210. Sartorio, rotura fibrilar

En ecografía MSK es habitual ver roturas musculares, pacientes deportistas, por ejemplo. Cuando éstas roturas se dan en la cara anterior del muslo el músculo afectado suele ser el cuádriceps que como sabes muy bien lo componen los tres vastos y el recto anterior, pero conocer la anatomía es muy importante y en el micropost que te presento hoy la anatomía fue fundamental.

La paciente acude a la consulta por un dolor importante en la cara antero-interna del muslo que señala como entre el tercio proximal y medial de esta región, describe el dolor como localizado, pero irradiado a la rodilla. Reviso el Cuádriceps siguiendo el protocolo habitual, el Recto anterior está conservado en sus tres porciones, el rafe, igualmente íntegro, sabemos que éste es vital en esta exploración.

El músculo crural o vasto intermedio que discurre profundo al recto anterior, igualmente conservando los cánones de normalidad.

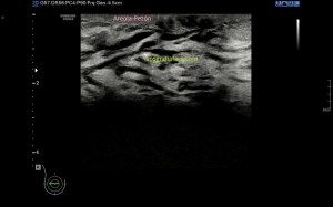
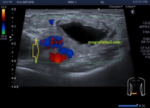
Al explorar la parte interna del muslo, en la zona donde nos señala la paciente encontramos esto…

Rotura

Una imagen de semiología heterogénea que me pareció una rotura fibrilar importante afectando al interior de un músculo de localización interna del que en un primer momento sospeché que podía ser el vasto interno, pero la anatomía no cuadraba, demasiado interno, demasiado cerca de los vasos…

Después de estudiar la rotura en dos planos (imagen 1 y 2) y medirla (imagen 3 y 4), documentarla bien referenciándola con la anatomía locorregional, incluidos los vasos (imagen 5), decidí seguir el recorrido del músculo partiendo desde la rotura siguiendo las instrucciones que me había comentado la paciente y me dí cuenta que el músculo afectado cruzaba el muslo desde el tercio proximal del muslo, en la cara anterior de la cadera (en su porción más superficial) hasta la cara interna de la pierna…en concreto desde la espina iliaca antero superior y terminando en la inserción de la Pata de Ganso.

Como muy bien indicó la propia paciente, el músculo afectado era el sartorio…y es que no hay mejor conocedor del cuerpo que uno mismo…El Sartorio es el músculo el músculo más largo del organismo, pero yo nunca vi una rotura en esta localización, la anatomía confirmó las sospechas, previa consulta de un atlas de anatomía y la correlación con la exploración ecográfica.

Antes de pasar a las imágenes, siempre a tener en cuenta para el TSID:

  1. Intentar documentar la exploración con máxima calidad de imagen.
  2. Siempre usar el pictograma.
  3. En eco MSK siempre, siempre, escribir la zona que estamos estudiando en la pantalla además del picto.

Comentamos las imágenes:

1

En la imagen 1 observamos la rotura en eje corto, mas flechas rojas señalan el músculo dañado, las amarillas la rotura en si. Observamos la anatomía que la rodea y que es referencia siempre.

2

Eje largo, con la anatomía de referencia. Observamos las fibras alargadas, rodeadas por el líquido y el abombamiento producido por el sangrado.

3

Medidas en eje corto.

4

Medidas en eje largo

5

Vascularización de la lesión y referencia de los vasos femorales.

6

Imagen usando «PANORAMIC VIEW», donde observamos en un contexto amplio la lesión y la musculatura normal marcada por las líneas alargadas amarillas tanto proximales como distales.

7

La anatomía donde situamos al Sartorio (S) en referencia al músculo vasto interno o medial (VM).

 


150. Índice.


Buenas noches.

209. El Seroma

En este breve post tras el Ti-Rads, vemos un caso que nos ayuda a ver semiología no normal respecto en el contexto de las cicatrices post cirugía.

Vemos en algunas ocasiones pacientes que han sido intervenidos y en las revisiones ecográficas que se realizan encontramos en el lecho quirúrgico una cantidad de líquido variable según cada paciente. Se denominan seromas.
Los seromas más habituales suelen verse en lechos quirúrgicos tiroideos, también muy habituales en la mama, pero pueden producirse en otros contextos.

Los seromas tienen un aspecto hipoecogénico o anecoico, dependiendo de las sustancias de los que estén hechos, normalmente son suero corporal, en ese caso serían anecoicos, pero si tienen contenido sanguinolento o infeccioso pueden cambiar, se vuelven ecogénicos. Si se infectan estas colecciones pueden necesitar ser drenadas, también si el seroma fuese muy grande, esto es un criterio médico que aquí no tiene mucho valor, la verdad.

No nos interesa el mecanismo de producción, tampoco es relevante el mecanismo de absorción, pero si debemos saber que estos seromas suelen ser resuelto por el cuerpo, reabsorbiéndolos, por tanto, disminuyendo su volumen entre una revisión y otra.

En el caso que te presento hoy, lo que vemos es la evolución de un seroma, aparecido tras una cirugía en el CIE de la mama derecha al extirpar una lesión papilar catalogada como Birads 4B y que se propuso para extirpación.


En la primera revisión tras cirugía nos encontramos una lesión cicatricial con una moderada cantidad de líquido de aspecto hipoecogénico, es irregular, la paciente tenía molestia en la zona, pero no presentaba fiebre.

En la segunda revisión encontramos un lecho quirúrgico mucho más pequeño, con una lengüeta de líquido, en la mitad de la cicatriz interna. Lo llamativo de este caso es que el líquido no está embolsado, sino que está buscando una salida, simulando a un trayecto fistuloso y en realidad tenía un comportamiento similar porque la paciente podía autodrenarse el contenido, drenaje que en ocasiones era autónomo.

