Llevaba un tiempo alejado del Blog, el Curso de Ecografía celebrado en Getafe junto a SETSS, me ha robado horas de sueño, horas de poder sentarme aquí a contarte cosas y lo más importante, horas de juegos con él, pero me ha proporcionado una de las experiencias más bonitas de mi vida laboral en la ecografía, junto al equipazo de TSIDs con los que tengo la oportunidad de compartir esta aventura, María Jo, Victoria, María, Alejandro y Candi…imposible sin vosotros.
Voy a intentar recuperar el tiempo perdido durante estos días, y te traigo un post que tenía en el tintero, pero no llegaba el caso que me gustase y hace unas semanas se presentó una mujer de más de cuarenta para realización de una eco de abdomen para control de Adenomiomatosis Vesicular.
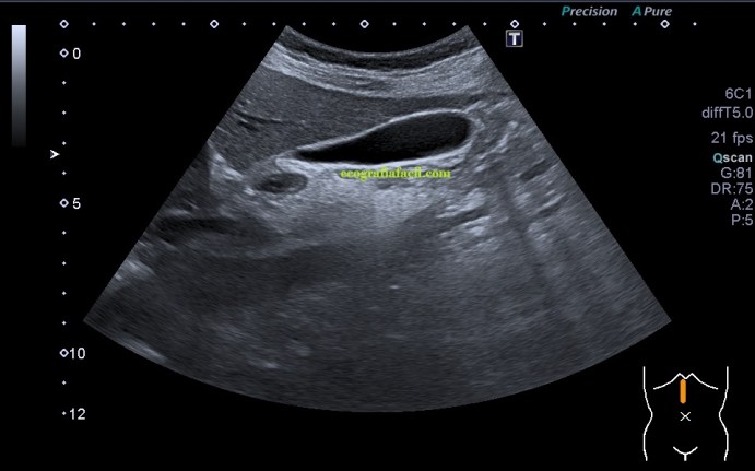
La paciente presentaba una vesícula muy normal, pero escondía tesoros, dos concretamente. Tras un aspecto sacular y anecoico, con una transmisión de sonido muy bonita, se presentaban dos aspectos ecográficos, primero te enseño las imágenes y luego te explico, ¿quieres?…





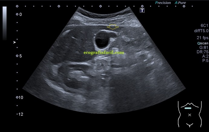
En la imagen 1 la ecoestructura era absolutamente normal, sacular, alargada y anecoica en longitudinal, pero en la imagen 2 se presenta una estructura en una forma anómala, variante de la normalidad, que en ecografía se denomina «vesícula en gorro frigio», su aspecto recuerda a este tipo de gorros de forma cónica con punta curvada que históricamente han acompañado a la humanidad en multitud de situaciones, te dejo el enlace (cultura general) por si te apetece leer un poco…es curioso.
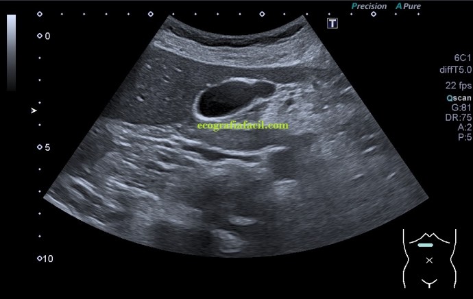
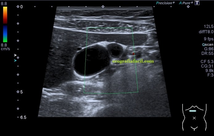
Sumado a esta peculiar presentación encontramos que en la curvatura sacular, en el fundus de la vesícula, «en la punta» que se objetiva en la imagen 2, percibí como si la pared en ese punto estuviera ligeramente engrosada, pero no terminaba de verlo como yo quería así que cambié la sonda, de cónvex a lineal, adapté los parámetros o ajustes ecográficos y la imagen de la pantalla era preciosa, se veía la imagen sacular, muy definida, gracias a la alta frecuencia de la sonda lineal, con una definición muy importante que me permitió documentar como en la pared de la vesícula, imagen 4, existía engrosamiento mural. Se usa el cónvex virtual o trapezoidal, como ajuste que permite ampliar el scan range de la pantalla con el uso de la sonda lineal.
Dicho engrosamiento, una vez revisada la historia clínica estaba descrito como adenomiomatosis, y ecográficamente era un engrosamiento mural, parcial (solo era en una porción de la vesícula), hiperecogénico y homogéneo, perfectamente visible en la imagen 4, señalada con una flecha amarilla fina.
En el doppler (imagen 5) no había actividad, pero esto hay que comprobarlo siempre ya que en ocasiones, la literatura habla de actividad vascular del engrosamiento mural. Además podemos encontrar sendos artefactos ecográficos, como el aliasing y la cola de cometa, provocados por estos focos adenomiomatosos, que en este caso específico, no se objetivaron, una pena…la verdad.
Si la paciente no hubiera estado diagnosticada, el hallazgo es compatible con otra patologías como puede ser el barro biliar, algún tipo de neoplasia vesicular o la colecistitis, por eso ante este tipo de semiologías no compatibles con la normalidad, siempre consultamos con la radióloga para que decida sobre ampliaciones de estudio con posibles alternativas de estudios de imagen, como puede ser la Colangio RM. Esta patología puede ser asintomática. También puede presentarse con otras figuras patológicas como las colelitiasis.
Si quieres adquirir el libro Eco Fácil de la Editorial Marbán escrito por mi, te enlazo aquí.
Contenido del libro para que lo puedas ojear si lo deseas.
Puedes visitar marbanlibros.com para más info.
Segunda edición del Curso Nacional de Ecografía. Info:
Abiertas las inscripciones.
TRABAJA mientras otros duermen, ESTUDIA mientras otros se divierten, PERSISTE mientras otros descansan, y luego VIVIRÁS lo que otros SÓLO SUEÑAN…(Verdad verdadera)…Buena madrugada.
buenos dias como estas; al igual que tu soy un amante de la ecografia; vivo en venezuela y como debes saber como esta la situacion tanto economica como politica en este pais… sigo tu blog todo el tiempo y el tema este de la vesicula es muy ilustrativo y beneficioso para lo que uno quiere aprender…como quiisiera y desearia tener los medios para estar en españa y relizar ese curso de ecografia y sobre todo poder adquirir ese libro que realizaste..pero aqui en mi pais creo que la editorial de tu libro no volvio… espero contar con tu libro algun dia…
Me gustaMe gusta
Espero que la situación en su país mejore lo antes posible, ojalá un día poder coincidir en algún evento, y ojalá el libro llegue a su país. Le deseo lo mejor, muchas gracias.
Me gustaMe gusta