256. Lipoma Intramuscular del Músculo Romboides.

El caso que te traigo hoy no es nada espectacular, ni siquiera es bonito estéticamente, pero me enseñó anatomía que en mi caso no conocía y te lo enseño por esto en este breve post de primeros de Julio, no tengo sueño…

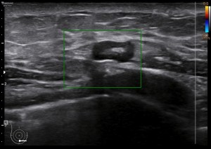
El paciente viene por un bulto en la parte derecha de la espalda, en la región paradorsal alta. Con una sonda de alta frecuencia accedo a la región, que era palpable. Lo primero que observo es que la transmisión del paciente no es buena, esto que a veces pasa que encuentras pacientes, que no sé explicar el motivo, no transmiten bien.

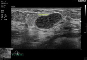
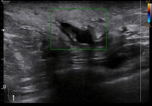
Me da para observar que en la zona de palpación encuentro, profundo en la imagen, un formación hiperecogénica, que está dentro de un músculo. Antes de detallar los hallazgos de la imagen lo que quise fue reconocer bien la anatomía. La piel y el tejido celular subcutánea era muy fácil, también saber que esta anatomía superficial estaba intacta y que la lesión estaba intramuscular, pero me encontraba dos planos musculares, uno superficial, el otro profundo, el profundo con la lesión.

Me tuve que ir al atlas de anatomía para saber cuál era el músculo que estaba debajo del músculo trapecio, que tenía claro que era el superficial. Bien, el músculo que ocupaba el segundo plano en profundidad era el músculo Romboides, que te enlazo para que sepas más de su posición y función.

Después de comprender la anatomía todo fue más fácil.

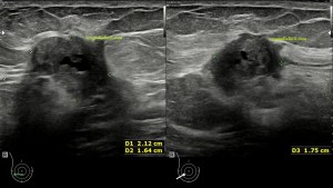
El protocolo es el típico, cortes en eje corto y largo, con doppler, para comprobar vascularización, como línea roja del lipoma. Imágenes 3,4 y 6.

Después con la radióloga, hicimos una imágenes con «panoramic view» que te dan un detalle de las anatomía con respecto del lado contralateral, sano. Imagen 1.

La lesión era ovalada, hiperecogénica, ocupaba gran parte del músculo, pero respetaba parte de este, que era hipoecogénico (imagen 5), recuerda que así es por definición y que ésta ecogenicidad del músculo es referencia para el resto de ecogenicidades del aparato locomotor. Como te he contado, no había doppler color ni en modo angio.

1
2
3
4
5
6

La actitud terapéutica con estas lesiones puede llegar a la extirpación del mismo. En este caso al paciente se le cita para ampliar el estudio.


Si quieres Eco Fácil de la Editorial Marbán escrito por mi, te enlazo aquí.

Contenido del libro para que lo puedas ojear si lo deseas.

Puedes visitar marbanlibros.com para más info. Te lo envían por correo certificado a tu ciudad o país.


Te necesito, Mediterráneo, te necesito mucho…

 

255. Sarcoidosis Esplénica

Hola, muy buena madrugada, hoy os traigo un caso que se me ha presentado esta semana. Competía con una vesícula doble de una bebé vista de forma antenatal y que se confirmó al nacimiento, pero al final con un poco de ayuda nos hemos decantado por la opción favorita, que era ésta.

En este caso la paciente llega a la sala con una petición de su urólogo para descartar un problema renal. Al llegar al riñón izquierdo y hacer un recorrido, percibo que el bazo tiene un aspecto muy heterogéneo, y al finalizar el estudio encomendado, volví al bazo y encontré una ecoestructura alterada ecográficamente, heterogénea con gran cantidad de imágenes hiperecogénicas que llenaban todo el órgano.

Tras ver las imágenes vas a comprobar como la estructura está dañada, pero primero quiero que veas como se ve una ecografía normal del bazo, ecoestructura que, si estás empezando se resiste, su ubicación en el abdomen, protegido por las costillas, cercano al ángulo esplénico del colon, hace que sea complicado, ten paciencia, solo con esto conseguirás estudiarlo bien, es cuestión de técnica.

Estas dos imágenes superiores son la normalidad. Corte axial y longitudinal del Bazo. Homogéneo, sin lesiones, grande sin llegar a la esplenomegalia. Bazo de libro.

Toca ahora ver las imágenes patológicas:

Observas, semiólogicamente hablando, un bazo con una gran cantidad de lesiones ocupantes de espacio, hiperecogénicas que afectan a toda la ecoestructura. Doppler normal.

La Sarcoidosis  o enfermedad de Besnier-Boeck es una enfermedad que afecta raramente de forma exclusiva al Bazo. Es una enfermedad granulomatosa no caseificante, en otras palabras, es una patología que masas mas o menos esféricas de células que proliferan cuando el sistema inmunitario detecta una amenaza (granulomas), y que además es una reacción de tipo autoinmune, de carácter inflamatorio, no necrótico, es decir, no implica «destrucción titular».

Es una enfermedad que suele afectar a los pulmones y a los ganglios línfáticos, repito, su presentación exclusiva en el bazo es rarísima.