En la segunda exploración observamos que el líquido ha disminuido mucho de tamaño y que su aspecto ecográfico es anecoico. En cualquier caso existía una clara mejoría radiológica entre ambos estudios por lo que se derivó a la paciente para valorar en la consulta de unidad de mama para eventualmente iniciar tratamiento para cerrar si definitivamente ese seroma y evitar complicaciones posteriores.

Si el seroma se infectase tendríamos un absceso o colección, normalmente purulenta, que en ocasiones puede requerir la colocación de un drenaje como ves en las dos imágenes siguientes.

El absceso suele ser hipoecogénico.

En la imagen siguiente puedes observar los tubos de drenaje en forma ecográfica de «cuerpo extraño», tubular, hiperecogénico, dentro del absceso.

 

 

En ocasiones, como en la imagen superior, el seroma, convertido en absceso por la presencia de material quirúrgico que quedó en la herida quirúrgica. La colección se torna en hipoecogénica, flanqueado por flechas amarillas, el cuerpo extraño, que un trozo de drenaje que quedó atrapado al extraerlo está marcado por una flecha azul y medido, siendo su ecoarquitectura, hiperecogénica, curva y tubular.

Cuando hay que extraer algún tipo de colección o seroma se puede realizar PAAF evacuadora, esa evacuación se analizará con el fin de detectar la eventual bacteria que provoque la infección, como en el caso del vídeo que está viendo, donde una cirugía mamaria ocasionó un seroma y posterior absceso infeccioso muy doloroso que hubo que extraer provocando alivio inmediato en la paciente por el efecto de presión producido.


150. Índice del Vlog. Sí, con V.


Intento aprender a darle tiempo al tiempo y entender que las cosas pasan si tienen que pasar, «me esfuerzo por desaprender»…

 

 

207. Panoramic View.

Sabes esto que estás en la playa y quieres hacer una foto, pones el teléfono y te das cuenta que te sale un trocito de nada de playa, pones el teléfono apaisado y entra un poco más, pero no te entra la puesta de Sol, la orilla y las olas…¿cómo lo solucionas?…lo solucionas con una imagen panorámica que es una función de tu cámara donde tú haces una foto y empiezas a mover el teléfono suavemente sin perder la línea del horizonte y cuando has capturado toda la escena paras, el resultado es este:

1

Con la eco pasa igual…cuando queremos estudiar, por ejemplo, el recto anterior del muslo en axial,perfecto…pero en longitudinal, como la imagen 2, se complica porque desde la rótula a la inserción en la cadera, tenemos mucho recorrido. En este caso hacemos lo mismo que cuando hacemos la foto del atardecer…nos ponemos en un extremo, activamos la funciona, recorremos suave y continuamente por la anatomía que queremos fotografiar y ya está…mira la pantalla y no el movimiento de tu mano,como si hicieses la foto, ves la pantalla,pero no como mueves el teléfono.

2

Es muy útil para lesiones que han crecido mucho y no podemos conjugar en una sola imagen, por ejemplo, un lipoma, cuando superan la medida de la huella de la sonda no son medibles, hay que usar «panoramic view», y como este caso, otros muchos.

 

3

En la imagen 3 ves una imagen de un lipoma, mide 7 cms, la huella de la sonda mide 5cms, la «panoramic view» posee una regla centimetrada que sigue el contorno de la imagen, justo en la profundidad de la misma y lo marca la flecha amarilla. La profundidad la marca la flecha roja y la flecha blanca marca el rango centimetral de los 5cms, fíjate que la línea blanca es ligeramente mayor cada 5 cms. Sirve de referencia, como en la imagen 4 donde ves una colección en el glúteo de más de 10 cms.

4

Un poco de práctica será suficiente para que te salga bien,exactamente igual que con tu teléfono móvil.

Técnicamente es lo mismo, ambos dispositivos hacen una suma de imágenes que se plasman en un resultado final estupendo. Toda la escena más pequeña, pero más alargada que te da percepción de toda la magnitud de aquello que pretendes estudiar, te quita algo de detalle, pero te sirve para medir perfectamente y además puedes incrementar y mover la imagen con tu track ball…

Cada casa comercial o marca implementa en la consola o menú digital del ecógrafo este ajuste y la nomenclatura de dicho ajuste.

Podemos medir valores superiores a los 15cms con alta calidad de imagen…podemos llegar a medir valores por encima de los 25 cms…es verdad que no todos los equipos tienen este ajuste ecográfico, es decir, es una aplicación y por tanto hay que pagarla.

Para finalizar y como resumen…

En ocasiones el lugar más bonito del mundo no cabe es una sola foto estándar y debemos tirar de panorámicas…y de recuerdos.

Mi casa.

Dije que sería irregular en las publicaciones, no que no habría.

No me quiero desintoxicar, ni sé, ni puedo…ni quiero…Feliz verano.

Por cierto, entra en el el perfil de instagram del blog y si te apetece lo que ves, sigue las instrucciones. El domingo acaba el plazo…

150. Índice.

206. Calcificaciones distróficas + Síndrome de Haglund.

En ocasiones, en las exploraciones musculares que realizamos podemos encontrarnos con calcificaciones que no tenemos que tener en esa anatomía. En muscular vemos muchas en la exploración ecográfica del hombro, muy habitualmente en el supraespinoso.

Hoy vamos a detenernos en unas calcificaciones menos habituales dentro de una exploración que se realiza muy asíduamente en eco muscular, como es la exploración del Tendón de Aquiles. Después finalizamos con el Síndrome de Haglund

El Aquiles es el tendón de los gemelos y el sóleo que inserta en la cara posterior de la pierna, en el calcáneo. Sus fibras son alargadas, es un tendón muy potente, muy superficial, ecogénico, superficial a la grasa de Kager.

