209. El Seroma

En este breve post tras el Ti-Rads, vemos un caso que nos ayuda a ver semiología no normal respecto en el contexto de las cicatrices post cirugía.

Vemos en algunas ocasiones pacientes que han sido intervenidos y en las revisiones ecográficas que se realizan encontramos en el lecho quirúrgico una cantidad de líquido variable según cada paciente. Se denominan seromas.
Los seromas más habituales suelen verse en lechos quirúrgicos tiroideos, también muy habituales en la mama, pero pueden producirse en otros contextos.

Los seromas tienen un aspecto hipoecogénico o anecoico, dependiendo de las sustancias de los que estén hechos, normalmente son suero corporal, en ese caso serían anecoicos, pero si tienen contenido sanguinolento o infeccioso pueden cambiar, se vuelven ecogénicos. Si se infectan estas colecciones pueden necesitar ser drenadas, también si el seroma fuese muy grande, esto es un criterio médico que aquí no tiene mucho valor, la verdad.

No nos interesa el mecanismo de producción, tampoco es relevante el mecanismo de absorción, pero si debemos saber que estos seromas suelen ser resuelto por el cuerpo, reabsorbiéndolos, por tanto, disminuyendo su volumen entre una revisión y otra.

En el caso que te presento hoy, lo que vemos es la evolución de un seroma, aparecido tras una cirugía en el CIE de la mama derecha al extirpar una lesión papilar catalogada como Birads 4B y que se propuso para extirpación.


En la primera revisión tras cirugía nos encontramos una lesión cicatricial con una moderada cantidad de líquido de aspecto hipoecogénico, es irregular, la paciente tenía molestia en la zona, pero no presentaba fiebre.

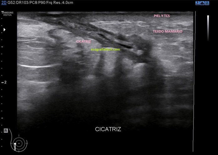
En la segunda revisión encontramos un lecho quirúrgico mucho más pequeño, con una lengüeta de líquido, en la mitad de la cicatriz interna. Lo llamativo de este caso es que el líquido no está embolsado, sino que está buscando una salida, simulando a un trayecto fistuloso y en realidad tenía un comportamiento similar porque la paciente podía autodrenarse el contenido, drenaje que en ocasiones era autónomo.

En la segunda exploración observamos que el líquido ha disminuido mucho de tamaño y que su aspecto ecográfico es anecoico. En cualquier caso existía una clara mejoría radiológica entre ambos estudios por lo que se derivó a la paciente para valorar en la consulta de unidad de mama para eventualmente iniciar tratamiento para cerrar si definitivamente ese seroma y evitar complicaciones posteriores.

Si el seroma se infectase tendríamos un absceso o colección, normalmente purulenta, que en ocasiones puede requerir la colocación de un drenaje como ves en las dos imágenes siguientes.

El absceso suele ser hipoecogénico.

En la imagen siguiente puedes observar los tubos de drenaje en forma ecográfica de «cuerpo extraño», tubular, hiperecogénico, dentro del absceso.

 

 

En ocasiones, como en la imagen superior, el seroma, convertido en absceso por la presencia de material quirúrgico que quedó en la herida quirúrgica. La colección se torna en hipoecogénica, flanqueado por flechas amarillas, el cuerpo extraño, que un trozo de drenaje que quedó atrapado al extraerlo está marcado por una flecha azul y medido, siendo su ecoarquitectura, hiperecogénica, curva y tubular.

Cuando hay que extraer algún tipo de colección o seroma se puede realizar PAAF evacuadora, esa evacuación se analizará con el fin de detectar la eventual bacteria que provoque la infección, como en el caso del vídeo que está viendo, donde una cirugía mamaria ocasionó un seroma y posterior absceso infeccioso muy doloroso que hubo que extraer provocando alivio inmediato en la paciente por el efecto de presión producido.


150. Índice del Vlog. Sí, con V.


Intento aprender a darle tiempo al tiempo y entender que las cosas pasan si tienen que pasar, «me esfuerzo por desaprender»…

 

 

Un comentario sobre “209. El Seroma

Deja un comentario