230. Tumor de Células Gigantes

Hoy es domingo, es tarde, pero toca post…En la serie de bultos que estás viendo en los últimos post de blog, a excepción de la última, toca hoy revisar uno de los tumores más habituales que solemos ver en la sala cuando a ella nos llegan bultos en la mano. Es el TCG o Tumor de Células Gigantes. 

Hoy vas a ver el caso de un paciente que acude por un bulto de largo tiempo de evolución en la región extensora del segundo dedo justo a la altura de la articulación interfalángica proximal. Acude a su médico al observar crecimiento lento y por el volumen, ligera incapacidad a la hora de flexionar y extender el dedo. Es indoloro, aunque por el tamaño, estira la piel, sin llegar a afectarla. Es blando a la palpación.

Exploración ecográfica:

1
2
3
4
5
6
7
8

Seguimos en este post a pies juntillas el protocolo en la exploración de bultos, localizar, estudiar, medir y vascularización. Aquí el protocolo se hace más que importante sobre todo en las imágenes de la 1 a la 4 ya que es vital, en estos casos donde las estructuras que participan del estudio son tan pequeñas, saber discernir bien las diferentes ecoestructuras implicadas. Es decir, la localización y el estudio pormenorizado, con la máxima calidad de imagen que podamos conseguir ajustando los parámetros técnicos que te he explicado tantas veces, en este caso fueron definitivos para la calidad del estudio.

El tendón extensor es una ecoestructura muy fina, que puede pasar desapercibida si no tenemos una alta calidad de imagen, en la imagen 4 lo tienes delimitado entre dos líneas rosas, por si en la imagen 3 te había costado situarlo, repito, fundamental en este estudio su caracterización.

La anatomía de la ecoestructura, sobre todo de la imagen 3 deja muy a las claras uno de los objetivos del estudio, que era valorar la independencia del tendón extensor del dedo respecto del tumor, es decir, que el tendón, hueso y piel estuviesen indemnes como así fue.

La ecoestructura tumoral era hiperecogénica, ovalada, heterogénea, con ligera presencia de líquido alrededor del tumor, tumor que no infiltraba anatomía colindante y  cuya que además poseía muy poca vascularización…

Cortes en eje corto y eje largo para poder hacer medidas, imágenes 5 y 6 y luego, el doppler, 7 y 8 donde se demostró mínima vascularización interna y dos «grandes» vasos laterales, arteriales.

El radiólogo después de estudiar las imágenes dictamina alta sospecha de Tumor de Células Gigantes sin necesidad de realizar pruebas a modo de ampliar el estudio, que suele ser RMN, que como digo, en este caso, no fue necesario.

Quiero poner en valor la importancia de colocar una buena capa de gel en este tipo de estudios y la no compresión del bultoma para no deformarlo y para poder leer correctamente su vascularización.


150. Índice del blog.


Cada quien tiene su celda…

 

229. Fractura cabeza de radio.

Hay veces que llegan casos a la sala que no te crees. Bien, este es uno de ellos. Te lo cuento ya que me parece precioso y ha sido a petición popular en el perfil de Instagram del blog. está enmarcado en el protocolo de codo.

Paciente varón de más de 40 años acude a la cita de ecografía muscular con un volante de su médico de familia con sospecha de epicondilitis. Antes de empezar la prueba me gusta siempre hacer un breve cuestionario al paciente, que me cuente que le ha pasado, qué, cómo y cuándo le duele (soy un poco cotilla, sí). En este caso el paciente refiere caída accidental desde una altura de medio metro mientras realizaba tareas de bricolaje casero. Me cuenta el paciente que estuvo un tiempo con un dolor intenso en el colo y en la cara antero externa del antebrazo, que tuvo un gran hematoma e impotencia funcional que trató con antiinflamatorios automedicándose, no paró actividad laboral. A la semana del incidente acude a su médico por los pinchazos en el epicódilo y la imposibilidad de hacer extensión completa del codo.

Comienzo la exploración habitual de Codo en cara anterior y en la imagen 1 ya lo que veo semiología no compatible con la normalidad de la ecoarquitectura. Me llamó mucho la atención la articulación del codo, donde el cartílago se observa de una manera muy distinta a esta imágen donde como ves, la flecha amarilla señala una anormal, irregular, disposición del espacio articular provocado por la presencia de líquido. La presencia de líquido en esta localización ya te puede hacer pensando que algo no va bien en esa articulación.

Estudié convenientemente la cara anterior del codo, con la anatomía de la ecoarquitectura que ves en imagen, conservada sin hallazgos significativos a excepción, como te comento, de la articulación.

1

Me dirigí inmediatamente a la segunda fase de la exploración del protocolo de codo, que siempre es el epicódilo y aquí me encontré lo que al apostre sería la causa de los hallazgos que te describo en este post. Inmediatamente me llamó la atención los cambios en la superficie ósea de la cabeza del radio en el corte longitudinal de la región donde debo ver, cabeza de radio, articulación y epicóndilo, como ves en la imagen número 2.

