Cuando empecé en esto de la ecografía se veían bastantes, era habitual ver estructuras tipo LOES hepáticas, heterogéneas, como con quistes dentro de sí mismas, se llaman «hijas» y son típicas de este tipo de lesiones. Hoy en día son lesiones bastante menos frecuentes gracias a las campañas de concienciación y profilaxis, barrera fundamental para evitar la transmisión zoonótica.
La Hidatidiosis es una enfermedad transmisible entre animales y humanos. Es una zoonosis producida por el asistencia parasitaria de la larva del Echinococcus granulosus.
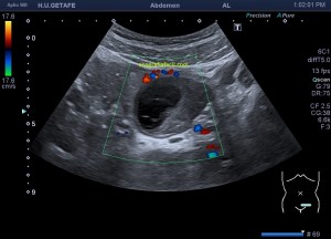
Hoy te muestro uno, estatificado, según la . de quiste hidatídico dentro de la tabla, de esta patología que nos habla de una lesión inactiva, calcificada, cuyas «hijas» no se observan puesto que no existen en este momento de la exploración. En el enlace conocerás más sobre esta lesión, explicada super fácil y una clasificación de hallazgos de estos quistes.






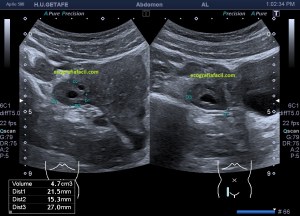
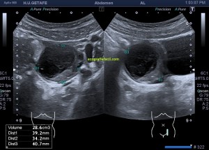
Durante la exploración de una eco de abdomen en el contexto de un paciente que acude por elevación de transaminasas observo una imagen heterogénea, irregular, con una pared marcadamente calcificada, bilobulada de gran tamaño que medí en dos partes ya que me pareció claramente que estaban diferenciadas.
Una de ellas, la primera, era mucho más hiperecogénica y más pequeña, su centro estaba mas calcificado, su sombra acústica posterior era mucho más acuciada y llamaba más la atención. Justo al lado, otra lesión de mayor tamaño, su calcificación era mucho más sutil y más periférica delimitando una LOE hipoecogénica de un tamaño muy importante, adyacente a la más pequeña, como he comentado previamente. Ambas sin señal Doppler.
El paciente no presentaba molestias por este hallazgo que fue catalogado de accidental. Le pregunté si había vivido en el campo en contacto con animales, o en alguna granja, aseveró que así fue la primera época de su vida hasta que dejó el campo para vivir en la ciudad. Nunca había realizado estudios previos que pudieran confirmar la presencia de esta patología. El paciente no requirió ningún tipo de control ecográfico posterior.
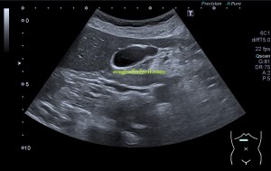
Bien, hemos visto una lesión que es un quiste hidatídico calcificado, pero te preguntarás, si nunca viste uno, ¿cómo es uno cuando tiene «hijas»?, es decir, cuando está activo…Mira este corte transversal de un hígado:


La LOE es de aspecto redondeado, heterogéneo, con multitud de pequeñas imágenes anecoicas e hipoecogénicas, de diferentes tamaños. Esta lesión fue estudiada también mediante otra técnica de imagen, la RMN donde se observa una imagen hiperdensa, con una amalgama de lesiones bordeando a periferia de la misma, de distintos tamaños como se objetiva en la imagen del mismo paciente, de la ecografía inmediatamente superior (Imagen 7). La lesión es activa, por tanto debió de ser tratada, la patología es potencialmente mortal en caso de que el quiste se rompiese.
«La complicación más grave es la ruptura de un quiste, que suele producir un cuadro agudo por reacción anafiláctica que puede ser fatal y que requiere la intervención quirúrgica urgente. Las vesículas contenidas en aquél pueden producir nuevos quistes en los órganos donde asienten (hidatidosis secundaria)».
Puede afectar a varios órganos, normalmente, pulmón y cerebro, tiene predilección por el hígado.

Sevilla, toda la info en el QR.




























































