304. Cosas Bonitas…

Tres imágenes de ecoanatomía preciosa de la musculatura del miembro superior, detallada, explicada y conseguida junto a María Leal.

Queremos enseñarte el corte en eje corto de la cara radial de la muñeca en su porción flexora.

  1. Región Flexora de la cara antero radial de la muñeca. 

    Triangulo formado por dos Tendones Flexores y un Nervio

Nervio Mediano

Flexor Largo del Primer dedo y su Vaina (Hipoecogénica) que lo identifica siempre (Líneas rosas curvas)

Flexor Radial del Carpo protegido por Retinaculo Flexor (Líneas rosas)

Observamos detalles increíbles de la anatomía ecográficamente dibujada con la sonda Stick Hockey de 22Mhz de Canon.

  1. Tercio proximal del brazo.

Corte en eje corto de la Cara Interna del brazo en Tercio Próximal.

Músculos

Deltoides
Ambas cabezas bicipitales
Pectoral
Coracobraquial

Inserción tendinosa del Pectoral

Vasos

Nervios Mediano y Musculocutáneo

Hueso

Imagen conseguida con sonda lineal de 14 Mhz de Canon

  1. La Placa Palmar del dedo flexor de la mano.

Imagen en eje largo del tercer dedo en la cara palmar en su articulación metacarpofalángica.

De superficial a profundo:

Piel
TCS
Flexor Superficial
Flexor Profundo
Placa Palmar
Cartílago
Hueso

La Placa Palmar es una ecoestructura triangular que se inserta en la base de la falange proximal apuntándose hacia craneal y es de aspecto ecográfico homogéneo e hiperecogénico en su normalidad.


María Leal Gondra y Antonio Lanzas Carmona  te invitamos a asistir al Curso de Ecografía de SETSS para TSID – Nivel 2 que se celebrará en Febrero de 2022 en Villalba, con la presencia de dos referentes de la Ecografía MsK y el Doppler, el Dr. Javier Fernández Jara , Jefe de Radiodiagnóstico Hospital Sanitas La Zarzuela y el Dr. Félix Guerra Gutiérrez, Jefe Asociado en Hospital Universitario Rey Juan Carlos del grupo Quirónsalud. Ambos nos deleitarán con sendas Master Class en su especialidad.

Disfrutaremos después de una clase teórica práctica sobre la «Optimización del Equipo de Ecografía y la Imagen Ecográfica» para que saques el máximo partido a tu equipo de ultrasonido, impartida por María Leal y Antonio Lanzas.

También se une a la fiesta Javier Álvarez. Profesor, colaborador, parte importantísima de ecografíafacil.com, junto con María, y además, queridísimo amigo que nos va a dar una clase increíble sobre la Elastografía con demostración posterior.

El resto del fin de semana, Prácticas Nivel 2 para aprender protocolos básicos de los estudios más demandados en la ecografía clínica MSK y Doppler.

Con ecógrafos de alta gama de Canon Medical Systems Europe Sin duda un evento que no te puedes perder.

Solo quedan 10 Plazas¡¡

Ha sido un día bonito hoy…

303. Entensopatía insercional EIAI. Revisión Post 186. Anatomía.

Para explicar lo que es una entesopatía, es mejor conocer la etimología de la palabra. Entesis es la inserción de los tendones, ligamentos, cápsulas y fascias al hueso. El sufijo -patía, es enfermedad o dolencia.

En este breve post, te cuento una entesopatía que encontré no hace mucho. El paciente era deportista, padecía dolor crónico, en la cara anterior de la cadera derecha, no impedía el ejercicio, en alguna ocasión fue invalidante, apareciendo un dolor agudo nocturno tras ejercicio intenso, según me comentó. Su médico de familia le envía para valoración de la cara anterior de la cadera, la zona de dolor.

Primero anatomía de normalidad y localización de las inserciones del recto anterior, que tiene dos. Una en la EIAI o espina Iliaca Antero Inferior, la otra superior al acetábulo. Una Directa, la otra indirecta, una sin anisotropía, la otra con anisotropía por la angulación de las fibras al buscar la inserción más profunda… Te señalo e verde otra inserciones importantes en esa región.

 

 

El post sirve para ver anatomía y aprender una forma de estudio de la inserción del tendón del recto anterior del cuadricipital donde vas a ver esas fibras, perfectas. Como se tiene que ver para buscar entensopatías a ese nivel y para que las reconozcas en otras localizaciones típicas, aquiles, epicóndilo…etc…

Lo primero que hice fue tumbar al paciente en la camilla, con una sonda de alta frecuencia posicionada en la zona de dolor, explorando dicha zona en eje largo respecto del fémur, es decir, corte longitudinal.

