206. Calcificaciones distróficas + Síndrome de Haglund.

En ocasiones, en las exploraciones musculares que realizamos podemos encontrarnos con calcificaciones que no tenemos que tener en esa anatomía. En muscular vemos muchas en la exploración ecográfica del hombro, muy habitualmente en el supraespinoso.

Hoy vamos a detenernos en unas calcificaciones menos habituales dentro de una exploración que se realiza muy asíduamente en eco muscular, como es la exploración del Tendón de Aquiles. Después finalizamos con el Síndrome de Haglund

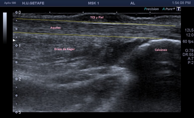
El Aquiles es el tendón de los gemelos y el sóleo que inserta en la cara posterior de la pierna, en el calcáneo. Sus fibras son alargadas, es un tendón muy potente, muy superficial, ecogénico, superficial a la grasa de Kager.

Hoy tenemos mezcolanza de casos, empezamos un paciente de avanzada edad que acude a su médico por un dolor invalidante que comienza a los pocos minutos de comenzar la deambulación y que le impide caminar, pero lo dicho, vamos a mezclar casos e imágenes de diferentes pacientes para que te hagas una idea general, terminando con el Síndrome de Haglund que le da título al Post.

Posicionamos al paciente en decúbito prono, los pies colgando al final de la camilla, y haciendo una hiperflexión dorsal del pie tobillo con el fin de tensar el Aquiles, gel y sonda de alta frecuencia y empezamos.

Nuestro objetivo es ver esto:

Normalidad, en la imagen 1 y 2 ves un aquiles normal.

El paciente en cuestión tenía una exploración que al poco de empezar me llamó la atención porque en la zona de máximo dolor referido por el paciente, encontré unas imágenes hiperecogénicas, redondeadas, pero irregulares, de multitud de tamaños distribuidas aleatoriamente a lo largo del tendón y que dejaban sombra acústica posterior, siendo más evidentes a unos cinco centímetros de la inserción calcánea.

El paciente nos comenta que había sido futbolista, que había padecido lesiones en la región que estábamos estudiando. Me sirvió de mucha ayuda su comentario, porque estaba viendo que ademas de los hallazgos comentados el aquiles estaba muy engrosado , típico de tendinopatía, pero es esa misma localización, las fibras más superficiales del tendón estaban retraídas y mostraban un pequeño muñón que estaba en relación con una lesión antigua puesto que no tenía dolor agudo ni líquido.

El paciente tenía una rotura de fibras con arrancamiento de fibras superficiales del tendón de aquiles. Tendinopatía del tendón. Calcificaciones distróficas, que son aquellas que aparecen en el tejido dañado o necrosado, tienen el aspecto que he descrito con anterioridad y son muy típicas en la ecografía de mama, donde podemos verlas en zonas necróticas del tejido mamario, donde se observan muy habitualmente con mamografía y si son de un tamaño considerable, se observan también con ecografía

La aparición de estas calcificaciones me llevó a pensar que la presencia de calcio pudiese corresponder a avulsiones de materíal óseo correspondiente al calcáneo, es decir, roturas del Aquiles con arrancamiento de la inserción del hueso. En muchas ocasiones el tendón de aquiles calcifica en su inserción, normalmente son calcificaciones lineales que están en relación con tendinopatías de inserción, entensopatías, pero en ocasiones estas calcificaciones son muy evidentes, y existe cambios que tanto ecográficamente como físicamente afectan a esta la región y pueden aparecer bultomas y enrojecimiento de la zona, en relación con el síndrome de Haglund.

En el texto anterior hemos visto enmarañadamente muchos conceptos asociados a patologías que pueden darse en esta pequeña región del Aquiles. He nombrado el Síndrome de Haglund. Este es un síndrome que incluye tres aspectos, a nivel del aspecto posterior del calcáneo con una afectación de la bursa retroaquílea debido a la presencia de una exóstosis.

En muchas ocasiones vamos a encontrar calcificaciones de inserción o entensopatías, pero ver ecográficamente la afectación de la bursa es mucho menor. En muchas ocasiones, la radióloga necesita ampliaciones de estudio con radiología simple y con RMN para poder efectuar convenientemente este diagnóstico y nosotros, tenemos que ser muy minuciosos en la exploración ecográfica de esta región, conocer perfectamente ecoarquitectura normal de la región para poder identificar tanto los calcios insercionales como la bursitis retroaquílea, amén de la tendinopatía, ni que decir tiene a complicaciones tendinosas derivadas de estado avanzados de la patología como pudieran ser la roturas insercionales, parciales o totales.

Vamos a ir ahora paso a paso, después de todo este texto que te has leído, queda lo mejor para el final, como son las imágenes.

1
2

Las imágenes 1 y 2 son la normalidad, es lo que casi nunca solemos ver en este tipo de estudios, pero en ocasiones sí, y como además cuando realizamos este protocolo, siempre es recomendable explorar lado contralateral, podemos muchas veces comparar la región patológica con la normal. El aquiles lo estudiamos siempre en toda su longitud, desde la inserción hasta su origen, en eje corto y en eje largo. Fijándonos bien en toda la ecoestructura posterior de la pierna y estudiando la profundidad de la grasa de Kager.