Hoy tenemos mezcolanza de casos, empezamos un paciente de avanzada edad que acude a su médico por un dolor invalidante que comienza a los pocos minutos de comenzar la deambulación y que le impide caminar, pero lo dicho, vamos a mezclar casos e imágenes de diferentes pacientes para que te hagas una idea general, terminando con el Síndrome de Haglund que le da título al Post.

Posicionamos al paciente en decúbito prono, los pies colgando al final de la camilla, y haciendo una hiperflexión dorsal del pie tobillo con el fin de tensar el Aquiles, gel y sonda de alta frecuencia y empezamos.

Nuestro objetivo es ver esto:

Normalidad, en la imagen 1 y 2 ves un aquiles normal.

El paciente en cuestión tenía una exploración que al poco de empezar me llamó la atención porque en la zona de máximo dolor referido por el paciente, encontré unas imágenes hiperecogénicas, redondeadas, pero irregulares, de multitud de tamaños distribuidas aleatoriamente a lo largo del tendón y que dejaban sombra acústica posterior, siendo más evidentes a unos cinco centímetros de la inserción calcánea.

El paciente nos comenta que había sido futbolista, que había padecido lesiones en la región que estábamos estudiando. Me sirvió de mucha ayuda su comentario, porque estaba viendo que ademas de los hallazgos comentados el aquiles estaba muy engrosado , típico de tendinopatía, pero es esa misma localización, las fibras más superficiales del tendón estaban retraídas y mostraban un pequeño muñón que estaba en relación con una lesión antigua puesto que no tenía dolor agudo ni líquido.

El paciente tenía una rotura de fibras con arrancamiento de fibras superficiales del tendón de aquiles. Tendinopatía del tendón. Calcificaciones distróficas, que son aquellas que aparecen en el tejido dañado o necrosado, tienen el aspecto que he descrito con anterioridad y son muy típicas en la ecografía de mama, donde podemos verlas en zonas necróticas del tejido mamario, donde se observan muy habitualmente con mamografía y si son de un tamaño considerable, se observan también con ecografía

La aparición de estas calcificaciones me llevó a pensar que la presencia de calcio pudiese corresponder a avulsiones de materíal óseo correspondiente al calcáneo, es decir, roturas del Aquiles con arrancamiento de la inserción del hueso. En muchas ocasiones el tendón de aquiles calcifica en su inserción, normalmente son calcificaciones lineales que están en relación con tendinopatías de inserción, entensopatías, pero en ocasiones estas calcificaciones son muy evidentes, y existe cambios que tanto ecográficamente como físicamente afectan a esta la región y pueden aparecer bultomas y enrojecimiento de la zona, en relación con el síndrome de Haglund.

En el texto anterior hemos visto enmarañadamente muchos conceptos asociados a patologías que pueden darse en esta pequeña región del Aquiles. He nombrado el Síndrome de Haglund. Este es un síndrome que incluye tres aspectos, a nivel del aspecto posterior del calcáneo con una afectación de la bursa retroaquílea debido a la presencia de una exóstosis.

En muchas ocasiones vamos a encontrar calcificaciones de inserción o entensopatías, pero ver ecográficamente la afectación de la bursa es mucho menor. En muchas ocasiones, la radióloga necesita ampliaciones de estudio con radiología simple y con RMN para poder efectuar convenientemente este diagnóstico y nosotros, tenemos que ser muy minuciosos en la exploración ecográfica de esta región, conocer perfectamente ecoarquitectura normal de la región para poder identificar tanto los calcios insercionales como la bursitis retroaquílea, amén de la tendinopatía, ni que decir tiene a complicaciones tendinosas derivadas de estado avanzados de la patología como pudieran ser la roturas insercionales, parciales o totales.

Vamos a ir ahora paso a paso, después de todo este texto que te has leído, queda lo mejor para el final, como son las imágenes.

1

2

Las imágenes 1 y 2 son la normalidad, es lo que casi nunca solemos ver en este tipo de estudios, pero en ocasiones sí, y como además cuando realizamos este protocolo, siempre es recomendable explorar lado contralateral, podemos muchas veces comparar la región patológica con la normal. El aquiles lo estudiamos siempre en toda su longitud, desde la inserción hasta su origen, en eje corto y en eje largo. Fijándonos bien en toda la ecoestructura posterior de la pierna y estudiando la profundidad de la grasa de Kager.

Las fibras del tendón son alargadas, lineales, tensas con las flexión dorsal.

Ojo con la anisotropía, la hipoecogenicidad producida el ligero cambio de angulación del tendón cuando inserta en el calcáneo posterior…La clave, hiperflexión dorsal, mucho gel y amoldar la posición de la sonda para estudiar estas fibras insercionales.

3

Lo más habitual es encontrar una tendinopatía del tendón, donde vamos a ver un tendón engrosado, hipoecogénico, normalmente a 5 cms de la inserción. Como puedes ver en la imagen 3. Vamos a ver varios grados en función de la afectación del tendón, puede ser global o afectar a fibras profundas o superficiales…siempre recurrir al estudio contralateral.

4

En la imagen 4 aparecen los calcios lineales, típicos de las entensopatías de inserción y que también fluctuarán según el grado de afectación locorregional.

5

6

Imágenes de calcificaciones groseras, distróficas, con su sombra acústica posterior, superficiales y profundas, con diferentes tipos de tamaños. En la imagen 7 las ves en eje corto.

7

8

Ambas apariencias de las calcificaciones suelen verse acompañadas de tendinopatías, como muy puedes ver en la imagen 8 donde se demuestra un aumento del vientre del tendón marcado por la línea rosa, y como hemos dicho anteriormente, comos a unos 5 cms de la inserción.

9

Desde la inserción hasta el origen el aquiles es muy largo, usar imagen panorámica nos ayudará a tener una idea global de todo el tendón, la orografía es complicada, no es facil el apoyo, el tendón es muy fino, y el recorrido de todo el tendón requiere técnica, tiempo…básicamente, no desesperes. En la imagen 9 tienes una panorámica con la gran cantidad de calcios distróficos que afectan a este tendón.

