177. Pared Abdominal. Hernia.

Tenía ya muchas ganas de presentarte este caso, lo tenía apartado, han ido surgiendo casos muy bonitos y han ido saliendo a la palestra, pero ahora que llevo unas semanas con baja actividad por motivos ajenos al trabajo es momento de que este caso salga a la luz.

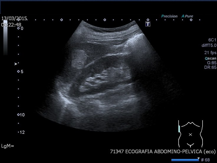
El paciente vino con una petición de su médico de cabecera porque se notaba un bulto a la izquierda de la línea alba en la zona epigástrica. El antecedente del paciente había sido un traumatismo inciso-contuso con arma blanca mucho tiempo atrás.

Cuando estudiamos la pared abdominal tenemos que tener siempre claras las referencias anatómicas. Rectos Anteriores, Músculos Oblícuos, Región Umbilical, Línea Alba, Sínfisis Púbica y Apéndice Xifoides.

Debemos recorrer cuidadosamente estas regiones anatómicas, explorarlas a conciencia, además debemos hacerlo en reposo y en Valsalva. Las fascias de separación de los músculos abdominales, sobre todo entre rectos anteriores y oblicuos son vitales para descartar Espigelios.

Una vez repasado el Post que te enlacé anteriormente solo queda ver las imágenes, vamos…

1
2
3
4

Como puedes ver, en la imagen 3 existe patología herniaria, marcada por flechas rojas, que en este caso coincide con la región donde el paciente había sido herido por arma blanca, debajo de la cicatriz y en mitad del Músculo Recto Anterior Izquierdo Abdominal, observamos un defecto de continuidad de la ecoarquitectura normal del músculo y que por ella se «escapa» la grasa abdominal.

Comparativamente ambos músculos rectos anteriores del abdomen son isoecogénicos, de calibre parecido y anatómica diferentes ya que el izquierdo tiene el mencionado defecto. Imagen 3 y 4 son reveladoras de la patología.

En la imagen 1 y 2 tienes imágenes de anatomía normal de la región medial del abdomen, donde podemos ver estratificados todas las regiones anatómicas de anterior a posterior y la relación en línea alba de ambos rectos anteriores. Te marco los rectos con líneas rosas. Fíjate en la línea hiperecogénica que une ambos músculos, verás…

La distancia entre ambos rectos debe ser medida siempre, en ocasiones podemos tener diastasis de estos músculos, cuando entre ellos existe una distancia superior a 4 cms…típico en mujeres que han tenido embarazos o pacientes obesos con mucho volumen abdominal y en los que esa fascia se ha agrandado.

La hernia tiene aspecto hipoecogénico y homogéneo, en forma de de dedo de guante, mucho cuidado, siempre tenemos que tener claro que no haya material gástrico en la hernia. Una cosa es una hernia con grasa y otra que la hernia lleve asas de intestino.

El aspecto ecogénico será diferente, será más heterogéneo, con presencia de gas procedente del intestino, el típico aspecto de capas de este órgano y con vascularización en el modo doppler

5

En la imagen 5 puedes ver el aspecto de una hernia con contenido gástrico, las flechas blancas marcan el saco herniario, la amarilla, las líneas hiperecogénicas que son artefactos por presencia de gas y la roja, sombra acústica posterior que produce la ausencia de trasmisión por el mencionado gas intestinal. La flecha rosa la capa típica del asa de intestino.

La localización es diferente, pero el aspecto de ambas hernias son claramente distintás desde el punto de vista de la semiología ecográfica. Compara imagen 3 y 5…mira:

En el siguiente clip puedes ver una hernia, tal y como se ve en directo. En este caso es una hernia supraumbilical. Observa cómo se hace la medida en el cuello de la hernia, cuestión que al principio se hace harto complicado, y observa cómo el contenido entra y sale del saco herniario. La ecografía es la técnica de elección ante la sospecha de esta patología.

clip

Por último te dejo una imagen realizada en vista panorámica. Este ajuste ecográfico permite la visualización de distancias superiores a los de la huella de la sonda realizando una sumación de imágenes mientras mueves la sonda haciendo el recorrido de la estructura que quieres visualizar y que el equipo te ofrece en una sola imagen, con peor resolución, pero ampliamente diagnóstica, fiable a la medida si la técnica ha sido realizada correctamente y en ocasiones, muy útil.

