos a ver una estructura Anecoica, de bordes lisos, como un globo. Una replección exagerada puede dar lugar a artefactos indeseados y estudios no valorables.

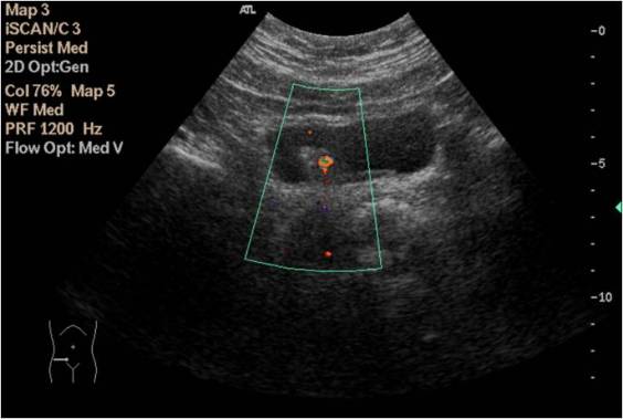
Con el doppler color podemos ver el Jet Vesical y demostrar colocando la caja de color a salida de los uréteres, el buen funcionamiento de estos ya que la eyección de orina del uréter en la vejiga se va a representar con efecto de flujo. Como se observa en estas dos imágenes siguientes:

La patología habitual de esta estructura tiene que ver con la búsqueda de alteraciones en la pared. Muy atentos en los volantes de petición a la patología indicada, sobre todo si hay Hematuria.

También alteraciones en los Uréteres que no deben verse en condiciones normales y aparecerán cuando sean patológicos.

Patología habitual:

Cáncer de Vejiga:

Es con mucho el objetivo principal de este estudio, sobre todo si se cumplen ciertos criterios de sospecha como la hematuria, pacientes que fuman o han fumado y la edad.

Realizar siempre medidas y avisar al Radiólogo/a del hallazgo.

Ecográficamente aparecerá como una masa hiperecogénica, heterogénea, pegada a la pared en forma de «coliflor» que al ponerle el doppler color se puede ver como está vascularizada:

Se observa dentro de la estructura la vascularización de la estructura de sospecha.

Megauréter:

Se observa el este corte longitudinal, una estructura alargada abocada a la vejiga, anecóica y que según su peristaltismo puede verse más o menos llena de orina, por lo que puede modificar su calibre.

Sedimento:

Se verá una imagen hiperecogénica con efecto de masa ocupando la pared, pero que al moverse la orina de la vejiga provocada por el movimiento, esta se mueve…Es imprescindible pedir a la/el paciente que se mueva para comprobar dicho hallazgo.

Puede haber otro tipo de sedimento que «flota» en la estructura…

En este caso el sedimento parece una «cielo estrellado» dentro de la vejiga.

Ureterocele:

Ecográficamente veremos una estructura anecoica, rodeada por una fina imagen hiperecogénica improntando en la luz vesical, puede verse acompañado de la presencia o no de Megauréter.

Divertículo Vesical:

El Divertículo Vesical se verá como una imagen anecoica al igual que la Vejiga exofítica a la pared de la vejiga, pero unida, como si de un desfiladero se tratase, pueden ser varios o uno solo…En su interior pueden contener patología.

En la imagen los ves señalados con flecha amarilla.

 

Podemos observar otros signos muy habituales como son la presencia de sondas vesicales, donde encontraremos una vejiga poco repleccionada si antes del estudio no se ha realizado pinzamiento de ésta. Se verá una imagen central, anecoica con reborde hiperecogénica.

Sonda vesical.

 

 

 

 

54. Protocolo de Abdomen. El Riñón Izquierdo.

Bien, después de haber estudiado el Bazo, continuamos el viaje anatómico ecográfico por el Riñón Izquierdo.

El objetivo es igual que el del Riñón derecho, pero en el lado izquierdo.

Ecográficamente ambos Riñones se comportan igual, lógico.

