En el Post de hoy te cuento el caso de un paciente que llega a la sala de ecografía con una petición de su médico generalista para el estudio de un hombro por impotencia funcional, he de decir que es la primera vez que no pude realizar el estudio completo del protocolo de hombro por el dolor tan intenso que padecía el paciente.
Indagando un poco es su historial en búsqueda de alguna prueba de imagen que me diese un poco de luz y tras consultar con el radiólogo encontramos que al paciente se le realizó una ecografía para posible drenaje por un sangrado en el brazo y ante una sospecha de síndrome compartimental que finalmente fue descartada por los especialistas en ese lugar comentado previamente.
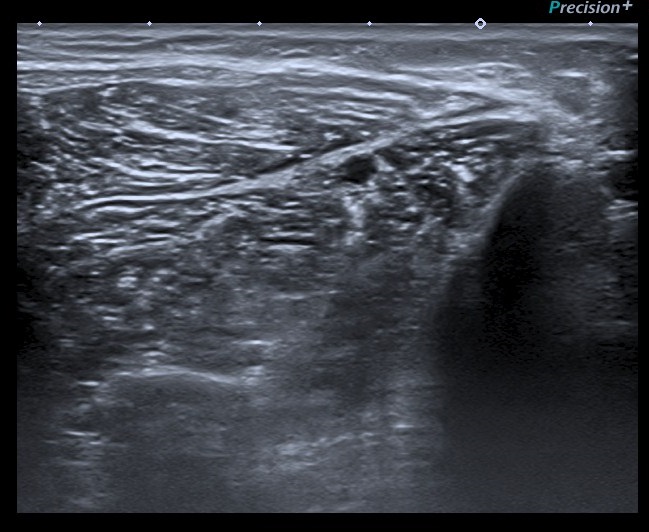
La ecografía reveló estos hallazgos:




Se objetiva una imagen heterogénea e hipoecogénica de aspecto ovalado y parece corresponder a un hematoma probablemente intramuscular. En la imagen puedes observar lo que son fibras musculares de aspecto demasiado hipoecogénicas que no son compatibles con la normalidad a ese nivel como podría ser esta imagen siguiente, mira:

Sin ser una imagen maravillosa, la 5, ejemplifica claramente lo que es el aspecto normal del tejido muscular, que no tiene nada que ver en absoluto con la semiología de las imágenes 1 a 4, intuyéndose en estas imágenes (1 a 4), tejido muscular excesivamente hipoecogénico y aumentado de tamaño, así que me gustaría que perdieses tiempo en comparar tejido muscular normal con tejido muscular afectado por un hematoma.
Durante la exploración del hombro me encontré un hallazgo que bien por la experiencia o por la intuición, quizá ambas, busco en cada protocolo de hombro que hago y que es punto de dolor irradiado habitual del hombro justo donde el radial pasa por la parte posterior del húmero antes de buscar la cara antero lateral externa del codo, encontrándome estas imágenes que te comento semiológicamente y que son típicas de neuropatía.

En el lugar comentado anteriormente, encuentro una estructura hipoecogénica que no es compatible con la normalidad de un nervio, como si lo es la imagen 6A que te enseño a continuación donde el nervio radial contralateral te dice cómo es un nervio radial normal en el mismo punto que el de la imagen 6, mira:


El corte longitudinal del nervio afectado es muy llamativo, tanto en su aspecto ecográfico como en su tamaño y puedes verlo en las imágenes 7 y 8.


El nervio afectado por la neuropatía es avascular tanto el doppler como en el modo angio.


Finalmentes la imágenes 10 y 11 donde vas a ver una comparativa en eje corto y eje largo donde vas a ver el lado derecho del paciente patológico y el lado contralateral, normal. Observa y compara, el aspecto y el tamaño y vas a ver como es más que evidente un cambio en la ecogenicidad de la ecoestructura del nervio llegando a ser el doble de grande y mucho más hipoecogénico.
Por tanto y pudo asociarse el sangrado masivo del MS afectado a la neuropatía posteriormente generada en ese mismo lado.
Si te gusta la ecografía y quieres saber la parte básica de esta técnica de la ecografía te invito a eches un vistazo a mi libro «Eco Fácil» editado por Marbán.
Se fue, tranquila y callada, increíblemente discreta como siempre, que me trató maravillosamente.
Fue feliz, siempre rodeada de sus tres tesoros, que aunque su enfermedad lo intentó, nunca consiguió arrebatárselos de su memoria y mucho menos de su corazón. DEP Carmina.
Gracias por esta nueva entrada, me ha gustado como todas las precedentes.
He comprado el libro y me está encantando.
Me gustaMe gusta
Agradezco profundamente el feed-back y por supuesto la compra del libro, esperando que le sea muy útil.
Gracias.
Me gustaMe gusta
Un caso muy bonito!!
Me ha encantado.
Me gustaMe gusta
Gracias maestro.
Me gustaMe gusta
Cada vez que leo algún trabajo suyo aprendo algo y quiero hacérselo saber le agradezco mucho admiro lo que Ud. hace, yo desearía tener su libro pero me resulta imposible en estos momentos digo (económicamente) yo trabajo en lo unico que he hecho toda mi vida (IMAGENOLOGIA) siendo estudiante de bachiller me gestiono mi mama con un amigo medico neumólogo trabajar en un consultorio antituberculoso estatal solo se hacían radiografías del tórax. Luego ingrese al curso de técnicos y me gradué 1972.Asi 11 años después pase curso para docente y cuatro años después a exámenes especiales de radiología posteriormente la Licenciatura en tecnología, así pues, he trabajado mucho en todo o d todo como en botica, Rx , TAC, RMI, DENSITOMT. OSEA , MAMOG, y U S D, este último es el que hago regularmente de manera irregular ayudando a otros, vivo en Venezuela y trato de sobrevivir por la situación país. En el 2005 en la Facultad de Ciencias Médicas de mi país me pidieron que escribiera algo sobre Radiobiología pues había salido en la maya curricular de la licenciatura y no hay libro especifico, siempre se ha dado junto con Protección Radiológica algo que siempre critique, porque decenas de conferencias comienzan con protección repitiendo lo mismo de cien años atrás y no solo eso, sino que de pronto habla radiobiología como de protección, creo que lo importante es que los profesionales sepan explicar el «daño radiante» pues todos le tienen miedo de espanto a las REMI, «radiación electromagnética ionizantes» Primero: por la mala fama que le han dado. Segundo: por la ignorancia sobre estos temas. Tercero: entender que la una complementa a la otra. entre otras cosas más, ciñéndonos a nuestro perfil las, imágenes. ESPERO NO HABERLE AGOTADO MUCHO SU TIEMPO, SI UD DSEA EN OTRO MOMENTO LE PODRE ENVIAR UN P POING CON ALGO DE LO QUE ESCRIBI PARA QUE LO USES Y COMPARTAS,SALUDOS,COLEGA, TENGO MESING Y WHATSP TELF; 0414 757 6229 José Román Alcaz MiláN.
. a
________________________________
Me gustaMe gusta
Muchas gracias, muy amables sus palabras.
Me gustaMe gusta
Antonio Lanzas, saludos desde México.
Tengo especial interés en tu libro ECO FACIL y me gustaría obtenerlo.
Lo busqué en los proveedores comunes y no lo encontré. ¿Como lo puedo obtener?
Me gustaMe gusta
Tiene un enlace en cada nuevo post. De todos modos a través de marbanlibros.com puede adquirirlo y se lo envían certificado. Mil Gracias.
Me gustaMe gusta
Gracias.
Me gustaMe gusta
Gracias.
Me gustaMe gusta