228. Liposarcoma

Hace muy poco te presenté un Post, el 226, donde te hablaba de una lesión que se estudia muy habitualmente en ecografía y que es el Lipoma. Este es el tumor benigno de partes blandas más recurrente entre los bultomas que recibimos en las salas de ecografía. El caso que te presento este domingo soleado es la versión maligna del lipoma.

El paciente se presenta con una lesión tipo bulto en la región inguinal con una sospecha de su médico de familia de hernia inguinal. Al realizar este estudio, enseguida, el técnico que realiza la exploración se da cuenta que el patrón de comportamiento de la lesión no es la de una lesión herniaria aunque su aspecto pudiera parecerlo en un primer momento. Procede con el protocolo habitual de estudio para bultomas, localización, estudio, medida y vascularización, además, de maniobra de valsalva para descartar una hernia.

Ante la semiología ecográfica no compatible con la normalidad de la ecoestructura el técnico decide elevar consulta a la radióloga y ésta, tras revisar las imágenes que vas a ver a continuación, decide ampliar el estudio con CT.

1

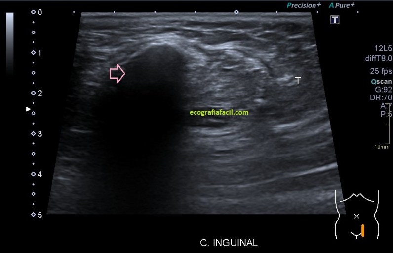
Así en esta imagen podemos ver que tienen criterio ultrasonográfico de hernia inguinal, más raro, pero posible, de lipoma, el problema para la primera opción es que con la maniobra de valsalva la lesión era inmóvil. Cuando estudias una lesión no solo es importante la semiología, también su comportamiento y la relación que tiene con los tejidos adyacentes.

2

Toca ahora después de la localización y estudio, las medidas que arrojaban una lesión bastante grande.

3

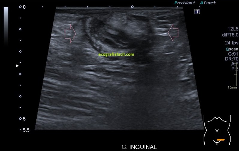
Llamaba poderosamente la atención, fue la enorme calcificación con una potente sombra posterior que te indica la flecha rosa y que atesoraba esta lesión, refrendada a posteriori en el estudio de Ct como puedes ver en la imagen número 7.

4

En segundo término, la heterogenicidad global de la imagen, clave para el diagnóstico, la semiología tan llamativa de la ecoarquitectura.

5

Ahora, una de las piezas claves de este puzzle, que es la vascularización, sabemos que el lipoma no posee vascularización, en este caso, la lesión sí que tiene una vascularización, no demasiado evidente, pero demostrada y por tanto, siempre una línea roja en el estudio de los lipomas.

6

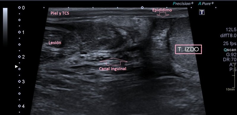
La anatomía ecográfica no deja lugar a dudas de la localización llegando muy cerca del testículo, ocupando el canal inguinal.

7

La lesión era bastante grande , ocupaba como ves en la imagen una parte importe del canal inguinal también en la imagen 7.

Se completa estudio con Ct ante las características de la lesión y la imagen que tenemos, muy llamativa, refrenda la presencia de una lesión en el canal inguinal que posee una gran calcificación.  En el CT se objetiva, imagen 7, una afectación ligeramente mayor a la estimada en el estudio ecográfico. La sospecha para la radióloga fue de lesión primaria de cordón inguinal compatible con Liposarcoma, a tenor de todos lo hallazgos en las dos pruebas, basándose principalmente en la heterogenicidad de la imagen, la calcificación y el comportamiento no compatible con hernia inguinal ni con la semiología típica del lipoma.

Es muy importante que tengamos en cuenta algunas características semiológicas que no debemos dejar pasar y de las que he hablado a lo largo de muchísimos post y que deben ser líneas rojas. Es decir, hallazgos que siempre deben hacernos sospechar de que las características de la lesión no son compatibles con benignidad en el contexto del estudio de los lipomas y son, repito una vez más:

Heterogenicidad de la imagen, vascularización de la lesión y comportamiento anómalo como puede ser su dureza y su crecimiento rápido.


150. Índice del Blog.


Quería dedicarte este Post a ti, Tere, allá donde estés…En la vida hay momentos donde uno pierde la química o la magia de aquello con lo que disfruta, cuando te conocí yo atravesaba una mala relación con la ecografía y tu apareciste impetuosa, enérgica y brillante para reconectarme con esta técnica que tanto me gusta, que tanto nos gustaba.

Tere era una bella persona, una gran mujer y una profesional excepcional, luchadora, abnegada y fuerte que luchó contra viento y marea por su profesión, que es la mía, TSID. Gracias Tere, por ser como tu eras, por tratarme así de bien siempre, fue una suerte inmensa encontrarte en esta vida y ser tu profe y sobre todo, tu compañero de profesión y amigo.

Dejas un hueco enorme, tan grande como tu eterna sonrisa, que brilla, ya en forma de una nueva estrella, sobre el cielo de tu querida Sevilla.

Deja un comentario