Cambian sin embargo algunas cosas en relación con la situación anatómica del Riñón Izquierdo, que está situado en el lado izquierdo y eso hace que esté más alto que el derecho, ya que el derecho se ve obligado a estar algo más distal debido al volumen que ocupa el Hígado.

Técnicamente nos vamos a encontrar con artefactos óseos producidos por las costillas, igual que en el Bazo, hay que aprovechar los espacios intercostales para realizar estas imágenes y con artefactos del tipo gaseoso por la gran cantidad de tripas que se encuentran en la zona, ángulo esplénico colónico, Estómago y asas de Delgado.

Por esta razón la búsqueda del Riñón Izquierdo se hace algo tediosa, pero te lo voy a explicar muy clarito y sencillo y lo vas a hacer genial, mira:

Partiremos de la posición de Transverso para estudiar el Bazo en Transverso, así:

Observa el Pictograma en amarillo… una vez que tengas el Bazo así en la pantalla inicia un recorrido de bajada hacia distal y en la mayoría de las veces, a unos 4 ó 5 cms vas a encontrar el Riñón Izquierdo en Transverso, así:

La flecha negra marca el desplazamiento de la sonda y la flecha roja el lugar de posicionamiento de la sonda para el corte transverso con el que conseguir la foto siguiente.

Observa el Picto, y mira que apenas nos hemos movido de la zona, solo hemos bajado un poco. Encontramos un órgano como el que ves en la imagen, hipoecogénico en los bordes e hiper en el centro, es como una «C» abierta hacia la izquierda y hacia abajo. Cuando tengas esta imagen, pon tu sonda en longitudinal, vas a notar que te estás apoyando en el reborde costal izquierdo y que cuesta mantener el equilibrio, pero el objetivo es ver esta imagen:

En esta imagen ya puedes realizar la medida. Es el momento que te dediques a estudiar el órgano, haciendo movimientos de angulación de adelante hacia atrás en la imagen longitudinal y de arriba hacia abajo en la imagen en transverso. Ahora solo tienes que hacer la foto del Riñón en transverso, que la vimos antes, pero solo la usamos para localizar el órgano. Primero siempre la imagen en Longitudinal y luego la de Transverso.

Longitudinal.

 

Transverso.

En ocasiones puede ser farragosa la exploración de este órgano por las características del paciente, al igual que el Bazo, si es muy subcostal puede ser complicado. El gas intestinal puede organizarse para no dejarnos ver bien el polo superior, otra cosa en nuestra contra.Se puede luchar contra esto…

Recomiendo estas pautas para conseguir la imagen más valiosa posible:

  • Hacer el estudio tanto en decúbito supino y en decúbito lateral derecho.Escoger las imágenes donde se vea mejor.
  • Hacer el estudio en espiración forzada o en Valsalva, apretando la tripa como para ir a defecar.Así conseguimos que el órgano baje hacia abajo y poder quitar artefacto costal y es una recomendación extensiva a todos los órganos estudiados con ecografía del piso superior abdominal.
  • Mover la sonda lo menos posible una vez que tengamos el objetivo fijado, podemos angular para ver el órgano.El terreno suele ser bastante inestable por la anatomía del paciente.
  • Tener siempre bien los ajuste ecográficos del equipo.

En Pediatría y en adultos muy delgados recomiendo encarecidamente un acceso posterior para ver ambos riñones, es decir, podemos situar al paciente en decúbito prono y colocar nuestra sonda a la altura de L1 en longitudinal y paravertebral. Desde ahí vamos a ir haciendo un movimiento de búsqueda del Riñón tanto izquierdo como derecho, hacia externo y vamos a localizar estas estructuras y las vamos a visualizar y poder medir perfectamente sin presencia de gás. Eso sí, siempre en pacientes delgados o pediátricos ya que en paciente con más grasa y musculatura lumbar potente, la atenuación del ultrasonido hará imposible nuestra misión.

