251. Triple Patología Vesicular.

He estado bastante aislado últimamente, el Atlético de Madrid ha salido campeón de Liga y he estado viviéndolo muy intensamente. Van flaqueando también las fuerzas de un año tremendamente intenso, pero espero mantener el ritmo de publicación en cada semana. Vienen nuevos proyectos muy bonitos, a medio-largo plazo, os gustará lo que os cuente de aquí en unas semanas…

En este breve post te voy a presentar unas imágenes muy bonitas de una vesícula, en una paciente que acude a la cita de ecografía por sospecha de patología a ese nivel, con molestias anodinas e inespecíficas en el contexto de un estudio de su especialista de digestivo.

Observa las imágenes y luego te explico los hallazgos:

1
2
3
4
5
6
7

Cuando hice el corte longitudinal de la vesícula pude ver hasta tres patologías distintas, una adeomiomatosis (sin artefacto en cola de cometa), una litiasis vesicular y barro biliar, 2,3 y 4 respectivamente.

El caso no tiene mucho que explicar a no ser por la rareza de que se presente triple la semiología patológica en una misma imagen. 

La adenomiomatosis, como un aumento de la ecogenicidad y el tamaño de la pared vesicular, la litiasis como una estructura hiperecogénica con sombra acústica posterior y el barro biliar, hiperecogénico rellenando toda la estructura ovoidea de la vesícula.

El cuello vesicular estaría afectado por la adenomiomatosis, el cuerpo por la litiasis y el barro ocuparía el fundas vesicular.

Para el estudio de la adenomiomatosis es obligado que el foco esté situado en la línea de interés, eso hará que las imágenes sean más nítidas y podamos estudiar dicha ecoarquitectura y su patología convenientemente.

Debemos observar si existiese líquido perivesicular, o signos de colecistitis. En este caso, la paciente, con estas tres patologías ya iba bien servida.

La anatomía locorregional es siempre importante, te dejo en la imagen 3 una muestra de aquella que es más importante para que intentes, en caso de que estés empezando, a reproducir dicha imagen. Ojo que la vesícula no suele estar colocada siempre tan bonita para que la veamos y hay que trabajársela, como truco, prueba a poner al paciente en decúbito lateral izquierdo.

La estructura y su patología se estudia en axial y longitudinal, se demuestra entonces los hallazgos que son confirmados por el radiólogo en su informe posterior.


Si quieres adquirir el libro Eco Fácil de la Editorial Marbán escrito por mi, te enlazo aquí.

Contenido del libro para que lo puedas ojear si lo deseas.

Puedes visitar marbanlibros.com para más info.


Ya está disponible con inscripciones abiertas el Nivel 2 del curso de Ecografía para TSIDyMN que hacemos de la mano de Setss. Toda la info e inscripción (fecha límite de inscripción 4 de JUNIO), aquí:

Curso teorico práctico de Ecografía. Nivel II


Si eres TSID y te gusta la ecografía o te dedicas a ella, te recomiendo que veas este debate:


Partido a Partido…

249. Atrofia grasa de los Rectos Abdominales.

Después de la semana pasada que no hubo post, pasamos el fin de semana de curso entre Madrid e Italia, pero esta madrugada os presento un caso que me ha llamado muchísimo la atención esta semana y me encantó por su plasticidad. A veces, no todo es lo que parece…

El paciente acude a la cita con una petición de su médico generalista por un dudosa tumoración en mesogastrio izquierdo.

Dirigí el estudio a la pared abdominal y a los rectos anteriores. En este caso es muy importante conocer la anatomía regional. Os la enlazo para que la puedas estudiar, pero en resumidas cuentas debemos tener claro que esta musculatura abdominal anterior tiene 3 bloques bilaterales que ocupan epigastrio y mesogastrio y por debajo de la región umbilical otro bloque muscular que termina en la sínfisis púbica.

Durante la exploración se valoró la región de sospecha en mesogastrio izquierdo observando normalidad ecográfica, por contra, su lado contralateral me sorprendió presentándose como una estructura muscular anómala, hiperecogénica, atrófica con respecto al lado izquierdo.

Te explico con imágenes y de proximal a distal y comparando ambos lados para que tu puedas valorar, te enseño las imágenes y luego hacemos una conclusión.

1. Anatomía ecográfica

2. Epigastrio.

3. Mesogastrio.

4.Hipogastrio.

5

6

7

La imagen 1 es la ecografía anatómica que buscamos, los rectos anteriores a ambos lados de la imagen simétricos de aspecto hipoecogénico.

De la imagen 2 a 5 puedes ver los cuatro paquetes musculares pares que conforman la cara anterior del abdomen, lo que todos identificamos en esos cuerpos esculturales como la «tableta de chocolate». Cuando lo ecografiamos son igual de «sexys» si me permites la expresión, porque son muy bonitos, al ser simétricos su estudio es muy agradecido.

En la imagen 2 podemos ver el primer grupo muscular de los rectos abdominales donde ya observas como el lado derecho es ligeramente más pequeño que su lado izquierdo aunque la ecogenicidad es idéntica.

En la imagen 3, segundo grupo muscular, puedes ver como el lado izquierdo es normal y el derecho está completamente atrófico tanto ecográficamente, como visualmente, como al tacto, por tanto, la sospecha del médico no era más que la normalidad en el lado izquierdo y el aspecto atrófico del lado derecho.

En la imagen 4, correspondiente con el tercer grupo muscular, ambos músculos tienen semiología ecográfica similar a excepción de su tamaño, que es reducido en el lado derecho…

El último grupo muscular, imagen 5, alargado y que termina por insertar en la sínfisis púbica, es de aspecto rigurosamente normal, ecográficamente isoecogénico y simétrico de tamaño.

La imagen 6 y 7 es el detalle del segundo grupo muscular de los rectos anteriores para que observes las diferencias entre ambos y puedas valorar ambas semiologías.

