Después de la semana pasada que no hubo post, pasamos el fin de semana de curso entre Madrid e Italia, pero esta madrugada os presento un caso que me ha llamado muchísimo la atención esta semana y me encantó por su plasticidad. A veces, no todo es lo que parece…
El paciente acude a la cita con una petición de su médico generalista por un dudosa tumoración en mesogastrio izquierdo.
Dirigí el estudio a la pared abdominal y a los rectos anteriores. En este caso es muy importante conocer la anatomía regional. Os la enlazo para que la puedas estudiar, pero en resumidas cuentas debemos tener claro que esta musculatura abdominal anterior tiene 3 bloques bilaterales que ocupan epigastrio y mesogastrio y por debajo de la región umbilical otro bloque muscular que termina en la sínfisis púbica.
Durante la exploración se valoró la región de sospecha en mesogastrio izquierdo observando normalidad ecográfica, por contra, su lado contralateral me sorprendió presentándose como una estructura muscular anómala, hiperecogénica, atrófica con respecto al lado izquierdo.
Te explico con imágenes y de proximal a distal y comparando ambos lados para que tu puedas valorar, te enseño las imágenes y luego hacemos una conclusión.







La imagen 1 es la ecografía anatómica que buscamos, los rectos anteriores a ambos lados de la imagen simétricos de aspecto hipoecogénico.
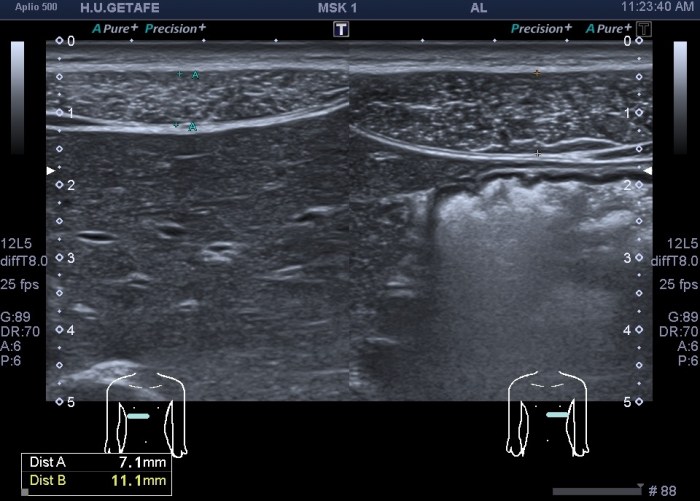
De la imagen 2 a 5 puedes ver los cuatro paquetes musculares pares que conforman la cara anterior del abdomen, lo que todos identificamos en esos cuerpos esculturales como la «tableta de chocolate». Cuando lo ecografiamos son igual de «sexys» si me permites la expresión, porque son muy bonitos, al ser simétricos su estudio es muy agradecido.
En la imagen 2 podemos ver el primer grupo muscular de los rectos abdominales donde ya observas como el lado derecho es ligeramente más pequeño que su lado izquierdo aunque la ecogenicidad es idéntica.
En la imagen 3, segundo grupo muscular, puedes ver como el lado izquierdo es normal y el derecho está completamente atrófico tanto ecográficamente, como visualmente, como al tacto, por tanto, la sospecha del médico no era más que la normalidad en el lado izquierdo y el aspecto atrófico del lado derecho.
En la imagen 4, correspondiente con el tercer grupo muscular, ambos músculos tienen semiología ecográfica similar a excepción de su tamaño, que es reducido en el lado derecho…
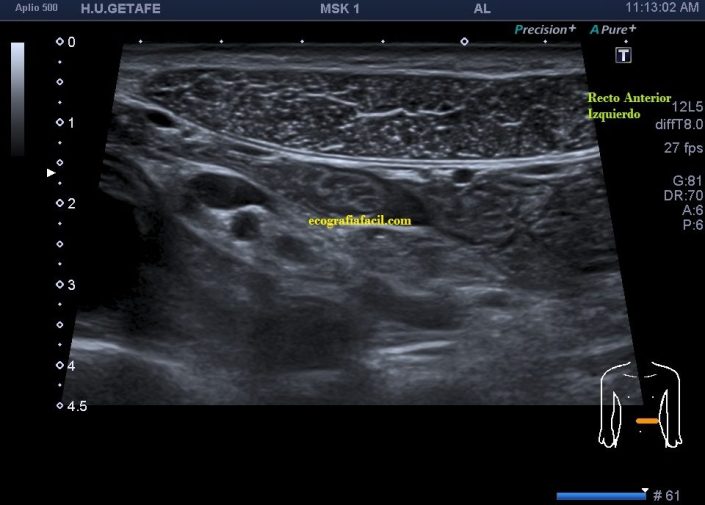
El último grupo muscular, imagen 5, alargado y que termina por insertar en la sínfisis púbica, es de aspecto rigurosamente normal, ecográficamente isoecogénico y simétrico de tamaño.
La imagen 6 y 7 es el detalle del segundo grupo muscular de los rectos anteriores para que observes las diferencias entre ambos y puedas valorar ambas semiologías.
En esta ocasión, lo destacable es que la normalidad era lo que a la palpación era sospechoso y que el lado derecho, que parecía normal a la exploración, era el patológico ecográficamente. Llama la atención como todo el grupo muscular derecho está disminuido de tamaño a expensas de una atrofia en el vientre del músculo, que se hace muy evidente en el segundo grupo muscular.
Si quieres adquirir el libro Eco Fácil de la Editorial Marbán escrito por mi, te enlazo aquí.
Contenido del libro para que lo puedas ojear si lo deseas.
Puedes visitar marbanlibros.com para más info.
Ya está disponible con inscripciones abiertas el Nivel 2 del curso de Ecografía para TSIDyMN que hacemos de la mano de Setss. Toda la info e inscripción, aquí:
La respuesta siempre será así…no hay alternativa…si la hubiera no me gustaría…(La Mujer de Verde, Izal)