Hola, muy buena madrugada, hoy os traigo un caso que se me ha presentado esta semana. Competía con una vesícula doble de una bebé vista de forma antenatal y que se confirmó al nacimiento, pero al final con un poco de ayuda nos hemos decantado por la opción favorita, que era ésta.
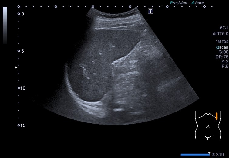
En este caso la paciente llega a la sala con una petición de su urólogo para descartar un problema renal. Al llegar al riñón izquierdo y hacer un recorrido, percibo que el bazo tiene un aspecto muy heterogéneo, y al finalizar el estudio encomendado, volví al bazo y encontré una ecoestructura alterada ecográficamente, heterogénea con gran cantidad de imágenes hiperecogénicas que llenaban todo el órgano.
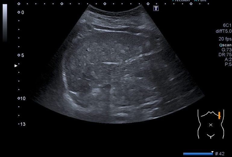
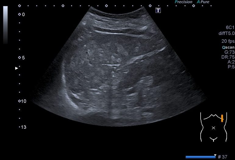
Tras ver las imágenes vas a comprobar como la estructura está dañada, pero primero quiero que veas como se ve una ecografía normal del bazo, ecoestructura que, si estás empezando se resiste, su ubicación en el abdomen, protegido por las costillas, cercano al ángulo esplénico del colon, hace que sea complicado, ten paciencia, solo con esto conseguirás estudiarlo bien, es cuestión de técnica.


Estas dos imágenes superiores son la normalidad. Corte axial y longitudinal del Bazo. Homogéneo, sin lesiones, grande sin llegar a la esplenomegalia. Bazo de libro.
Toca ahora ver las imágenes patológicas:





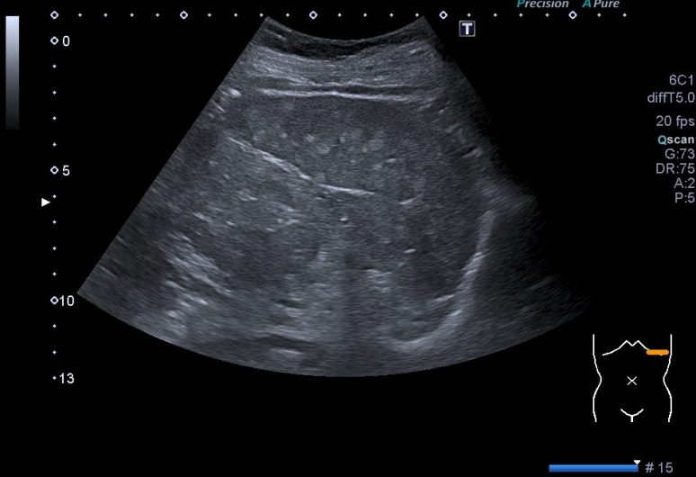
Observas, semiólogicamente hablando, un bazo con una gran cantidad de lesiones ocupantes de espacio, hiperecogénicas que afectan a toda la ecoestructura. Doppler normal.
La Sarcoidosis o enfermedad de Besnier-Boeck es una enfermedad que afecta raramente de forma exclusiva al Bazo. Es una enfermedad granulomatosa no caseificante, en otras palabras, es una patología que masas mas o menos esféricas de células que proliferan cuando el sistema inmunitario detecta una amenaza (granulomas), y que además es una reacción de tipo autoinmune, de carácter inflamatorio, no necrótico, es decir, no implica «destrucción titular».
Es una enfermedad que suele afectar a los pulmones y a los ganglios línfáticos, repito, su presentación exclusiva en el bazo es rarísima.
Este caso que te presento ya había debutado en otras localizaciones, no afectaba únicamente al bazo, una vez revisada la historia clínica de la paciente, el radiólogo me comentó que la afección era ya conocida, aunque el hecho de verlo en el bazo, era un hallazgo no filiado hasta este momento.
Compara normalidad y patología. Cuando vi este bazo me asusté, pensé que era otra cosa y avisé al radiólogo inmediatamente, saltaron mis alarmas, pero finalmente se comprobó que la sarcoidosis ya era conocida y que mi miedo era infundado. Siempre que veamos anormalidad, debemos tener en cuenta las líneas rojas, lesiones nodulares sólida ocupantes de espacio en órganos compactos del abdomen, pueden ser una de estas líneas rojas y estas deben ser comentadas siempre con el radiólogo responsable.
Con este Post se termina de forma regular este curso, durante el verano el blog permanecerá activo, de forma algo más irregular, seguiré subiendo post, pero más relajadamente, o no…espero también poder subir alguna colaboración en forma de post de algun@ de l@s colaborador@s habituales…ojalá. Las 3:38, desde donde «no existe el verano…» Buenas noches.
Si quieres Eco Fácil de la Editorial Marbán escrito por mi, te enlazo aquí.
Contenido del libro para que lo puedas ojear si lo deseas.
Puedes visitar marbanlibros.com para más info. Te lo envían por correo certificado a tu ciudad o país.

«Átomos dispersos», Miss Cafeina, me super encanta.