10

Podemos encontrar calcificaciones muy groseras, insercionales y no insercionales, con tendinopatía asociada, como ves en la imagen 10.

11

Si observamos la bursitis retroaquílea de la imagen 11(flechas amarillas), además la exóstosis de la imagen 13 y deformidad en la piel, observable sin ecografía podemos estar ante un síndrome de Haglund de esos de libro…y tendremos una imagen ecográfica como la de la imagen 14.

Como has visto en la imagen 1, la bursa retroaquílea no debe verse, ese receso debe tener como mucho una mínima cantidad de líquido, que como digo es normal, pero no lo que observamos en la imagen 11 donde vemos una imagen heterogénea ocupando esa región.

Corrobora si el paciente tiene estudios radiológicos simples que estén en concordancia con la imagen 10, por ejemplo, la imagen 12.

12

La flecha amarilla indica la que en la parte posterior del calcáneo existe un calcio tosco en esta rx lateral del pie en carga, pero es en la inserción, cuidado con esto, cuando se produce el Haglund, no es en la inserción, es antes, y se debe a la exostosis mencionada con anterioridad, mira, compara imagen 12 e imagen 13. La flecha roja es indicativa de Síndrome de Haglund.

13

14

En la imagen 14, como no podía ser de otra manera, observamos todo y es por definición la típica imagen de S.Haglund.


Se me desmadrado este macro post, empecé por una cosa y he terminado en otra…mucho más interesante, la verdad y al final todo ha sido un totum revolutum.


Buena madrugada…

204. Quiste de Nuck.

La exploración de la región inguinal va dirigida normalmente a la confirmación ante sospecha de hernia en esa localización. Aquí ya hemos visto muchas hernia inguinales, hay varios post dedicados a esta patología, sabemos que la hernia puede tener contenido graso y en casos más importantes esa hernia puede contener asas de intestino.

En muy pocas ocasiones, vamos a encontrar el caso que os traigo hoy, pero hay que saber para reconocer esta patología y por eso os la comento en este breve post de primeros de Julio.

Acude a la sección de ecografía del Servicio de Radiología del Hospital una mujer de 60 años que presenta un bulto en la región inguinal derecha no doloroso, tras la exploración de su médico de cabecera es enviada para realización de ecografía de partes blandas de la región inguinal derecha con sospecha de hernia inguinal.

Tumbamos a la paciente en decúbito supino y exploramos de región inguinal derecha con técnica habitual, sonda lineal de alta frecuencia y ajuste apropiado de los parámetros técnicos.

Al ser mujer la ecoestructura de referencia para el estudio de la región inguinal varía respecto del hombre. En el hombre siempre es bueno localizar el canal inguinal, partiendo desde el testículo, localizamos el paquete vasculonervioso que desfila por el trayecto del canal y lo seguimos hacia craneal, con el ejercicio de Valsalva veremos si por ese canal se mete grasa o intestino. Bien, en la mujer es algo diferente, este canal no es evidente ecográficamente, nos valdremos en esta ocasión de los grandes vasos femorales y estudiaremos la región que parte desde esta localización y que desciende por la ingle hacia los labios mayores de la vulva.

En el caso que te traigo hoy no hizo falta buscar mucho, nada más poner la zona en corte transverso en la región inguinal derecha, cerca de los labios mayores, la paciente tenía una masa blanda, ligeramente dolorosa durante la exploración que había aumentado ligeramente tiempo atrás y que ecográficamente tenía un aspecto anecoico,imagen 1, de paredes finas, más grande en su eje lateral que en el eje antero posterior y que se deformaba con la ligera presión del transductor y que no modificaba su ecoestructura con la maniobra de Valsalva.

En cuanto localicé este hallazgo realicé corte transverso (imagen 2) y longitudinal (imagen 1), con medidas y estudio en modo doppler para ver vascularización (imagen 3, flecha amarilla), seguidamente, era muy importante asegurar algunas referencias locoregionales como los grandes vasos femorales, siempre debemos documentar esta coexistencia y buscar un cuello que puedes observar con las dos flechas rojas de la imagen 1 y que la ecoestructura marca perfectamente al ser anecoica.

Aunque no muchas, ya había visto alguna vez esta entidad y sabía que era un Quiste de Nuck, pero necesitaba buscar los hallazgos anatómico ecográficos previamente comentados, como la localización junto a los grandes vasos y el cuello, para poder presentarlo a la radióloga para que realizase el informe, que corroboró lo que pensaba, lo cual no tiene relevancia alguna. Esta patología puede ser conocida también como Hidrocele de Nuck.

1

2

3

Tiene que ver con la existencia del proceso vaginal existente durante nuestra vida fetal y que debe cerrarse después del nacimiento tanto en niños como en niñas, si este proceso no se oblitera puede dar patología típica, como criptorquidia, diferentes entidades herniarias, quistes de cordón…Este proceso vaginal debe cerrarse, como ya he comentado cortando la comunicación entre el escroto o labios mayores y la cavidad peritoneal, es decir, debe cerrar el canal inguinal en niños y el conducto de Nuck en la niñas, los testes usan este canal para descender a la bolsa escrotal, en la niñas se localiza el ligamento redondo.


Índice del Blog con todo el contenido. Solo entra y haz click en el post que desees.


«Un pájaro posado en un árbol nunca tiene miedo de que la rama se rompa, porque su confianza no está en la rama sino en sus propias alas. Cree siempre en ti»

 

203. El Infierno tiroideo.

Una de la exploraciones que más realizamos en ecografía son aquellas que van dirigidas al tiroides, con el objetivo habitualmente de estudiar posibles nódulos. La enfermedad nodular tiroidea es muy habitual, pero también nos encontramos asíduamente tiroides cuya afectación es difusa, es decir, no existen nódulos, pero la glandula está afectada de modo global.

