Cuando empecé a hablar de los ajustes ecográficos o los parámetros técnicos, como se prefiera, quizá debería haber empezado por este ajuste, la razón es la siguiente, este ajuste, es el encargado de proporcionar la energía sónica que tiene que atravesar los tejidos y que lo hace partiendo desde el transductor. Sin esta energía, ninguno de los otros parámetros explicados aquí hasta ahora tendrían mucho sentido ya que la imagen, sin una correcta Potencia de Transmisión, no es válida, pero como el orden de los factores no altera el producto…empezamos…
La definición es: Es la potencia eléctrica que le llega a la sonda ecográfica o transductor.
Esta energía que luego, por el Efecto Piezoeléctrico https://ecografiafacil.com/2017/12/22/8-la-piezoelectricidad/ se convertirá en nuestro haz de ultrasonidos. Por tanto, a más energía eléctrica, mi haz será más potente también, pero…
Tiene relación estrecha con el índice mecánico (IM) y el Índice térmico (IT).
Estos índices son ambos efectos biomécanicos del sonido, efectos que requieren su post particular y que estudiaremos más adelante. Estos efectos pueden ser potencialmente dañinos.
La Potencia de Transmisión debe ser siempre ser tan baja como sea posible, según el criterio ALARA. ALARA son las siglas en inglés de «As Low As Reasonably Achievable» es decir “tan bajo como sea razonablemente alcanzable”. De este criterio sabemos muchísimo los Técnicos de Radiología ya que somos los responsables de aplicar estas energías o radiaciones, tanto ionizantes como no ionizantes,a los pacientes.
Por otro lado es necesario que para comprender como funciona la Potencia de Transmisión, entiendas lo que son estos dos índices, así que vamos a explicarlo brevemente.
El IM tiene que ver con el Riesgo de cavitación (aumento de presión y temperatura de las burbujas o cavidades con gas o líquidos). Este IM es un efecto No Térmico. Algunos equipos actuales pueden ocasionar este efecto, potencialmente dañino.
Este índice nunca debe ser superior a 1,9 y además este valor aparecerá en la pantalla para que lo tengamos bajo control.
When I started talking about the echographic settings or the technical parameters, as you prefer, maybe I should have started with this adjustment, the reason is this, this adjustment, is responsible for providing the sonic energy that has to go through the tissues and that it does so starting from the transducer. Without this energy, none of the other parameters explained here would make much sense since the image, without a correct Transmission Power, is not valid, but as the order of the factors does not alter the product … we started … The definition is: It is the electrical power that reaches the sonographic probe or transducer. This energy that then, by the Piezoelectric Effect https://ecografiafacil.com/2017/12/22/8-la-piezoelectricidad/ will become our ultrasound beam. Therefore, the more electrical energy, my beam will be more powerful too, but … It has a close relationship with the mechanical index (IM) and the thermal index (IT). These indices are both biomechanical effects of sound, effects that require their particular post and that we will study later. These effects can be potentially harmful. The Transmission Power must always be as low as possible, according to the ALARA criteria. ALARA stands for «As Low As Reasonably Achievable» that is «as low as reasonably achievable». From this criterion we know a lot Radiology Technicians since we are responsible for applying these energies or radiations, both ionizing and non-ionizing, to patients. On the other hand it is necessary that to understand how the Transmission Power works, understand what these two indexes are, so let’s explain it briefly. The IM has to do with the risk of cavitation (increase in pressure and temperature of bubbles or cavities with gas or liquids). This IM is a Non-Thermal effect. Some current equipment can cause this effect, potentially harmful. This index should never be higher than 1.9 and this value will also appear on the screen so that we have it under control.
El IT es otro valor numérico que indica la capacidad del ultrasonido de aumentar la temperatura del tejido. Este es un valor que marca efectos térmicos.
Se ha demostrado aumentos de 0,2 º Celsius por minuto a ultrasonido entregado a 1 W/cm2 a 1MHz.
Si no se superan 2º C es difícil que ocasionen efectos.
Ambos valores pueden estar representados en la imagen y deben seguir estas normas:
– Deben ser claramente visibles en pantalla cuando el valor sobrepase un 0,4.
– Aquellos equipos incapaces de sobrepasar un índice de 1 están exentos de representar este valor.
– Pueden estar representado un solo índice (IT o IM) en función del que pueda ocasionar el efecto.
El objetivo es ajustar la potencia para obtener una información clínicamente útil o que la imagen sea diagnóstica, para enternos.
Pero claro, sería lógico pensar que deberíamos reducir esta energía al mínimo, lamentablemente no puede ser porque al reducir la potencia disminuimos la calidad de imagen ya que reducimos la amplitud de señal, sí, otra vez la amplitud, magnitud de onda importantísima.https://ecografiafacil.com/2017/12/15/5-magnitudes-de-la-onda-otras-magnitudes/
La potencia de transmisión es un ajuste que podemos manejar a través de un comando en forma de rueda, que se encuentra normalmente en la botonera o en el menú táctil en los equipos más nuevos y que en la pantalla se refleja en un porcentaje o en un valor numérico entre el 10 y el 100.
IT is another numerical value that indicates the ability of ultrasound to increase tissue temperature. This is a value that marks thermal effects. It has been shown increases of 0.2 º Celsius per minute to ultrasound delivered at 1 W / cm2 at 1MHz. If they are not exceeded 2 º C is difficult to cause effects. Both values can be represented in the image and must follow these rules: – They must be clearly visible on the screen when the value exceeds 0.4. – Those teams incapable of exceeding an index of 1 are exempt from representing this value. – A single index (IT or IM) can be represented depending on the one that may cause the effect. The objective is to adjust the power to obtain a clinically useful information or that the image is diagnostic, to enternos. But of course, it would be logical to think that we should reduce this energy to the minimum, unfortunately it can not be because when reducing the power we reduce the image quality since we reduce the amplitude of the signal, yes, again the amplitude, important magnitude of the wave.http: //ecografiafacil.com/2017/12/15/5-magnitudes-of-la-onda-otras-magnitudes/ The transmission power is an adjustment that we can manage through a wheel-shaped command, which is normally found in the keypad or in the touch menu in the newer equipment and which is reflected in the screen in a percentage or in a numerical value between 10 and 100.




Si disminuimos este porcentaje, bajamos el valor de los índices antes comentados y también la calidad de imagen, así que ojo…
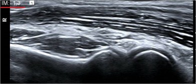
Las imágenes a continuación expuestas nos enseñan como la Potencia influye decisivamente en la calidad de la imagen obtenida y además como los IM e IT se ven afectados según el valor de dicha potencia…observa.
If we decrease this percentage, we lower the value of the aforementioned indexes and also the image quality, so beware … The following images show us how the Power decisively influences the quality of the image obtained and also how the IM and IT are affected according to the value of said power … observe.



En el caso de que hagamos una Ecografía con contraste, la potencia de transmisión tiene que estar al mínimo.Normalmente en estos casos, ya viene en la configuración del preset especial para contrates ecográficos que trataremos en un Post más adelante.
Hola es excelente toda
La información y la manera de explicarlo.
Estoy estudiando por aquí para la
Prueba de ARDMS y aunq esa
Prueba es en inglés, por aquí es que puedo entenderlo. Tendrás alguna pagina para estudiar directamente imágenes ecograficas y cómo modificarlas ?
Me gustaMe gusta
Gracias Nataly, no , lo siento, desconozco páginas en concreto.
Me gustaMe gusta