La flecha amarilla señala un defecto de continuidad en la cortical ósea de la cabeza del radio, en forma de cueva. Ya sabía que aquí no había una epicondilitis, mejor dicho, no había solo una epicondilitis…

2

En la imagen 3 te muestro detalladamente la articulación de la cabeza del radio con el epicóndilo y puedes ver, de nuevo como la articulación está ocupada por una moderada cantidad de contenido anecoico en relación con presencia de líquido articular. Se observa el cartílago articular del epicóndilo (hipoecogénico) delimitado por una línea hiperecogénica donde reposa el líquido articular, entre éste y la cortical curva del epicódilo.

3

En esta imagen número 4 quiero que te centres en el rectángulo amarillo y en el conjunto anatoecográfico que encierra, donde nada de lo que hay se corresponde con la semiología normal de la región. La cabeza del radio (CR), con la cortical alterada. El cóndilo humeral (CH) irregular, el origen del extensor común (OEC), que se muestra aumentado de tamaño, hipoecogénico y heterogéneo con signos claros de epicondilitis, que en este caso, también tenía el paciente. Finalmente la articulación (ART) comprometida por la presencia del líquido provocado por la fractura de la cabeza del radio.

4

Una de las imágenes más importantes del protocolo de codo es el corte longitudinal de la región posterior para el estudio de la inserción del tríceps en olécranon, pero no solo por esta inserción, me explico…una de las regiones que exploramos en este corte es la fosa olecraniana, que como puedes ver en la imagen es medial y profunda, hiperecogénica en situación normal y donde la presencia de líquido es signo inequívoco de patología locoregional. Además es uno de los objetivos que buscamos en este estudio y por eso siempre documentamos con esta imagen.

En la imagen 5 puedes ver este signo que te cuento, en el codo afectado y te pongo la imagen comparativa del lado contralateral para que veas cómo es normalidad y cómo es patología. Te marco la anatomía ecográfica, es una imagen muy bonita y fácil de ver, si vas a ver inserción aplica la técnica apropiada que te recomendé en el protocolo de codo en este post.

5

La imagen 6 es la misma zona, esta vez explorada en eje corto, la fosa olecraniana tal y como está excavada en la porción distal y posterior del húmero y estudiada en transverso. Los hallazgos corroboran los descritos en la imagen anterior y estudiada en eje largo.

6

Después de realizar todo el protocolo, en este post solo te enseño las regiones con semiología anormal, volví a la cabeza de radio, para explorarla detenidamente, y lo que hice es pedirle al paciente rotaciones de muñeca para poder ver como según se producía la rotación, la cabeza de radio variaba su posición y pude documentar cómo la fractura era mucho mayor según la posición que el paciente adoptaba.

En la imagen 7 ves una imagen donde la fractura es solo una pequeña falta de continuidad en la cortical, pero al rotar la muñeca puedes ver como en la imagen 8 la fractura es mucho mayor, además de ser multifocal en la cabeza de radio, como te señalan las flecha amarillas en esta imagen 8 que te estoy comentando ahora mismo.

Se observan fragmentos de fractura libres en la articulación y por supuesto se observa creación de hueso en relación con formación de callo de fractura, estamos hablando de una lesión de más de un mes de evolución sin ningún control traumatológico, solo farmacológico y además sin reposo.

7
8

La imagen 9 es comparativa, para que veas normalidad y patología en una misma foto. No solo es normalidad de la cortical del hueso, la fractura modifica el tejido adyacente al foco, lo inflama y lo vuelve heterogéneo, afectando notablemente en este caso a la ecoarquitectura de la articulación globalmente.

9

Una vez realizado el estudio busqué al radiólogo para comentarle los hallazgos y el caso, al observar las imágenes me pidió que le realizásemos una rx de codo ap y lateral ya que el paciente no tenía ninguna…el resultado fue el que esperábamos, y te lo muestro en la imagen número 10 donde ves como el hay al menos dos focos de fractura, y como además dicha fractura está desplazada hacia lateral.

El paciente fue remitido a la urgencia del hospital de forma inmediata para valoración por parte de la traumatóloga de guardia.


150. Índice.


No se me ocurre mejor manera de felicitarte la Navidad allí donde sea que estés leyendo este Post. Te deseo que tengas Salud y Paz en estas fiestas tan atípicas.

 Feliz Navidad y «que seas muy feliz».

228. Liposarcoma

Hace muy poco te presenté un Post, el 226, donde te hablaba de una lesión que se estudia muy habitualmente en ecografía y que es el Lipoma. Este es el tumor benigno de partes blandas más recurrente entre los bultomas que recibimos en las salas de ecografía. El caso que te presento este domingo soleado es la versión maligna del lipoma.

El paciente se presenta con una lesión tipo bulto en la región inguinal con una sospecha de su médico de familia de hernia inguinal. Al realizar este estudio, enseguida, el técnico que realiza la exploración se da cuenta que el patrón de comportamiento de la lesión no es la de una lesión herniaria aunque su aspecto pudiera parecerlo en un primer momento. Procede con el protocolo habitual de estudio para bultomas, localización, estudio, medida y vascularización, además, de maniobra de valsalva para descartar una hernia.

Ante la semiología ecográfica no compatible con la normalidad de la ecoestructura el técnico decide elevar consulta a la radióloga y ésta, tras revisar las imágenes que vas a ver a continuación, decide ampliar el estudio con CT.