En esta ocasión, lo destacable es que la normalidad era lo que a la palpación era sospechoso y que el lado derecho, que parecía normal a la exploración, era el patológico ecográficamente. Llama la atención como todo el grupo muscular derecho está disminuido de tamaño a expensas de una atrofia en el vientre del músculo, que se hace muy evidente en el segundo grupo muscular.


Si quieres adquirir el libro Eco Fácil de la Editorial Marbán escrito por mi, te enlazo aquí.

Contenido del libro para que lo puedas ojear si lo deseas.

Puedes visitar marbanlibros.com para más info.


Ya está disponible con inscripciones abiertas el Nivel 2 del curso de Ecografía para TSIDyMN que hacemos de la mano de Setss. Toda la info e inscripción, aquí:

Curso teorico práctico de Ecografía. Nivel II


La respuesta siempre será así…no hay alternativa…si la hubiera no me gustaría…(La Mujer de Verde, Izal)

244. Absceso Muscular por Staphilococo

Hoy te traigo un caso que hemos comentado, mi querido amigo, el Profesor Javier Álvarez González y yo estos días y que teníamos ganas de compartir contigo. Te tratamos de explicar en este Post cómo es importante saber que no solo podemos encontrarnos figuras patológicas traumáticas en el músculo, también hay otros procesos, como por ejemplo los oncológicos o infecciosos como es el caso que te vamos a describir a continuación.

Caso: 

Paciente de 61 años que presenta dolor intenso en hombro y cuello sin trauma previo ni sobreesfuerzo. Tiene fiebre desde hace unos días, PCR Negativa y Malestar general.

Acudió a urgencias por mucho dolor en hombro, tanto en cara posterior como anterior y
fosa supraclavicular que se irradia por cuello. Se nota bultoma en cara anterolateral derecha del cuello. Sospechan tendinopatía del Manguito de los Rotadores. Piden Eco de hombro para valoración. La paciente decide anticiparse y busca valoración de un fisioterapeuta.

Exploración (Fisioterapeuta particular):

Actitud postural antiálgica, con poca movilidad de cuello y cintura escapular. Se observa inflamación y enrojecimiento en cara anterolateral derecha de cuello, que se expande a zona pectoral. Presenta hiperalgesia a la palpación.

Exploración ultrasonográfica en la consulta de fisioterapia:

La ecografía muscular realizada evidencia una pérdida del patrón muscular normal en
el esternocleidomastoideo, con engrosamiento del mismo y semiología heterogénea en su tercio distal. Hay ganglios locorregionales hipoecogénicos con un patrón claramente reactivo aunque mantienen su tamaño subcentimétrico (Imagen 5).

A la altura de la bifurcación carotídea (imagen 6) el ECM adopta una apariencia más normal, su semiología es la típica del músculo. hipoecogénico y homogéneo, con ese patrón normal de «cielo estrellado» en eje corto como dice, mi querido amigo en sus clases, el Prof. Javier Álvarez, que tan amablemente me ha cedido estas imágenes para compartirlas en el Blog.

Parece existir señal Doppler periférica a la región anómala, que se extiende desde tercio medio del ECM, en su vertiente posterior hasta por lo menos la articulación esternoclavicular, aunque podría extenderse a la región infraclavicular.

Imágenes:

1

2

3

4

5

6

7

8

Desde la imagen 1 hasta la 4 realizadas en eje corto, el ECM está afectado claramente, pero en la imagen 7 donde ves un corte en eje largo puedes observar como el tejido celular subcutáneo también ha cambiado su aspecto y no es hipoecogénico, sino que es ligeramente hiperecogénico y que corresponde en cercanía con la afectación infecciosa del músculo, ojo a todos lo detalles (ganglios incluidos), que el árbol no nos impida ver el bosque…

Dada la presentación clínica, con bultoma en cuello, fiebre y las imágenes descritas se deriva a la paciente a urgencias para valoración.

Desenlace:

La paciente permaneció ingresada por periodo de 4 semanas con diagnóstico de Absceso del Esternocleidomastoideo por Staphilococo Aureus tras ser drenado y analizado por anatomía patológica, con tratamiento antibiótico intravenoso durante su hospitalización.

Reflexión:

Su diagnóstico precoz gracias a la ecografía realizada y el concepto claro de «líneas rojas» por parte del fisioterapeuta evitó una septicemia, situación clínica potencialmente mortal.


Si te gustaría saber más sobre Ecografía Muscular te invito a que estudies la posibilidad de acudir a este Curso de Ecografía Práctica Musculoesquelética que dirige y coordina el Profesor Javier Álvarez González y donde tengo el tremendo honor de participar como formador. Pondrás las bases para poder empezar a realizar ecografía musculoesquelética y aplicar esta técnica como herramienta de trabajo en tu consulta.

Será una experiencia única y el trato será personalizado, aprenderás los secretos de la Ecografía MsK.


Este Post se lo dedicamos al Gatito Koolhaas que tan buen anfitrión ha sido esta tarde en Brunete…

241. Rotura del Extensor Largo del Pulgar. Tercer Compartimento.

Tal como habéis decidido en Insta, voy a proceder a contaros el caso de esta semana. El paciente acude a la cita tarde. No afrontaba la exploración con una actitud positiva, pero la eco te coloca en tu sitio rápido y en este caso, me regaló un caso muy bonito que creo que te va a gustar.

Paciente que acude derivado del traumatólogo por una sospecha rotura del extensor del pulgar. Cuando posicioné al paciente para iniciar la exploración y le hice el interrogatorio habitual, me contó que desde un traumatismo donde se rompió las dos muñecas, tiene una incapacidad para estirar completamente el dedo pulgar a la altura de la interfalángica, no de la metacarpofalángica.

