208. Clasificación Ti-Rads. Nódulos tiroideos.

Empezamos este nuevo curso, lo empezamos muy fuerte, con un trabajo espectacular que nos presenta hoy María Leal Gondra, TSID Especialista de Ecografía del Grupo Quirón, una de las mejores ecografistas de este país, experta en todos los ámbitos de la ecografía, General, Partes Blandas, Doppler y MSK y donde nos muestra con unas fotos maravillosas la clasificación de la patología nodular tiroidea en el contexto de la sospecha de malignidad, es la Clasificación Ti-Rads… Adelante,María…

Con la ecografía el protocolo de la glándula tiroides ha experimentado una mayor accesibilidad.

La ecografía ayuda a caracterizar los nódulos tiroideos en benignos o sospechosos  de  malignidad.  También ayuda como guía en procedimientos intervencionistas diagnósticos por ejemplo PAAF, BAG para posterior decisión de cirugía o control del nódulo.

Para el TSID es muy importante conocer la normalidad de la exploración para identificar signos, semiología de varias patologías, entre ellas la patología nodular. Reconocer estos nódulos e identificar sus rasgos ultrasonográficos más importantes nos ayudará a obtener mejores registros gráficos para que la radióloga pueda realizar un diagnóstico acertado.

Hay diferentes guías de  clasificación TI-RADS:

– Asociación europea del Tiroides

BTA 2014 Asociación británica

KSThR2016 Asociación Coreana del tiroides

AACE Asociación americana y clínica endocrina

ACR Colegio Americano de Radiología, etc.

Todas estas guías son parecidas, se basan en analizar una serie de aspectos ecográficos. Con estas guías el diagnóstico de la exploración tiroidea se puede expresar con la clasificación TI-RADS.  Es semejante al sistema de la mama BI-RADS. Los dos sistemas por características ecográficas de los nódulos los clasifican en benignos o diferentes grados de sospechas de malignidad.

ACR TI-RADS:

Voy a explicar la clasificación TI-RADS de ACR de forma esquemática, visual y muy fácil.

Esta clasificación se basa en dar una puntuación según una serie de criterios ecográficos: composición, ecogenicidad, forma, margen y focos ecogénicos. Cada criterio a valorar obtiene una puntuación y la suma da el resultado final del TI-RADS .

Este sistema está diseñado para identificar los nódulos sospechosos de malignidad más significativos y reducir el número de punciones (PAAF,BAG) en nódulos benignos.

Según el ACR la ecografía tiroidea debería realizarse en todos los pacientes con:

  • BMN (bocio multinodular) o nódulo único mediante palpación de cuello
  • Hallazgo incidental de nódulo en otra prueba de imagen (TC, RM…)

Con la clasificación TI-RADS se decide si los nódulos son:

  • Controlados con ecografía
  • Hacer estudio citológico (PAAF, BAG)
    • Control ecográfico
    • Cirugía, Ablación, etc
  • No necesita control, o se deja de controlar un nódulo controlado y sin cambios en largo periodo de tiempo (5 años)

Enlace clasificación ACR TI-RADS:

En el siguiente recuadro tienes resumidas las características ecográficas de los nódulos tiroideos, los puntos que deben ser sumados a los hallazgos en función de su ecoarquitectura y las líneas rojas que debemos conocer para alertar a la radióloga ante un posible nódulo que nos llame la atención.

Cuadro 1

El sumatorio de los puntos obtenidos con las características ultrasonográficas arrojará una puntuación que será vital para el diagnóstico final. Está detallado en este cuadro:

Cuadro 2

Como muchas veces, una imagen vale más que mil palabras. Vamos a ver en imágenes de nódulos las diferentes características ecográficas del cuadro 1. Así aprendemos a darle puntuación, sumar y así el médico especialista pueda definir una categoría TI-RADS, cuadro 2.

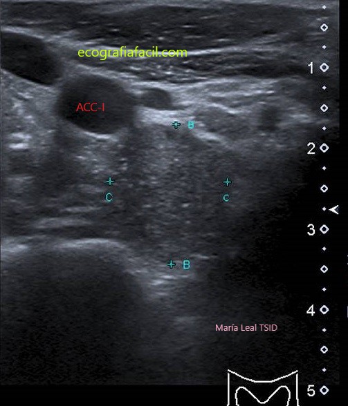
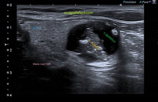
  1. POR SU COMPOSICIÓN:

QUISTE:

Quiste

Los artefactos en “cola de cometa” son focos ecogénicos con forma en “V”. Se asocian con contenido coloide y son muy indicativos de benignidad cuando se encuentran dentro de componentes quísticos en los nódulos tiroideos.

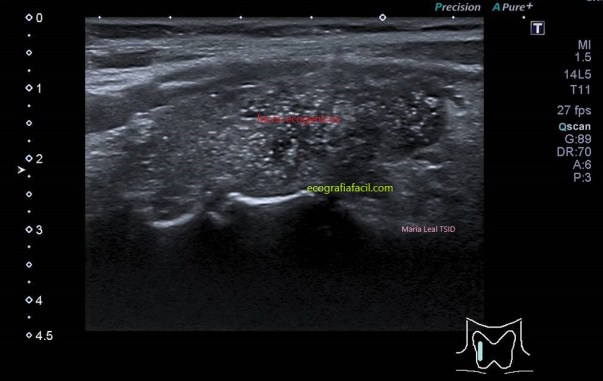
ESPONGIFORME:

Nódulo espongiforme.