No olvidemos repasar el espacio suprarrenal izquierdo situado encima del polo superior del Riñón Izquierdo, para esta imagen no te puedo ofrecer unas pautas de búsqueda estándar porque es absolutamente dependiente de la anatomía y distribución del gas intestinal en cada paciente. Puedo decir que la búsqueda es más sencilla desde el lado más antero-externo y subcostal del hipocondrio izquierdo para ver este espacio y que es útil localizar el polo inferior del Bazo y desde ahí buscar el polo superior del riñón izquierdo. Siempre nos dará la calidad de la exploración una angulación correcta.

Debe verse así:

En reglas generales tengo que decir que es una exploración global de dificultad alta, que requiere mucho entrenamiento.

 

 

52. Protocolo de Abdomen. El Bazo.

Después del Riñón derecho, nos vamos hacia el lado izquierdo, concretamente al Hipocondrio Izquierdo, allí encontramos el Bazo.

Es un órgano intraperitoneal.

Está en continuidad con el diafragma. Contacta con el riñón izdo. Inferiormente y con el estómago y la cola del páncreas medialmente.

La arteria esplénica se origina en el tronco celiaco.

La vena esplénica sale del bazo en el hilio y confluye con la vena mesentérica superior y forma la vena porta.

El Bazo es un órgano difícil de estudiar, cuando uno comienza a formarse en ecografía cuesta mucho ubicarlo, capturarlo, aunque sepamos su localización.Pero ¿porqué?

Hay varias razones, a saber, es un órgano subcostal, en ocasiones puede ser muy pequeño y está rodeado de mucho aire, concretamente del ángulo esplénico colónico. Si todos estos agentes se alinean en nuestra contra, encontrarlo y estudiarlo es difícil, pero se combate, como digo siempre, con técnica.

Nosotros, cuando tenemos Técnicos o Residentes de Radiología que empiezan a formarse con nuestro equipo y al principio se frustran por no poder con esta estructura, decimos siempre que al principio el Bazo es una estructura que nunca encontramos, pero que cuando lo veamos por primera vez sin ayuda, nuestra mano siempre lo va a «encontrar»…y eso, no es ni más ni menos que técnica.

Partiremos de la posición en longitudinal en línea axilar media izquierda a la altura de la 9-10 costilla y ahí buscaremos el órgano según anatomías. Hacemos cortes transverso y longitudinal.

Punto de partida. Corte Longitudinal.
Cortes.Posiciones de Sonda.

Ecográficamente es una estructura voluminosa, hiperecogénica y homogénea que no debe medir en adultos más de 12 cms. Los vasos de la estructura se verán anecoicos.

Semiología ecográfica.
Detalle del vaso.

El objetivo principalmente es observar el órgano, demostrar que no tenga patología y hacerle medidas en el corte longitudinal al menos.

Longitudinal con medidas. Observe el lector el pictograma.
Transverso. Detalle del pictograma en amarillo.

El o la paciente se debe encontrar en decúbito supino o decúbito lateral derecho, recomiendo exploración del órgano en ambas posiciones y escoger la mejor para hacer las fotos y medidas.

La estructura del Bazo hace que tanto en transverso como en longitudinal el Bazo aparece ecográficamente como una estructura que estuviese reflejada en un espejo. Mira:

En Long y en Trans como si la estructura estuviese reflejada.

La sonda en adultos será de baja frecuencia, en pediatría, depende del tamaño de la/el paciente. En neonatos y menores de 4 años más o menos, siempre podremos usar frecuencia altas.

No es un órgano al que no afecta gran cantidad de patología, pero una gran parte de esta patología que le afecta es infecciosa o de origen hematológico y puede provocar esplenomegalia, que trataremos en el siguiente post.

Para terminar os voy a comentar que estas proyecciones son útiles para estudiar posibles lesiones de la cola de Páncreas y tenemos la experiencia contrastada de hallazgos patológicos en dicha localización desde este acceso no vistos en el acceso por vía normal para el estudio del Páncreas. En estas proyecciones el la cola pancreática se ve ligeramente hiperecogénica junto al borde interno del Bazo, cerca de su hilio. En la siguiente foto te lo marco en Rojo. Esta visualización de la cola pancreática requiere más experiencia y estar habituado a la técnica.