1

Así en esta imagen podemos ver que tienen criterio ultrasonográfico de hernia inguinal, más raro, pero posible, de lipoma, el problema para la primera opción es que con la maniobra de valsalva la lesión era inmóvil. Cuando estudias una lesión no solo es importante la semiología, también su comportamiento y la relación que tiene con los tejidos adyacentes.

2

Toca ahora después de la localización y estudio, las medidas que arrojaban una lesión bastante grande.

3

Llamaba poderosamente la atención, fue la enorme calcificación con una potente sombra posterior que te indica la flecha rosa y que atesoraba esta lesión, refrendada a posteriori en el estudio de Ct como puedes ver en la imagen número 7.

4

En segundo término, la heterogenicidad global de la imagen, clave para el diagnóstico, la semiología tan llamativa de la ecoarquitectura.

5

Ahora, una de las piezas claves de este puzzle, que es la vascularización, sabemos que el lipoma no posee vascularización, en este caso, la lesión sí que tiene una vascularización, no demasiado evidente, pero demostrada y por tanto, siempre una línea roja en el estudio de los lipomas.

6

La anatomía ecográfica no deja lugar a dudas de la localización llegando muy cerca del testículo, ocupando el canal inguinal.

7

La lesión era bastante grande , ocupaba como ves en la imagen una parte importe del canal inguinal también en la imagen 7.

Se completa estudio con Ct ante las características de la lesión y la imagen que tenemos, muy llamativa, refrenda la presencia de una lesión en el canal inguinal que posee una gran calcificación.  En el CT se objetiva, imagen 7, una afectación ligeramente mayor a la estimada en el estudio ecográfico. La sospecha para la radióloga fue de lesión primaria de cordón inguinal compatible con Liposarcoma, a tenor de todos lo hallazgos en las dos pruebas, basándose principalmente en la heterogenicidad de la imagen, la calcificación y el comportamiento no compatible con hernia inguinal ni con la semiología típica del lipoma.

Es muy importante que tengamos en cuenta algunas características semiológicas que no debemos dejar pasar y de las que he hablado a lo largo de muchísimos post y que deben ser líneas rojas. Es decir, hallazgos que siempre deben hacernos sospechar de que las características de la lesión no son compatibles con benignidad en el contexto del estudio de los lipomas y son, repito una vez más:

Heterogenicidad de la imagen, vascularización de la lesión y comportamiento anómalo como puede ser su dureza y su crecimiento rápido.


150. Índice del Blog.


Quería dedicarte este Post a ti, Tere, allá donde estés…En la vida hay momentos donde uno pierde la química o la magia de aquello con lo que disfruta, cuando te conocí yo atravesaba una mala relación con la ecografía y tu apareciste impetuosa, enérgica y brillante para reconectarme con esta técnica que tanto me gusta, que tanto nos gustaba.

Tere era una bella persona, una gran mujer y una profesional excepcional, luchadora, abnegada y fuerte que luchó contra viento y marea por su profesión, que es la mía, TSID. Gracias Tere, por ser como tu eras, por tratarme así de bien siempre, fue una suerte inmensa encontrarte en esta vida y ser tu profe y sobre todo, tu compañero de profesión y amigo.

Dejas un hueco enorme, tan grande como tu eterna sonrisa, que brilla, ya en forma de una nueva estrella, sobre el cielo de tu querida Sevilla.

227. Quiste epidermoide.

Otra presentación de bultomas que estudiamos a diario en cualquier sala de ecografía muscular, son los conocidos quistes. Estos quistes pueden adoptar varias apariencias, una de ellas son las que se conocen como quistes epidermoides y tienes, como te he comentado, una amplia amalgama de aspectos ecográficos.

Pueden aparecer en cualquier localización de la anatomía humana, aunque tienen predilección por algunas.

En este post, mucho más corto que el del fin de semana pasado, no quiero aburrirte, vas a ver un caso. Una mujer octogenaria que presenta una tumoración palpable y superficial.

Aunque veas menos imágenes de lo habitual el protocolo de estudio siempre es igual, localización, medidas, vascularización.

Te pongo primero las imágenes:

1
2
3
4

Lo primero que quiero que tengas en cuenta es la localización del bulto, ves que es supersuperficial. Para estudiar este tipo de lesiones lo que debes hacer es tener una buena capa de gel sobre el tumor. Esto se hace con efecto de apoyar la sonda sobre el gel y no sobre la piel para no deformar la lesión, así que es muy importante la técnica y pericia de la operadora que esté ejecutando el estudio.

Lo segundo es localizarlo perfectamente en su ubicación, y ver a qué planos pertenece, si está tocando o no la estructuras que están a su alrededor. En el caso de esta lesión vemos que está en justo debajo de la piel, en el escaso espesor de tejido celular subcutáneo que existe en la región frontal, que es donde la mujer tenía este tumor.

Tercero y último. Ahora lo medimos y lo estudiamos ecográficamente, acotándolo. La semiología es importante, en este caso, el tumor tiene un aspecto hipoecogénico, pero en el centro es hiperecogénico, pero además, dentro de esta hiperecogenicidad existe un grado más de hiperecogenicidad perteneciente a una calcificación grosera. Sus bordes son definidos y con la salvedad de las zonas de calcio, el tumor transmite bien. Su aspecto es heterogéneo, no presenta vascularización, la que ves en la imagen es artefacto de aliasing provocado por el calcio de la lesión.

