El caso que os traigo hoy es muy sencillo, es una mastitis. Vemos muchas en la sección de mama, pueden cursar con calor local, dolor, piel de naranja y fiebre. Las mastitis habitualmente son valoradas clínicamente y diagnosticadas sin necesidad de realizar ecografía de mama, pero en ocasiones, si el tratamiento farmacológico no funciona, hay que realizar ecografía para valorar posibles complicaciones como abcesos o lesiones tumorales subyacentes.
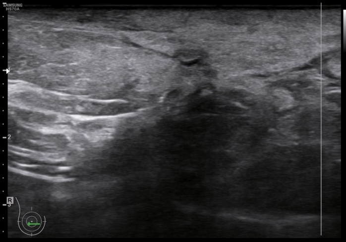
La clínica ya la conocemos, la semiología os la presento aquí. Ecográficamente la mastitis se ve como una zona donde el tejido varía la ecogenicidad, se vuelve más hiperecogénico, aumena su tamaño, incluso su vascularización. La piel se puede ver engrosada. El tejido mamario puede verse heterogéneo, simulando lesiones de otra índole, es decir, su aspecto puede ser variado.
Ecográficamente, encontraremos una zona afectada, de la manera descrita en el párrafo superior, y junto a ella, en una zona normal, sin afectación la semiología normal de la mama.
La paciente normalmente, durante la exploración puede sentir dolor, puede encontrarse incómoda o con malestar por la infección. Siempre tratamos con mucho mimo la zona afectada, y a la paciente, estando pendiente de sus reacciones e interesándonos por su situación. Tenemos que interesarnos por la descripción cronológica de lo sucedido, para poder contar a la radióloga y ofrecerle información extra, a parte, de la ecográfica.
Te presento una mastitis tipo, con un componente de resistencia al antibiótico, con lo que la paciente no mejoraba pese al tratamiento, además presentaba una colección con un tracto que abocaba en la superficie y drenaba líquido purulento a la superficie.
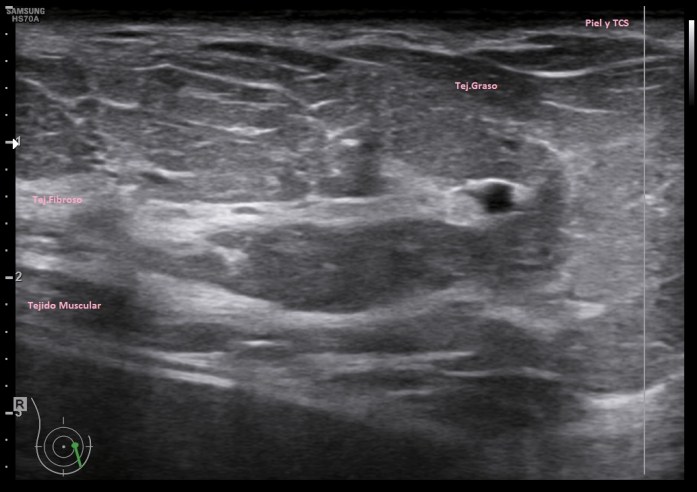
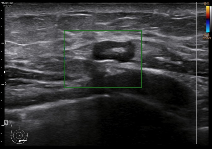
Imágenes:






La imagen 1 y la imagen 2 son normalidad con anatomía básica y semilogía patológica respectivamente. Compara amabas imágenes para darte cuenta de como cambia el tejido afecto por la mastitis en este caso. No olvides que hay otras patología que pueden afectar el tejido modificando su ecoestructura normal de forma similar.
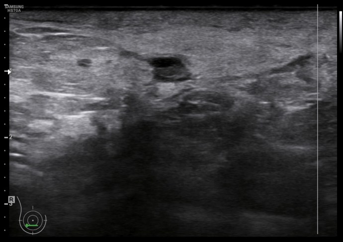
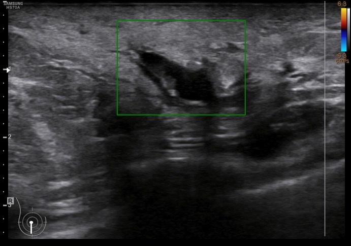
En la imagen 3 puedes ver un absceso, complicación de una mastitis, cuyo aspecto es el de una colección anecoica, que si observas, quieres buscar la superficie de la piel. La imagen 4 y 5 es el estudio de la lesión en trasnverso u otro plano y el estudio doppler buscando posible vascularización a ese nivel.
En las mastitis, al ser procesos infecciosos, no es raro ver gánglios intramamarios aumentados de tamaño o reactivos que hayan perdido su centro graso. En este caso, en localización muy próxima. Observa el aspecto habitual en forma de judia con centro hiperecogénico graso y corteza hipoecogénica, imagen 4.
Bien, este caso tiene una particularidad que le hace especial. La paciente, previamente a esta mastitis, fue estudiada con intervencionismo en una lesión en esa misma localización. Uno de los riesgos comentados en el consentimiento informado que la paciente debe conocer y firmar tras la explicación de los mismos, es la infección de la zona explorada. En este caso uno de los motivos que pudo provocar este efecto secundario fue la infección en la piel post intervencionismo, que pudo derivar en una mastitis.
La incisión en el intervencionismo es mínima, los campos estériles está cuidadosamente preparados, y los cuidados post intervención deben ser respetados. No tiene que haber compliaciones infecciosas.
Por el motivo que sea, en ocasiones, se pueden ver infecciones por falta de cuidado de la herida post punción o deberse a mastitis de origen yatrogénica. En este caso no se puede demostrar una relación, entre ambas causalidades, pero quería comentarte que es posible encontrar este tipo de patologías y que siempre debemos preguntar a la paciente por los antecedentes previos a la situación que le han llevado a ser estudiada mediante ecografía.
Si quieres Eco Fácil de la Editorial Marbán escrito por mi, te enlazo aquí.
Contenido del libro para que lo puedas ojear si lo deseas.
Puedes visitar marbanlibros.com para más info. Te lo envían por correo certificado a tu ciudad o país.

Octubre 2022…