No todos los ecógrafos tienen «Panoramic View», es una aplicación de pago y  que según marcas pueden tener otros nombres.

En ella puedes ver en una sola imagen ambos rectos anteriores del abdomen, uno de ellos, el izquierdo, el patológico, seccionado por la herida incisa del arma blanca, con la hernia que hemos estudiado (flechas amarillas) y su cuello (puntos amarillos).

La fascia de separación de ambos músculos y el lugar donde teóricamente debería hacerse la medida para descartar diastasis (puntos naranjas)


…Y no sé si seré sensato,

lo que sé es que me cuesta un rato

hacer cosas sin querer…(Mecano)

160. La imagen ecográfica. Semiología y repaso.

En este breve post de este domingo te explico sobre una imagen habitual del protocolo de Abdomen, la anatomía habitual que podemos encontrar y además semiología habitual y muy variada que podemos encontrar. Te valdrá de repaso de conceptos básicos de la técnica ecográfica.

Quiero que compares ambas, una sin y otra con indicaciones y así primero podrás hacer un test de lo que ves y luego consultar los resultados en el comentario de imagen que hago a continuación.

La imagen es un corte sagital realizada con sonda convex de baja frecuencia, estamos usando 6 mHz con armónicos, ganancia general de 86 y un rango dinámico de 65, es decir un valor medio. El pictograma indica la posición en decúbito supino y corte sagital.El preset es de ecografía de Abdomen General.La profundidad de estudio es de 12 cms. El foco está situado en torno a los 6 cms.

Anatómicamente tenemos una imagen donde observamos la relación hepatorrenal, donde ambos órganos son isoecogénicos.Entre ambos existe una línea de separación fina e hiperecogénica, corresponde al Espacio de Morrison, lugar de depósito de líquido ascítico habitual.

En el Hígado llama la atención una estructura hiperecogénica y homogénea, ligéramente redondeada,en el plano anteroposterior mide en torno a 2,5 cms y corresponde con un hemangioma típico.

El Riñón es de un aspecto normal, la corteza en hipoecogénica, el seno renal, hiperecogénico, no está dilatado, mide algo más de 9 cms, su ecoarquitectura es correcta, no tiene ni masas ni imágenes que sugieran litiasis.

Riñón derecho e hígado comparten una región en la imagen, es la que corresponde al polo superior del riñón y a la porción más caudal y externa del hígado, es la zona de la Suprarrenal derecha, lugar que debemos encontrar libre a partir del año de vida, es decir, no debemos ver dicha suprarrenal ni tampoco ninguna LOE a ese nivel.

A nivel del polo inferior del Riñón, superficial, observamos una imagen hiperecogénica, curva, con una llamativa sombra acústica posterior que corresponde con gas intestinal correspondiente a la tercera porción del duodeno, el gas es el culpable de esta ausencia de información que se traduce en un artefacto típico del gas intestinal.

La flecha negra está marcando el Músculo Psoas, que «acuna» al riñón derecho.

In this brief post on this Sunday I explain about a habitual image of the Abdomen protocol, the usual anatomy that we can find and also habitual and very varied semiology that we can find.
I want you to compare both, one without and the other with indications and so first you can do a test of what you see and then consult the results in the image comment that I do next.
The image is a sagittal cut made with a low frequency convex probe, we are using 6 mHz with harmonics, a general gain of 86 and a dynamic range of 65, that is, an average value. The pictogram indicates the position in supine decubitus and sagittal section. The preset is a General Abdomen ultrasound. The study depth is 12 cm. The focus is around 6 cm.
Anatomically we have an image where we observe the hepatorenal relationship, where both organs are isoechogenic. Between both there is a thin and hyperechogenic separation line, corresponds to the Morrison Space, place of habitual ascitic fluid deposition.
In the Liver, a hyperechogenic and homogeneous structure, slightly rounded, is noticeable in the anteroposterior plane, measuring around 2.5 cms and corresponds to a typical hemangioma.
The Kidney is of a normal appearance, the cortex is hypoechoic, the renal sinus is hyperechogenic, it is not dilated, it measures a little more than 9 cm, its eco-architecture is correct, it does not have masses or images suggestive of lithiasis.
Right kidney and liver share a region in the image, it is the one that corresponds to the upper pole of the kidney and to the most caudal and external portion of the liver, it is the right adrenal zone, a place that we should find free from the year of life, that is to say, we should not see adrenal gossip nor any LOE at that level.
At the level of the lower pole of the kidney, superficial, we observed a hyperechoic, curved image, with a striking posterior acoustic shadow that corresponds to intestinal gas corresponding to the third portion of the duodenum, the gas is the culprit of this lack of information that translates into a typical artifact of intestinal gas.
The black arrow is marking the Psoas Muscle, which «cradles» the right kidney.