Este caso que te presento ya había debutado en otras localizaciones, no afectaba únicamente al bazo, una vez revisada la historia clínica de la paciente, el radiólogo me comentó que la afección era ya conocida, aunque el hecho de verlo en el bazo, era un hallazgo no filiado hasta este momento.

Compara normalidad y patología. Cuando vi este bazo me asusté, pensé que era otra cosa y avisé al radiólogo inmediatamente, saltaron mis alarmas, pero finalmente se comprobó que la sarcoidosis ya era conocida y que mi miedo era infundado. Siempre que veamos anormalidad, debemos tener en cuenta las líneas rojas, lesiones nodulares sólida ocupantes de espacio en órganos compactos del abdomen, pueden ser una de estas líneas rojas y estas deben ser comentadas siempre con el radiólogo responsable.


Con este Post se termina de forma regular este curso, durante el verano el blog permanecerá activo, de forma algo más irregular, seguiré subiendo post, pero más relajadamente, o no…espero también poder subir alguna colaboración en forma de post de algun@ de l@s colaborador@s habituales…ojalá. Las 3:38, desde donde «no existe el verano…» Buenas noches.


Si quieres Eco Fácil de la Editorial Marbán escrito por mi, te enlazo aquí.

Contenido del libro para que lo puedas ojear si lo deseas.

Puedes visitar marbanlibros.com para más info. Te lo envían por correo certificado a tu ciudad o país.


«Átomos dispersos», Miss Cafeina, me super encanta.

254. Muñeca de bebé. Enfermedad de De Quervain

Es muy habitual llegar que en la agenda de MSK haya citada una sospecha de Tendinosis de De Quervain.

Son pacientes que hacen movimientos repetitivos de pulgar por su trabajo o la práctica deportiva. Hay un caso muy especial, y te lo presento hoy, es el caso de la «muñeca de bebé» muy típicas en madres con bebés recién nacidos debido a la abducción mantenida del pulgar en el sustento de la cabeza del recién nacido…en todos esto casos se puede provocar un aumento en el grosor del retináculo extensor de la muñeca que pudiera afectar al primer compartimento de la muñeca donde discurren, anatómicamente, el extensor corto del pulgar y el abductor largo del pulgar.

En las consultas de traumatología o fisioterapia, los pacientes son sometidos a la «maniobra de Finkelstein» que te enlazo para que la conozcas.

El estudio irá dirigido a la región donde la paciente nos indique que tiene el dolor, que suele ser a la altura la apófisis estiloides del Radio. Realizaremos cortes axiales y sagitales en dicha localización, prestando atención a la ecoestructura global del primer compartimento. Especial atención a tres ecoarquitecturas, los tendones, la vaina tendinosa que los envuelve y al retináculo, en orden de profundo a superficial.

Usaremos sondas de alta frecuencia, es conveniente estudiar todos los compartimentos de la región extensora de la muñeca.

La exploración no es complicada, debemos tener clara la anatomía y la normalidad, retináculo no engrosado, vaina sin líquido o con una mínima cantidad, tendones conservados, hiperecogénicos, ovalados, estos últimos con el edema pueden aumentar el tamaño y en algunos casos de patologías cronificadas volverse heterogéneos.

Imágenes:

1

La anatomía es muy importante. Esta es la disposición anatómica, a groso modo, nunca se me dio bien dibujarme a mi mismo…ECP y ALP, en rojo y hueco , músculo y tendón, con el retináculo (líneas discontinuas negras) y el nervio radial (azul) con sus bifurcaciones.

2

En la imagen 2, detalle en un corte axial de la disposición de ambos tendones en el compartimento 1, en rectángulo rojo, siendo el más volar el ALP. Colocación de sonda para corte axial, que nos ofrece esta imagen:

3

En esta imagen 3 ves un corte axial, o eje corto, del compartimento 1, donde no se objetiva correctamente el tabique separador de los tendones en la zona patológica, donde ves el retináculo engrosado, con líquido en la vaina, compara con la apariencia normal contralateral y almacena en tu memoria…

4

Correspondencia en eje largo al corte de la imagen 3, observa el abombamiento selectivo del retináculo. El tendón también grande respecto a la imagen contralateral. Te marco ambos tendones, para que observes el cambio de calibre.

5

Detalle del eje largo con patología marcada en amarillo, vaina con líquido (dista al retináculo), retináculo engrosado y tendón…pero el tendón te lo explico en la imagen 6, mira:

6

Aquí en la imagen 6 te muestro como es el tendón, sus dos porciones, según la afectación, donde puedes ver sus fibras conservadas (proximales) y afectas (distales). La afectas, heterogéneas, el tendón aquí aumenta su tamaño, por el edema, no pierdas detalle del retináculo, engrosad justo donde el tendón varía de ecogenicidad.

7

La membrana sinovial o vaina tendinosa (gracias María) está aumentada en su tamaño por el líquido que contiene, líquido denso, ecogénico, que rodea el tendón en este caso. Imagen 7.

Finalmente la imagen 8, con el Doppler, que demuestra actividad hiperémica en el retináculo engrosado, es la neovascularización que podemos objetivar en este tipo de patología, y que puedes ver en sus diferentes tipos de Doppler en el enlace que te te dejo aquí.

