Empezamos con el estudio del protocolo de abdomen y como indiqué en el Post anterior, comenzamos con el Páncreas.
El Páncreas es un órgano situado en la región superior y media del Abdomen, es decir, en el epigástrio. Su forma es alargada y tiene según la literatura escogida, 4 o 3 regiones anatómicas.
Esquemáticamente tenemos que saber:
- Es una glándula exocrina y también endocrina.
- Se divide en 4 partes: Cabeza, istmo, el cuerpo y la cola.
- El conducto de Wirsung recorre la totalidad del páncreas.
- El colédoco atraviesa la glándula de arriba abajo. Discurre por la parte postero-externa de la cabeza hasta la desembocadura del duodeno: Papila de vater.
El Páncreas se encuentra rodeado de la siguiente anatomía:

Como ves el Páncreas se encuentra situado en una región anatómica donde un montón de estructuras se concentran en muy poco espacio lo que compromete la visualización y hace que sea uno de los órganos más complicados de estudiar dentro del protocolo de Abdomen.
Se encuentra situado según la imagen anterior, posterior al Hígado y anterior a la aorta, pero lo que de verdad nos sirve de referencia para encontrar el órgano es una imagen en forma de renacuajo, anecoica y que en la imagen siguiente está silueteada en blanco.

Esta es la referencia más importante para encontrar el páncreas cuando lo estudiemos, encontrar esta estructura anecoica, que pasa justo posterior al órgano que lo acompaña y lo marca, que tiene forma de renacuajo y que es la Esplénica en su parte más delgada y la Porta en su parte más gruesa. Es sin duda la estructura que va a ayudarte, la aliada principal para encontrar ecográficamente el Páncreas.
Lo primero que tenemos que conocer es como se dispone espacialmente el órgano en el Abdomen, para eso he dibujado sobre un abdomen, la disposición de los principales órganos:

Hemos comentado que el Páncreas tiene varias regiones, ecográficamente nos importan 3, Cabeza, Cuerpo y Cola.
La Técnica es compleja de ejecutar. Colocaremos nuestra sonda con la frecuencia apropiada en el epigastrio abdominal, justo por debajo de xifoides y buscaremos el órgano valiéndonos de las referencia previamente reseñadas.
Cuando localicemos el Páncreas lo repasaremos y estudiaremos comprobando que sea normal tanto en axial o transverso como en longitudinal. Ecográficamente el Páncreas es una estructura alargada, hiperecogénica y homogénea, así:

Al tener tres zonas anatómicas, tenemos que estudiarlas separadamente, debiendo colocar el transductor de manera adecuada a cada una de ellas. Son estas:

Para el estudio de la cabeza pancreática colocaremos la sonda axial al cuerpo, ligeramente oblicuado hacia los pies del paciente y hacia la izquierda del paciente, así:
Para el Cuerpo del Páncreas seguiremos el órgano y nos colocaremos en la línea media del abdomen en un corte axial puro del abdomen y para la cola pancreática nos oblicuaremos ligeramente hacia abajo y sobrepasando la línea alba hacia el lado izquierdo, buscando la cola, pero no puedo darte una colocación estándar del transductor porque la posición anatómica de la cola pancreática es excesivamente caprichosa. Eventualmente recomiendo la búsqueda de la cabeza pancreática desde el lado izquierdo del paciente, como si estudiásemos el Bazo y la hallaremos pegada a éste, aunque para realizar esta maniobra hay que tener «muchas tablas».
Se recomienda estudiar la estructura pidiendo al paciente que coja aire y que lo aguante en los pulmones, consiguiendo así que todos los órganos abdominales desciendan y puedan ser mejor visualizados, pero esto no es un ejercicio que sirva para todas la anatomías y por ende para todos los estudios.
Realizaremos una foto de cada región pancreática, es decir, de la cabeza, del cuerpo y de la cola. Si podemos sacar una sola foto donde toda la estructura salga de una vez, nos vale, aunque esto no suele darse a menudo. Es vital por parte de el /la Técnico/a de Radiología el uso de los pictogramas en cada foto.
No es necesario mostrar cortes longitudinales del Páncreas en un estudio normal.

Ecográficamente, el Páncreas es una estructura que tiene normalmente una aspecto alargado, hiperecogénico y homogéneo, pero depende muchísimo de cada anatomía y de la edad del sujeto estudiado, pudiendo presentar infinidad de aspectos. Con la edad el órgano pierde grosor y se hace más delgado, perdiendo volumen.


Se observa en las imágenes anteriores las diferencias entre ambas estructuras según la edad, pero también influyen otros condicionantes, como la constitución más obesa o no de un paciente, por ejemplo.
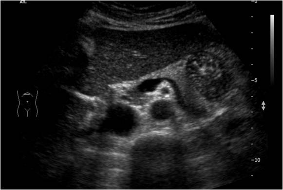
El Conducto pancreático o Wirsung no suele visualizarse si es normal, solo cuando está dilatado, y se presentará en la imagen ecográfica como una estructura alargada, fina, anecoica, dentro del Páncreas, como en la imagen de a continuación:

Repasaremos en el próximo post los condicionantes patológicos típicos de este conducto y del Páncreas en general.
En conclusión podemos decir que el estudio de esta estructura es de un alto nivel de complejidad, cuesta mucho encontrarlo cuando empezamos a hacer esta técnica así que es recomendable tener paciencia y no desesperar. Desgraciadamente aunque te enseñe como hacerlo, solo la práctica diaria y las repeticiones van a depurar la técnica de quien realice el estudio. Se aconseja que en el comienzo una mano experta acompañe la mano de quien aprende para hacer de guía.
Gracias B. Wacka¡¡¡
Si te ha gustado y te ha parecido útil, por favor, comparte el Blog. Recuerda que puedes seguirlo en Twitter, Facebook e Instagram.
Cómo tomografía necesito ayuda protocolos
Me gustaMe gusta
Perdóname Miguel Angel, pero no te entiendo, agradecería que fueses un poco más claro en tu comentario, para si está en mi mano, ayudarte.Gracias.
Puedes contactar conmigo por privado en Twitter o Facebook.Gracias.
Me gustaMe gusta
Alguien podría decirme el Nombre del Autor de la información?
Me gustaMe gusta
Puede ponerse en contacto conmigo a través de ecografiafacil.com@gmail.com
Me gustaMe gusta
Buena tecnica.
Me gustaMe gusta
😉
Me gustaMe gusta
Otra forma de ver el páncreas, es orientar al paciente tomar medio vaso de agua unos minutos antes del estudio.
Me gustaMe gusta
Tiene usted toda la razón…Mil gracias.
Me gustaMe gusta
Muchas gracias! el mejor blog
Me gustaMe gusta