En estos casos donde el tumor está tan cerca del hueso hay que asegurarse de que éste está indemne. Se demuestra que la lesión no afecta al hueso y que está circunscrita al ámbito puramente subcutáneo.

El diagnóstico final por parte del radiólogo es de «quiste epidermoide», mal llamado sebáceo, es un quiste cutáneo benigno, de origen congénito o adquirido, que se origina a partir de la epidermis y que contiene queratina y no material sebáceo.

Para terminar una imagen curiosa, la misma paciente fue sometida a un TC de Cráneo poco tiempo después por patología que no viene al caso comentar, mira la imagen y lo que marca la flecha amarilla…no reconocí a la paciente, supe quien era cuando reconocí la lesión que semanas antes yo mismo le había estudiado y me acordé de lo que estuvimos hablando esa tarde…


150. Índice.


Con mal de altura, pero el camino marca una sola dirección. Y una dirección es mucho más que un resultado, de esto último no estoy nada convencido.

 

 

226. Lipomas.

De modo muy habitual, diría casi diariamente, nos llega alguna petición de algún paciente con un bulto en alguna región de su cuerpo con sospecha de lipoma por parte de su médico. Suelen ser descritos por el médico como bultoma blando no adherido a planos profundos y de medida variable, normalmente únicos aunque no es raro que sean múltiples.

La exploración suele ser muy sencilla, si de verdad es un lipoma. Con una sonda de alta frecuencia, aprovechando la superficialidad de la lesión, sin apretar demasiado la piel, con mucho gel, estudiaremos la región indicada por el paciente que corresponda con el bulto que se palpe.

Normalmente encontraremos una lesión bien definida, hiperecogénica o isoecogénica con los márgenes definidos, en ocasiones lobulados, pero casi siempre ovalados con su eje largo paralelo a la piel en el plano subcutáneo y sin vascularización. Así, mira:

1
2
3
4
5
6
7
8

La estructura que estamos estudiando en este Caso 1, en las imágenes 1 a 6, es el estudio de protocolo de cualquier lesión, localización (flechas rosas), medición, vascularización. La 7 te marca una situación habitual en el estudio de los lipomas, y es que la paciente se nota un bulto, pero en la misma exploración descubrimos más, como es la pequeña lesión hiperecogénica que está justo al lado de la lesión mayor y palpable. Algunos de ellos, repito, pueden ser imperceptibles para la paciente, como era este caso. La imagen 8 es otra lesión próxima que sí era palpable.

En este caso las lesiones son todas hiperecogénicas comparativamente con el tejido hipoecogénico de la grasa del tejido celular subcutáneo. Son más o menos ovaladas, su eje largo es paralelo a la piel, no tienen vascularización y tienen medidas distintas. El diagnóstico final fue de lipomas. La paciente tenía más en la extremidades.

Cuidado, estas lesiones pueden presentarse hipoecogénicas, en ocasiones es complicado encontrarlos y es el reborde el que nos marca la posición de la lesión.

Por otro lado es muy importante la vascularización y el crecimiento de la lesión, ya que estos tumores benignos ni tienen vascularización y su crecimiento es lento.

Pero los lipomas y sus presentaciones no son siempre tan amables, este tipo de lipomas que has visto en las imágenes anteriores son los fáciles, pero en ocasiones a la sala llegan bultos que son lipomas y revisten problemas interpretativos para el operador, ya sea TSID, radiólogo u otras especialidades muy ligadas a la ecografía de partes blandas o muscular, como son los fisioterapeutas.

Uno de estos problemas lo vemos en este Caso 2 que te planteo a continuación y puede ser el volumen de la lesión…cuando nosotros tenemos una lesión de gran tamaño, acotarlo para poder medirlo es complicado, en ocasiones necesitaremos «Panoramic View». Te presento este caso distinto del anterior, de un gran lipoma, de más de 10 centímetros que es inmedible si lo hacemos con la huella del transductor lineal que no supera los cinco centímetros. Al poner el transductor nos encontremos esto:

9

La imagen 9 en la cara posterior del hombro de una lesión que ya aparece enorme, hipoecogénica y homogénea, pero cortada por ambos lados porque con la sonda de alta frecuencia no nos da…¿qué tenemos que hacer?, usamos panoramic view si disponemos de esta función para tener esta imagen:

10

Cuando hacemos un recorrido sobre la lesión descubrimos que tiene casi 11 centímetros de eje largo. Al contrario de la imagen del caso anterior, vemos una imagen enorme, hipoecogénica o isoecogénica junto con la grasa del tejido celular subcutáneo, que puedes ver en este detalle anatomoecográfico:

11

La imagen marca la línea amarilla que es la fascia de separación entre el músculo y el tejido celular subcutáneo que me vale para enlazar con otro gran aspecto a tener en cuenta en el estudio de los lipomas, que es su situación. Cuando tenemos un lipoma es super importante saber si es subcutáneo o es intramuscular por que el manejo terapéutico y para eso quiero que te fijes en la imagen superior, si miras la línea amarilla, está marcando la separación entre TCS y Musculatura.