Lo que hice fue lógicamente, dirigir el estudio a los extensores del carpo, cuyo dibujo te dejo a continuación y te lo enlazo con el post donde te hablo de ellos:

1

Exploré el primer compartimento sin ningún tipo de novedad, tanto el Abductor Largo del Pulgar y Extensor Corto del Pulgar. Pasé al compartimento dos, Extensor Radial Largo del Carpo y Extensor Radial Corto del Carpo, ellos dos estaban sin novedad, pero este compartimento guarda una particularidad y una relación especial con el tercero, que es el del Extensor Largo del Pulgardel que está separado por tubérculo de lister, esta relación consiste en la coexistencia de los tres extensores y del paso superior o superficial que el extensor largo del pulgar realiza en un punto sobre el compartimento 2. Es importante que entiendas anatómicamente esta relación y te la enlazo aquí.

Lo que hace el tercer compartimento nada más desplazarnos hacia distal en el corte axial de la muñeca en su cara extensora y donde visualizamos el tubérculo distal separando ambos compartimentos 2 y 3, lo que hace el tercer compartimento, decía, es cruzarse por encima del dos para buscar diagonalmente su paso y su inserción en la cara dorsal del dedo pulgar. Si no entiendes esta anatomía, no vas a poder entender lo que pasa.

Lo que me llamó la atención fue que la parte superficial del segundo compartimento, correspondiente con el extensor largo del pulgar cruzando por encima del compartimento 2, era que estaba muy hipoecogénica y grande, así que una vez comprobado que los dos tendones del compartimento eran normales, y sabiendo que el tercero pasa por encima para cruzarse buscando el primer dedo, lo que hice fue seguir el tercer compartimento y lo que ví era que estaba situado en su lugar junto al tubérculo de lister, proximalmente, que a su cruce por encima del compartimento dos, estaba hipoecogénico y gordo y que ya en la mano, por donde cruza buscando el primer dedo, no estaba o al menos no estaba íntegro.

En este recorrido encontré un muñón, que se observa perfectamente en longitudinal, y que correspondía con el extensor largo del pulgar a la altura de su recorrido.

2

El extensor es claramente visible y palpable, te lo indico, pero tu misma puedes objetivarlo si te observas tu mano y realizas una extensión forzada del primer dedo. Con toda esta descripción, que espero que te haya quedado clara, situando la zona donde el tendón estaba roto (punto rojo), te dejo las imágenes que son muy esclarecedoras, con su anatomía ecográfica para que identifiques cada paso que dí en esta exploración, siempre en función y en estrecha relación con el conocimiento de la anatomía en ese lugar.

3

En esta imagen quiero que te fijes en el segundo compartimento y como el extensor largo del pulgar pasa por encima, los dos tendones del compartimento dos cortados en eje corto y el del tercero, cortado, pero en un corte para-axial. Lo importante es que te fijes en la ecogenicidad de ELP, en la izquierda hiperecogénico, isoecogénico con el segundo compartimento, por tanto normal. En la derecha hipoecogénico y más gordo, patológico.

4

Seguimos avanzando hacia distal, seguimos observando las mismas diferencias en las imágenes comparativas. Imagen justo antes de la rotura.

5

En la rotura el tendón es muy pequeño, pero normal en la izquierda y en la derecha lo es igual de pequeño, pero aplanado y con la pérdida de la ecogenicidad normal.

6

Después de la rotura, avanzando a distal, el tendón retraído, hipoecogénico, mucho más grande que su comparativo contralateral.

7

Corte en eje largo correspondiente a la imagen 6, donde se ve claramente lo que pasa y es definitivo para el diagnóstico final.

8

Comprobar con doppler para ver si hay actividad, que no la hay y es que la lesión no es reciente y esto podría explicar tal circunstancia.

En resumen, desde la imagen 3 a la 8 observas el recorrido ecográfico del tendón extensor del pulgar desde proximal hasta distal, pasando por el foco de rotura y terminando con el muñón en axial y en longitudinal según marcan los pictogramas.

La imposibilidad de poder extender el pulgar quedaba explicada con estos hallazgos. Un caso muy bonito, que espero que te sirva, sobre todo para que veas lo importante de la anatomía en esta técnica de la MSK.

9

Esta imagen final demuestra muy claramente lo que ha pasado y como ha quedado la zona en cuestión. El tendón retraído parece continuarse hacia proximal, filiforme, hasta que llega a otro ensanchamiento hipoecogénico, en relación con el muñón proximal.


El curso de ecografía para TSIDyMN entra en sus días finales para realizar la inscripción, te dejo toda la información.


Si quieres adquirir el libro Eco Fácil de la Editorial Marbán escrito por mi, te enlazo aquí.

Contenido del libro para que lo puedas ojear si lo deseas.

Puedes visitar marbanlibros.com para más info.


Te echo de menos, Verano.

239. Fractura falange distal

En algunas ocasiones el diagnóstico de fracturas o roturas óseas no se realiza por radiografía, como normalmente se puede pensar, es más, me pasa en bastantes ocasiones que hay patologías de este tipo que veo con la ecografía y después se certifica con la radiografía.

El caso de este paciente me sirve para explicarte en este post de domingo – lunes de madrugada, no quería dejar este fin de semana sin Post. En este caso te explico como se identifica mediante ecografía una rotura ósea.

El paciente acude a la sala con una petición de su médico generalista con una petición de ecografía muscular por aumento de las partes blandas del pulpejo del tercer dedo. El paciente refiere haberse «pillado el dedo con dos mancuernas», pero no le dió importancia por ausencia de dolor y capacidad funcional plena del dedo. Cuenta que poco a poco el dedo se ha ido inflamando en la parte distal, en la yema del dedo y se ha puesto de color morado.

Estudiamos la región palmar del dedo en modo 2D, con una sonda de alta frecuencia, usando la máxima frecuencia de su rango dinámico, ajustando parámetros técnicos (pincha en los enlaces), como el foco, la frecuencia y la ganancia general, así como la profundidad y el rango dinámico para conseguir la mejor imagen posible, te lo muestro en la imagen 1.