Localización cola pancreática.

A mis alumnos Cristina y Mario, este Post, es un poco de ellos también.

 

 

36. Protocolo de Tiroides. Los Cortes.

Ahora vamos a ver los cortes, no el protocolo, los cortes, es decir, como tenemos que manejar el transductor para realizar un protocolo de Tiroides normal.

Esto que ves en este post es la teoria, pero se aprende con la práctica o en un taller, donde quien te enseñe te dirija la mano al principio ya que es una técnica que requiere destreza, pero todo se aprende¡¡¡

Una vez que todo está preparado para empezar el estudio debemos saber donde y como se coloca espacialmente la glándula, los vasos y todos aquellas estructuras que tengamos que estudiar. El problema es que están debajo de la piel, y eso no ayuda…Por eso es importante conocer muy la anatomía.

Los cortes de los lóbulos y el Istmo son en transverso y en logitudinal, es decir, axiales al cuello y sagitales a éste.

Cada lóbulo será estudiado individualmente en transverso y longitudinal y siempre siempre colocados perpendicularmente a la estructura. El cuello no es plano, desde el cartílago a los laterales, el cuello se inclina, por tanto tendremos que inclinarnos nosotros con nuestra sonda para buscar el lóbulo de cada lado.

El Istmo es central, por tanto debemos apoyar la sonda central  transverso y en longitudinal, teniendo mucho cuidado porque el istmo es muy pequeño y cogerlo en longitudinal puede hacerse complicado al principio ya que además, tenemos que estar apoyando sobre la tráquea que es un superficie muy inestable.

En radiología todo hay que estudiarlo en dos proyecciones, por tanto, para estudiar el Tiroides, también, así como todas aquellas estructuras que nos parezcan anómalas, por ejemplo, nódulos que nos parezcan que pueden ser de interés para el radiólogo por su aspecto, tamaño o forma.

Además siempre haremos transverso y longitudinal porque es la única manera de poder medir una estructura en los tres ejes del espacio, antero-posterior, derecha-izquierda y cráneo-caudal.

Ah, y muy muy importante, recuerda siempre posicionar el transductor para hacer coincidir la derecha del paciente con la derecha de la pantalla (nuestra izquierda), en el corte transverso y en el longitudinal, la parte craneal, a la derecha de la pantalla (nuestra izquierda).

Now let’s see the cuts, not the protocol, the cuts, that is, how we have to handle the transducer to perform a normal thyroid protocol. What you see in this post is the theory, but you learn with practice or in a workshop, where whoever teaches you to direct your hand at first since it is a technique that requires skill, but everything is learned! Once everything is ready to begin the study we must know where and how the gland, vessels and all those structures that we have to study are placed. The problem is that they are under the skin, and that does not help … That is why it is important to know the anatomy very well. The cuts of the lobes and the Isthmus are transverse and longitudinal, that is, axial to the neck and sagittal to the neck. Each lobe will be studied individually in transverse and longitudinal and always always placed perpendicular to the structure. The neck is not flat, from the cartilage to the sides, the neck is inclined, so we will have to lean ourselves with our probe to look for the lobe on each side. The Isthmus is central, therefore we must support the transverse and longitudinal central probe, being very careful because the isthmus is very small and taking it in longitudinal can be complicated at first since also, we have to be resting on the trachea that is a surface very unstable In radiology, everything has to be studied in two projections, therefore, to study the thyroid, as well as all those structures that seem anomalous, for example, nodules that we think may be of interest to the radiologist because of their appearance, size or form. In addition we will always make transverse and longitudinal because it is the only way to be able to measure a structure in the three axes of space, antero-posterior, right-left and cranio-caudal. Oh, and very important, always remember to position the transducer to match the patient’s right with the right of the screen (our left), in the transverse and longitudinal cuts, the cranial part, to the right of the screen ( our left).
Situación del Tiroides

Para que te hagas una idea de como estudiar la glándula, primero tienes que saber cómo es y donde se sitúa. Luego saber lo que tiene más cerca, es decir, anatomía, este caso lo ves dibujado sobre el cuello con los vasos, la carótida y la yugular a sus lados.