Si el lipoma está en el tejido celular subcutáneo estará por encima de esta línea amarilla, si es intramuscular, estará por debajo, de este modo debemos reconocer siempre las distintas semiologías del tejido superficial y estar muy pendientes de las fascias entre el tejido celular subcutáneo y el muscular, fácil de discernir, por otro lado en la mayoría de las ocasiones.

Si está por debajo, es decir, en el músculo como es en este Caso 3 que ves a continuación, la transmisión del sonido y la visualización del lipoma podrían serán peores, son los conocidos como lipomas intramusculares…mira el caso que te presento a continuación:

12
13
14
15

Como ves en este tercer caso del Post, es una mujer con un bulto en el brazo, en la localización que marcan las imágenes. El aspecto es hiperecogénico, respecto del músculo que lo envuelve que como muy bien sabes es hipoecogénico por definición. Los márgenes están marcados y definidos y el lipoma intramuscular está perfectamente localizable dentro del músculo. Su aspecto ecogénico es ligeramente heterogéneo. No tiene vascularización. Para ser un lipoma intramuscular se ve muy bien ya que está situado en una extremidad, como he mencionado anteriormente, en la cintura escapular o en paravertebrales que suelen ser habituales estos lipomas intramusculares, su visualización será un poco difícil, por la mala transmisión.

Observa la imagen 12 y 13, que son la misma, para que veas cómo se sitúa el lipoma dentro del músculo, y sus márgenes, luego para que veas la ecoanatomía de la imagen. El protocolo de estudio es el mismo siempre, localización, medición, vascularización.

Por último, el caso 4, imágenes 16 y 17, donde ves otro gran lipoma intramuscular, imágenes 16 y 17, en este caso paravertebral, de aspecto heterogéneo e hiperecogénico cuya vascularización es negativa, pero ecogénicamente transmite peor, como te he contado que suele ser habitual de este tipo de lipomas cuando se encuentra paravertebrales o regiones donde la musculatura es muy potente.

16
17

Observa en la imagen 17 como es la relación en este caso 4 de un lipoma intramuscular con las referencias de la ecoarquitectura de la región a estudio. La línea amarilla indica la fascia abombada que marca que el lipoma está por debajo de ella y por lo tanto es intramuscular.

Como conclusión, busca siempre documentar la localización, aspecto y márgenes, medidas y vascularización y la situación del lipoma.

La vascularización es muy importante, pierde el tiempo necesario en poner todos los doppler que tengas, sobre todo el doppler power, el diagnóstico diferencial entre tener o no tener vascularización (entre otros aspectos semiológicos) podría ser de un liposarcoma, maligno, y por tanto grave. Ojo, que es vital documentarlo para que la radióloga disponga de la información más minuciosa posible.


150. Índice del Blog.


Cerca de la cima siempre hay mil excusas para bajarse y una sola razón para subir.

225. Epitelioma calcificado de Malherbe o Pilomatrixoma.

Bueno, atendiendo a una de las peticiones de la última consulta que hice en el perfil de Instagram del Blog, te cuento esta lesión subcutánea que tengo almacenada desde 2015 esperando ver la luz…todo llega.

Cada vez más, vemos en las salas de ecografía pacientes que consultan por bultomas. Y quería hacer hincapié en esto, uno de los crecimientos más importantes en la ecografía se está produciendo dentro de especialidades como dermatología, donde con las nuevas sondas de alta frecuencia, se pueden explorar lesiones cutáneas con ecografía. Con avances como la elastografía y las nuevas técnicas, las nuevas sondas, el estudio de lesiones subcutáneas o dermatológicas es cada vez más habitual.

El caso de hoy es una niña que presenta una lesión en la cara externa de la pierna, en el tercio medio. Con la exploración ecográfica que realizamos con sonda de alta frecuencia encontramos esto:

Semiología: En zona de palpación, en el espesor de tejido celular subcutáneo, se aprecia una masa sólida, redondeada, de bordes bien definidos, con halo hipoecogénico periférico, heterogénea, de 1 centímetro en su eje largo, con algún punto ecogénico, y que con doppler color muestra algún vaso central que se objetiva también en el doppler power.

El protocolo de exploración es la de todas las lesiones ocupantes de espacio, localización, medida y estudio de la vascularización.

Siempre que tenemos que enfrentarnos a este tipo de lesiones subcutáneas debemos saber que tenemos que estar muy pendientes de determinados aspectos muy importantes desde el punto de vista de la semiología de la lesión como son la forma y el contorno de la lesión, si la lesión es homogénea o heterogénea, si existieran calcios y el tipo , bien microcalcificaciones o calcificaciones groseras.

Por otro lado, y en este tipo de lesiones que nos ocupa hoy, la presencia de un anillo periférico que sea hipoecogénico.

La vascularización que puede ser variable con lo cual puede ser un dato no definitivo.

En función de la lesión, la transmisión ecográfica de la misma o la aparición de una eventual sombra acústica posterior en función de lesiones que puedan calcificar en algún grado.

Pueden aparecer presentaciones atípicas de la lesión que estamos estudiando hoy, a valorar por el radiólogo y eventualmente por anatomía patológica ya que en un porcentaje, cada vez menor, el diagnóstico diferencial es complejo para el radiólogo y puede recomendar la extirpación de alguna lesión para que sea analizada directamente.