En los procesos reparativos del tejido existe hiperemia. En la angiogénesis o neovascularizaciones existe un aumento de aporte sanguíneo para reparar aquel tejido que está dañado. Esta angiogénesis o aumento de vascularización y por tanto Doppler podría ser secundario a un proceso de reparación mal gestionado por el tejido. Esta angiogénesis también podría estar en relación con aumentos del dolor en la zona y no significa que la patología cure antes. Gracias Javier, eres un faro en la oscuridad de mi conocimiento…que cada día es mayor…

En este caso el nervio radial no tenía afectación, si este estuviese afecto, tendríamos lo que se conoce como Enfermedad de Wartenberg, siendo esta afectación neuropática diagnóstico diferencial de la tenosinovitis de De Quervain, siendo difíciles de diferenciar. La afectación  debe ser valorada ecográficamente para discernir entre ambas figuras patológicas.

Por último te dejo este vídeo que he visto esta mañana, no hay casualidades en la vida, mientras preparaba este post que empecé ayer…


Si quieres Eco Fácil de la Editorial Marbán escrito por mi, te enlazo aquí.

Contenido del libro para que lo puedas ojear si lo deseas.

Puedes visitar marbanlibros.com para más info. Te lo envían por correo certificado a tu ciudad o país.


Hay momentos que creo que se me va de las manos…


253. Helix Calcificado.

Igual hasta te preguntas lo que es el Hélix. Igual te has tenido que ir a google a ver qué narices significa eso…Te explico, el Hélix es el borde del pabellón de la oreja externa.

Nunca había visto una petición para el estudio ecográfico de esta región. Pero el paciente llega a la sala con un volante de su médico que le pide una exploración de esta región por rigidez a ese nivel. El paciente me cuenta que la oreja, su pabellón auditivo, en el borde externo, no puede doblarse, que está muy duro y parece inflamado, que en ocasiones tiene picor. Visualmente me pareció, normal, pero al realizar la ecografía vi lo que luego te contaré.

Primero es esencial saber cómo se ve esta región de forma normal.

Es una zona difícil de explorar. el acceso lo haremos mediante lineal de alta frecuencia, la más alta que podamos usar. Podemos ir por acceso anterior o por el posterior, corte en eje corto y en eje largo.

Semiológicamente veremos en la normalidad como una zona anecoica lineal correspondiente al cartílago del pabellón auricular, bordeada por tejido graso, hiperecogénico. En realidad es bastante sencillo, mira:

1

En el caso de este paciente, presentaba una imagen hiperecogénica que ocupaba tanto el Hélix como el ante-hélix, con una sombra acústica posterior bastante llamativa, que podía justificar la rigidez. La imagen era muy llamativa. Mira:

2

En la imagen 2 puede ver claramente como la anatomía está modificada, el cartílago prácticamente no se visualiza porqué está completamente calcificado. Es una imagen lineal hiperecogénica, prácticamente bajo la piel, con una sombra posterior. El corte transverso, igual aspecto de calcificación:

3

En esta imagen 3 puedes ver la imagen calcificada en el Hélix y el cartílago conservado en antehélix. El caso era de difícil exploración por la orografía y la colocación de la sonda, pero la imagen es muy llamativa, sobre todo correlacionada con la palpación, pero mira que con esto lo vas a entender divinamente:

4

En la imagen 4 tienes la radiografía de la oreja donde puedes ver claramente la calcificación que ocupa parte importante del pabellón auricular. Con la radiografía se entiende todo mucho mejor porque es una patología que no suele verse muy habitualmente. La Rx simple clarificó el diagnóstico y ayudó a entender lo que se vio en la imagen ecográfica.

Consultado el Radiólogo que realizó el informe, me aporta que este tipo de patología pudiera tener origen traumático, calcificando un posible hematoma tras un golpe, el paciente me aseguró no tener antecedente traumático. También me comenta la posibilidad de ser de origen metabólico, aunque curiosamente me dijo que existe una gran cantidad de patología que pueden originar este curioso patrón ecográfico.


Si quieres Eco Fácil de la Editorial Marbán escrito por mi, te enlazo aquí.

Contenido del libro para que lo puedas ojear si lo deseas.

Puedes visitar marbanlibros.com para más info. Te lo envían por correo certificado a tu ciudad o país.


Estos fines de semana tan chulos…

252. Mastitis.

El caso que os traigo hoy es muy sencillo, es una mastitis. Vemos muchas en la sección de mama, pueden cursar con calor local, dolor, piel de naranja y fiebre. Las mastitis habitualmente son valoradas clínicamente y diagnosticadas sin necesidad de realizar ecografía de mama, pero en ocasiones, si el tratamiento farmacológico no funciona, hay que realizar ecografía para valorar posibles complicaciones como abcesos o lesiones tumorales subyacentes.

La clínica ya la conocemos, la semiología os la presento aquí. Ecográficamente la mastitis se ve como una zona donde el tejido varía la ecogenicidad, se vuelve más hiperecogénico, aumena su tamaño, incluso su vascularización. La piel se puede ver engrosada. El tejido mamario puede verse heterogéneo, simulando lesiones de otra índole, es decir, su aspecto puede ser variado.

