Cuando hacemos una ecografía de mama de protocolo, una de las regiones más importante a estudiar y de más complejidad es la zona areola-pezón. Ya te he contado como debes explorar esa zona, el contacto de la sonda con la piel no es fácil, la areola puede cambiar con la estimulación, el pezón también, diversas anatomías de esa región, en fin, variables que hace que debamos apurar las técnica para estudiar dicha anatomía. Si te parece bien, te cuento y luego ya las imágenes explicadas, post larguito (mucha gente lo adivinó en Instagram), pero creo que te gustará, a mi me ha encantado escribirlo. Vamos?
Al pezón llegan los conductos galactóforos, el estudio de esa anatomía específica de la ecoarquitectura del área areola-pezón es nuestro objetivo este post. Vamos a ver mucha variedad, voy a intentar resumirla mucho. Cuando estudiamos lo región retroareolar podemos ver una anatomía ecográfica donde apenas encontramos conductos galactóforos, están vacíos, también podemos ver esos conductos galactóforos llenos de líquido, eso es una ectasia ductal, que puede ser unilateral, aunque normalmente deber ser bilateral.
Nos olvidamos de aquellos conductos que no están dilatados, nos quedamos con aquellos que sí lo están, es decir, tienen líquido y su presencia ecográfica dependerá de la cantidad de líquido que alberguen en su interior, y de esta variable dependerá que sean más o menos visibles.
Normalmente aparecerán anecoicos, negros, por su presencia de líquido, líquido que en ocasiones puede manifestarse saliendo a través del pezón, se llama telorrea. Su aspecto puede ser variado, transparente, blanco, amarillento, verdoso, pero debemos preguntar o confirmar si ese líquido que sale a través del pezón es rojizo, sanguinolento, eso se denomina, telorragia, todos esto modelos deben ser consultados al médico y en función de su criterio, se analizará y estudiará esta figura patológica. Si el liquido secretado fuese leche y la paciente se encontrase fuera de un proceso de lactancia se denominará Galactorrea.
Cuando esa apariencia ecográfica del conducto no es anecoica y es hiperecogénica, es decir, cuando ese contenido es ecogénico debemos poner nuestras orejas de punta…tendremos que ver si ese contenido es móvil, es decir, si se mueve dentro del conducto, si es un conducto o varios y sobre todo, debemos estar muy atentas para ver si ese contenido que pudiera ocupar ese conducto es nodular, si así lo fuere podríamos estar delante de otra patología muy importante dentro de la ecografía de mama que es el Papiloma.
El hallazgo de la ectasia ductal no tiene que estar en relación directa con la telorrea. Me explico, la paciente puede tener una ectasia ductal, pero puede no tener telorrea. Por otra parte, la telorrea puede obedecer a diferentes tipos de causas, la mayoría benignas. La telorragia por su parte es motivo de alarma en mujeres y deber ser consultado a la especialista. La secreción mamaria a través del pezón puede ser por un orificio o por varios.
Estos hallazgos suelen ser habituales, no discrimina por edad, es decir, lo encontramos en mujeres de todas la edades, incluso ancianas, eso sí, es habitual que la paciente haya dado el pecho en alguna ocasión a lo largo de su vida.
Cuando la paciente consulta por alguno de los hallazgos descritos brevísimamente en párrafos superiores se le pedirán pruebas diagnósticas a criterio de la médico que la atienda, en lo que se refiere a las peticiones que llegan a radiología, serán pruebas de mamografía y/o ecografía siempre en función de la edad de la paciente, aunque una vez en rayos será la radióloga la encargada de definir concretamente cual es la prueba más adecuada, que en muchas ocasiones pueden ser ambas, mamografía y ecografía y podrían ser complementadas por galactografía (en desuso) y RMN de mama, eventualmente pruebas invasivas ecoguiadas.
Después de toda esta parrafada toca ver imágenes, no son fáciles, pero son tan importantes que debemos conocerlas perfectamente.
En la imagen 1 vas a ver una anatomía donde la región retroareolar no muestra hallazgos significativos, es decir, no hay conductos visibles. Sería la normalidad.