Uno de los motivos recurrentes que encontramos en las peticiones exploratorias del tiroides es a causa del hipotiroidismo, en menos ocasiones por hipertiroidismo, pero hoy vamos a estudiar un caso de una mujer que acude la cita programada para hacerse una ecografía de cuello por hipertiroidismo en estudio por parte de la especialista de endocrinología.

La paciente comenta que está siendo sometida a estudio con diferentes tipos de pruebas, analíticas y como no, pruebas de imagen. Comenta que está en tratamiento porque había sufrido taquicardias relacionadas con el hipertiroidismo.

En el protocolo de Tiroides debemos estudiar ambos lóbulos, istmo y ganglios locorregionales como objetivo primordial. No menos importante, otras ecoestructuras como vasos, glándulas salivares, musculatura anterior, tráquea, esófago, cartílagos, es decir, no nos quedamos en una mera exploración de la glándula tiroidea, sería un error, perderíamos patologías importantes extratiroideas como te demostraré en un próximo post sobre el tiroides en el que estoy trabajando.

En la exploración objetivamos una glándula tiroidea aumentada de tamaño, sin imágenes nodulares, pero si heterógenea toda ella con afectación global en ambos lóbulos tiroideos. Semiológicamente se observa una y/o hiperplasia glandular y es muy significativo un abombamiento anterior de la glándula, con unas medidas elevadas discretamente respecto de sus medidas en rango de normalidad, es decir, la paciente tiene bocio no nodular y además alteración en la ecogenicidad de la glándula, pero lo más llamativo fue cuando puse el doppler para estudiar la vascularización de ambos lóbulos tiroideos. Era una vascularización elevada, mucho más que la normal vascularización de esta glándula. Es el conocido Infierno Tiroideo.

Lo primero, reconoce siempre la normalidad para poder identificar anormalidad. En la imagen 1 tienes una imagen normal de ambos lóbulos tioideos en un corte axial (nos sirve para repasar anatomía básica), en la imagen 2 un corte longitudinal de uno de los lóbulos con su vascularización típica. Bien guarda en tu cabecita estas dos imágenes y ponte en modo concentración para descubrir los cambios semiológicos en el caso de la paciente referida con anterioridad.

1

2

En la imagen 3, el corte axial de ambos lóbulos tiroideos afectados. Compara imagen 1 e imagen 3 y te vas a dar cuenta como a veces, en el primer segundo la exploración ya sabes que la glándula es patológica, como es la imagen 3.

3

Ahora, en el caso que estas viendo hoy, con la información clínica de la que disponemos y lo que nos cuenta la paciente observamos las siguientes imágenes. Sumada a la imagen 3 te enseño un corte longitudinal de uno de los lóbulos tiroideos en la imagen 4. En la imagen 4 observas un lóbulo heterogéneo (diferentes tipos de grises) cuando deberíamos ver una glándula homogénea.

4

Cuando estudiamos concienzudamente la ecoarquitectura del Tiroides es momento de estudiar su apariencia vascular y descubro esto inmediatamente que me llama poderosamente la atención y que ves en la imagen 5, mira:

5

En la imagen 6 observas la misma imagen con el modo angio activado (doppler power), con el que vamos a conseguir observar la vascularización de flujo lento, por eso en el mismo corte puedes ver como si hubiera más vascularización que ves en la imagen 5.

6

En la imagen 7 tienes el corte del lado contralateral del tiroides, donde con el modo angio activado, puedes ver además que ese lóbulo tiene más actividad vascular que el izquierdo.

7

En el vídeo del canal de youtube al que te puedes suscribir, puedes observar como se observa la vascularización normal del tiroides y la hipervascularización para que te quede claro como debes ver la normalidad para que puedas reconocer la hiperactividad vascular que puede estar asociado a patología tiroidea de diferente índole. Te dejo enlace del vídeo en Instagram.

El estudio reveló algún otro tipo de hallazgo en la ecoarquitectura de la glándula, como calcificaciones groseras que como puedes ver en la imagen 8 fueron detectadas en modo 2D y certificado con la aplicación micropure de Canon que consigue realzar el calcio, ya sea en su apariencia gruesa como en microcalcificaciones, lo que es muy útil ya que sabemos que las microcalcificaciones tiroideas en nódulos se asocian a malignidad.

8

En conclusión, con esta vascularización (infierno tiroideo), el aspecto general de la glándula y la información clínica detallada del informe radiólogico, y por supuesto, pruebas analíticas (hipertiroidimo), otras pruebas imágenes y la historia clínica (taquicardias) detallada de la que disponía la endocrina al cargo de la paciente, se diagnosticó una Enfermedad de Graves-Basedow.


Cambio Post por Atardecer de Playa en el Sur. Verano¡¡  

 

 

 

202. Ectasia ductal y Papiloma intraductal.

Cuando hacemos una ecografía de mama de protocolo, una de las regiones más importante a estudiar y de más complejidad es la zona areola-pezón. Ya te he contado como debes explorar esa zona, el contacto de la sonda con la piel no es fácil, la areola puede cambiar con la estimulación, el pezón también, diversas anatomías de esa región, en fin, variables que hace que debamos apurar las técnica para estudiar dicha anatomía. Si te parece bien, te cuento y luego ya las imágenes explicadas, post larguito (mucha gente lo adivinó en Instagram), pero creo que te gustará, a mi me ha encantado escribirlo. Vamos?

Al pezón llegan los conductos galactóforos, el estudio de esa anatomía específica de la ecoarquitectura del área areola-pezón es nuestro objetivo este post. Vamos a ver mucha variedad, voy a intentar resumirla mucho. Cuando estudiamos lo región retroareolar podemos ver una anatomía ecográfica donde apenas encontramos conductos galactóforos, están vacíos, también podemos ver esos conductos galactóforos llenos de líquido, eso es una ectasia ductal, que puede ser unilateral, aunque normalmente deber ser bilateral.