Ecográficamente, encontraremos una zona afectada, de la manera descrita en el párrafo superior, y junto a ella, en una zona normal, sin afectación la semiología normal de la mama.

La paciente normalmente, durante la exploración puede sentir dolor, puede encontrarse incómoda o con malestar por la infección. Siempre tratamos con mucho mimo la zona afectada, y a la paciente, estando pendiente de sus reacciones e interesándonos por su situación. Tenemos que interesarnos por la descripción cronológica de lo sucedido, para poder contar a la radióloga y ofrecerle información extra, a parte, de la ecográfica.

Te presento una mastitis tipo, con un componente de resistencia al antibiótico, con lo que la paciente no mejoraba pese al tratamiento, además presentaba una colección con un tracto que abocaba en la superficie y drenaba líquido purulento a la superficie.

Imágenes:

1

2

3

4

5

6

La imagen 1 y la imagen 2 son normalidad con anatomía básica y semilogía patológica respectivamente. Compara amabas imágenes para darte cuenta de como cambia el tejido afecto por la mastitis en este caso. No olvides que hay otras patología que pueden afectar el tejido modificando su ecoestructura normal de forma similar.

En la imagen 3 puedes ver un absceso, complicación de una mastitis, cuyo aspecto es el de una colección anecoica, que si observas, quieres buscar la superficie de la piel. La imagen 4 y 5 es el estudio de la lesión en trasnverso u otro plano y el estudio doppler buscando posible vascularización a ese nivel.

En las mastitis, al ser procesos infecciosos, no es raro ver gánglios intramamarios aumentados de tamaño o reactivos que hayan perdido su centro graso. En este caso, en localización muy próxima. Observa el aspecto habitual en forma de judia con centro hiperecogénico graso y corteza hipoecogénica, imagen 4.

Bien, este caso tiene una particularidad que le hace especial. La paciente, previamente a esta mastitis, fue estudiada con intervencionismo en una lesión en esa misma localización. Uno de los riesgos comentados en el consentimiento informado que la paciente debe conocer y firmar tras la explicación de los mismos,  es la infección de la zona explorada. En este caso uno de los motivos que pudo provocar este efecto secundario fue la infección en la piel post intervencionismo, que pudo derivar en una mastitis.

La incisión en el intervencionismo es mínima, los campos estériles está cuidadosamente preparados, y los cuidados post intervención deben ser respetados. No tiene que haber compliaciones infecciosas.

Por el motivo que sea, en ocasiones, se pueden ver infecciones por falta de cuidado de la herida post punción o deberse a mastitis de origen yatrogénica. En este caso no se puede demostrar una relación, entre ambas causalidades, pero quería comentarte que es posible encontrar este tipo de patologías y que siempre debemos preguntar  a la paciente por los antecedentes previos a la situación que le han llevado a ser estudiada mediante ecografía.


Si quieres Eco Fácil de la Editorial Marbán escrito por mi, te enlazo aquí.

Contenido del libro para que lo puedas ojear si lo deseas.

Puedes visitar marbanlibros.com para más info. Te lo envían por correo certificado a tu ciudad o país.


Octubre 2022…

251. Triple Patología Vesicular.

He estado bastante aislado últimamente, el Atlético de Madrid ha salido campeón de Liga y he estado viviéndolo muy intensamente. Van flaqueando también las fuerzas de un año tremendamente intenso, pero espero mantener el ritmo de publicación en cada semana. Vienen nuevos proyectos muy bonitos, a medio-largo plazo, os gustará lo que os cuente de aquí en unas semanas…

En este breve post te voy a presentar unas imágenes muy bonitas de una vesícula, en una paciente que acude a la cita de ecografía por sospecha de patología a ese nivel, con molestias anodinas e inespecíficas en el contexto de un estudio de su especialista de digestivo.

Observa las imágenes y luego te explico los hallazgos:

1
2
3
4
5
6
7

Cuando hice el corte longitudinal de la vesícula pude ver hasta tres patologías distintas, una adeomiomatosis (sin artefacto en cola de cometa), una litiasis vesicular y barro biliar, 2,3 y 4 respectivamente.

El caso no tiene mucho que explicar a no ser por la rareza de que se presente triple la semiología patológica en una misma imagen. 

La adenomiomatosis, como un aumento de la ecogenicidad y el tamaño de la pared vesicular, la litiasis como una estructura hiperecogénica con sombra acústica posterior y el barro biliar, hiperecogénico rellenando toda la estructura ovoidea de la vesícula.

El cuello vesicular estaría afectado por la adenomiomatosis, el cuerpo por la litiasis y el barro ocuparía el fundas vesicular.

Para el estudio de la adenomiomatosis es obligado que el foco esté situado en la línea de interés, eso hará que las imágenes sean más nítidas y podamos estudiar dicha ecoarquitectura y su patología convenientemente.

Debemos observar si existiese líquido perivesicular, o signos de colecistitis. En este caso, la paciente, con estas tres patologías ya iba bien servida.