En la imagen 2 observa como ves los conductos, estos son numerosos y anecoicos, llamativa y marcadamente negros todo ellos sin excepción. Ectasia ductal, que si es en ambas mamas, será bilateral, que es lo normal.

En la imagen 3 puedes ver conductos dilatados y donde puedes ver algunos anecoicos y otros ecogénicos, estos últimos marcados con flechas rojas igual que en la imagen 4. Ojo siempre a estos hallazgos.

En la imagen 4 observas un conducto con contenido ecogénico que ocupa gran parte de ese conducto, a tramos, sin evidencia de contenido ecogénico nodular. Es muy importante aportar el dato de que el contenido ecogénico es móvil o no, puede ayudar a la radióloga.

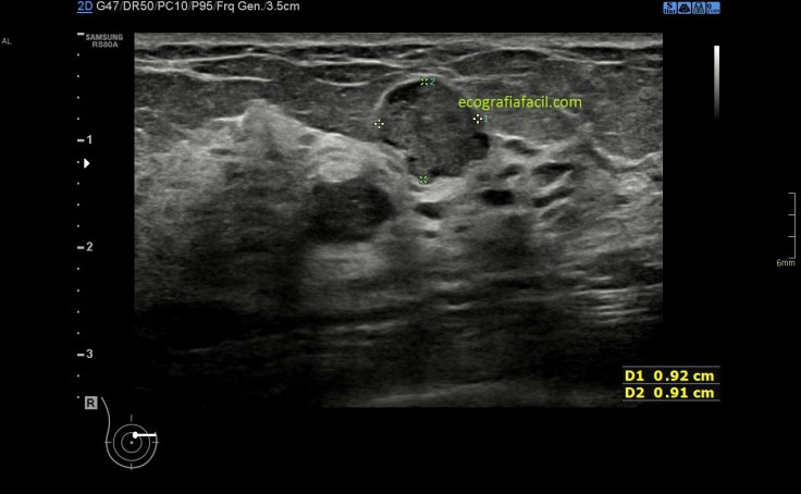
En la imagen 5 ves un conducto anecoico y como en su interior aparece una estructura hiperecogénica y nodular que no se mueve y que se puede estudiar en ambos planos, transverso y longitudinal y que ante tal hallazgo es medido y se le comprueba la presencia de vascularización, consideración que puedes ver en la 6,7 y 8. La flecha blanca indica normalidad.

Finalmente, en la imagen 6,7 y 8 puedes ver como un lesión nodular de grandes dimensiones ha crecido dentro de un conducto, al extremo de apreciarse la imagen nodular y no el conducto dilatado. Puedes ver que un gran contenido ecogénico ha crecido, que aún hay respetado en el ducto parte líquida, representada mínimamente por la parte anecoica del conjunto estudiado.



Ante los hallazgos de la imagen 5 y 6 la radióloga puede ampliar el estudio con punción guiada con ecografía que eventualmente y a su criterio puede ser PAAF, BAG o BAV. Punción con aguja fina, gruesa o con aguja de vacio, respectivamente. Es una decisión exclusiva de la radióloga.
Como siempre, la Anatomía Patológica determinará la naturaleza benigna o maligna de la lesión mamaria, esto determinará obviamente el tratamiento.
He comentado antes que en ocasiones se le puede realizar a una paciente una galactografía, sobre todo cuando la secreción es por un solo conducto, y además sanguinolenta, pero es decisión de las doctoras, como ya he comentado. Esta prueba es la Galactografía, antes era muy habitual su realización, cada día más en desuso, te dejo la imagen 9 para que aprecies la belleza de esta técnica donde se usa un contraste que se inyecta previa canalización del agujero correspondiente al conducto que tiene la secreción, usando el mamógrafo para esta técnica.


Imagen 9 e imagen 10 son dos técnicas diferentes, que guardan una correlación muy evidente en la representación de los conductos galactóforos que van a buscar el pezón.
Puedes repasar todas las entradas de este Blog en el índice.
Hola Verano, tengo ganas de tenerte delante…Gracias por estas noches de calor que me acompaña en este buscado…insomnio mientras suena…Jardines de Marzo, La Bien Querida.
Muchas gracias por compartir tus conocimientos, las ectasias ductuales son un tema muy interesante
Me gustaMe gusta