1

En la imagen 1, tienes en un recuadro amarillo los datos de imagen que nos interesan y que te he contado en el párrafo superior y que te comento aquí:

Flecha azul: El Modo de trabajo de 2D, el más usado en ecografía clínica.

Flecha Blanca: Ganancia general, valor ajustable a cada paciente y que nos da el brillo de la imagen.

Flecha amarilla: Rango dinámico, valor que interviene en el contraste de la imagen.

Flecha rosa: Potencia de transmisión, la cantidad de energía a la que trabaja la sonda, es un porcentaje.

Recuadro rojo: Frecuencia usada, en este caso valor cualitativo, expresa frecuencia de resolución o máxima.

Recuadro azul: Profundidad utilizada, 2 centímetros, adecuada para una parte tan superficial.

Una vez revisadas las características técnicas de la imagen, pasamos a estudiar la ecoarquitectura. Mira:

Usamos gran cantidad de gel para no comprimir el pulpejo y poder estudiar las partes blandas de esta localización, obteniendo como resultado, esta imagen, número 2:

2

En esta imagen 2 observas el corte longitudinal de la región distal y flexora o palmar del tercer dedo, afectado por el traumatismo. Es una ecoanatomía normal. El hueso se observa hiperecogénico y liso, sin alteraciones en su ecoarquitectura, no hay soluciones de discontinuidad, a excepción de la articular correspondiente a la interfalángica distal, pero al desplazarme hasta la región más distal y estudiar el pulpejo del dedo, encuentro esta imagen:

3

Si en la imagen 2 no veíamos soluciones de discontinuidad, en esta imagen 3 observamos como la parte más distal del hueso se encuentra alterado en su ecogenicidad, el periostio está como separado, parece bifurcado…evidentemente alterado en su ecoestructura y semiología de normalidad.

Inmediatamente paso al corte axial de la imagen 4, y busco en la zona de conflicto después de haberme cerciorado de la normalidad del dedo que documenté en el corte longitudinal de la imagen 2. Lo dicho, en la zona de sospecha efectúo corte axial y veo esto:

4

La imagen 4 demuestra el foco de rotura, el hueso está claramente afectado en su falange distal lateral, siendo esa rotura en forma de flecha, donde hay una porción del hueso que se mete en el espacio subungueal y otra esquirla que se muestra hacia profundo. Todo señalado, tanto la ecoanatomía como la localización patológica.

Queda la imagen 5 comparativa para demostrar que el lado contralateral fuese normal, como presumíblemente podría esperarse, y así mismo te enseño esta imagen para que tu misma puedas ver tal situación, mira:

5

En la imagen 5 puedes ver la imagen de normalidad y patología, comparativas, donde resalta claramente la zona de fractura en el hueso. También destacar la normalidad de la imagen hiperecogénica superficial y curva de la uña, la región hipoecogénica subungueal previa al hueso, hiperecogénico, que en el caso del lado patológico, se objetiva clarísimamente.

Solo quedaba, por si había alguna duda obtener una toma radiográfica, mira y disfruta:


Si eres TSID y estás dando tus primeros pasos en la ecografía o no tienes experiencia, pero te apetece probar la sensación de hacer una ecografía, de coger un transductor y realizar un protocolo, este Curso Teórico-Práctico de Ecografía Nivel 1 de SETSS creo que te va a encantar.

Te invito que entres en el enlace y te animes a participar. Es un curso de 15 horas, que será acreditado convenientemente por el organismo regulador, donde vamos a ver aspectos teóricos explicados con sencillez en la parte teórica y talleres en la parte práctica.

Vamos a hacer después un taller repasando los protocolos más habituales que se hacen en las salas de ecografía de los departamentos de radiología y además, de la mano de un pedazo de equipo de TSIDs expertos en ecografía y en la docencia para técnicos.

Con la inscripción está incluido el libro «Eco Fácil» de Marbán.


Si quieres adquirir el libro Eco Fácil de la Editorial Marbán escrito por mi, te enlazo aquí.

Contenido del libro para que lo puedas ojear si lo deseas.

Puedes visitar marbanlibros.com para más info.


Necesito Mar y Calor…Te echo de menos, Mi Verano.

237. Neuropatía del Nervio Radial.

En el Post de hoy te cuento el caso de un paciente que llega a la sala de ecografía con una petición de su médico generalista para el estudio de un hombro por impotencia funcional, he de decir que es la primera vez que no pude realizar el estudio completo del protocolo de hombro por el dolor tan intenso que padecía el paciente.

Indagando un poco es su historial en búsqueda de alguna prueba de imagen que me diese un poco de luz y tras consultar con el radiólogo encontramos que al paciente se le realizó una ecografía para posible drenaje por un sangrado en el brazo y ante una sospecha de síndrome compartimental que finalmente fue descartada por los especialistas en ese lugar comentado previamente.

La ecografía reveló estos hallazgos:

1

2

3

4

Se objetiva una imagen heterogénea e hipoecogénica de aspecto ovalado y parece corresponder a un hematoma probablemente intramuscular. En la imagen puedes observar lo que son fibras musculares de aspecto demasiado hipoecogénicas que no son compatibles con la normalidad a ese nivel como podría ser esta imagen siguiente, mira:

5

Sin ser una imagen maravillosa, la 5,  ejemplifica claramente lo que es el aspecto normal del tejido muscular, que no tiene nada que ver en absoluto con la semiología de las imágenes 1 a 4, intuyéndose en estas imágenes (1 a 4), tejido muscular excesivamente hipoecogénico y aumentado de tamaño, así que me gustaría que perdieses tiempo en comparar tejido muscular normal con tejido muscular afectado por un hematoma.