Encontré esta imagen:

 

1

Evidentemente es una imagen patológica comparada con una normal contralateral, la anatomía de la región patológica está cambiada, el hueso está irregular, comparativamente con la zona normal. Esos cambios en el hueso se visualizan en la espina iliaca inferior, donde inserta el tendón del recto anterior, pero este tendón no solo inserta fibras ahí, sino que algunas de ellas insertan justo en la región superior del acetábulo, imagen 3, es decir, justo antes de la inserción en la espina iliaca anteroinferior, algunas se bifurcan hacia profundo, buscando el acetábulo.

La imagen 2 es centrándonos en la zona de patología, aún más espectacular. Se observa la deformación global del hueso en esa zona marcado con flecha amarilla plana.

2

Explorar esta zona de inserción es complejo, el recto anterior, que luego es el tendón intramuscular o rafe del recto anterior del cuadriceps, inserta mediante su tendón buscando la profundidad en la cadera, con lo que encontramos anisotropía…te voy a enseñar una forma de explorarlo donde vas a poder corregir esa anisotropía. La exploración habitual es con la pierna en extensión y decúbito supino, pero vamos a pedir al paciente que se siente en la camilla, baje la pierna  y apoye el talón del pie, el tronco del paciente mínimamente inclinado hacia atrás, la cadera y la rodilla en extensión y la sonda colocada en la zona de inserción…la imagen que logras es esta maravilla, imagen 3.

3

Cuando en la zona de inserción en la EIA inferior tiene cambios en la inserción del tendón se verán imágenes de calcificación lineal de la inserción, cuando esos cambios son muy llamativos tenemos la imagen 1 y 2, cuando son menos llamativos la imagen 4, pero ojo que ambos pueden dar clínica a valorar por los médicos especialistas.

Es importante que conozcas la zona, la anatomía, y que pruebes la proyección que te he explicado, verás esas fibras insercionales muy bien porque corriges la anisotropía.

En la imagen número 5 puedes ver el corte axial de la imagen 4, como a tres centímetros de la inserción. Puede estar ligeramente modificada la angulación para corregir anisotropía del tendón, y me parece una imagen muy bonita, el recto anterior es externo.

5

En el corte axial puedes observar el tendón del recto anterior, que ya no intramuscular, ya no el rafe, como ves en la imagen 6:

El corte ya no es en el muslo, es prácticamente en la cadera, y lo importante es seguir bien en las dos proyecciones el tendón.


 


 


María Leal Gondra y Antonio Lanzas Carmona  te invitamos a asistir al Curso de Ecografía de SETSS para TSID – Nivel 2 que se celebrará en Febrero de 2022 en Villalba, con la presencia de dos referentes de la Ecografía MsK y el Doppler, el Dr. Javier Fernández Jara , Jefe de Radiodiagnóstico Hospital Sanitas La Zarzuela y el Dr. Félix Guerra Gutiérrez, Jefe Asociado en Hospital Universitario Rey Juan Carlos del grupo Quirónsalud. Ambos nos deleitarán con sendas Master Class en su especialidad.

Disfrutaremos después de una clase teórica práctica sobre la «Optimización del Equipo de Ecografía y la Imagen Ecográfica» para que saques el máximo partido a tu equipo de ultrasonido, impartida por María Leal y Antonio Lanzas.

También se une a la fiesta Javier Álvarez. Profesor, colaborador, parte importantísima de ecografíafacil.com, junto con María, y además, queridísimo amigo que nos va a dar una clase increíble sobre la Elastografía con demostración posterior.

El resto del fin de semana, Prácticas Nivel 2 para aprender protocolos básicos de los estudios más demandados en la ecografía clínica MSK y Doppler.

Con ecógrafos de alta gama de Canon Medical Systems Europe Sin duda un evento que no te puedes perder.

No hay descripción alternativa para esta imagen


 

301. Anatomía ecográfica de la cara anterior del Antebrazo

La anatomía ecográfica de la cara anterior del antebrazo es una preciosidad.

En este Post María Leal Gondra y desde su perfil de Linkedn nos enseña esta anatomía. El corte anterior del tercio proximal del Antebrazo y en eje corto. Tres cortes, región lateral interna, medial y lateral externa.

El acceso es fácil, hiperextesión del codo del paciente frente al examinador, eje corto, vamos buscando la región a explorar, es muy importante visualizar en un mismo corte toda las ecoestrusturas, muscular, ósea, y vasculo nerviosas de la anatomía.

Tenemos que ajustar muy bien los parámetros técnicos.

