Cuando hacemos una eco de abdomen debemos incluir en la parte final de la misma la exploración de la pelvis, tanto la parte urológica como la ginecológica, en las mujeres, ambas. En el caso que te presento hoy en este breve post, es el de una mujer que ronda la treintena y que acude por epigastralgia.
El estudio transcurre normalmente, pero al llegar a la pelvis y nada más llegar observo una imagen que me llama la atención en el teórico lugar del anejo izquierdo. Estudio la vejiga, que no tiene ningún hallazgo significativo, con una media repleción y acto seguido me centro en el útero y los ovarios.
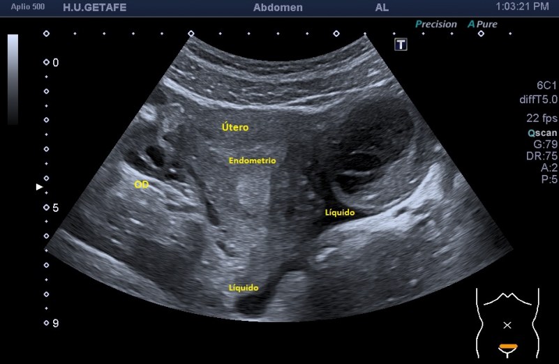
Este protocolo de exploración lo tienes detallado en post anteriores, te dejo el índice del blog para que puedas consultarlo, es el Post 59. Te dejo una imagen de normalidad como base para el caso de hoy:

Corte sagital medio de la pelvis femenina con detalle de la anatomía básica de la ecoarquitectura a este nivel.
Pasamos a la imágenes:

En la imagen 2, mismo corte de la imagen 1 ya me llama poderosamente la atención la cantidad de líquido que encontré en el fondo del Saco de Douglas, que puede ser normal según el periodo del ciclo en el que se encuentre la mujer, acto seguido realicé corte axial, con este resultado:

En este corte transverso llama la atención una imagen redondeada hacia el lado izquierdo del útero, de gran tamaño respecto del lado derecho. Es heterogénea y tiene densidad quística y contenido ecogénico, no se sabe su etiología.
En la imagen 4 y 5 te detallo anatomía con y sin referencias para que te ubiques bien y veas todo con detalle, mira:


La anatomía imagen ecográfica que acabas de observar revela un ovario derecho con sus fóliculos anecoicos, normales. En cambio, el ovario izquierdo, o en su teórica ubicación existe una estructura como la que te he comentado anteriormente, de aspecto quístico con contenido y además como muy bien puedes observar, con septos en el interior de la lesión.
Fuera de la lesión, a su alrededor, observamos líquido, a valorar por el radiólogo.
El endometrio se ve aumentado de tamaño tanto en transverso como en longitudinal, parece en fase secretora.
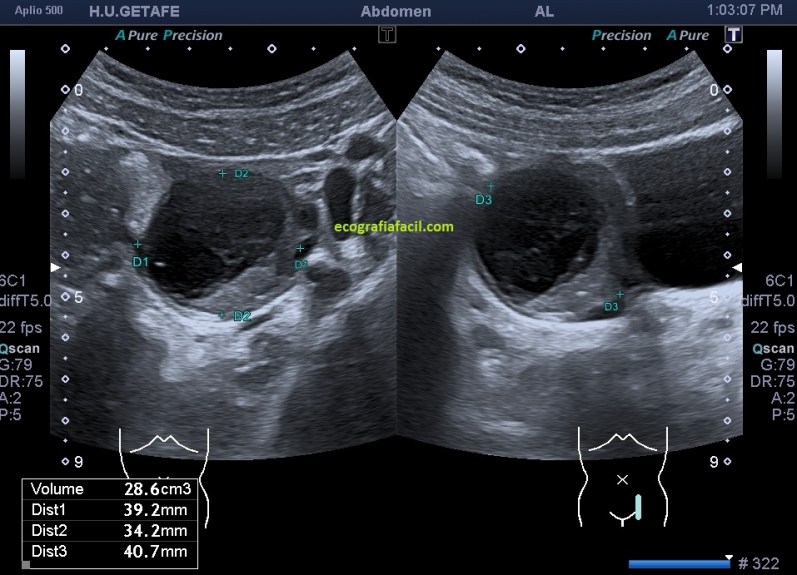
Con estos hallazgos, compruebo normalidad de OD con el volumen, dentro del protocolo habitual, con esta imagen 6 que ves ahora mismo:

Vamos al ovario izquierdo:

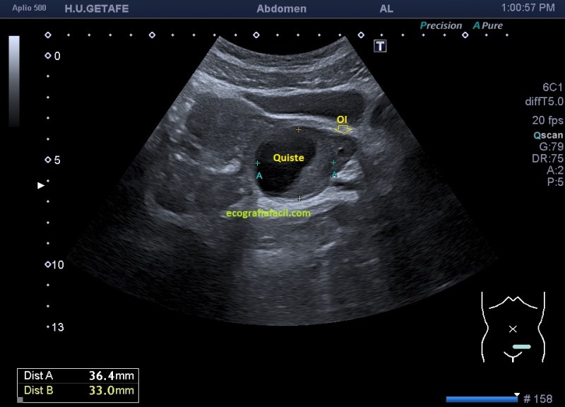
En la imagen 7 ves la lesión que te he contado antes, circunscrita y medida, se demuestra que pertenece al ovario izquierdo, con un folículo diminuto y anecoico, que puedes verlo señalado por la flecha amarilla y hueca y dentro de esta estructura, la lesión, de aspecto quístico con contenido ecogénico.

En la imagen 8, medidas y volumen del quiste, que solo él, es siete veces mayor que ovario derecho.
Después el doppler, en la imagen 9, como siempre:

El doppler no revela nada especial. Una vez bien documentado el hallazgo consulto con el radiólogo, le enseño toda la exploración y emite un informe con sospecha de folículo quístico que habría sangrado y en el contexto del periodo menstrual, pero deriva a la paciente para que sea valorada en la consulta de ginecología.
El contenido ecogénico, los septos y la heterogenicidad de la lesión hace que su diagnóstico diferencial sea amplio, desde un quiste que haya sangrado a otro tipo de lesiones como teratomas, etc. Si fuese simplemente un quiste funcional debería resolverse en un par de ciclos, pero requiere seguimiento, en estas ocasiones el acceso transvaginal suele ser más efectivo, por eso la paciente es derivada.
En este caso la paciente no venía por dolor en esa localización, con lo cual sería más raro patologías como embarazos ectópicos rotos, quiste hemorrágico roto, pero que habrá que valorar siempre clínicamente por el especialista.
Nosotros siempre muy atentos a la normalidad para poder detectar cualquier cambio llamativo, líquido en el fondo de saco de douglas y otras, siempre documentado y protocolizado, ante la más mínima duda, consultar al radiólogo responsable.
Ojo con la preparación, la vejiga debe estar replecionada suficientemente para poder usarla como ventana acústica, los ovarios con acceso abdominal son difíciles de estudiar si no hay una buena preparación, en ocasiones, incluso haciéndola.
150. Índice del blog.
Seguimos, en un camino que parece interminable, ascendiendo hacia una cima que parece inalcanzable y rodeado de una cegadora tormenta de silencio y soledad…seguimos esperando el veredicto final.
En este caso expuesto , no todos los quistes hemorragicos pueden ocasionar dolor , sin embargo tomando en cuenta FUR, grosor de endometrio, etapa ciclo menstrual, diámetro de utero; entre otros hallazgos no deberíamos dejar de pensar en un quistes de ovario hemorragico vs cuerpo luteo. Sugerencia evaluar semanala y 3 día del ciclo menstrual.
Me gustaMe gusta
Karely, se derivó a Ginecología para mejor valoración. Mil Gracias por el apunte.
Me gustaMe gusta