El océano(mar) me agita el corazón, me inspira la imaginación y me trae alegría eterna al alma.

 

29. La Semiología Ecográfica. La Ecogenicidad.

Se acabó la parte más teórica de la ecografía, ahora toca disfrutar con las imágenes.

En este post vas a aprender como se ven las estructuras y su comportamiento ecográfico según de la naturaleza que estén hechos. En radiología tenemos una serie de densidades que tenemos que estudiar cuando hacemos un estudio radiológico, en ecografía, el comportamiento de esas densidades es vital para poder identificar estructuras y patologías.

El comportamiento de esas estructuras cuando interaccionan con el haz ultrasónico va a dar una serie de imágenes, entre el blanco y el negro y todos los grises que hay entre medias, según sean negro, gris oscuro, gris, gris claro o casi blanco vamos a poder identificar esas estructuras como son, el agua, la grasa, el hueso, el aire…bueno, el aire no, ya sabes que en ecografía el aire provoca ausencia de información…Lo bueno de la ecografía a diferencia de la radiología convencional es que es capaz de identificar diferentes densidades de agua, por ejemplo, sangre, pus, etc.

Vamos a utilizar una serie de palabras para identificar esa representación de grises, es el argot de la ecografía y eso tiene un nombre, se conoce como la ECOGENICIDAD de la estructuras…eso es lo que voy a intentar explicar en este Post…adelante…

Anecoico o anecogénico: No devuelve ecos de retorno, cuando el haz llega a una estructura anecoica, esta va a dejar pasar todo el tren de ultrasonidos y es típico comportamiento del líquido, y donde tenemos líquido en el cuerpo, Vejiga (Orina), Vesícula (Bilis), Vasos (Sangre), LCR (Líquido cefalo-raquídeo)…También estructuras patológicas como los Quistes simples,que tienen un contenido acuoso…bien todas estas estructuras se van a ver en la imagen en colo negro. Por tanto, Anecoico=Negro.

Hipoecogénico o Hipoecoico: Estas estructuras devuelven muy pocos ecos, su aspectos no es negro, pero tienden a un gris muy oscuro y son multitud de estructuras las que se ven así, tanto normales, como patológicas.

Isoecogénico o Isoecoico: Estas estructuras tienen un comportamiento que identificamos igual a la estructura con la que la comparamos, es decir, dentro de la escala de grises de mi equipo, ambas estructuras, aunque distintas anatómicamente, tienen que verse igual, es decir, del mismo gris, por ejemplo, el parénquima hepático y la corteza renal son isoecogénicas, es decir, iguales, el mismo gris.

Hipercogénico o hiperecoico: Estas estructuras devuelven muchos ecos en su interfase, su aspectos no es blanco, pero tienden a un gris muy claro, casi blanco, es decir, brillan mucho y son multitud de estructuras las que se ven así, tanto normales, como patológicas.