1. Interna o medial (Haz Click)
2. Medio (Haz Click)
3. Lateral o externa (Haz Click)

El estudio corresponde a la cara anterior, fíjate en el pictograma. La técnica requiere que observes muy bien toda la anatomía. Es importante también que tengas la anatomía muy clara y es una anatomía muy compleja, por lo que si estás empezando, te recomiendo que uses literatura anatómica descriptiva. Vas a aprender mucho. Si te pones al lado una imagen del Netter vas a aprender de lo lindo y te aseguro que vas a mejorar.

Te dejo un dibujo que te puede ayudar de la anatomía en eje corto a ese nivel, con la musculatura mas importante, es vital, tienes que jugar a buscar en las imágenes anatómicas en el dibujo y ecoestructuras en las imágenes con las flechas señalando la anatomía.

Vas a encontrar diferentes tipos de anatomías, el caso del caso que te describe María en su perfil de LinkedIn y que son las fotos de este Post, es el caso es de un deportista de élite acostumbrado a levantar grandes pesos, observa las fibras musculares muy bien definidas…



María Leal Gondra y Antonio Lanzas Carmona  te invitamos a asistir al Curso de Ecografía de SETSS para TSID – Nivel 2 que se celebrará en Febrero de 2022 en Villalba, con la presencia de dos referentes de la Ecografía MsK y el Doppler, el Dr. Javier Fernández Jara , Jefe de Radiodiagnóstico Hospital Sanitas La Zarzuela y el Dr. Félix Guerra Gutiérrez, Jefe Asociado en Hospital Universitario Rey Juan Carlos del grupo Quirónsalud. Ambos nos deleitarán con sendas Master Class en su especialidad.

Disfrutaremos después de una clase teórica práctica sobre la «Optimización del Equipo de Ecografía y la Imagen Ecográfica» para que saques el máximo partido a tu equipo de ultrasonido, impartida por María Leal y Antonio Lanzas.

También se une a la fiesta Javier Álvarez. Profesor, colaborador, parte importantísima de ecografíafacil.com, junto con María, y además, queridísimo amigo que nos va a dar una clase increíble sobre la Elastografía con demostración posterior.

El resto del fin de semana, Prácticas Nivel 2 para aprender protocolos básicos de los estudios más demandados en la ecografía clínica MSK y Doppler.

Con ecógrafos de alta gama de Canon Medical Systems Europe Sin duda un evento que no te puedes perder.

No hay descripción alternativa para esta imagen

298. Osteocondromatosis Sinovial de la Rodilla.

Paciente masculino, de unos 60 años, deportista. Acude por dolor en la zona de la cintilla iliotibial con una sospecha de su médico de un síndrome a este nivel. 

Empiezo la ecografía dirigiendo mi atención a la inserción de la cintilla ilitibial, que proviene del Tensor de la Fascia Lata y que recorre la cara externa del muslo, superficial al vasto externo hasta llegar a insertarse en el tubérculo de Gerdi

Bajo la cintilla se encuentra, a nivel del cóndilo femoral, una Bursa, está relacionada con este proceso patológico típico de los deportistas que se conoce como la rodilla del corredor. Revisamos un poco un caso que he publicado no hace mucho.

Rodilla del Corredor.

Entre los dolores de rodilla más frecuentes se encuentra el síndrome de la banda iliotibial o de la cintilla iliotibial, popularmente conocido como rodilla del corredor o Maissiat. Son estos deportistas a los que más afecta esta patología, además, de a los ciclistas. Suele darse por sobreuso y en corredores de larga distancia, por eso es raro encontrarlo en corredores sprinters.

Lo más importante en este síndrome es la anatomía afectada y el mecanismo de acción que provoca la lesión. Siempre es bueno conocer los mecanismos de lesión, lo repito siempre y en esta zona, las estructuras implicadas son muy pequeñas algunas de ellas y móviles, siendo además este movimiento repetitivo lo que causa dicha lesión.

¿Qué es la cintilla iliotibial? Es una “tela” muy tensa, muy fuerte que es la extensión del tensor de la fascia lata. Este tejido inserta en el Tubérculo de Gerdy, en la cara antero externa de la tibia. Muchas veces, la causa de esta lesión no está en el lugar de localización del dolor. Muchas veces la causa puede estar más proximal, por eso en fisioterapia se trata de forma integral todo el conjunto del músculo, desde su origen en la para iliaca hasta la inserción de la cintilla en la tibia. Es importante comprender la tensión de este tejido. Imagen 1.