Por supuesto, y no es el caso que nos ocupa hoy, en lesiones neoplásicas malignas o implantes metastásicos, afectación del tejido adyacente de la lesión.

En post venideros os contaré otro tipo de lesiones subcutáneas, de facto, este será el primero de una miniserie dedicada a este tipo de lesiones bajo la piel.

El de hoy, y como conclusión, la lesión corresponde al conocido grupo de los pilomatricomas, pilomatrixomas o epiteliomas calcificantes de Malherbe. Este tipo de lesión es muy típica de pacientes pediátricos y adultos jóvenes, es una lesión benigna habitual en esta franja de edad. Suelen ser solitarios y su evolución puede derivar en una ulceración de la piel.

En la imagen siguientes ves otro ejemplo de pilomatrixoma, con un aspecto diferente:

Bien, quiero aprovechar esta imagen para pedirte que seas muy cuidadosa cuando realices la exploración de lesiones superficiales, vas a tener que esforzarte en adaptar todos los ajustes ecográficos posibles a la lesión que en ocasiones es muy pequeña. Este caso específicamente es una lesión que corresponde a otro pilomatrixoma, en una chico adolescente de catorce años, pero cuya localización era diferente del primero, periauricular (suele ser habitual), pero minúsculo, de apenas tres milímetros. Ojo con la presión que ejercemos para no influir en la vascularización de la lesión y no la deformemos (a la lesión).

Observa la anatomía de la ecoarquitectura donde esté insertada la lesión, para saber si depende de la musculatura, del tejido celular subcutáneo, de la piel o si quizá pueda estar afectando a diferentes capas. Algunas lesiones, como las que veremos más adelante requerirán de otro tipo de estudios por imagen, como por ejemplo, la RMN, pero eso será más adelante…


150. Índice del Blog.


Necesito ver la línea de meta…

223. Endometriosis

Tenía este caso guardado, hacía tiempo que quería subirlo, es el Post 223, pero este fin de semana es especial, es su momento.

Paciente mujer de 35 años diagnosticada de endometriosis ovárica. La paciente había tenido un parto por cesárea, desde hace tiempo tenía molestias a nivel de la cicatriz, últimamente más intensas y que eran más evidentes con los periodos menstruales.

Acude al médico por que hace unas semanas presenta un bultoma, en la región cicatricial, que aumenta sensiblemente de tamaño coincidiendo con la regla.

La exploración se lleva a cabo mediante una prestación de ecografía de partes blandas y se ejecuta con una sonda línea de alta frecuencia con preseteado de ecografía articular.

En cuanto la paciente me indicó su zona de dolor y pude el transductor observé una imagen mal definida que ocupaba la porción inferior del músculo recto abdominal derecho (coincidiendo con foco doloroso), se visualiza una lesión de ecogenicidad heterogénea (predominio hipoecogénico) con bordes irregulares de aproximadamente 2,5 cms en su eje más largo.

En este estudio, el estudio (perdón por la redundancia) contralateral no afectado es muy importante, diría yo, que una vez hecho el primer contacto con la lesión, lo primero es ir a comprobar la semiología del músculo y su ecoarquitectura normal. Encontramos en la zona contralateral sana un músculo de aspecto en “cielo estrellado”(punteado sobre fondo hiperecogénico) en el corte transverso y en forma de “penacho”(fibras alargadas hiperecogénicas sobre el fondo hipoecogénico de músculo) en longitudinal.

Globalmente la musculatura, en este caso es evidente, el músculo es una estructura hipoecogénica que cuando se contrae certifica esta semiología ya que cuando el músculo hace una contracción, su hipoecogenicidad aumenta. Puedes compararlo en cualquier músculo que tenga la capacidad de realizar una contracción isométrica que puedas provocar para estudiarlo con ecografía.

Una vez que tuve controlado el aspecto normal de músculo en la misma localización donde la paciente tenía el bulto, me dirigí a la región del bultoma y estudié la lesión, descrita con anterioridad, siguiendo el protocolo de actuación en caso de neoformaciones, control, medidas, doppler color y power y finalmente comparativa.
Semiológicamente es evidente una desestructura en el vientre muscular de recto anterior, que borra el aspecto normal del músculo y lo aumenta de tamaño aumentado su hipoecogenicidad. Los bordes son irregulares y de márgenes mal definidos.

1. Lesión
2. Lesión corte longitudinal
3. Medidas

 

4. Medidas

El estudio doppler arroja el hallazgo de un vaso importante que está alcanzando y nutriendo la región afectada. Puedes observar como es un vaso de alto flujo y de buen tamaño. No pude demostrar vascularización perimetral de la lesión.

5 Vascularización doppler color
6. Doppler power

La imagen final demuestra una visión panorámica de los rectos abdominales inferiores demostrando los hallazgos que te he ido explicando durante el post. En este caso me hizo falta utilizar una función del ecógrafo muy útil que es la “función dual”, donde he dividido a pantalla en dos y he podido comparar en una misma imagen tanto a normalidad como la zona patológica, con un considerable aumento de la resolución de la imagen y un aumento en la calidad global de esta tanto en corte transverso como en longitudinal. Esta función dual permite el estudio comparativo con doppler. Muy útil, aunque el almacenamiento masivo de imagen en el pacs hace que esta función haya caído paulatinamente en desuso.