SÓLIDO QUÍSTICO:

Nódulo sólido-quístico
Nódulo sólido-quístico

SÓLIDO:

Sólido

2. POR SU ECOGENICIDAD:

ANECOICO:

HIPERECOICO/ISOECOICO:

HIPOECOICO:

HIPOECOICO+:

3. POR SU FORMA:

MÁS ANCHO QUE ALTO:

MÁS ALTO QUE ANCHO:

4. POR SU MARGEN:

LISO:

MAL DEFINIDO:

LOBULADO:

IRREGULAR:

5. POR LOS FOCOS ECOGÉNICOS:

MACROCALCIFICACIONES:

CALCIFICACIÓN PERIFÉRICA:

FOCOS ECOGÉNICOS PUNTIFORMES:

A TENER EN CUENTA:

– En nódulos con componente quístico de más del 50% se considera quiste y menos del 10% de considera sólido.

Para definir la ecogenicidad de los nódulos isoecoicos se compara con el parénquima de la glándula tiroidea y para nódulos hipoecoico, hiperecoico o muy hiperecoico conviene compararla con la del músculo adyacente (músculo esternocleidomastoideo).

Los artefactos en “cola de cometa” son focos ecogénicos con forma en “V”. Se asocian con contenido coloide y son muy indicativos de benignidad cuando se encuentran dentro de componentes quísticos en los nódulos tiroideos.

Los focos ecogénicos puntiformes son más pequeños que las macrocalcificaciones y no tienen sombra. En los componentes sólidos de los nódulos pueden corresponder a calcificaciones en cánceres papilares y por tanto se consideran de alta sospecha de malignidad particularmente asociados en combinación con otras características sospechosas.

– No se ha podido demostrar que la ecografía Doppler color distinga de forma fiable entre nódulos benignos y malignos, pero la presencia de flujo en componentes sólidos distingue el tejido de los restos ecogénicos o la hemorragia.

ANALISIS DE NÓDULOS TIROIDEOS: ACR TI-RADS

TI-RADS 1

Benigno

COMPOSICIÓN: Quística                    0 puntos

ECOGENICIDAD: Anecoica                 0 puntos

FORMA: Más ancho que largo           0 puntos

MARGEN: Liso                                      0 puntos

FOCOS ECOGENICOS: Coloide          0 puntos

0 puntos


TI-RADS 2

Sin sospecha de malignidad

COMPOSICIÓN: SólidoQuística             1

ECOGENICIDAD: Isoecoica-Anecoica     1

FORMA: Más ancho que largo                0

MARGEN: Liso                                            0

FOCOS ECOGENICOS: Coloide                 0

2 puntos


TI-RADS 3

Leve sospecha de malignidad (menor 5%)

COMPOSICIÓN: Mayormente sólida      2

ECOGENICIDAD: Hiperecoica                 1

FORMA: Más ancho que largo                0

MARGEN: Liso                                         0

FOCOS ECOGENICOS: Coloide               0

3 puntos

COMPOSICIÓN: Sólida                             2

ECOGENICIDAD: Hiperecoica                  1

FORMA: Más ancho que largo                 0

MARGEN: Liso                                          0

NO FOCOS ECOGENICOS:                          0

3 puntos


TI-RADS 4

Moderadamente sospechosa de malignidad (entre el 5% y el 80%)

COMPOSICIÓN:Sólida                            2

ECOGENICIDAD: Hipoecoica                  2

FORMA: Más ancho que largo                0

MARGEN: Lobulado                                2

NO FOCOS ECOGÉNICOS:                        0

6 puntos


TI-RADS 5

Alta sospecha de malignidad (mayor del 80%)

COMPOSICIÓN: Sólida                           2

ECOGENICIDAD: Muy hipoecoica          3

FORMA: Más ancho que largo               0

MARGEN: Irregular                                 2

FOCOS ECOGÉNICOS: (puntiformes)       3

10 puntos

COMPOSICIÓN: Sólida                           2

ECOGENICIDAD: Muy hipoecoica          3

FORMA: Más largo que ancho               3

MARGEN: Irregular                                 2

FOCOS ECOGÉNICOS: (puntiformes)       3

13 puntos


Muchas peticiones recibidas de la clasificación Ti-RADS cuando he pedido vuestra ayuda en Instagram para ver qué contenidos os gustaría ver, aquí la tenéis dicha clasificación de la mano de María Leal, TSID, de la que estoy tremendamente honrado que haya elegido este Blog para presentar esta maravilla de trabajo con imágenes de altísima calidad sobre la clasificación descrita. Muchas gracias y enhorabuena, te mereces todo lo bueno que te pase, María.


Índice del Blog


Ganamos fuerza, coraje y confianza por cada experiencia en la que realmente nos paramos a mirar al miedo a la cara. Debemos hacer lo que creemos que no podemos.

Eleanor Roosevelt

7 comentarios sobre “208. Clasificación Ti-Rads. Nódulos tiroideos.

  1. Excelente clasificación con sus ejemplos muy buenas imágenes muy ilustrativas .agradecido por la docencia. Saludos

    Enviado desde mi Samsung Mobile de Claro Obtener Outlook para Android

    ________________________________

    Me gusta

Deja un comentario