En el estudio habitual del Tiroides podemos encontrar nódulos de diferentes aspectos. Podrás repasar el estudio ecográfico del Tiroides en los Posts 37, 38 y 39.
Una vez hayas repasado esto, ponte con el Post de hoy, donde te enseño una patología relativamente poco habitual, pero que tiene unas consideraciones previas muy a tener en cuenta. Primero, leer muy bien la información clínica, en este caso es vital, porque el paciente del caso que centra el Post tenía diagnóstico de hiperparatiroidismo. Segundo y no menos importante, conocer la anatomía normal y tercero, tener la experiencia necesaria para poder diferenciar entre un nódulo habitual al nódulo provocado por una paratiroides patológica, que en ocasiones, puede ser indiferenciable por su semiología inespecífica.
Cómo es la Paratiroides anatómicofuncionalmente hablando:
ENDOCRINAS
SITUADAS EN LOS POLOS DEL TIROIDES
PRODUCEN LA PARATOHORMONA
FACILITA ABSORCIÓN DE CALCIO Y VITAMINA D
REDUCE LA EXCRECIÓN RENAL DEL CALCIO
HIPERPARATIROIDISMO: AUMENTO DE NIVELES DE CALCIO
POR LO GENERAL HAY 4
TIENEN FORMA DE LENTEJA
PESAN 30 mg CADA UNA
Es muy habitual que lxs pacientes que vienen con sospecha de hiperparatiroidismo, ya vengan diagnosticados con alguna prueba de Medicina Nuclear, como es una Gammagrafía con tecnecio 99m, y la ecografía sea una técnica de confirmación, de guía de punción y prelocalización quirúrgica, que en ocasiones, certificaremos en el mismo quirófano con una ecografía intraoperatoria la resección del tumor.
La semiología de un tumor paratiroideo habitual o Adenoma Paratiroideo hemos dicho que puede ser inéspecífica, pero podemos destacar que suelen ser ovalados, en ocasiones psudotriangular, afilado o bilobulado, son hipoecocoicos y homogéneos y un porcentaje reducido, pueden tener degeneración quística, su vascularización está aumentada.
El diagnóstico diferencial con el Carcinoma Paratiroideo estriba en el tamaño de la lesión, que en el Carcinoma suele superar los 2 centímetros, el adenoma, se queda en la mitad, destacando en la semiología la heterogenicidad y un marcado patrón quístico en estas lesiones malignas.
En el estudio el diagnóstico puede llevar a resultados falsos-positivos al confundir nodos linfáticos cervicales y sobretodo nódulos tiroideos con este tipo de tumor y diagnosticar otras patologías con la que nos atañe, por contra también se puede dar un diagnóstico erróneo al confundir el adenoma con un nódulo tiroideo en el contexto de bocio multinodular, menos habitual, pero muy a tener en consideración es el adenoma paratiroideo ectópico, figura que junto con el BMN puede conducir a la/el Radiólogx a Falsos-Negativos, donde se puede no diagnosticar esta patología interpretando que es otro tipo de lesión.
Hemos dado un repaso importante a la teoría del Adenoma, como tumor habitual de la Paratiroides. Es hora de ver un caso, descubierto en el contexto de una exploración habitual del Tiroides y cuya sospecha venía dada por un diagnóstico en la bioquímica del paciente, de Hipercalcemia al albor de un Hiperparatiroidismo en paciente con cólicos renales. El Hiperparatiroidismo viene dado en casi un 90% por un Adenoma, siendo el Carcinoma el encargado de producirlo en tan solo un 1%, siendo el tanto por ciento restante responsabilidad de la hipertrofia múltiple de la glándula…lo dicho, las imágenes…






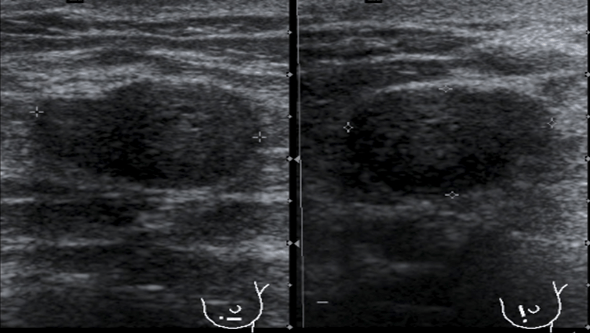
En la imagen 1 ya puedes observar la semiología típica de este tipo de tumores, homogeneidad, hipoecogenicidad y forma pseudotriangular. Aquí ya nos debe llamar la atención, está muy pegado a la carótida, la anatomía adyacente está conservada, en la imagen 2 te lo marco con flechas rojas para que lo ubiques bien.