Las fibras del tendón son alargadas, lineales, tensas con las flexión dorsal.

Ojo con la anisotropía, la hipoecogenicidad producida el ligero cambio de angulación del tendón cuando inserta en el calcáneo posterior…La clave, hiperflexión dorsal, mucho gel y amoldar la posición de la sonda para estudiar estas fibras insercionales.

3

Lo más habitual es encontrar una tendinopatía del tendón, donde vamos a ver un tendón engrosado, hipoecogénico, normalmente a 5 cms de la inserción. Como puedes ver en la imagen 3. Vamos a ver varios grados en función de la afectación del tendón, puede ser global o afectar a fibras profundas o superficiales…siempre recurrir al estudio contralateral.

4

En la imagen 4 aparecen los calcios lineales, típicos de las entensopatías de inserción y que también fluctuarán según el grado de afectación locorregional.

5
6

Imágenes de calcificaciones groseras, distróficas, con su sombra acústica posterior, superficiales y profundas, con diferentes tipos de tamaños. En la imagen 7 las ves en eje corto.

7
8

Ambas apariencias de las calcificaciones suelen verse acompañadas de tendinopatías, como muy puedes ver en la imagen 8 donde se demuestra un aumento del vientre del tendón marcado por la línea rosa, y como hemos dicho anteriormente, comos a unos 5 cms de la inserción.

9

Desde la inserción hasta el origen el aquiles es muy largo, usar imagen panorámica nos ayudará a tener una idea global de todo el tendón, la orografía es complicada, no es facil el apoyo, el tendón es muy fino, y el recorrido de todo el tendón requiere técnica, tiempo…básicamente, no desesperes. En la imagen 9 tienes una panorámica con la gran cantidad de calcios distróficos que afectan a este tendón.

10

Podemos encontrar calcificaciones muy groseras, insercionales y no insercionales, con tendinopatía asociada, como ves en la imagen 10.

11

Si observamos la bursitis retroaquílea de la imagen 11(flechas amarillas), además la exóstosis de la imagen 13 y deformidad en la piel, observable sin ecografía podemos estar ante un síndrome de Haglund de esos de libro…y tendremos una imagen ecográfica como la de la imagen 14.

Como has visto en la imagen 1, la bursa retroaquílea no debe verse, ese receso debe tener como mucho una mínima cantidad de líquido, que como digo es normal, pero no lo que observamos en la imagen 11 donde vemos una imagen heterogénea ocupando esa región.

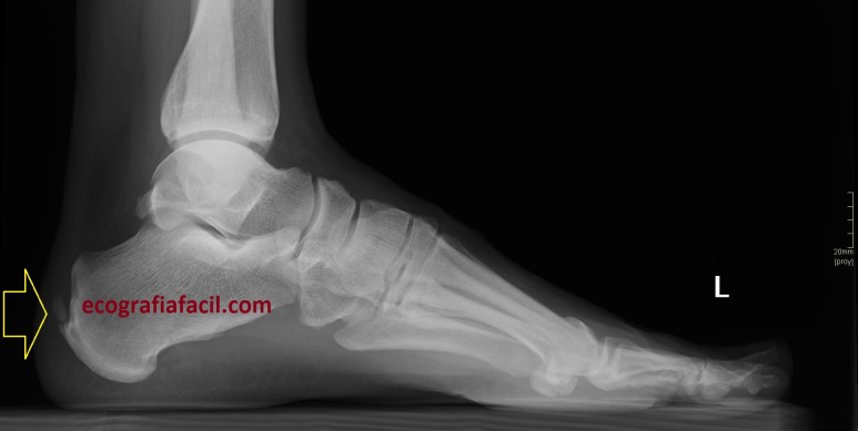
Corrobora si el paciente tiene estudios radiológicos simples que estén en concordancia con la imagen 10, por ejemplo, la imagen 12.

12

La flecha amarilla indica la que en la parte posterior del calcáneo existe un calcio tosco en esta rx lateral del pie en carga, pero es en la inserción, cuidado con esto, cuando se produce el Haglund, no es en la inserción, es antes, y se debe a la exostosis mencionada con anterioridad, mira, compara imagen 12 e imagen 13. La flecha roja es indicativa de Síndrome de Haglund.

13
14

En la imagen 14, como no podía ser de otra manera, observamos todo y es por definición la típica imagen de S.Haglund.


Se me desmadrado este macro post, empecé por una cosa y he terminado en otra…mucho más interesante, la verdad y al final todo ha sido un totum revolutum.


Buena madrugada…

5 comentarios sobre “206. Calcificaciones distróficas + Síndrome de Haglund.

  1. Intenso, sí es verdad, pero muy didáctico. Después de subir y bajar por las excelentes imágenes creo haberme enterado. Se podría definir la imagen 12 como bursitis del calcáneo y la imagen 13 como bursitis retroaquilea o retrocalcánea? Muchas gracias como siempre.

    Me gusta

Deja un comentario