The most theoretical part of ultrasound is over, now it’s time to enjoy the images. In this post you will learn how the structures and their ecographic behavior are seen according to the nature they are made of. In radiology we have a series of densities that we have to study when we do a radiological study, in ultrasound, the behavior of these densities is vital to be able to identify structures and pathologies. The behavior of these structures when interacting with the ultrasonic beam will give a series of images, between white and black and all grays that are in between, depending on whether they are black, dark gray, gray, light gray or almost white. to be able to identify those structures as they are, water, fat, bone, air … well, the air does not, you know that in ultrasound the air causes lack of information … The good thing about ultrasound, unlike the Conventional radiology is that it is able to identify different densities of water, for example, blood, pus, etc. We are going to use a series of words to identify that representation of grays, it is the slang of the ultrasound and that has a name, it is known as the ECOGENICITY of the structures … that is what I will try to explain in this Post .. .ahead… Anechoic or anechogenic: It does not return echoes, when the beam reaches an anechoic structure, it will let the whole train of ultrasound pass and it is typical behavior of the liquid, and where we have fluid in the body, Bladder (Urine), Vesicle (Bile), vessels (blood), cerebrospinal fluid (cerebrospinal fluid) … Also pathological structures such as simple cysts, which have an aqueous content … well all these structures will be seen in the image in black. Therefore, Anecoico = Black. Hypoechogenic or Hypoechoic: These structures return very few echoes, their aspects are not black, but they tend to a very dark gray and there are many structures that look like this, both normal and pathological. Isoechogenic or Isoechoic: These structures have a behavior that we identify equal to the structure with which we compare it, that is, within the gray scale of my team, both structures, although different anatomically, have to look the same, that is, the same gray, for example, the hepatic parenchyma and the renal cortex are isoechogenic, that is, equal, the same gray. Hypercogenic or hyperechoic: These structures return many echoes in their interface, their aspects are not white, but tend to a very light gray, almost white, that is, they shine a lot and there are a multitude of structures that look this way, both normal and pathological.
La Ecogenicidad y sus variables.

Cuando decimos que una estructura es Hipo, Iso, Hiper – Ecoico, Ecogénico o Refringente – lo hacemos porque la comparamos, habitualmente, con la estructura que tenemos al lado…No sé si te ha quedado muy claro esto, pero te lo explico de otro modo, con imágenes…verás como lo entiendes.

Anecoico: Negro, que no devuelve ecos. En la imagen que ves a continuación ves el corte coronal de un neonato en el contexto de una ecografía transfontanelar, se ven las circonvoluciones del cerebro y en el centro en forma de «Y» y completamente negro el líquido cefalorraquídeo en los ventrículos laterales.El LCR normal se ve así, negro, anecoico.

When we say that a structure is Hipo, Iso, Hiper – Ecoico, Ecogenic or Refringente – we do it because we compare it, usually, with the structure that we have next … I do not know if this has been very clear to you, but I explain it to you otherwise, with images … you’ll see how you understand it. Anechoic: Black, which does not echo. In the image that you see below you see the coronal cut of a neonate in the context of a transfontanel ultrasound, you can see the circonvolutions of the brain and in the center in the form of «Y» and completely black the cerebrospinal fluid in the lateral ventricles. Normal CSF looks like this, black, anechoic.
Imagen del LCR con aspecto Aneocico (Negro)
Imagen de la vejiga.Anecoica.

En la imagen inmediatamente superior objetivamos un corte longitudinal de la vejiga, completamente llena de orina, líquido, por tanto anecoico.

Hipoecogénico: Es toda aquella imagen que sea más oscura que el tejido que tenga alrededor o con el tejido que lo queramos comparar…esta imagen siguiente te lo va a aclarar.

In the image immediately above we objectify a longitudinal section of the bladder, completely filled with urine, liquid, therefore anechoic. Hypoecogenic: It is all that image that is darker than the tissue that has around or with the tissue that we want to compare … this next image will clarify it.
Estructura hipoecogénica dentro de un teste.

En la imagen, bastante antigua, por cierto, vemos una imagen de una estructura ovalada que en su interior alberga otra estructura más pequeña y oscura.Bien, en este caso, es el estudio de un testículo que en su interior tiene una masa de aspecto hipoecogénico, es hipoecogénico porque sin ser negro, es más oscuro que el testículo que lo contiene.

In the image, quite old, by the way, we see an image of an oval structure that inside houses another smaller and darker structure. Well, in this case, it is the study of a testicle that inside has a mass of appearance hypoechogenic, it is hypoechoic because without being black, it is darker than the testicle that contains it.
Isoecogenicidad de corteza renal y parénquima hepático.

En la imagen anterior vemos parénquima hepático y corteza renal cuyo gris es muy parecido, esa es la normalidad, se dice que ambas estructuras se ven isoecogénicas, si alguna de ellas no respetase ese aspecto, nos alertaría de una patología sobre ese órgano, por eso es vital un perfecto ajuste de los parámetros técnicos y una imagen técnicamente bien ejecutada.

