59. Protocolo de Abdomen. El Útero y los Ovarios.

Bien, con este post terminamos el protocolo de Abdomen, muchos Post y llegamos a final con el estudio de la pelvis femenina. Lo primero que hay que decir que este es el estudio abdominal de esta región, normalmente, útero u ovarios deben estudiarse con ecografía transvaginal. Pero para completar el protocolo, igual que con la Próstata vamos a estudiar Útero y Ovarios.

Anatómicamente:

Los ovarios tienen forma elíptica. Diámetro mayor de unos 3,5 cm y 1,5 cm. de espesor.

Las dos trompas de falopio discurren lateralmente desde el útero y  miden entre 7 y 12 cm.

El útero es un órgano hueco. Está constituido por una capa muscular o miometrio y otra capa mucosa o endometrio.

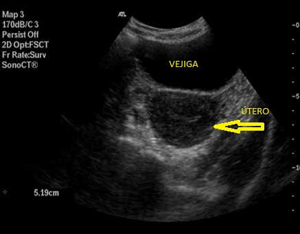
Está situado entre la vejiga Anteriormente y el colon recto sigmoideo posteriormente.

La Técnica:

Sonda sectorial de 3 a 5 Mhz.

Vejiga llena distendida, para utilizar la ventana acústica que proporciona para visualizar los órganos pélvicos.

La sobredistensión puede distorsionar la anatomía por compresión.

El estudio de las estructuras se realizarán en los planos tanto  axial como en longitudinal.

Es muy complicada la exploración uterina y ovárica por la anatomía de cada paciente, gas intestinal que pueda ocultar los ovarios, etc.

Aprovechando la vejiga repleccionada hacemos cortes axiales (rojo) y longitudinales (amarillo). No me atrevo ni a poner unas pautas de búsqueda como en la Próstata.

No siempre se mide el Útero, pero si es recomendable los Ovarios, en niñas, con volumen.

Transverso.
Longitudinal.
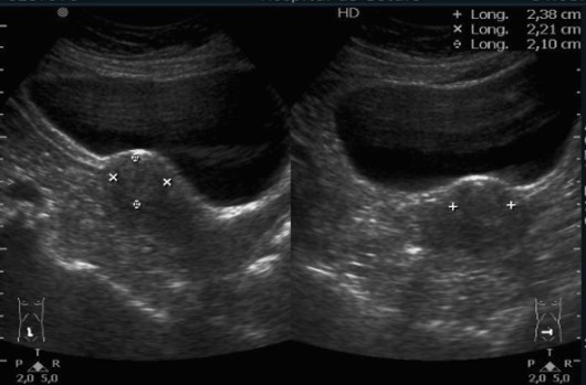
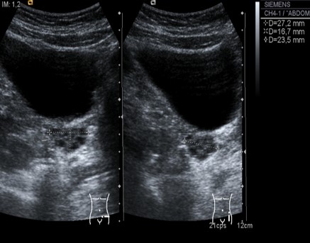
Ovario. Medidas.
Saco de Douglas con líquido. Anecoico en profundidad al útero.

En ocasiones podemos ver el Fondo de saco de Douglas con líquido y eso debe ser valorado por el radiólogo/a.

Valoración órganos:

  1. Si la mujer es fértil o menopaúsica y en el primer caso en que fase del ciclo se encuentra.  Es muy importante saber esto.
  1. Posición global. Puede ser importante hacia donde se inclina el útero; anteroversión y retroversión.
  1. Tamaño.
  2. Ecogenicidad y grosor del complejo endometrial. Dependiendo del ciclo menstrual; en fase proliferativa  el endometrio tiene un aspecto uniforme hiperecogénico con un grosor de 8 mm. En la fase secretora continua engrosado hasta los 15 mm. o  más  y con una hiperecogenicidad uniforme.
  1. Ecogenicidad Miometrial.
  2. Tratamientos hormonales.
  3. En mujeres fértiles, los ovarios son ovoides, hipoecogénicos, y con un halo hiperecogénico. Desarrollan folículos por lo que el ovario varia en los ciclos menstruales.
  4. En el periodo posmenopáusico los ovarios se atrofian, aunque en un 20% de pacientes se observan folículos.
  5. El útero premenstrual es pequeño. El cervix es mayor que el cuerpo y el fundus.El útero postmenopaúsico involuciona progresivamente. Regresa a un tamaño premenstrual; sólo que el cuerpo y el fundus es mayor que el cervix.El endometrio en mujeres fértiles aparece como una línea ecogénica que aumenta de grosor según la fase del ciclo menstrual.

    La línea endometrial desaparece en mujeres menopaúsicas.

  6. Es típico el estudio en menores por hirsutismo y otros procesos como la pubarquia precoz.

Patología:

Los miomas típicos son masas sólidas hipoecogénicas en el espesor del miometrio. Hay gran variedad en cuanto a ecogenicidad, tamaño, número y localización de miomas.

Mioma. Medidas.
Útero miomatoso. Aspecto heterogéneo.

Los quistes no funcionales suelen ser benignos y de origen ovárico o para ovárico, la probabilidad de malignidad aumenta con diámetros superiores a 5 cm.

Los ovarios poliquísticos aparecen redondeados con numerosos  y pequeños quistes periféricos.

Aspecto ovárico niña neonatal.

En niñas recién nacidas podemos encontrar este aspecto en el ovario por hormonas maternas, se resuelven meses después.

Los quistes hemorrágicos que pueden parecer  tipo masas quísticas suelen resolverse o disminuir de tamaño en 4 ó 6 semanas.

Quiste hemorrágico típico en un ovario,marcado con la Q. Aspecto hipoecogénico.

Este Post está dedicado a su autora, Victoria Izquierdo, compañera y amiga, desde hace…buff…aquella academia…

 

 

Deja un comentario