Llevaba tanto tiempo queriendo explicar esto…Hoy voy a tratar de explicarte de forma muy sencilla y sin meterme en muchos jardines, cómo debes ver un patrón aéreo normal en una exploración de tórax o en aquellas exploraciones donde el pulmón pueda ser valorado, por ejemplo en la ecografía de mama.
Lo primero que te voy a decir es que puedes usar varias sondas para esta técnica, vas a ver que en la mayoría de los artículos referente a este estudio del tórax, tan de moda hoy día por el Covid19, están realizadas con sondas de baja frecuencia, tanto cónvex como sectoriales. Yo te voy a recomendar usar sondas de alta frecuencia en la medida de lo posible o sondas de frecuencia intermedias, como pueden ser la microconvex pediátricas ya que te darán un plus de calidad en la imagen ya que su frecuencia es mayor, por tanto, su nitidez, también. Puedes verlo en las dos imágenes siguientes (Gracias al Dr. Antonio Pio Masciotra, Radiólogo, por el consejo de comparar ambas sondas para poder mostrártelas).
Mira estas imágenes y verás que la sonda lineal te da más definición:


Como puedes ver la imagen mejora mucho la imagen con altas frecuencias, según mi experiencia, y por tanto mejora la capacidad de hacer hallazgos pequeños que pasarían desapercibidos con sondas de baja frecuencia. El equipo debe estar convenientemente ajustado y usaremos los presets indicados para este estudio. En mi caso, el favorito fue el de partes blandas y mama donde conseguí imágenes muy definidas como puedes ver a continuación…Por supuesto influye y mucho la calidad del equipo que estés usando, la imágenes superiores han sido conseguidas con un un equipo portátil, y las que verás a a partir de aquí con un un equipo «fijo» de gama media-alta. También a tener en cuenta las características del paciente a estudio. Diversos factores que te harán decantarte por una u otra opción, pero siempre que se pueda, entiendo que la alta frecuencia, mejora la detección de hallazgos.
Bueno, vamos a lío. ¿La pleura se puede estudiar con ecografía?. Es una pregunta complicada, como órgano medible o cuantificable con el caliper de nuestros equipos, la respuesta es no. La imagen hiperecogénica que ves entre los arcos costales y a la que denominamos erróneamente «Pleura» deslizándose, es un artefacto especular producido por la reflexión de más o menos de un 99% de los ecos que vuelven al transductor debido a la interfase tan potente resultante de la parte blanda de la pared torácica y el aire del pulmón.
El movimiento de esa línea hiperecogénica se conoce como Sliding pleural o Lung Sliding ( vídeo enlace a instagram). Se debe al desplazamiento de la pleura parietal y la visceral. Si este desplazamiento no se produjese, existirían figuras patológicas a valorar pertinentemente. Por tanto, la pleura, como tal, no es valorable, sí lo es los signos ecográficos que nos hablan de normalidad o no normalidad en esta localización.
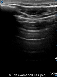
Si el pulmón está aireado y sano vamos a ver esta imagen:

Líneas A. En la imagen 1 puedes ver la normalidad de un pulmón bien aireado en esa región explorada. La anatomía radiológica, la imagen hiperecogénica que asociamos a la pleura y los artefactos en espejo de las tres líneas A paralelas a la línea que hemos denominado «Pleura» y que tan solo es la primera de las líneas especulares, es decir, artefacto de espejo que se produce entre la pared torácica y el aire del pulmón.
Artefacto de espejo que explica estas líneas y porqué se producen:
Es un error en la lectura de los ecos de retorno, me explico, cuando el haz llega a la estructura y vuelven al transductor lo hacen apropiadamente, pero hay otra parte del haz que llega a la siguiente capa hiperecogénica, que devuelve ecos que chocan contra la parte posterior de la primera interfase hiperecogénica, estos ecos tardan más en llegar al transductor y por tanto hace que parezca que está más profundo, es para explicarlo muy básicamente, una doble lectura en tiempos distintos. En ecografía el tiempo de lectura equivale a profundidad, por tanto la segunda lectura del objeto será incongruente y ocasiona esta falsa imagen en planos profundos.
En conclusión, la líneas A son de NORMALIDAD. Son hiperecogénicas, lineales, paralelas horizontalmente y equidistantes.
Si por el contrario, viésemos esta imagen…