Isoecogénico, por tanto será que tiene el mismo gris que el tejido que lo envuelve o con el que lo comparemos…por ejemplo…En la imagen que ves a continuación hay dos estructuras ovoides, del mismo gris, son los testículos en su aspecto ecogénico normal, por tanto iguales. Mismo tono de gris se dice que son de igual ecogenicidad, por tanto aplicamos el sufijo iso para interpretar igualda, por tanto ambos testes entre si son Isoecogénicos.

In the previous image we see liver parenchyma and renal cortex whose gray is very similar, that is normality, it is said that both structures are isoechogenic, if any of them did not respect that aspect, it would alert us of a pathology on that organ, for that reason a perfect adjustment of the technical parameters and a technically well executed image is vital. Isoechogenic, therefore it will be that it has the same gray as the tissue that surrounds it or with which we compare it … for example … In the image that you see below there are two ovoid structures, of the same gray, are the testicles in its normal ecogenic appearance, therefore equal. Same shade of gray is said to be of equal echogenicity, therefore we apply the iso suffix to interpret equal, therefore both tests are Isoechogenic
Comparativa de ambos testículos.

Hipercogénico, hiperecoico o hiperrefringente, son las diferentes denominaciones que unidas al sufijo hiper indican que brilla más que el tejido con el que lo compraremos…por ejemplo…

Estas imágenes devuelven muchos ecos de retorno, sus interfases https://ecografiafacil.com/2017/12/19/7-las-interfases/ son más potentes y por eso brillan más.

En esta imagen que ves a continuación,vemos un riñón, concrétamente el derecho, junto al hígado. Este riñón tiene aspecto ovalado y dos áreas muy definidas, la corteza (flecha naranja) y el seno renal (flecha azul).La corteza es hipoecogénica con respecto a la grasa del seno renal que se objetiva más brillante y por tanto hipercogénica.

Hypercogenic, hyperechoic or hyperrefrigent, are the different names that together with the hyper suffix indicate that it shines more than the tissue with which we will buy it … for example … These images return many echoes of return, their interfaces https://ecografiafacil.com/2017/12/19/7-las-interfases/ are more powerful and therefore shine more. In this image that you see below, we see a kidney, specifically the right, next to the liver. This kidney has an oval aspect and two very defined areas, the cortex (orange arrow) and the renal sinus (blue arrow). The cortex is hypoechoic with respect to the fat of the renal sinus that is seen as brighter and therefore hypercogenic.
Corteza y seno renal y su aspecto ecogénico diferente.

En la imagen anterior vemos una estructura anecoica (negra), que es la vesícula llena de bilis, en su interior una estructura Hiperecogénica, muy brillante, que corresponde a una colelitiasis.

Ya sabes que los tejidos se ven en escala de grises y según sea su brillo los vamos a catalogar. Normales o patológicos los hallazgos deben de interpretarse en base al conocimiento de la normalidad.

A continuación te voy a poner dos imágenes para que puedas evaluar el aspecto ecográfico, en el próximo post te daré la solución.

In the previous image we see an anechoic (black) structure, which is the gall bladder, inside it is a very bright Hyperecogenic structure, corresponding to cholelithiasis. You already know that the fabrics are seen in gray scale and according to their brightness we are going to catalog them. Normal or pathological findings should be interpreted based on knowledge of normality. Next I’m going to put two images so you can evaluate the echographic aspect, in the next post I will give you the solution.
Imagen A. 

En la imagen A tienes que decir qué aspecto ecográfico tiene la estructura que marca la flecha azul:

  1. Hiperecogénico
  2. Isoecogénico
  3. Anecoico
  4. Hipoecogénico.

En la imagen A tienes que decir qué aspecto ecográfico tiene la estructura que marca la flecha amarilla:

  1. Hiperecogénico
  2. Isoecogénico
  3. Anecoico
  4. Hipoecogénico.
Imagen B.

En la imagen B ves dos estructuras redondas dentro de un rectángulo y marcadas con flecha amarilla. Quiero que me digas que aspecto ecográfico tienen respecto del parénquima del bazo marcado con flecha roja.

  1. Hiperecogénico
  2. Isoecogénico
  3. Anecoico
  4. Hipoecogénico.