Nos olvidamos de aquellos conductos que no están dilatados, nos quedamos con aquellos que sí lo están, es decir, tienen líquido y su presencia ecográfica dependerá de la cantidad de líquido que alberguen en su interior, y de esta variable dependerá que sean más o menos visibles.

Normalmente aparecerán anecoicos, negros, por su presencia de líquido, líquido que en ocasiones puede manifestarse saliendo a través del pezón, se llama telorrea. Su aspecto puede ser variado, transparente, blanco, amarillento, verdoso, pero debemos preguntar o confirmar si ese líquido que sale a través del pezón es rojizo, sanguinolento, eso se denomina, telorragia, todos esto modelos deben ser consultados al médico y en función de su criterio, se analizará y estudiará esta figura patológica. Si el liquido secretado fuese leche y la paciente se encontrase fuera de un proceso de lactancia se denominará Galactorrea.

Cuando esa apariencia ecográfica del conducto no es anecoica y es hiperecogénica, es decir, cuando ese contenido es ecogénico debemos poner nuestras orejas de punta…tendremos que ver si ese contenido es móvil, es decir, si se mueve dentro del conducto, si es un conducto o varios y sobre todo, debemos estar muy atentas para ver si ese contenido que pudiera ocupar ese conducto es nodular, si así lo fuere podríamos estar delante de otra patología muy importante dentro de la ecografía de mama que es el Papiloma.

El hallazgo de la ectasia ductal no tiene que estar en relación directa con la telorrea. Me explico, la paciente puede tener una ectasia ductal, pero puede no tener telorrea. Por otra parte, la telorrea puede obedecer a diferentes tipos de causas, la mayoría benignas. La telorragia por su parte es motivo de alarma en mujeres y deber ser consultado a la especialista. La secreción mamaria a través del pezón puede ser por un orificio o por varios.

Estos hallazgos suelen ser habituales, no discrimina por edad, es decir, lo encontramos en mujeres de todas la edades, incluso ancianas, eso sí, es habitual que la paciente haya dado el pecho en alguna ocasión a lo largo de su vida.

Cuando la paciente consulta por alguno de los hallazgos descritos brevísimamente en párrafos superiores se le pedirán pruebas diagnósticas a criterio de la médico que la atienda, en lo que se refiere a las peticiones que llegan a radiología, serán pruebas de mamografía y/o ecografía siempre en función de la edad de la paciente, aunque una vez en rayos será la radióloga la encargada de definir concretamente cual es la prueba más adecuada, que en muchas ocasiones pueden ser ambas, mamografía y ecografía y podrían ser complementadas por galactografía (en desuso) y RMN de mama, eventualmente pruebas invasivas ecoguiadas.

Después de toda esta parrafada toca ver imágenes, no son fáciles, pero son tan importantes que debemos conocerlas perfectamente.

En la imagen 1 vas a ver una anatomía donde la región retroareolar no muestra hallazgos significativos, es decir, no hay conductos visibles. Sería la normalidad.

1

En la imagen 2 observa como ves los conductos, estos son numerosos y anecoicos, llamativa y marcadamente negros todo ellos sin excepción. Ectasia ductal, que si es en ambas mamas, será bilateral, que es lo normal.

2

En la imagen 3 puedes ver conductos dilatados y donde puedes ver algunos anecoicos y otros ecogénicos, estos últimos marcados con flechas rojas igual que en la imagen 4. Ojo siempre a estos hallazgos.

3

En la imagen 4 observas un conducto con contenido ecogénico que ocupa gran parte de ese conducto, a tramos, sin evidencia de contenido ecogénico nodular. Es muy importante aportar el dato de que el contenido ecogénico es móvil o no, puede ayudar a la radióloga.

4

En la imagen 5 ves un conducto anecoico y como en su interior aparece una estructura hiperecogénica y nodular que no se mueve y que se puede estudiar en ambos planos, transverso y longitudinal y que ante tal hallazgo es medido y se le comprueba la presencia de vascularización, consideración que puedes ver en la 6,7 y 8. La flecha blanca indica normalidad.

5

Finalmente, en la imagen 6,7 y 8 puedes ver como un lesión nodular de grandes dimensiones ha crecido dentro de un conducto, al extremo de apreciarse la imagen nodular y no el conducto dilatado. Puedes ver que un gran contenido ecogénico ha crecido, que aún hay respetado en el ducto parte líquida, representada mínimamente por la parte anecoica del conjunto estudiado.

6

7

8

Ante los hallazgos de la imagen 5 y 6 la radióloga puede ampliar el estudio con punción guiada con ecografía que eventualmente y a su criterio puede ser PAAF, BAG o BAV. Punción con aguja fina, gruesa o con aguja de vacio, respectivamente. Es una decisión exclusiva de la radióloga.

Como siempre, la Anatomía Patológica determinará la naturaleza benigna o maligna de la lesión mamaria, esto determinará obviamente el tratamiento.

He comentado antes  que en ocasiones se le puede realizar a una paciente una galactografía, sobre todo cuando la secreción es por un solo conducto, y además sanguinolenta, pero es decisión de las doctoras, como ya he comentado. Esta prueba es la Galactografía, antes era muy habitual su realización, cada día más en desuso, te dejo la imagen 9 para que aprecies la belleza de esta técnica donde se usa un contraste que se inyecta previa canalización del agujero correspondiente al conducto que tiene la secreción, usando el mamógrafo para esta técnica.

9

10

Imagen 9 e imagen 10 son dos técnicas diferentes, que guardan una correlación muy evidente en la representación de los conductos galactóforos que van a buscar el pezón.

Puedes repasar todas las entradas de este Blog en el índice.