To give you an idea of ​​how to study the gland, you must first know what it is like and where it is located. Then find out what is closest, that is, anatomy, this case you see it drawn on the neck with the vessels, the carotid and the jugular at its sides.
Corte tranverso

En este caso realizamos un corte transverso del lóbulo derecho que es un corte axial del cuello, adecuándonos a la posición del lóbulo.

In this case we perform a transverse cut of the right lobe that is an axial cut of the neck, adapting to the position of the lobe.
Corte longitudinal

Observa ahora cómo nos colocamos en función del lóbulo, mira como el corte no es en el eje sagital puro, sino que nos adaptamos a la estructura con el único fin de poder verla en su totalidad en longitudinal.

See now how we position ourselves according to the lobe, look how the cut is not in the pure sagittal axis, but we adapt to the structure with the sole purpose of being able to see it in its entirety in longitudinal.
Corte transverso del Istmo

El Itsmo requiere, obviamente su propio estudio, en este caso, corte transverso, apoyando levemente sobre la línea media del cuello, sin comprimir en exceso, observa como el transductor no apoya lateralmente, pero si tienes bastante gel y realizas compresión correcta, vas a poder ver el Istmo y ambos lóbulos, como te demuestro en la siguiente imagen…

The Isthmus require, obviously your own study, in this case, transverse cut, supporting slightly on the midline of the neck, without compressing excessively, observe how the transducer does not support laterally, but if you have enough gel and you perform correct compression, you will be able to see the Isthmus and both lobes, as I show you in the next image

Posteriormente y sin movernos de ahí, giramos el transductor 90º en sentido horario, colocándonos sobre la línea media, perpendicularmente a la estructuctura para realizar el corte longitudinal o sagital al cuello.

Subsequently and without moving from there, we turn the transducer 90º in a clockwise direction, placing ourselves on the midline, perpendicular to the structure to make the longitudinal or sagittal cut to the neck.
Longitudinal del Istmo

Esta imagen superior sería el corte longitudinal del Istmo, en la imagen el transductor no apoya, obviamente tendremos que apretar un poco más, pero quería mostrarte cómo sería el corte respecto de la estructura.

Para el lóbulo izquierdo realizaremos la misma operación que con el lóbulo derecho, pero al otro lado de la línea media.

Junto al lóbulo derecho y el izquierdo, encontramos lateralmente dos vasos, carótida, más medial y yugular, más externa, si observas en la imagen primera, no son completamente sagitales, por tanto para su estudio, tendremos que buscar su orientación y adaptarnos a su anatomía. Así:

This upper image would be the longitudinal cut of the Isthmus, in the image the transducer does not support, obviously we will have to tighten a little more, but I wanted to show you how the cut would be with respect to the structure. For the left lobe we will perform the same operation as with the right lobe, but on the other side of the midline. Next to the right and left lobes, we find laterally two vessels, carotid, more medial and jugular, more external, if you look at the first image, they are not completely sagittal, therefore for their study, we will have to look for their orientation and adapt to their anatomy.
Representación de cortes de estudio de los vasos

Para resumir, realizaremos cortes transversos y longitudinales siempre adecuándonos a la colocación de la estructura a estudio. Así haremos tanto con las estructuras anatómicas normales como con aquellas que despierten nuestra atención porque puedan ser de significado relevante para el estudio.

En el próximo Post veremos la representación en imágenes del protocolo habitual.

To summarize, we will make transverse and longitudinal cuts always adapting to the placement of the structure under study. This way we will do as much with normal anatomical structures as with those that arouse our attention because they can be of significant significance for the study. In the next Post we will see the representation in images of the usual protocol. Do not forget to share if you like the Blog.

No olvides compartir si te gusta el Blog.