7. Panoramic View
8. Comparativa eje corto
9. Comparativa eje largo

Estos hallazgos dado el contexto clínico sugieren foco de endometriosis. En este caso eran focos o implantes de endometriosis que tras la cirugía pudieron quedar diseminados por el tejido muscular.


150. Índice.


Hoy.

220. Luxación Tendón Bíceps

Hoy te traigo un breve post para este sábado después de la consulta de ayer en el perfil de instagram donde escogisteis que el post de hoy fuera sobre la eco MSK.

Es un post fácil, pero que me parece muy explicativo de una patología que de modo poco habitual podemos encontrar en la realización del protocolo de hombro.

Es la luxación del tendón del bíceps. Sabes que este tendón va siempre envuelto en su vaina, de hecho, de los que forman el manguito rotador, es el único que tiene vaina y además va protegido en la corredera bicipital.

Si tu lo quieres estudiar en un corte transverso o eje corto del tendón verás como muestra de normalidad la imagen número 1. Semiológicamente es muy agradecido. Ves el tendón ovalado, hiperecogénico reposado en la corredera bicipital. El ligamento transverso humeral, hiperecogénico y lineal, anterior a la estructura tendinosa que descansa en la corredera.

1. Normalidad

Vamos a partir de la normalidad y te vienes a ver ahora la patología que hoy nos ocupa, mira. En ocasiones podemos encontrarnos la imagen patológica que indica luxación del tendón, imagen 2.  Es un corte en Eje corto. Ves la corredera bicipital vacía, el tendón fuera de su localización habitual, hacia medial, como es habitual, pero conservando la ecoestructura.

2. Luxación del T.B. (Tendón del Bíceps)

La imagen número 3 corresponde al corte en eje largo, mucho cuidado, siempre que tengamos el tendón del bíceps luxado, este se irá hacia medial, por eso, en eje largo vamos a encontrar la ecoestructura ligeramente hacia la axila, hacia medial.

3. Eje largo.

Te lo digo siempre, mucho ojo con las estructuras tendinosas y la anisotropía, sobre todo la de este tendón que pese a estar luxado tiene su ecoarquitectura conservada, pero, en la imagen número 4 puedes ver la imagen del tendón con anisotropía en eje corto y te la pongo para que compares imagen 1 y 2 e imagen 4 y te des cuenta de cómo puede variar una estructura si no realizamos la técnica correctamente. Ojo con esto ya que podemos confundir a la radióloga a la hora de hacer el informe. Combatir la anisotropía es tarea exclusiva del operador

Te marco en la imagen 4 con una línea fina amarilla la corredera bicipital por si te había costado ver la relación con el tendón desplazado y que está indicado con la flecha amarilla, pero anisotrópico.

4. Anisotropía

Efectivamente, verás que bordeando el tendón existe una mínima cantidad de líquido que está envolviendo u ocupando la vaina del tendón, se ve anecoico y efectivamente es cierto, si lo has visto, enhorabuena, a parte de la luxación, esa es la otra semiología evidente que podemos ver en la imagen 2.

Este caso era evidente, pero qué pasa con eso casos ambíguos donde no sabemos bien si el tendón se encuentra en su posición correcta, o simplemente, queremos comprobar si la estabilidad del tendón es correcta.

Bien para eso haremos el estudio dinámico (vídeo explicativo) del tendón del bíceps, para eso nos pondremos en posición de estudio en eje corto del tendón del bíceps, buscando la imagen 1, la paciente debe tener colocado el brazo en una posición donde el eje largo del radio y el húmero formen 90º, con la palma de la mano hacia arriba, colocaremos nuestra mano libre sobre la cara anterior de la muñeca de la paciente y le pediremos que haga fuerza hacia arriba contra nuestra mano, oponiendo resistencia el explorador al movimiento que hemos solicitado, en ese momento, el tendón del bíceps, saldrá de su corredera bicipital si está inestable y volverá a ella cuando la paciente relaje anulando la acción solicitada. si el tendón no se mueve de sus sitio, no existe luxación o subluxación del mismo.

Te lo explico en este vídeo para que lo entiendas mejor, que las imágenes son mejor que mil palabras…

Importante, 90º en flexión del codo, colocación del transductor, en este caso, un mando a distancia, y la maniobra que indican las flechas (la roja el movimiento del paciente, la blanca la acción del operador, realizadas al mismo tiempo, sincronía entre paciente y operadora y todo esto, fijándonos en la pantalla.

Buena tarde de sábado. Al final 700 palabras…

 


150. Índice.


La respuesta siempre será así, no hay alternativa…

Izal.

217. Calcificación inserción del tendón pectoral.

En el capítulo anterior os conté un caso de unas calcificaciones en disposición poco habitual y siguiendo en esta línea, os cuento hoy otro hallazgo de esta misma semana donde he podido ver unas calcificaciones donde normalmente no se suelen ver.

El caso es de una mujer que acude por omalgia, en la exploración del tendón del bíceps no observo nada reseñable, pero en el recorrido exploratorio al llegar al lugar de inserción del pectoral, observo una imagen irregular, hiperecogénica con una ligera sombra posterior, indolora para la paciente durante el transcurso de la exploración.