La anatomía locorregional es siempre importante, te dejo en la imagen 3 una muestra de aquella que es más importante para que intentes, en caso de que estés empezando, a reproducir dicha imagen. Ojo que la vesícula no suele estar colocada siempre tan bonita para que la veamos y hay que trabajársela, como truco, prueba a poner al paciente en decúbito lateral izquierdo.

La estructura y su patología se estudia en axial y longitudinal, se demuestra entonces los hallazgos que son confirmados por el radiólogo en su informe posterior.


Si quieres adquirir el libro Eco Fácil de la Editorial Marbán escrito por mi, te enlazo aquí.

Contenido del libro para que lo puedas ojear si lo deseas.

Puedes visitar marbanlibros.com para más info.


Ya está disponible con inscripciones abiertas el Nivel 2 del curso de Ecografía para TSIDyMN que hacemos de la mano de Setss. Toda la info e inscripción (fecha límite de inscripción 4 de JUNIO), aquí:

Curso teorico práctico de Ecografía. Nivel II


Si eres TSID y te gusta la ecografía o te dedicas a ella, te recomiendo que veas este debate:


Partido a Partido…

250. Ecografía de Tórax, Líneas A y B.

Llevaba tanto tiempo queriendo explicar esto…Hoy voy a tratar de explicarte de forma muy sencilla y sin meterme en muchos jardines, cómo debes ver un patrón aéreo normal en una exploración de tórax o en aquellas exploraciones donde el pulmón pueda ser valorado, por ejemplo en la ecografía de mama.

Lo primero que te voy a decir es que puedes usar varias sondas para esta técnica, vas a ver que en la mayoría de los artículos referente a este estudio del tórax, tan de moda hoy día por el Covid19, están realizadas con sondas de baja frecuencia, tanto cónvex como sectoriales. Yo te voy a recomendar usar sondas de alta frecuencia en la medida de lo posible o sondas de frecuencia intermedias, como pueden ser la microconvex pediátricas ya que te darán un plus de calidad en la imagen ya que su frecuencia es mayor, por tanto, su nitidez, también. Puedes verlo en las dos imágenes siguientes (Gracias al Dr. Antonio Pio Masciotra, Radiólogo,  por el consejo de comparar ambas sondas para poder mostrártelas).

Mira estas imágenes y verás que la sonda lineal te da más definición:

Líneas A con alta frecuencia

Líneas A con baja frecuencia

Como puedes ver la imagen mejora mucho la imagen con altas frecuencias, según mi experiencia, y por tanto mejora la capacidad de hacer hallazgos pequeños que pasarían desapercibidos con sondas de baja frecuencia. El equipo debe estar convenientemente ajustado y usaremos los presets indicados para este estudio. En mi caso, el favorito fue el de partes blandas y mama donde conseguí imágenes muy definidas como puedes ver a continuación…Por supuesto influye y mucho la calidad del equipo que estés usando, la imágenes superiores han sido conseguidas con un un equipo portátil, y las que verás a a partir de aquí con un un equipo «fijo» de gama media-alta. También a tener en cuenta las características del paciente a estudio. Diversos factores que te harán decantarte por una u otra opción, pero siempre que se pueda, entiendo que la alta frecuencia, mejora la detección de hallazgos.

Bueno, vamos a lío. ¿La pleura se puede estudiar con ecografía?. Es una pregunta complicada, como órgano medible o cuantificable con el caliper de nuestros equipos, la respuesta es no. La imagen hiperecogénica que ves entre los arcos costales y a la que denominamos erróneamente «Pleura» deslizándose, es un artefacto especular producido por la reflexión de más o menos de un 99% de los ecos que vuelven al transductor debido a la interfase tan potente resultante de la parte blanda de la pared torácica y el aire del pulmón.

El movimiento de esa línea hiperecogénica se conoce como Sliding pleural o Lung Sliding ( vídeo enlace a instagram). Se debe al desplazamiento de la pleura parietal y la visceral. Si este desplazamiento no se produjese, existirían figuras patológicas a valorar pertinentemente. Por tanto, la pleura, como tal, no es valorable, sí lo es los signos ecográficos que nos hablan de normalidad o no normalidad en esta localización.

Si el pulmón está aireado y sano vamos a ver esta imagen:

1. Líneas A

Líneas A. En la imagen 1 puedes ver la normalidad de un pulmón bien aireado en esa región explorada. La anatomía radiológica, la imagen hiperecogénica que asociamos a la pleura y los artefactos en espejo de las tres líneas A paralelas a la línea que hemos denominado «Pleura» y que tan solo es la primera de las líneas especulares, es decir, artefacto de espejo que se produce entre la pared torácica y el aire del pulmón.

Artefacto de espejo que explica estas líneas y porqué se producen:

Es un error en la lectura de los ecos de retorno, me explico, cuando el haz llega a la estructura y vuelven al transductor lo hacen apropiadamente, pero hay otra parte del haz que llega a la siguiente capa hiperecogénica, que devuelve ecos que chocan contra la parte posterior de la primera interfase hiperecogénica, estos ecos tardan más en llegar al transductor y por tanto hace que parezca que está más profundo, es para explicarlo muy básicamente, una doble lectura en tiempos distintos. En ecografía el tiempo de lectura equivale a profundidad, por tanto la segunda lectura del objeto será incongruente y ocasiona esta falsa imagen en planos profundos.

