Hoy te traigo un breve post para este sábado después de la consulta de ayer en el perfil de instagram donde escogisteis que el post de hoy fuera sobre la eco MSK.
Es un post fácil, pero que me parece muy explicativo de una patología que de modo poco habitual podemos encontrar en la realización del protocolo de hombro.
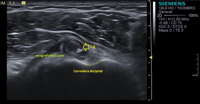
Es la luxación del tendón del bíceps. Sabes que este tendón va siempre envuelto en su vaina, de hecho, de los que forman el manguito rotador, es el único que tiene vaina y además va protegido en la corredera bicipital.
Si tu lo quieres estudiar en un corte transverso o eje corto del tendón verás como muestra de normalidad la imagen número 1. Semiológicamente es muy agradecido. Ves el tendón ovalado, hiperecogénico reposado en la corredera bicipital. El ligamento transverso humeral, hiperecogénico y lineal, anterior a la estructura tendinosa que descansa en la corredera.

Vamos a partir de la normalidad y te vienes a ver ahora la patología que hoy nos ocupa, mira. En ocasiones podemos encontrarnos la imagen patológica que indica luxación del tendón, imagen 2. Es un corte en Eje corto. Ves la corredera bicipital vacía, el tendón fuera de su localización habitual, hacia medial, como es habitual, pero conservando la ecoestructura.

La imagen número 3 corresponde al corte en eje largo, mucho cuidado, siempre que tengamos el tendón del bíceps luxado, este se irá hacia medial, por eso, en eje largo vamos a encontrar la ecoestructura ligeramente hacia la axila, hacia medial.

Te lo digo siempre, mucho ojo con las estructuras tendinosas y la anisotropía, sobre todo la de este tendón que pese a estar luxado tiene su ecoarquitectura conservada, pero, en la imagen número 4 puedes ver la imagen del tendón con anisotropía en eje corto y te la pongo para que compares imagen 1 y 2 e imagen 4 y te des cuenta de cómo puede variar una estructura si no realizamos la técnica correctamente. Ojo con esto ya que podemos confundir a la radióloga a la hora de hacer el informe. Combatir la anisotropía es tarea exclusiva del operador
Te marco en la imagen 4 con una línea fina amarilla la corredera bicipital por si te había costado ver la relación con el tendón desplazado y que está indicado con la flecha amarilla, pero anisotrópico.

Efectivamente, verás que bordeando el tendón existe una mínima cantidad de líquido que está envolviendo u ocupando la vaina del tendón, se ve anecoico y efectivamente es cierto, si lo has visto, enhorabuena, a parte de la luxación, esa es la otra semiología evidente que podemos ver en la imagen 2.
Este caso era evidente, pero qué pasa con eso casos ambíguos donde no sabemos bien si el tendón se encuentra en su posición correcta, o simplemente, queremos comprobar si la estabilidad del tendón es correcta.
Bien para eso haremos el estudio dinámico (vídeo explicativo) del tendón del bíceps, para eso nos pondremos en posición de estudio en eje corto del tendón del bíceps, buscando la imagen 1, la paciente debe tener colocado el brazo en una posición donde el eje largo del radio y el húmero formen 90º, con la palma de la mano hacia arriba, colocaremos nuestra mano libre sobre la cara anterior de la muñeca de la paciente y le pediremos que haga fuerza hacia arriba contra nuestra mano, oponiendo resistencia el explorador al movimiento que hemos solicitado, en ese momento, el tendón del bíceps, saldrá de su corredera bicipital si está inestable y volverá a ella cuando la paciente relaje anulando la acción solicitada. si el tendón no se mueve de sus sitio, no existe luxación o subluxación del mismo.
Te lo explico en este vídeo para que lo entiendas mejor, que las imágenes son mejor que mil palabras…

Importante, 90º en flexión del codo, colocación del transductor, en este caso, un mando a distancia, y la maniobra que indican las flechas (la roja el movimiento del paciente, la blanca la acción del operador, realizadas al mismo tiempo, sincronía entre paciente y operadora y todo esto, fijándonos en la pantalla.
Buena tarde de sábado. Al final 700 palabras…
La respuesta siempre será así, no hay alternativa…
Izal.



















