De modo muy habitual, diría casi diariamente, nos llega alguna petición de algún paciente con un bulto en alguna región de su cuerpo con sospecha de lipoma por parte de su médico. Suelen ser descritos por el médico como bultoma blando no adherido a planos profundos y de medida variable, normalmente únicos aunque no es raro que sean múltiples.
La exploración suele ser muy sencilla, si de verdad es un lipoma. Con una sonda de alta frecuencia, aprovechando la superficialidad de la lesión, sin apretar demasiado la piel, con mucho gel, estudiaremos la región indicada por el paciente que corresponda con el bulto que se palpe.
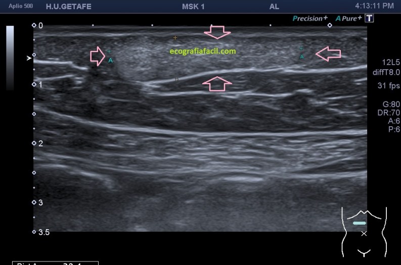
Normalmente encontraremos una lesión bien definida, hiperecogénica o isoecogénica con los márgenes definidos, en ocasiones lobulados, pero casi siempre ovalados con su eje largo paralelo a la piel en el plano subcutáneo y sin vascularización. Así, mira:








La estructura que estamos estudiando en este Caso 1, en las imágenes 1 a 6, es el estudio de protocolo de cualquier lesión, localización (flechas rosas), medición, vascularización. La 7 te marca una situación habitual en el estudio de los lipomas, y es que la paciente se nota un bulto, pero en la misma exploración descubrimos más, como es la pequeña lesión hiperecogénica que está justo al lado de la lesión mayor y palpable. Algunos de ellos, repito, pueden ser imperceptibles para la paciente, como era este caso. La imagen 8 es otra lesión próxima que sí era palpable.
En este caso las lesiones son todas hiperecogénicas comparativamente con el tejido hipoecogénico de la grasa del tejido celular subcutáneo. Son más o menos ovaladas, su eje largo es paralelo a la piel, no tienen vascularización y tienen medidas distintas. El diagnóstico final fue de lipomas. La paciente tenía más en la extremidades.
Cuidado, estas lesiones pueden presentarse hipoecogénicas, en ocasiones es complicado encontrarlos y es el reborde el que nos marca la posición de la lesión.
Por otro lado es muy importante la vascularización y el crecimiento de la lesión, ya que estos tumores benignos ni tienen vascularización y su crecimiento es lento.
Pero los lipomas y sus presentaciones no son siempre tan amables, este tipo de lipomas que has visto en las imágenes anteriores son los fáciles, pero en ocasiones a la sala llegan bultos que son lipomas y revisten problemas interpretativos para el operador, ya sea TSID, radiólogo u otras especialidades muy ligadas a la ecografía de partes blandas o muscular, como son los fisioterapeutas.
Uno de estos problemas lo vemos en este Caso 2 que te planteo a continuación y puede ser el volumen de la lesión…cuando nosotros tenemos una lesión de gran tamaño, acotarlo para poder medirlo es complicado, en ocasiones necesitaremos «Panoramic View». Te presento este caso distinto del anterior, de un gran lipoma, de más de 10 centímetros que es inmedible si lo hacemos con la huella del transductor lineal que no supera los cinco centímetros. Al poner el transductor nos encontremos esto:

La imagen 9 en la cara posterior del hombro de una lesión que ya aparece enorme, hipoecogénica y homogénea, pero cortada por ambos lados porque con la sonda de alta frecuencia no nos da…¿qué tenemos que hacer?, usamos panoramic view si disponemos de esta función para tener esta imagen:

Cuando hacemos un recorrido sobre la lesión descubrimos que tiene casi 11 centímetros de eje largo. Al contrario de la imagen del caso anterior, vemos una imagen enorme, hipoecogénica o isoecogénica junto con la grasa del tejido celular subcutáneo, que puedes ver en este detalle anatomoecográfico:

La imagen marca la línea amarilla que es la fascia de separación entre el músculo y el tejido celular subcutáneo que me vale para enlazar con otro gran aspecto a tener en cuenta en el estudio de los lipomas, que es su situación. Cuando tenemos un lipoma es super importante saber si es subcutáneo o es intramuscular por que el manejo terapéutico y para eso quiero que te fijes en la imagen superior, si miras la línea amarilla, está marcando la separación entre TCS y Musculatura.
Si el lipoma está en el tejido celular subcutáneo estará por encima de esta línea amarilla, si es intramuscular, estará por debajo, de este modo debemos reconocer siempre las distintas semiologías del tejido superficial y estar muy pendientes de las fascias entre el tejido celular subcutáneo y el muscular, fácil de discernir, por otro lado en la mayoría de las ocasiones.
Si está por debajo, es decir, en el músculo como es en este Caso 3 que ves a continuación, la transmisión del sonido y la visualización del lipoma podrían serán peores, son los conocidos como lipomas intramusculares…mira el caso que te presento a continuación:




Como ves en este tercer caso del Post, es una mujer con un bulto en el brazo, en la localización que marcan las imágenes. El aspecto es hiperecogénico, respecto del músculo que lo envuelve que como muy bien sabes es hipoecogénico por definición. Los márgenes están marcados y definidos y el lipoma intramuscular está perfectamente localizable dentro del músculo. Su aspecto ecogénico es ligeramente heterogéneo. No tiene vascularización. Para ser un lipoma intramuscular se ve muy bien ya que está situado en una extremidad, como he mencionado anteriormente, en la cintura escapular o en paravertebrales que suelen ser habituales estos lipomas intramusculares, su visualización será un poco difícil, por la mala transmisión.
Observa la imagen 12 y 13, que son la misma, para que veas cómo se sitúa el lipoma dentro del músculo, y sus márgenes, luego para que veas la ecoanatomía de la imagen. El protocolo de estudio es el mismo siempre, localización, medición, vascularización.
Por último, el caso 4, imágenes 16 y 17, donde ves otro gran lipoma intramuscular, imágenes 16 y 17, en este caso paravertebral, de aspecto heterogéneo e hiperecogénico cuya vascularización es negativa, pero ecogénicamente transmite peor, como te he contado que suele ser habitual de este tipo de lipomas cuando se encuentra paravertebrales o regiones donde la musculatura es muy potente.


Observa en la imagen 17 como es la relación en este caso 4 de un lipoma intramuscular con las referencias de la ecoarquitectura de la región a estudio. La línea amarilla indica la fascia abombada que marca que el lipoma está por debajo de ella y por lo tanto es intramuscular.
Como conclusión, busca siempre documentar la localización, aspecto y márgenes, medidas y vascularización y la situación del lipoma.
La vascularización es muy importante, pierde el tiempo necesario en poner todos los doppler que tengas, sobre todo el doppler power, el diagnóstico diferencial entre tener o no tener vascularización (entre otros aspectos semiológicos) podría ser de un liposarcoma, maligno, y por tanto grave. Ojo, que es vital documentarlo para que la radióloga disponga de la información más minuciosa posible.
150. Índice del Blog.
Cerca de la cima siempre hay mil excusas para bajarse y una sola razón para subir.
Excelente artículo con muy buenas fotos y como siempre muy didáctico. Gracias por tu enseñanza. Saludos
Me gustaMe gusta
Excelente entrada. Esperando la siguiente. Muchas gracias
Me gustaMe gusta
Gracias, este fin de semana habrá otra entrega.
Me gustaMe gusta
Estupenda ilustración ecográfica sobre los lipomas. Tamaño, forma, eco estructura, ubicación. MUY DIDACTICA. GRACIAS.
Me gustaMe gusta
Muchas gracias! soy veterinaria, me ayuda mucho 🙂
Me gustaLe gusta a 1 persona
Hola, de dónde sos ? Argentina.
Gracias.
Me gustaMe gusta
Hola.De España.
Me gustaMe gusta