En conclusión, la líneas A son de NORMALIDAD. Son hiperecogénicas, lineales, paralelas  horizontalmente y equidistantes.

Si por el contrario, viésemos esta imagen…

2. Líneas B

Líneas B. Detalle.

Líneas B.Esta visualización del espacio intercostal indica Líneas B (flechas rosas), patología de diversa índole, normalmente, por la pérdida de la aireación normal en el contexto del síndrome intersticial y la presencia de tejido inflamatorio y/o líquido en esa región del pulmón que permite el paso de los trenes de ultrasonidos produciendo este tipo de imagen que es también otro artefacto, esta vez en cola de cometa.

Este artefacto aparece cuando el haz de ultrasonidos choca contra una interfase estrecha y muy ecogénica apareciendo detrás de esta interfase una serie de ecos lineales.

El aspecto de una línea B es lineal, perpendicular, hiperecogénica. Ojo, estas líneas pueden aparecer en «normalidad», pero cuando son únicas, cuando son 3 o más en un mismo espacio intercostal, deben saltarnos las alarmas, son una línea roja que debemos comunicar a la radióloga, para que eventualmente la paciente o el paciente se evaluado con otras técnicas.

En una zona donde hay Líneas B no puede haber Neumotórax.

Los hallazgos deben ser siempre estudiados individualmente, valorados siguiendo estrictos criterios médicos y siempre teniendo en cuenta que es una técnica cuyo uso es cada vez más extendido y que necesita más desarrollo e investigación.

Nota Importante: Las líneas A y B, además de aparecer en la pantalla tienen que cumplir una serie de requisitos para que sean consideradas como tales, como pueden ser en el caso de las líneas B, que aparezcan en un número por encima de 3 y que además esas líneas verticales lleguen hasta la profundidad de la pantalla.

5. Consolidaciones.

La imagen 5 pone fin a este post. En ella vemos una imagen claramente patológica en forma de «diente de sierra» típico de las consolidaciones (flecha Amarilla) que pueden aparecer en mayor o menor grado en función de la afectación pulmonar. Por supuesto, este patrón debe ser estudiado con otras técnicas. Como anécdota, esta imagen pertenece a una paciente afectada por Covid19 del que acababa de haber sido dada de alta y que había pasado leve…

Como anotación final debemos tener en consideración que para este estudio es importante mantener índices mecánicos bajos, por el riesgo existente de sangrados por cavitación, sobre todo en esta estructura donde existen microburbujas de gas, principalmente en en los alveolos. Para ellos debemos disminuir la potencia de transmisión, usando el criterio ALARA, siglas en inglés de tan bajo como sea posible.

Por tanto, debemos usar sondas de alta frecuencia y niveles tan bajos como sea posible de IM (sabemos que este índice elevado puede romper estas microburbujas) manteniendo siempre una imagen adecuada para diagnóstico para minimizar el riesgo de cavitación, sobre todo en la región que nos ocupa hoy. Gracias por el apunte, Profesor Javier Álvarez, responsable de Imagen del Grado de Fisioterapia de la Universidad Francisco de Vitoria de Madrid.


Si quieres adquirir el libro Eco Fácil de la Editorial Marbán escrito por mi, te enlazo aquí.

Contenido del libro para que lo puedas ojear si lo deseas.

Puedes visitar marbanlibros.com para más info. Te lo envían por correo certificado a tu ciudad o país.


Ya está disponible con inscripciones abiertas el Nivel 2 del curso de Ecografía para TSIDyMN que hacemos de la mano de Setss. Toda la info e inscripción, aquí:


Átomos dispersos, Miss Cafeína, en bucle…

249. Atrofia grasa de los Rectos Abdominales.

Después de la semana pasada que no hubo post, pasamos el fin de semana de curso entre Madrid e Italia, pero esta madrugada os presento un caso que me ha llamado muchísimo la atención esta semana y me encantó por su plasticidad. A veces, no todo es lo que parece…

El paciente acude a la cita con una petición de su médico generalista por un dudosa tumoración en mesogastrio izquierdo.

Dirigí el estudio a la pared abdominal y a los rectos anteriores. En este caso es muy importante conocer la anatomía regional. Os la enlazo para que la puedas estudiar, pero en resumidas cuentas debemos tener claro que esta musculatura abdominal anterior tiene 3 bloques bilaterales que ocupan epigastrio y mesogastrio y por debajo de la región umbilical otro bloque muscular que termina en la sínfisis púbica.

Durante la exploración se valoró la región de sospecha en mesogastrio izquierdo observando normalidad ecográfica, por contra, su lado contralateral me sorprendió presentándose como una estructura muscular anómala, hiperecogénica, atrófica con respecto al lado izquierdo.

Te explico con imágenes y de proximal a distal y comparando ambos lados para que tu puedas valorar, te enseño las imágenes y luego hacemos una conclusión.

1. Anatomía ecográfica

2. Epigastrio.

3. Mesogastrio.

4.Hipogastrio.

