La exploración de la región inguinal va dirigida normalmente a la confirmación ante sospecha de hernia en esa localización. Aquí ya hemos visto muchas hernia inguinales, hay varios post dedicados a esta patología, sabemos que la hernia puede tener contenido graso y en casos más importantes esa hernia puede contener asas de intestino.
En muy pocas ocasiones, vamos a encontrar el caso que os traigo hoy, pero hay que saber para reconocer esta patología y por eso os la comento en este breve post de primeros de Julio.
Acude a la sección de ecografía del Servicio de Radiología del Hospital una mujer de 60 años que presenta un bulto en la región inguinal derecha no doloroso, tras la exploración de su médico de cabecera es enviada para realización de ecografía de partes blandas de la región inguinal derecha con sospecha de hernia inguinal.
Tumbamos a la paciente en decúbito supino y exploramos de región inguinal derecha con técnica habitual, sonda lineal de alta frecuencia y ajuste apropiado de los parámetros técnicos.
Al ser mujer la ecoestructura de referencia para el estudio de la región inguinal varía respecto del hombre. En el hombre siempre es bueno localizar el canal inguinal, partiendo desde el testículo, localizamos el paquete vasculonervioso que desfila por el trayecto del canal y lo seguimos hacia craneal, con el ejercicio de Valsalva veremos si por ese canal se mete grasa o intestino. Bien, en la mujer es algo diferente, este canal no es evidente ecográficamente, nos valdremos en esta ocasión de los grandes vasos femorales y estudiaremos la región que parte desde esta localización y que desciende por la ingle hacia los labios mayores de la vulva.
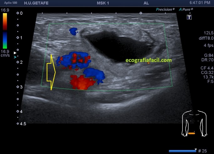
En el caso que te traigo hoy no hizo falta buscar mucho, nada más poner la zona en corte transverso en la región inguinal derecha, cerca de los labios mayores, la paciente tenía una masa blanda, ligeramente dolorosa durante la exploración que había aumentado ligeramente tiempo atrás y que ecográficamente tenía un aspecto anecoico,imagen 1, de paredes finas, más grande en su eje lateral que en el eje antero posterior y que se deformaba con la ligera presión del transductor y que no modificaba su ecoestructura con la maniobra de Valsalva.
En cuanto localicé este hallazgo realicé corte transverso (imagen 2) y longitudinal (imagen 1), con medidas y estudio en modo doppler para ver vascularización (imagen 3, flecha amarilla), seguidamente, era muy importante asegurar algunas referencias locoregionales como los grandes vasos femorales, siempre debemos documentar esta coexistencia y buscar un cuello que puedes observar con las dos flechas rojas de la imagen 1 y que la ecoestructura marca perfectamente al ser anecoica.
Aunque no muchas, ya había visto alguna vez esta entidad y sabía que era un Quiste de Nuck, pero necesitaba buscar los hallazgos anatómico ecográficos previamente comentados, como la localización junto a los grandes vasos y el cuello, para poder presentarlo a la radióloga para que realizase el informe, que corroboró lo que pensaba, lo cual no tiene relevancia alguna. Esta patología puede ser conocida también como Hidrocele de Nuck.



Tiene que ver con la existencia del proceso vaginal existente durante nuestra vida fetal y que debe cerrarse después del nacimiento tanto en niños como en niñas, si este proceso no se oblitera puede dar patología típica, como criptorquidia, diferentes entidades herniarias, quistes de cordón…Este proceso vaginal debe cerrarse, como ya he comentado cortando la comunicación entre el escroto o labios mayores y la cavidad peritoneal, es decir, debe cerrar el canal inguinal en niños y el conducto de Nuck en la niñas, los testes usan este canal para descender a la bolsa escrotal, en la niñas se localiza el ligamento redondo.
Índice del Blog con todo el contenido. Solo entra y haz click en el post que desees.
«Un pájaro posado en un árbol nunca tiene miedo de que la rama se rompa, porque su confianza no está en la rama sino en sus propias alas. Cree siempre en ti»
HOY ACABO DE VER UN QUISTE DE NUCK (MERIDA YUCATAN MEXICO ) EN FEM DE 27AÑOS
Me gustaMe gusta
Perfecto¡¡
Me gustaMe gusta