Otro elemento importante es el cóndilo femoral externo, profundo a esta cintilla, pero muy cercano, entre ambos, una bursa, imagen 3…ya tenemos todos los ingredientes para que una fricción repetitiva de estos tres elementos que junto con una aderezo oportuno, como el calzado, el terreno y otros condicionantes de la carrera y una flexión de rodilla de una 30º haga que el roce  sea una fricción máxima del cóndilo, la bursa y la cintilla.

1
2
3

Cuando la bursa se altera aparece líquido, «es lo normal», pero en el caso de hoy te enseño en las imágenes de la 4 a la 8, imágenes de una Bursa a la que está afectando una Osteocondrosis Sinovial que es una metaplasia benigna de la membrana sinovial. Te puedes preguntar qué es una Metaplasia, la metaplasia es un cambio de un tejido en otro, de manera muy genérica. En este caso, existe la proliferación de la membrana sinovial (imagen 4 y 6), y formación de cuerpos cartilaginosos que pueden calcificarse (imagen 5,7 y 8), dicho de otro modo, la transformación se produce cuando se generan en la Bursa una serie de calcificaciones redondeadas hiperecogénicas y con sombra acústica posterior u Osteocondrosis Sinovial.

De etiología desconocida se presenta de modo habitual de modo monoarticular. La osteocondromatosis o condromatosis puede ser primaria o secundaria.

La primaria presenta presencia de múltiples cuerpos redondeados de igual forma y tamaño, con grado variable de calcificación. Existe la secundaria, donde son de distinto tamaño y se acompaña de artrosis. Esta es la que te presento hoy.

Comprueba la anatomía y los hallazgos que te he explicado y que no son más que la bursa con calcificaciones o cuerpos extraños. El paciente presenta en el inicio dolor monoarticular, con rigidez, puede avanzar hasta la disminución de la amplitud de movimientos, los derrames, crepitación, inflamación y eventual bloqueo de la articulación.

4
5
6
7
8

Un caso precioso, que espero que te guste tanto como a mi encontrarlo y documentarlo…Buenas noches.




María Leal Gondra y Antonio Lanzas Carmona  os invitamos a asistir al Curso de Ecografía de SETSS para TSID – Nivel 2 que se celebrará en Febrero de 2022 en Villalba, con la presencia de dos referentes de la Ecografía MsK y el Doppler, el Dr. Javier Fernández Jara , Jefe de Radiodiagnóstico Hospital Sanitas La Zarzuela y el Dr. Félix Guerra Gutiérrez, Jefe Asociado en Hospital Universitario Rey Juan Carlos del grupo Quirónsalud. Ambos nos deleitarán con sendas Master Class en su especialidad.Disfrutaremos después de una clase teórica práctica sobre la «Optimización del Equipo de Ecografía y la Imagen Ecográfica» para que saques el máximo partido a tu equipo de ultrasonido, impartida por María Leal y Antonio Lanzas.

El resto del fin de semana, Prácticas Nivel 2 para aprender protocolos básicos de los estudios más demandados en la ecografía clínica. Con ecógrafos de alta gama de Canon Medical Systems Europe Sin duda un evento que no te puedes perder.

297. Nervio Tibial Posterior y Nervio Baxter

El nervio tibial posterior proviene del nervio ciático, siendo la rama más larga de dicho nervio.

El ciático es el nervio más largo del cuerpo humano, se bifurca en sus dos ramas:

  • Nervio peroneo común
  • Nervio tibial posterior:

Discurre por debajo del músculo sóleo y después sigue su trayecto por la región profunda del compartimento posterior de la pierna juntamente con el músculo tibial posterior y los vasos tibiales posteriores.

Se bifurca en:

  1. Nervio Calcaneo Medial o NCM
  2. Nervio Plantar Lateral o NPL de donde se bifurca en Nervio Baxter
  3. Nervio Plantar Medial o NPM

TP: TIBIAL POSTERIOR

FC: FLEXOR COMÚN DEDOS

F1: FLEXOR DEL PRIMER DEDO

NCM: NERVIO CALCANEO MEDIAL

NPL: NERVIO PLANTAR LATERAL

NB: NERVIO BAXTER

NPM: NERVIO PLANTAR MEDIAL

La exploración es complicada, partiendo de la imagen de la posición de la sonda, apoyando la sonda en la parte posterior de la tibia, casi en el maléelo, localizamos el Nervio Tibial Posterior junto a los vasos tibiales, cerca del flexor del primer dedo. 

Ahora solo queda ir buscando las divisiones y ramificaciones del nervio conociendo la anatomía y la disposición de los nervios. Pintar ayuda mucho y me encanta…Aprendo mucho.