5

6

7

La imagen 1 es la ecografía anatómica que buscamos, los rectos anteriores a ambos lados de la imagen simétricos de aspecto hipoecogénico.

De la imagen 2 a 5 puedes ver los cuatro paquetes musculares pares que conforman la cara anterior del abdomen, lo que todos identificamos en esos cuerpos esculturales como la «tableta de chocolate». Cuando lo ecografiamos son igual de «sexys» si me permites la expresión, porque son muy bonitos, al ser simétricos su estudio es muy agradecido.

En la imagen 2 podemos ver el primer grupo muscular de los rectos abdominales donde ya observas como el lado derecho es ligeramente más pequeño que su lado izquierdo aunque la ecogenicidad es idéntica.

En la imagen 3, segundo grupo muscular, puedes ver como el lado izquierdo es normal y el derecho está completamente atrófico tanto ecográficamente, como visualmente, como al tacto, por tanto, la sospecha del médico no era más que la normalidad en el lado izquierdo y el aspecto atrófico del lado derecho.

En la imagen 4, correspondiente con el tercer grupo muscular, ambos músculos tienen semiología ecográfica similar a excepción de su tamaño, que es reducido en el lado derecho…

El último grupo muscular, imagen 5, alargado y que termina por insertar en la sínfisis púbica, es de aspecto rigurosamente normal, ecográficamente isoecogénico y simétrico de tamaño.

La imagen 6 y 7 es el detalle del segundo grupo muscular de los rectos anteriores para que observes las diferencias entre ambos y puedas valorar ambas semiologías.

En esta ocasión, lo destacable es que la normalidad era lo que a la palpación era sospechoso y que el lado derecho, que parecía normal a la exploración, era el patológico ecográficamente. Llama la atención como todo el grupo muscular derecho está disminuido de tamaño a expensas de una atrofia en el vientre del músculo, que se hace muy evidente en el segundo grupo muscular.


Si quieres adquirir el libro Eco Fácil de la Editorial Marbán escrito por mi, te enlazo aquí.

Contenido del libro para que lo puedas ojear si lo deseas.

Puedes visitar marbanlibros.com para más info.


Ya está disponible con inscripciones abiertas el Nivel 2 del curso de Ecografía para TSIDyMN que hacemos de la mano de Setss. Toda la info e inscripción, aquí:

Curso teorico práctico de Ecografía. Nivel II


La respuesta siempre será así…no hay alternativa…si la hubiera no me gustaría…(La Mujer de Verde, Izal)

248. Clasificación Bi-Rads.

Hace mucho tiempo que quería dedicar un Post a explicar  la clasificación Bi-Rads, pero en imágenes. Como es de todo el mundo sabido la clasificación Bi-Rads es la clasificación que usan las radiólogas para establecer una sospecha radiológica con respecto a la exploración que se realiza, habitualmente, mamografía, ecografía de mama o resonancia magnética de mama.

Aunque es habitual que una paciente sea explorada con mamo y eco, este post voy a dedicarlo a la parte ecográfica, por motivos obvios.

Voy a ir desgranando los diferentes grados de clasificación de esta escala, desde el 0 al 6 y en aquellos determinantes, voy a colocar una imagen explicativa, que obviamente y menos en un estudio como la mama, no es el hallazgo típico, es decir, que la cantidad de patología y semiología de ésta, en la mama es muy variada y varias lesiones, completamente distintas en su aspecto ecográfico pueden compartir misma clasificación.

Empezamos, que me enredo…

Clasificación por porcentajes de sospecha que te empiezo a desgranar en imágenes.

 

Birads 0: En estos casos lo habitual es que la radióloga necesite ampliar el estudio de la paciente por falta de información que pueda arrojar un diagnóstico, es una cosa así como que el estudio está incompleto. Comparara con previas, realización de otras técnicas ayudarán a poder llegar a ese diagnóstico.

Birads 1: Estudio negativo para malignidad, no se han encontrado hallazgos anormales en las exploraciones realizadas, por tanto el diagnóstico es de normalidad.

Birads 2: Existen hallazgos patológicos que la radióloga encuentra como hallazgos benignos, con confundir con normalidad, la exploración ha arrojado hallazgos patológicos, pero son benignos.

Quistes simples, fibroadenomas, lipomas mamarios o ganglios intramamarios son alguno de estos hallazgos.

Bi-RADS 2. Quiste simple.

Semiología habitual de los hallazgos benignos:

-Forma elíptica o ligeramente lobulada

-Más grande en eje transverso, es decir, que de derecha a izquierda son mayores que desde anterior a posterior.

Isoecoica o ligeramente hipoecogénica

-Buena transmisión de sonido

-Cápsula ecogénica delgada

-Sombras laterales finas

Birads 3: Benignidad en torno al 98% de posibilidades. Son hallazgos patológicos, que normalmente requieren revisión para confirmar estabilidad, dos años, periodo en el cual si la lesión no ha cambiado de aspecto, se rebajará el estadiaje a Birads 2.

Bi-RADS 3. Fibroadenoma.

Algunos nódulos sólidos podrían estar en este apartado clasificatorio.