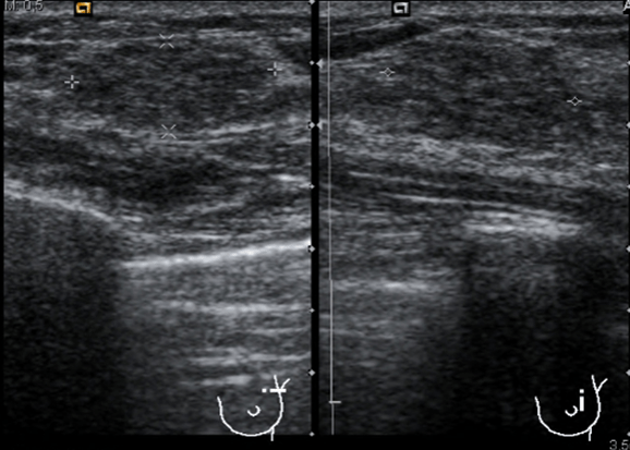
Las medidas tanto en transverso como en longitudinal, imagen 3 y 4 son importantísimas, hemos hablado anteriormente que la medida tiene relación directa con el diagnóstico diferencial de estas patología tumorales, y como no, la vascularización, que la ves en la imagen número 5 y que está aumentada, usaremos doppler color, imagen 5, y doppler power, imagen 6.


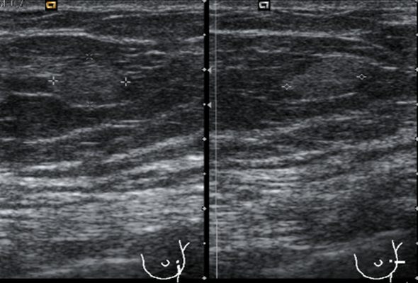
Te pido ahora que observes aténtamente la imagen 7 y la imagen 8 y en las lesiones marcadas con flechas amarillas. En la imagen 7 puedes ver imágenes nodulares en ambos lóbulos tiroideos, son nódulos de los que habitualmente encontramos en un bocio multinodular, compara ahora con la imagen de la imagen 8, así a bote pronto, ¿Te llama algo la atención?…mira bien las imágenes…tómate un momento, no sigas leyendo…
Sí, efectivamente, la lesión de la imagen 8, que es a la que le hemos estado dedicando este tiempo, parece estar localizada fuera del tiroides, en su LTD, concretamente en su porción más profunda, como pegada a él…aunque el aspecto pueda ser similar a un nódulo normal, en este caso, la localización de la lesión, también nos va a ayudar en el diagnóstico.
Por tanto, habiendo terminado el estudio de todas las imágenes, la conclusión a la que se llega es…
La ecografía muestra un tiroides multinodular, porque tiene otros tipos de imágenes nodulares al margen de la lesión estudiada. Adyacente al LTD y en contacto con la carótida común se observa una lesión nodular, sólida, no es anecoica ni tiene este componente, por tanto se considera sólida, hipoecogénica, que mide 10 x 9 mm y que por su localización y morfología es compatible con un adenoma de paratiroides inferior derecha, anatómicamente suelen ser 4, dos por lóbulo, una en polo superior y otra en el inferior…Hasta el próximo Post.
Pedes in terra ad sidera visus