Durante la exploración del hombro me encontré un hallazgo que bien por la experiencia o por la intuición, quizá ambas, busco en cada protocolo de hombro que hago y que es punto de dolor irradiado habitual del hombro justo donde el radial pasa por la parte posterior del húmero antes de buscar la cara antero lateral externa del codo, encontrándome estas imágenes que te comento semiológicamente y que son típicas de neuropatía.

6

En el lugar comentado anteriormente, encuentro una estructura hipoecogénica que no es compatible con la normalidad de un nervio, como si lo es la imagen 6A que te enseño a continuación donde el nervio radial contralateral te dice cómo es un nervio radial normal en el mismo punto que el de la imagen 6, mira:

6A Normalidad

7

El corte longitudinal del nervio afectado es muy llamativo, tanto en su aspecto ecográfico como en su tamaño y puedes verlo en las imágenes 7 y 8.

8

9

El nervio afectado por la neuropatía es avascular tanto el doppler como en el modo angio.

10

11

Finalmentes la imágenes 10 y 11 donde vas a ver una comparativa en eje corto y eje largo donde vas a ver el lado derecho del paciente patológico y el lado contralateral, normal. Observa y compara, el aspecto y el tamaño y vas a ver como es más que evidente un cambio en la ecogenicidad de la ecoestructura del nervio llegando a ser el doble de grande y mucho más hipoecogénico.

Por tanto y pudo asociarse el sangrado masivo del MS afectado a la neuropatía posteriormente generada en ese mismo lado.


Si te gusta la ecografía y quieres saber la parte básica de esta técnica de la ecografía te invito a eches un vistazo a mi libro «Eco Fácil» editado por Marbán.


Se fue, tranquila y callada, increíblemente discreta como siempre, que me trató maravillosamente.

Fue feliz, siempre rodeada de sus tres tesoros, que aunque su enfermedad lo intentó, nunca consiguió arrebatárselos de su memoria y mucho menos de su corazón. DEP Carmina.

236. Quiste parameniscal.

El fin de semana pasado os pregunté en instagram a cerca de dos semiologías patológicas que me pareció que os gustaría ver, una de ellas era el quiste parameniscal, la otra la lipomatosis, ganó muy ajustadamente la lipomatosis, pero el caso que os iba a presentar al respecto tiene lagunas que por el momento hace que no pueda desarrollarlo convenientemente y por tanto el caso que nos ocupará hoy es la otra opción, no por ello menos bonita, es el quiste parameniscal.

El paciente es un hombre de 44 años con dolor de rodilla en la cara externa, ha sufrido varias cirugías por meniscopatías en el lado externo de la rodilla mientras realizaba una práctica deportiva, pero de este evento quirúrgico hace ya años. Acude al médico por dolor en la región previamente señalada, su médico le remite para valoración.

La valoración de los meniscos no suele ser realizada de modo habitual por ecografía como primera técnica de elección.

Lo primero de todo es saber cómo debemos ver un menisco en la ecografía, para ello debemos buscar la cara lateral, interna o externa que deseemos estudiar, con sonda lineal de alta frecuencia, corte longitudinal o eje largo respecto de la rodilla a estudio, es decir, como si hiciésemos un corte coronal de la misma.

Que debemos encontrar, bien, algo parecido a esto:

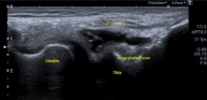
Esta es la normalidad, es una imagen preciosa cedida por Javier Álvarez @fisioequilibra, TSID, Fisioterapeuta, Profesor de la Universidad Francisco de Vitoria de Madrid, colaborador del Blog y amigo de los que se cuentan con los dedos de la mano…

Es lo primero que debes buscar, es lo más importante. En la imagen  1 puedes ver un menisco normal y sano, señalado por la flecha hueca amarilla. Semiológicamente es una estructura cónica hiperecogénica, homogénea en la cara externa de la rodilla entre la tibia y el cóndilo femoral, profundo al ligamento colateral, es la parte visible del menisco por ecografía y es tu objetivo en cada exploración de esta zona.

En el caso de hoy, el paciente presentaba una imagen de la zona descrita en la imagen 1 y que ves la imagen siguiente que difiere significativamente de la normalidad.

2

En esta imagen vemos la misma región que viste en la imagen 1, donde claramente ves alterada la semiología de la ecoarquitectura de menisco, heterogéneo, hundido, y en la superficie del mismo, imágenes hipecogénicas muy finas que pueden indicar afectación del mismo. Un poco más superficial e indicado con la flecha roja observas una estructura anecoica, correspondiente a líquido que luego verás en detalle en fotos posteriores.

La afectación del menisco es variable, por supuesto, verás muchos que difieran de la normalidad. En la imagen 2 has visto un menisco afectado, en la imagen 3 vas a ver otro, mira:

3

En la imagen 3 puedes ver un menisco que en su parte central tiene una línea hipoecogénica, bastante sutil, fíjate bien, irregular que lo divide en 2 partes. Pero ¿qué pasa cuando un menisco está dañado? Cuando un menisco por sobreuso, sobrepeso o la razón que sea pueden mostrar cambios en la ecoestructura, ya sea por que se han fisurado, como el de la imagen 2, incluso pueden llegar a romperse. Es fisura o rotura puede ser la vía de escape del líquido intraarticular de la rodilla hacia la parte extraarticular y si eso se produce, podemos encontrarnos con esto:

4

El líquido ya se ha salido y ha formado una bolsa situada superficial al menisco, profundo al ligamento colateral y que está señalado con flecha amarilla. Marcadamente anecoico puedes verlo en tamaños variables en función el alcance del líquido que haya salido y en función de las variantes propias de cada paciente.

La presentación de éste era así:

5

Semiológicamente ves una ecoestructura anecoica con septos hiperecogénicos paralelos en alguna porción del quiste que no muestra vascularización. Este estaba en torno a los 2,5 cms, en el momento de la exploración.