Líneas B.Esta visualización del espacio intercostal indica Líneas B (flechas rosas), patología de diversa índole, normalmente, por la pérdida de la aireación normal en el contexto del síndrome intersticial y la presencia de tejido inflamatorio y/o líquido en esa región del pulmón que permite el paso de los trenes de ultrasonidos produciendo este tipo de imagen que es también otro artefacto, esta vez en cola de cometa.
Este artefacto aparece cuando el haz de ultrasonidos choca contra una interfase estrecha y muy ecogénica apareciendo detrás de esta interfase una serie de ecos lineales.
El aspecto de una línea B es lineal, perpendicular, hiperecogénica. Ojo, estas líneas pueden aparecer en «normalidad», pero cuando son únicas, cuando son 3 o más en un mismo espacio intercostal, deben saltarnos las alarmas, son una línea roja que debemos comunicar a la radióloga, para que eventualmente la paciente o el paciente se evaluado con otras técnicas.
En una zona donde hay Líneas B no puede haber Neumotórax.
Los hallazgos deben ser siempre estudiados individualmente, valorados siguiendo estrictos criterios médicos y siempre teniendo en cuenta que es una técnica cuyo uso es cada vez más extendido y que necesita más desarrollo e investigación.
Nota Importante: Las líneas A y B, además de aparecer en la pantalla tienen que cumplir una serie de requisitos para que sean consideradas como tales, como pueden ser en el caso de las líneas B, que aparezcan en un número por encima de 3 y que además esas líneas verticales lleguen hasta la profundidad de la pantalla.

La imagen 5 pone fin a este post. En ella vemos una imagen claramente patológica en forma de «diente de sierra» típico de las consolidaciones (flecha Amarilla) que pueden aparecer en mayor o menor grado en función de la afectación pulmonar. Por supuesto, este patrón debe ser estudiado con otras técnicas. Como anécdota, esta imagen pertenece a una paciente afectada por Covid19 del que acababa de haber sido dada de alta y que había pasado leve…
Como anotación final debemos tener en consideración que para este estudio es importante mantener índices mecánicos bajos, por el riesgo existente de sangrados por cavitación, sobre todo en esta estructura donde existen microburbujas de gas, principalmente en en los alveolos. Para ellos debemos disminuir la potencia de transmisión, usando el criterio ALARA, siglas en inglés de tan bajo como sea posible.
Por tanto, debemos usar sondas de alta frecuencia y niveles tan bajos como sea posible de IM (sabemos que este índice elevado puede romper estas microburbujas) manteniendo siempre una imagen adecuada para diagnóstico para minimizar el riesgo de cavitación, sobre todo en la región que nos ocupa hoy. Gracias por el apunte, Profesor Javier Álvarez, responsable de Imagen del Grado de Fisioterapia de la Universidad Francisco de Vitoria de Madrid.
Si quieres adquirir el libro Eco Fácil de la Editorial Marbán escrito por mi, te enlazo aquí.
Contenido del libro para que lo puedas ojear si lo deseas.
Puedes visitar marbanlibros.com para más info. Te lo envían por correo certificado a tu ciudad o país.

Ya está disponible con inscripciones abiertas el Nivel 2 del curso de Ecografía para TSIDyMN que hacemos de la mano de Setss. Toda la info e inscripción, aquí:
Átomos dispersos, Miss Cafeína, en bucle…
Muchas gracias Dr.
Siempre es bienvenido leer sus artículos.
Se aprende.
Siga Siempre con ese entusiasmo.
Me gustaMe gusta
Muchas gracias, pero no soy médico, solo soy un humilde TSID divulgador de la técnica que adoro.
Me gustaMe gusta
No se abre este correo agradezco reenvió
Me gustaMe gusta
Lo pudo ver?
Me gustaMe gusta