Birads 4: La sospecha de malignidad en grados o niveles de sospecha. Aquí la radióloga entiende que la lesión que tiene la paciente es sospechosa para malignidad y la clasificará en un subgrupo según si esa sospecha es baja, intermedia o alta, y se clasifica así:

4A: Baja sospecha.

Bi-RADS 4A. Nódulo heterogéneo bilobulado.

4B. Sospecha intermedia.

Bi-RADS 4B Nódulo con vascularización.

4C: Alta sospecha sin llegar al nivel 5:

Bi-RADS 4C. Mala transmisión.

La radióloga pedirá las pruebas complementarias que considere oportuno hasta dirimir la naturaleza de la lesión o lesiones. Son habitualmente pruebas de índole intervencionista, habitualmente mediante BAG.

Semiología de aspecto maligno:

-Sombra posterior

-Aspecto hipoecogénico

-Espiculados

-Bordes irregulares

-Grueso halo ecogénico

Microlobulación

-Más alto que ancho

-Calcios

-Vascularización

La experiencia dice que lesiones clasificadas como 4A fueron malignas y que aquella cuya sospecha era alta, com 4C, finalmente fueron benignas, por eso la biopsia en estos casos es determinante.

Birads 5: Los hallazgos sugieren malignidad en porcentajes muy altos.

Bi-RADS 5. Heterogenicidad y bordes irregulares en el nódulo.

Birads 6: Malignidad confirmada. Cuando todas las pruebas realizadas, desembocan en un diagnóstico de malignidad apoyadas en pruebas de imagen, Mamo, Eco y RM y los resultados de anatomía patológica que habrá certificado dicha sospecha, confirmándola.

Bi-RADS 6. Altísima sospecha por irregularidad de bordes, defecto de transmisión, calcios internos…

En estudios de alta sospecha, la radióloga puede determinar realización de RMN de Mama con contraste endovenoso, en estos casos, además de confirmar la sospecha del nódulo por la captación y comportamiento de éste con el contraste, otros nódulos no vistos o sí, en eco y sin sospecha, pueden comportarse como si fueran malignos, es entonces cuando se realizará de nuevo la ecografía «second view» para localización y valoración de nuevo de este nódulo que no había levantado sospechas y que eventualmente se estudiará con BAG una vez haya sido localizado. En próximos post pondré un ejemplo de este tipo de reevaluaciones con un ejemplo con RMN y Eco.


Si quieres adquirir el libro Eco Fácil de la Editorial Marbán escrito por mi, te enlazo aquí.

Contenido del libro para que lo puedas ojear si lo deseas.

Puedes visitar marbanlibros.com para más info. Te lo envían por correo certificado a tu ciudad o país.


Adelante.

 

247. El Caballero Blanco.

Ya hacía tiempo que quería traeros este caso, con esas denominaciones curiosas de cuando aprendíamos, y que el otro día encontré en el estudio de una paciente y me encantó.

Era un nódulo hiperecogénico en el contexto de la tiroiditis en el estudio de una ecografía tiroidea.

Te enseño las imágenes, típicas de una exploración tiroidea de protocolo con semiología de tiroiditis.

Sabemos que nódulos hay muchos, María Leal nos lo explicó perfectamente en en Post 208 y cómo era su clasificación en el Ti-Rads.

Este nódulo que te presento hoy es uno de los que viste en ese post, pero con este nombre tan peculiar.

Mira las imágenes y luego te explico un poco, poco, porque no tiene mucho que explicar…

1

2

3

4

5

6

7

8

9

10

11

12

13

14

15

De la imagen 1 a 7 el protocolo habitual, el estudio particular del nódulo con medidas y aplicación del doppler demuestra el aspecto típico del Caballero Blanco.

De la 8 a la 11 estudio con Doppler.

La imagen 12 y 13 están adquiridas con una sonda de 18 Mhz.

En la 14 un ganglio reactivo con medidas respetadas.

El el 15 tienes un vídeo de un corte axial de El Caballero Blanco.

Resumen de las imágenes que has visto en el caso de hoy:

  1. Hipoecogenicidad del parénquima
  2. Heteroecogenicidad
  3. Múltiples nódulos hipoecoicos muy pequeños 
  4. Doppler Color y Doppler Power aumentado de tamaño en el nódulo

Este es el aspecto ecográfico descrito anteriormente de la patología que habitualmente puede albergar el nódulo del que trata hoy el post y que no es otra que la de la Tiroiditis de Hashimoto.

El Caballero blanco, recibe el nombre debido a su semiología hiperecogénica, homogénea y solitaria circunscrito en la patología referida con anterioridad, puede aparecer en esta patología de forma benigna o degenerar en otro tipo de patología a formas malignas como el linfoma tiroideo.


Si quieres adquirir el libro Eco Fácil de la Editorial Marbán escrito por mi, te enlazo aquí.

Contenido del libro para que lo puedas ojear si lo deseas.

Puedes visitar marbanlibros.com para más info.


Segunda edición del Curso Nacional de Ecografía. Info:

Abiertas las inscripciones.

Curso teorico práctico de Ecografía. Nivel I – 2ª Edición


Abril y yo nunca tuvimos mucho feeling…y es por algo…y llueve y no puedo con la lluvia…