Igual no lo sabes, pero el lunes pasado se puso a la venta mi libro, «Eco Fácil», editado por Marbán. Es el sueño de una vida, un objetivo en el que me he enfrascado desde hace meses y que por fin te puedo enseñar. Si te ha gustado el Blog, disfrutarás del libro, porque podrás llevarlo en el bolsillo, es muy portable y te será super útil si estás empezando en esta maravillosa técnica.

Puedes adquirirlo en el enlace en rojo de arriba, Marbán lo envía con correo certificado. Si me lees desde América, igualmente, te lo envían.


150. Índice.


El Blog sigue igual que siempre con su misma filosofía, aprendiendo todos juntos cada día.

233. Artefactos que «emborronan» la imagen.

Me llegó una consulta ayer, que he pensado que merecía la pena desarrollar en un Post, a través del canal del Blog en Twitter.

Hacía referencia a aquellos artefactos de imagen que afectan a esta con borrosidad. Me comentaba la compañera, en concreto, una alumna del ciclo de Diagnóstico por Imagen, específicamente a cerca de tres tipos de artefactos que afectaban negativamente a la nitidez de la imagen, que al fin y al apostre es lo que entendemos por borrosidad.

Estos tres tipos eran:

  1. Ruido electrónico
  2. De movimiento
  3. Reconstrucción

Intento resumirlos y explicarlo lo mejor que sepa. Mira:

1. Ruido electrónico:

Puede ser relativamente fácil encontrar el artefacto de electricidad producido por las interferencias provocadas por la toma de electricidad (enchufe) donde el equipo está enchufado a la corriente eléctrica ya que en esta misma línea de corriente otros dispositivos eléctricos están conectados, siendo específicamente responsables, los LED que iluminan las estancias. Es decir, que aquellas tomas de corriente que sirvan electricidad a dispositivos eléctricos como LEDs pueden provocar este artefacto si nuestro equipo está conectado en esa misma línea.

Solución: Enchufar nuestro equipo a un enchufe «libre» de LEDs.

Aclaración: Este artefacto no se produce siempre, depende de la calidad de los LEDs y su aislante, es decir, si el LED está suficientemente aislado de fábrica, no tendremos este problema.

Este artefacto interviene directamente en la calidad de la imagen, degradando la imagen final con emborronamiento en forma de cortina y por tanto dificultando en algunos casos el diagnóstico.

¿Pero cómo este artefacto degrada la imagen?, como una imagen vale más que mil palabras, te pongo dos imágenes de un corte del lóbulo tiroideo izquierdo, donde encontramos un nódulo pequeño. Observa y sobre todo presta atención a las flechas rojas. Son zonas de conflicto.

1

2

De los puntos de conflicto, principalmente, notamos el artefacto en dos, el nódulo y la arteria carótida izquierda, «manchada», más ecogénica de lo normal, (fig 1) cuando debería verse anecoica como en la figura 2. Sí, lo sé es muy sutil, pero es importante que la degradación de la imagen por pequeña que sea puede variar la fiabilidad diagnóstica, en este caso el nódulo de la figura 1 es menos nítido que el de la figura 2.

La interferencia de las luces de LED sobre otros equipos se debe a la poca calidad de la fuente de alimentación conmutada existente dentro del propio foco LED. Esos circuitos, si no están bien hechos (y a veces incluso estándolo), son una fuente de problemas.

2. De Movimiento:

Es muy fácil encontrar este artefacto en la práctica diaria de ecografía, sobre todo en aquellos pacientes que no pueden controlar bien la respiración, en paciente no colaboradores y en bebés. Podemos hacer un paralelismo con el artefacto de movimiento de otras técnicas, como el TAC, la RMN o la Radiología convencional.

Este artefacto es muy fácil de entender aunque no es fácil luchar contra él en algunas ocasiones.

En ecografía el problema es el siguiente, nuestros ecógrafos capturan, según configuración y tipos de equipos, una serie de frames por segundo, es decir, hablamos de resolución temporal y es importante que la resolución temporal sea la más alta posible, por ejemplo en ecocardiografía, donde los frames por segundo deben ser superior a 40 fps ya que muchos pacientes tendrán taquicardia y corremos el riesgo de valorar mal el estudio si no podemos ver el corazón latiendo “en tiempo real”.

Lo entendemos muy bien así…Cuando nuestro ojo ve en pantalla una imagen que quiere guardar y nuestro cerebro le da la orden a nuestro dedo para congelar la imagen, pasan décimas de segundo que el paciente, por ejemplo un bebé, puede aprovechar para moverse y hacer que la imagen que queríamos ya no aparezca en la pantalla o esté movida o borrosa por movimiento…¿Por qué razón cuento esto? Esta cuestión está íntimamente ligada la movimiento y viene a colación de un ajuste que te ayudará a solucionar esto, el cine…

3

4

La imagen 3 te marca exploración nítida sin movimiento, la imagen 4 todo lo contrario. Las zonas numeradas son acetábulo, cabeza femoral y trocánter, obsérvalas tu misma y verás como en la imagen 4 todo está borrado, llama muchísimo la atención la cabeza femoral, que está capturada en pleno movimiento, con artefacto cinético clarísimo.

El cine es un ajuste que permite revisar una serie de imágenes que el ecógrafo ha ido guardando previamente antes de pulsar el congelador con objeto de poder “rebobinar” y volver hacia atrás para encontrar la imagen que mi ojo había visto, seleccionarla y poder hacer la foto deseada antes de que el bebé de nuestro ejemplo se hubiese movido…es un ajuste genial¡¡¡

La velocidad de refresco de la imagen en tiempo real o frame rate debe ser suficientemente alta para que la imagen no vaya a saltos, es el “frame rate”, evite al máximo emborrameinto de imagen por movimiento y se mide en “imágenes por segundo”, puede ser un ajuste ecográfico que podamos variar en el menú.

Factores:

– Profundidad de la imagen: A más profundidad, menos resolución temporal. Más zona de escaneo, menos nitidez.