Hola Verano, tengo ganas de tenerte delante…Gracias por estas noches de calor que me acompaña en este buscado…insomnio mientras suena…Jardines de Marzo, La Bien Querida.

 

 

196. Patología cutánea.

Quería subir este brevísimo post intersemanal para hacer hincapié en la visualización global de la imagen ecográfica, muchas veces, muchas, nos centramos en algo especial, algo que capta nuestra atención y nos olvidamos de cosas que hay alrededor y que deben ser estudiadas. De estas veces que el árbol no nos deja ver el bosque…esto lo tenemos que evitar.

En el caso que te presento hoy, una mujer, que se realiza una revisión ecográfica mamaria por seguimiento de una lesión nodular en la mama izquierda a expensas de una mamografía, imagen 1, donde se observa en cuadrantes superiores una lesión nodular marcada con flecha amarilla.

Cuando realizamos la ecografía objetivamos un nódulo en la región donde teóricamente tendría que estar el nódulo visualizado en la mamografía. Hasta aquí todo genial, el problema es que las dimensiones del nódulo de la mamografía y el de la ecografía son demasiado diferentes y por tanto no concordantes.

La paciente tiene una mancha en la línea intercuadrántica externa de la mama a estudio, coincide en tamaño y posición con el nódulo mamario. Normalmente las lesiones cutáneas objetivadas en mamografía son debido a verrugas o lunares voluminosos, en este caso la casualidad hizo coincidir un nódulo en la mama con la misma localización (imagen 2) de una lesión cutánea que, normalmente no vemos con el estudio ecográfico, pero esta, por su profundidad me llamó la atención y la radióloga recomendó estudio por parte del servicio de dermatología del hospital para caracterización.

1

Si te fijas en la imagen, la lesión mamaria es un nódulo evaluado por la radióloga con aspecto de benignidad, redondeado, buena transmisión de sonido, bordes bien definidos.

2

La lesión cutánea (flecha amarilla) es alargada y profunda, hipoecogénica y se objetiva perfectamente en la ecoarquitectura de la imagen 3 de esta eco mamaria y cómo altera la piel de manera considerable.

3

Cuando realicemos ecografía debemos tener una visión global de toda el área a estudio, desde lo más superficial a lo más profundo. En este caso confluyen diversas eventualidades a tener en cuenta, lesión cutánea, con nódulo ecográfico mamario incongruente con el hallazgo mamográfico…

Los equipos, cada vez más potentes y con mejores prestaciones hacen que el estudio de lesiones en la piel puedan ser identificadas, estudiadas y clasificadas por su aspecto ecográfico. En dermatología la ecografía es una técnica en auge, sondas de ultra alta frecuencia, de hasta 33 mHz hace que este tipo de lesiones sean ideales para seguir por los especialistas.

La sonda stick es ideal para este tipo de estudios, te presento esta de 24 mHz la que viene en este equipo que me ha impresionado por sus prestaciones y equipamiento y que agradezco haber podido probar a mi colega Eduardo, técnico de aplicaciones, es  el Logic E10 de Ge.

4


Ahora da la sensación…

195. Rotura de la placa plantar.

Cuando realizamos el estudio de la planta del pie en busca de patología a nivel metatarsal, como por ejemplo, el Neuroma de Morton, debemos descartar otras patologías que pueden cursar con un dolor similar al provocado por el tumor del nervio, bursitis, tenosinovitis de los flexores de los metatarsianos pueden ser alguna de ellas.

El estudio a ese nivel es complejo, largo y tedioso, en ocasiones pueden coexistir varias de esas patologías, por eso hay que descartar todas, por eso, debemos conocer la normalidad ecográfica perféctamente. El diagnóstico diferencial puede ser complicado para la radióloga que en ocasiones puede necesitar varias técnicas de imagen, como  la Rx convencional, la ecografía como técnica de elección y en ocasiones RMN con contraste intravenoso.

Hoy te enfrentas a una de la patologías más difíciles de explorar por muchos motivos, el primero es el desconocimiento de la anatomía de la placa plantar, su función y su aspecto ecográfico. El segundo es que requiere una técnica ecográfica nivel experto y el tercero es lo que te he contado antes, la posibilidad de la confluencia de varias patologías que tengan que ver con el dolor que pueda sufrir la paciente, que ya te digo, en esta zona, puede llegar a ser muy intenso y prolongado en el tiempo.

Es una zona de máximo interés para Fisioterapeutas, Podólogos y Médicos especialistas del deporte…

Para mi entender la anatomía me resultó vital, para luego poder correlacionar con la ecoarquitectura…en la imagen 1 puedes ver un dibujo, lo siento, no soy Monet como muy bien puedes comprobar, pero espero que te sirva para que entiendas como es la anatomía, superbásica, de un corte sagital de una metatarsiano en la articulación de la cabeza del metatarsiano (3) con la falange proximal (2) y su relación con la placa plantar (1), en rojo, el tendón flexor del dedo que estemos estudiando (5), en rosa, y la vaina que lo rodea (4), en azul…imposible olvidarme del verde, es la fascia plantar y es el número 6.

Aprendí que para estudiar una lesión debes conocer la mecánica de la lesión, en este caso, es una hiper extensión de la articulación que hace que la placa plantar estire demasiado y se pueda llegar a romper, lo que puede provocar líquido en la zona. Es una típica lesión de bailarinas, deportistas en general y personas que usan tacones muy pronunciados en sus zapatos. Te dejo la imagen número 2, donde puedes ver el teórico foco de una lesión marcada con una estrellas de 5 puntas como la de mi escudo.

Anatómicamente la placa plantar es una estructura fibrocartilaginosa altamente resistente debido al colágeno tipo 1. Ecográficamente, está entre el flexor del dedo y la cabeza del metatarsiano y su aspecto es hiperecogénico, ocupando el espacio que va desde el cuello del metatarsiano hasta la porción distal y plantar de la falange articular con el metatarsiano. Imagen 3 y 4, normalidad ecográfica. Imagen 5, imagen patológica.