En muchas ocasiones, sobre todo en los talleres de ecografía muscular, los alumnos me preguntan dónde debemos de dejar de explorar el tendón del bíceps incluido en el estudio del hombro, y este lugar (inserción del pectoral) referido en este post, es el final.

Cuando veamos la inserción del tendón pectoral en el surco intertubercular de la corredera bicipital, sabemos que si no hay ninguna alteración locorregional, es el final del estudio del bíceps.

Te recomiendo que lo hagas en eje corto para empezar, es más visible y te resultará más fácil.

Te pongo las imágenes para veas, valores y luego te las comento:

1
2
3
4
5

En la imagen número 1 ves normalidad, como siempre te digo, la normalidad como base para crecer, la imagen número 2 fue el hallazgo, y de verdad que lo fue, ya que aunque siempre lo miro nunca me encontré una imagen así y me sorprendió.

Observa la imagen 1 y la 2 para ver cómo tienes que ver el tendón, te lo marco con lineas amarillas para ayudarte si tienes dificultad para poder verlo ya que es una ecoestructura muy fina, por eso, cuando explores esta región, ten cuidado no vayas pasarla por alto.

La imagen 3 te explica todo, con referencia de anatomía de la región. Las líneas amarillas finas que marcan el hilo que es el tendón del pectoral llegando a su inserción en el húmero cortado en eje corto. El tendón tiene aspecto hiperecogénico. En la inserción, el calcio es hiperecogénico, irregular, si te fijas bien, a su alrededor el calcio provoca una pequeña reacción en el tejido y eso transforma la ecoarquitectura de este tejido perimetral,  donde la inserción está aumentada de tamaño y es hipoecogénica, rasgos semiológicos típicos de una entensopatía.

La imagen 4 es una imagen de la inserción, con su calcio en eje largo, donde la anatomía es menos explícita, pero en radiología siempre dos proyecciones. En esta imagen el calcio se muestra tiene una ecoestructura mucho más agreste si cabe.

Finalmente la imagen 5, con las medidas, lógicamente, estudiamos el calcio, como interviene en el lugar de inserción, como afecta al tendón, al hueso y su tamaño, forma y aspecto, eventualmente podemos poner el doppler color, lo hice, pero al no aportar información relevante no te la subo.

Por cierto, la paciente tenía calcios en todos los tendones que componen el protocolo de hombro. A valorar por parte de su especialista.


150. Índice.


Día 12, no tocaba hoy, pero es día 12…

216. Calcificaciones migradas.

Bien, voy a contaros hoy un caso muy interesante de una paciente que acudió a la consulta por dolor intenso en el hombro.

Para los médicos de atención primaria y otros especialistas o para los fisioterapeutas, el dolor de hombro, la omalgia, es un problema ya que el diagnóstico diferencial es amplio. Cada vez más se está sustituyendo la clásica Rx de Hombro por ecografía muscular para descartar patología. En este caso, fue así, realizamos primero la ecografía, pero posteriormente la radióloga pidió ampliar con rx de hombro.

Habitualmente en el protocolo de hombro podemos ver calcificaciones insercionales, entensopatías, en subescapular y en supraespinoso como localización habitual, en esta última localización son muy habituales calcificaciones groseras, incluso la tendinopatía calcificante.

En la paciente del caso que hoy nos ocupa existían calcificaciones, pero estas no se encontraban localizadas en su lugar habitual, con las imágenes lo vas a ver todo mejor…mira:

1
2
3
4

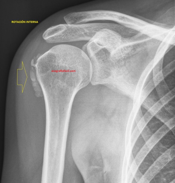
Has visto estas cuatro imágenes. La imagen 1 es la normalidad absoluta, la imagen 2 es una calcificación grosera con sobra acústica posterior en la porción media del supraespinoso en el corte transverso. En la imagen 3 y 4 puedes ver una calcificación en la región externa del hombro, es una localización poco habitual y la radióloga tras realizar la rx de hombro, como ves en la imagen 5 y 6, determinó  que las calcificaciones habían migrado desde su localización habitual en el supraespinoso, situándose entre el hueso y el deltoides (imagen 7).

Si observas, existen diferencias entre ambas calcificaciones, la más evidente desde el punto de vista semiológico es que hay calcificaciones que dejan una sombra posterior evidente, otras, como las que nos ocupan en este post, no tienen el artefacto de sombra posterior, esto es debido a las diferentes densidades de calcio y esto es muy habitual en la eco MSK. En la imagen 3, la sombra es muy sutil y se observa bajo la línea hiperecogénica del húmero (flecha grande y amarilla de la imagen 7).

5. Rotación Externa
6. Rotación interna

En la imagen 6 ves un conglomerado de calcios con la proyección interna, marcados por flecha amarilla fina, apenas visibles en la Rx en rotación externa, muy importante siempre ambas rotaciones cuando buscamos calcios.

Pero no hemos terminado, en la imagen 7, igual que la imagen 3, pero con detalles de anatomía de la ecoestructura a estudio, observas, marcado con una flecha amarilla pequeña, una calcificación también pequeña, pero mucho más densa y por tanto más hiperecogénica.

7

150. Índice.


Que como yo a veces sueño…