– Campo de visión temporal: Cuanto más sea el campo de visión, más tiempo necesitará.

– Focalización dinámica: A más focos menos resolución espacial.

Escanear zonas pequeñas siempre mejorará la resolución temporal, por eso mejora con frecuencias altas.

3. De Reconstrucción:

Cuanto más procesos necesite el ecógrafo para reconstruir una imagen, menos nítida será, es fácil de entender, por tanto cuantos más recursos necesite el equipo, más borrosidad tendremos, esto lo vemos en técnicas donde necesitemos mucha profundidad de imagen, por ejemplo, al escanear más imagen los recursos reconstructivos del equipo, amén de otros, hará que la imagen sea más borrosa, pasa esto en pacientes con obesidad y en el contexto siempre de uso de las frecuencias más altas, si bajamos dicha frecuencia, la nitidez será peor, habrá más borrosidad.

Sabes esto que estás en la playa y quieres hacer una foto, pones el teléfono y te das cuenta que te sale un trocito de nada de playa, pones el teléfono apaisado y entra un poco más, pero no te entra la puesta de Sol, la orilla y las olas…¿cómo lo solucionas?…lo solucionas con una imagen panorámica que es una función de tu cámara donde tú haces una foto y empiezas a mover el teléfono suavemente sin perder la línea del horizonte y cuando has capturado toda la escena paras, el resultado es este:

Con la eco pasa igual…cuando queremos estudiar, por ejemplo, el recto anterior del muslo en axial,perfecto…pero en longitudinal se complica porque desde la rótula a la inserción en la cadera, tenemos mucho recorrido. En este caso hacemos lo mismo que cuando hacemos la foto del atardecer…nos ponemos en un extremo, activamos la función, recorremos suave y continuamente por la anatomía que queremos fotografiar y ya está…mira la pantalla y no el movimiento de tu mano,como si hicieses la foto, ves la pantalla,pero no como mueves el teléfono.

Técnicamente es lo mismo, ambos dispositivos hacen una suma de imágenes que se plasman en un resultado final estupendo. Toda la escena más pequeña, pero más alargada que te da percepción de toda la magnitud de aquello que pretendes estudiar, te quita algo de detalle, es decir, te da más borrosidad por la zona de escaneo aumentada, por el propio movimiendo del operador y el transductor y la sumación electrónica de imágenes, pero te sirve para medir perfectamente y además puedes incrementar y mover la imagen con tu track ball… Además el artefacto de reconstrucción se observa también en la líneas de sombra que se produce durante las diferentes sumaciones de imagen que realiza el equipo.

5

6

En la imagen 5 ves una estructura con un campo de escaneo limitado a la zona de interés, de derecha a izquierdo de la pantalla o de proximal a distal según la zona a estudio unos 5 cms, que es el tamaño del transductor. La anatomía de la ecoestructura perfectamente delimitada y nítida.

En la imagen 6 ves que la estructura estudiada es de casi 25 cms, sumados, donde la reconstrucción de la imagen hace que sea más pequeña y todo esté más junto de superficial a profundo, emborronándose todo o perdiendo nitidez. En la imagen 6 ves un tramo marcado con líneas amarilla finas correspondiente al mismo tramo de la imagen 5, observa tu misma la diferencia, la diferencia es sustancial. Las flechas amarilla corresponden a sombras acústicas por la sumación de la imagen unido al movimiento del operador y eventualmente a alteraciones del tejido (calcios) de la ecoarquitectura que se verán acentuados.

Espero haber resuelto dudas, sobre todo a aquellos que empiezan a acercarse a esta profesión, a los alumnos y alumnas del Ciclo de Diagnóstico por Imagen…Habéis escogido la más linda de las profesiones…Suerte a todas y todos.


150. Índice.


Lo que daría por un abrazo tuyo, Verano…

232. Impingement del Hombro

La exploración del protocolo de hombro debe incluir siempre las dinámicas de los diferentes tendones a estudio.

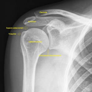
Hoy, en este breve post, te explico uno de los más importantes, que es la dinámica del Tendón del Supraespinoso para descartar el impingement por el cual se ve comprometido el normal paso del tendón del supra por debajo del espacio subacromial por una buena variedad de causas que te explica superbien aquí, es importante entender la anatomía, y también la mecánica lesional de la ecoestructura que testamos ecográficamente.

La anatomía radiológica que interviene es este estudio específico de la maniobra dinámica del tendón del supraespinoso te la dejo aquí.

1

Una vez que hayas visto el vídeo explicativo de youtube y revisado la anatomía radiológica de la imagen 1, quiero que aprendas a realizar la maniobra, imagen 2 y 3, con la que vamos a estudiar el tendón del supraespinoso a su paso por el espacio subacromial, que es, realizando una abducción del brazo partiendo desde la posición de reposo del húmero justo al costado y llevándolo mediante dicha abducción hasta los 90º del húmero con respecto al costado…mira:

2

3

Es importante tener localizado ecográficamente la articulación acromio clavicular (AAC) con la ecografía, posicionando el transductor, línea roja, como ves en esta imagen 4, donde debes cubrir toda la anatomía radiólogica explicada antes, mira:

4

Y lo que debes ver ecográficamente es esto:

5

Una vez que tengas bien claro todos los asistentes a la fiesta, y con el movimiento del brazo del paciente, asistido por nosotros o realizado por el propio paciente, partiendo de la base de la imagen 5, superior, que acabas de estudiar, conseguirás esto en tiempo real…mira:

Vídeo A

Quiero que te fijes bien en cómo el tendón «desliza» perfectamente bajo el espacio subacromial, entra y sale mientras el paciente realiza la maniobra préviamente explicada, este paso NO está comprometido, mira ahora este otro vídeo A:

Vídeo B

En este vídeo B, repitiendo la maniobra préviamente explicada puedes ver como el tendón sufre un stop en su normal recorrido bajo el acrómión, y en vez de pasar por el espacio subacromial lo que hace es «pararse» hacerse «más gordo» al no poder deslizarse, como una cuerda que se encorva cuando pretendes hacerla pasar por un espacio más pequeño que ella. Este aumento se produce cuando el húmero ha alcanzado los 90º con respecto del costado.