La exploración requiere de un operador entrenado, es recomendable un estudio exhaustivo, sin prisas, donde podamos realizar estudio dinámico que será la de ejecutar una hiper extensión forzada del dedo a estudio por el operador, siempre que la paciente pueda soportarlo, mientras colocamos la sonda en el eje largo del flexor. La sonda será de alta frecuencia, usando, la frecuencia más alta de su ancho de banda. Profundidad adecuada, foco bien colocado y máxima concentración.

Si sabemos que la estructura es de una intensidad ecogénica alta, la aparición de focos hipoecogénicos en el lugar pueden ser constitutivos de lesión locoregional, temerosos siempre de la anisotropía, aunque no es una anatomía tendinosa, la colocación de la sonda no es fácil por la orografía de la zona y por tanto, siempre con las orejas de punta…y gel, usamos mucho gel para que el apoyo sea perfecto. Te he dicho anteriormente que la rotura de esta estructura puede acarrear a presencia de líquido que se verá anecoico en la zona.

Estudiamos y demostramos la lesión o la normalidad en dos proyecciones, imagen 6, eje largo y eje corto de la zona y podemos comparar siempre con el lado contralateral, previsiblemente sano, dicho todo este conglomerado de ideas…las imágenes:

3

4

5

6

Marcadas con flecha azul puedes ver un efecto de discontinuidad a nivel de la placa plantar, hipoecogénico e irregular, demostrado en dos proyecciones.


Verano, gracias…

 

 

160. La imagen ecográfica. Semiología y repaso.

En este breve post de este domingo te explico sobre una imagen habitual del protocolo de Abdomen, la anatomía habitual que podemos encontrar y además semiología habitual y muy variada que podemos encontrar. Te valdrá de repaso de conceptos básicos de la técnica ecográfica.

Quiero que compares ambas, una sin y otra con indicaciones y así primero podrás hacer un test de lo que ves y luego consultar los resultados en el comentario de imagen que hago a continuación.

La imagen es un corte sagital realizada con sonda convex de baja frecuencia, estamos usando 6 mHz con armónicos, ganancia general de 86 y un rango dinámico de 65, es decir un valor medio. El pictograma indica la posición en decúbito supino y corte sagital.El preset es de ecografía de Abdomen General.La profundidad de estudio es de 12 cms. El foco está situado en torno a los 6 cms.

Anatómicamente tenemos una imagen donde observamos la relación hepatorrenal, donde ambos órganos son isoecogénicos.Entre ambos existe una línea de separación fina e hiperecogénica, corresponde al Espacio de Morrison, lugar de depósito de líquido ascítico habitual.

En el Hígado llama la atención una estructura hiperecogénica y homogénea, ligéramente redondeada,en el plano anteroposterior mide en torno a 2,5 cms y corresponde con un hemangioma típico.

El Riñón es de un aspecto normal, la corteza en hipoecogénica, el seno renal, hiperecogénico, no está dilatado, mide algo más de 9 cms, su ecoarquitectura es correcta, no tiene ni masas ni imágenes que sugieran litiasis.

Riñón derecho e hígado comparten una región en la imagen, es la que corresponde al polo superior del riñón y a la porción más caudal y externa del hígado, es la zona de la Suprarrenal derecha, lugar que debemos encontrar libre a partir del año de vida, es decir, no debemos ver dicha suprarrenal ni tampoco ninguna LOE a ese nivel.

A nivel del polo inferior del Riñón, superficial, observamos una imagen hiperecogénica, curva, con una llamativa sombra acústica posterior que corresponde con gas intestinal correspondiente a la tercera porción del duodeno, el gas es el culpable de esta ausencia de información que se traduce en un artefacto típico del gas intestinal.

La flecha negra está marcando el Músculo Psoas, que «acuna» al riñón derecho.

In this brief post on this Sunday I explain about a habitual image of the Abdomen protocol, the usual anatomy that we can find and also habitual and very varied semiology that we can find.
I want you to compare both, one without and the other with indications and so first you can do a test of what you see and then consult the results in the image comment that I do next.
The image is a sagittal cut made with a low frequency convex probe, we are using 6 mHz with harmonics, a general gain of 86 and a dynamic range of 65, that is, an average value. The pictogram indicates the position in supine decubitus and sagittal section. The preset is a General Abdomen ultrasound. The study depth is 12 cm. The focus is around 6 cm.
Anatomically we have an image where we observe the hepatorenal relationship, where both organs are isoechogenic. Between both there is a thin and hyperechogenic separation line, corresponds to the Morrison Space, place of habitual ascitic fluid deposition.
In the Liver, a hyperechogenic and homogeneous structure, slightly rounded, is noticeable in the anteroposterior plane, measuring around 2.5 cms and corresponds to a typical hemangioma.
The Kidney is of a normal appearance, the cortex is hypoechoic, the renal sinus is hyperechogenic, it is not dilated, it measures a little more than 9 cm, its eco-architecture is correct, it does not have masses or images suggestive of lithiasis.
Right kidney and liver share a region in the image, it is the one that corresponds to the upper pole of the kidney and to the most caudal and external portion of the liver, it is the right adrenal zone, a place that we should find free from the year of life, that is to say, we should not see adrenal gossip nor any LOE at that level.
At the level of the lower pole of the kidney, superficial, we observed a hyperechoic, curved image, with a striking posterior acoustic shadow that corresponds to intestinal gas corresponding to the third portion of the duodenum, the gas is the culprit of this lack of information that translates into a typical artifact of intestinal gas.
The black arrow is marking the Psoas Muscle, which «cradles» the right kidney.

El océano(mar) me agita el corazón, me inspira la imaginación y me trae alegría eterna al alma.