Las causas lesionales pueden ser variadas, pero nosotros debemos documentar esto e indicarle a la radióloga que la maniobra es positiva (+), cuando el tendón y su movimiento se ven comprometidos por un espacio subacromial estrecho, por el motivo que sea.

La técnica es compleja, tenemos que coordinar posición correcta de la sonda, visualización de la ecoarquitectura a estudiar y asistir el movimiento del paciente y puede costar al principio, pero es absolutamente necesario llevarla a cabo en cada estudio ya que estos signos pueden estar en relación con la omalgia y por tanto debemos descartarlos siempre. Lo más probable es que no podamos ver la causa por la que el espacio subacromial está comprometido, pero sí demostrar, que el paso del tendón lo está, este es el sentido de la técnica y de la maniobra.


150. Índice.


Que Sus Majestades se hayan portado muy bien y os hayan colmado de…sueños cumplidos.

231. Pseudoaneurisma de vaso superficial.

Lo primero de todo, dejamos atrás el terrible 2020…Feliz 2021, que se cumplan tus sueños, que seas feliz, quiero verte sonreir, y que tengas muchísima salud.

Dentro de los bultomas que recibimos en la sala de ecografía hay una parte importante que son malformaciones vasculares. Este tipo de lesiones pueden presentarse como pequeños bultos no móviles, que suelen tener algunas características externas principales a las que tenemos que estar muy atentos, y son el color, pueden ser violáceos, azulados y la pulsatilidad, si es una arteria tendrán pulso.

El paciente del caso que te expongo hoy como primer post del 2021 es un paciente de uno 40 años que nota desde hace un año un pequeño bultoma en la palma de la mano, en la región flexora en el eje largo del 2 dedo, a la altura de la articulación metacarpofalángica, ligeramente radial, viene referido del traumatólogo.

En mi interrogatorio habitual el paciente descarta traumatismo, no recuerda, ligero crecimiento sin dolor. Al tocar el bulto para localizarlo, lo primero que me llama la atención es que tiene pulso, muy evidente, es duro y muy pequeño, pero el pulso es muy evidente, no había coloración cutánea. El paciente ni el médico refirieron este dato superimportante (el latido) que dirigió el estudio absolutamente, como ves en la imágenes.

Escojo la sonda de ultraalta frecuencia, 18 mHz, y ajusto los parámetros para realizar un estudio con la intención de encontrar algo muy superficial, por supuesto, gran cantidad de gel, nada de presión, apoyo levemente el transductor.

Hallazgos:

1

En esta primera imagen me encuentro, primero, un estructura heterogénea, redonda, ligeramente ovalada con un centro anecoico y un halo grueso e hipoecogénico.

Lo segundo es delimitarla bien, tener bien estudiada la anatomía de referencia, imagen 2, respecto de la ecoestructura patológica y su propia ecoarquitectura. Por supuesto aplicamos el protocolo de referencia, localización, estudio, medición y vascularización que hoy ves resumido en estas 5 imágenes ya que el estudio lo enfoqué en el estudio de algo vascular.

2

La anatomía, tan importante siempre, buscando la relación, sobre todo, con el tendón al que claramente esta lesión no pertenecía ni afectaba.

3

El corte en eje largo como te indica el pictograma es muy importante, en teoría debería haber encontrado una estructura redondeada en eje corto y tubular en eje largo, como debiera corresponder a esta lesión vascular, pero los hallazgos no arrojaron dicha imagen.

Demostré el pulso en ambos ejes, pero no pude comprobar la estructura tubular en longitudinal…el motivo, el tamaño de la estructura y su gruesa pared que puedes apreciar en ambos ejes y que correspondía a una incremento de la pared del propio vaso, vaso que se encontraba parcialmente trombosado por este crecimiento de su pared, habitual en estas lesiones post traumáticas, donde el propio vaso sangra y esa sangre se colecciona alrededor el mismo.

4

Se demostró lo que ya presentía, que era la vascularización típica de un vaso, vaso que resultó ser uno de alto flujo, y  te explico…cuando estudiamos una malformación vascular por ecografía, podemos encontrarnos malformaciones de bajo flujo, las venas, de alto flujo, arterias o mixtos de ambas.

5

En la imagen 5 ves el típico aspecto de un vaso de alto flujo, lo normal, ya que tenía latido. Vas a ver dicho espectro con aspecto de picos y valles muy marcados, el sonido también es diferencial, puedes ver el doppler espectral y escucharlo. Su sonido y su aspecto es distinto del de una vena.

En este caso debí usar una muestra, flecha amarilla de la imagen 5, lo más pequeña posible, ya que el vaso lo era igual, adaptaremos esta muestra al tamaño del vaso que quieras estudiar. si la muestra no es la idónea la lectura puede ser incoherente. La muestra es el tamaño del «roi2 que hará el registro de la zona a estudio. Te enlazo arriba para que revises nociones básicas de doppler en post anteriores, también puedes consultar el índice del blog al final de este Post.

En este vídeo puedes ver como en la imagen 2D  como late la estructura, y como con el doppler color la vascularización es evidente. Puedes estudiarlo con Triplex, en el enlace a instagram ves como se estudia la lesión con una técnica de la que ya te he hablado más veces, donde puedes ver el doppler color y el espectral a la vez, eso sí, consumieno muchos recursos del equipo.

El diagnóstico final del radiólogo fue psudoaneurisma de la arteria palmar del segundo dedo.


150. Índice del Blog.


Reconozco que he soñado con la posibilidad…