Conocemos la semiología del Nervio periférico con el típico aspecto de Panal de Abeja. La dificultad estriba en la técnica ecográfica, nivel alto, la gama del equipo y el ajuste del equipo. A más calidad de imagen, mejor veremos estas ecoestructuras nerviosas. Con este equipo de Canon se vieron fenomenal.

Seguimos aprendiendo mucho, estudiando mucho, creciendo y haciendo lo que más nos gusta, algunos piensan que somos unos locos, nosotros decimos que es, Pasión. 


María Leal Gondra y Antonio Lanzas Carmona  os invitamos a asistir al Curso de Ecografía de SETSS para TSID – Nivel 2 que se celebrará en Febrero de 2022 en Villalba, con la presencia de dos referentes de la Ecografía MsK y el Doppler, el Dr. Javier Fernández Jara , Jefe de Radiodiagnóstico Hospital Sanitas La Zarzuela y el Dr. Félix Guerra Gutiérrez, Jefe Asociado en Hospital Universitario Rey Juan Carlos del grupo Quirónsalud. Ambos nos deleitarán con sendas Master Class en su especialidad.

Disfrutaremos después de una clase teórica práctica sobre la «Optimización del Equipo de Ecografía y la Imagen Ecográfica» para que saques el máximo partido a tu equipo de ultrasonido, impartida por María Leal y Antonio Lanzas.

El resto del fin de semana, Prácticas Nivel 2 para aprender protocolos básicos de los estudios más demandados en la ecografía clínica. Con ecógrafos de alta gama de Canon Medical Systems Europe Sin duda un evento que no te puedes perder.

 

295. Músculo Abductor del dedo pequeño del pie. Patología.

De las patologías raras en ecografía muscular es esta que te presento hoy.

La paciente llega a la sala con una petición de su médico de familia donde le piden una ecografía para valorar los ligamentos peroneos por una molestia persistente en punta de dedo en la base del quinto metatarsiano. Se sospecha patología de inserción del ligamento peroneo corto.

En la exploración se valoran con rigurosa normalidad los ligamentos del tobillo con especial atención al ligamento tibioperoneo anterior, al peroneoastragalino en sus dos fascículos como muy bien hemos aprendido estas semanas de María Leal Gondra, uno superior y otro inferior, muy pegaditos y el ligamento peroneocalcaneo.

Después y con rigurosa normalidad también, los peroneos, específicamente el corto, con inserción en la base del quinto meta, donde en este caso hace una inserción respetada con cánones de normalidad.

La sorpresa, justo en el corte longitudinal del tendón, pero hacia plantar, observo una imagen hipoecogénica que me llama mucho la atención, porque es distal o profunda a la inserción del peroneo corto.

Observo fibras musculares de inserción en la cabeza de quinto meta, aumentadas de tamaño, hipoecogénicas con aumento de vascularización en el doppler de microvasculariación, no tenía ni en el doppler ni en el modo angio.

Estudio el hallazgo, lo mido y lo documento. La lesión depende de un músculo que según la anatomía que tuve que consultar es el Músculo abductor del dedo pequeño del pie, externo, y profundo respecto del tendón del peroné corto. Comparo con el lado contralateral, normal, la paciente tiene dolor durante la exploración y cuando pido dorsiflexión de los dedos del pie.

Imágenes:

1. Peroneo Corto Normal en la inserción

En la imagen 1 puedes observar la normalidad insertadora del Tendón Peroneo Corto.

2. Lesión
3.Microvascularización
4.Comparativa eje largo
5.Comparativa Eje Corto
6.Anatomía y Patología

De la 2 a la 6, lo comentado previamente, el hallazgo de la una lesión en un músculo poco conocido en relación con una inflamación de las fibras insercionales en esa región, puesto que el músculo en cuestión es más largo, llegando a insertar también en la base de la falange proximal del 5 dedo.

En la imagen 3 puedes ver microvascularización, y también la normalidad del músculo que llegando a la zona de conflicto se vuelve mucho más grande, casi por 5, e hipoecogénico.

Las imágenes 4 y 5 son muy esclarecedoras de lo que está pasando es ese pie. Justo en la parte más profunda y externa del pie afectado. Normalidad y patología en las comparativas que nos ayudan siempre tanto.

La imagen 6, la patología con la anatomía circundante.

La lesión es muy poco común y requiere estudio pormenorizado por parte de traumatólogo, tratamiento fisioterápico y estudio biomecánico de la pisada.


Tengo que intentarlo…

294. Aquiles. Revisión y Casos.

Llegamos a una región muy estudiable desde el punto de vista de la Eco MSK. Es el Tendón de Aquiles. Es un tendón muy importante, potente, cuando se rompe es brutal escucharlo…

El estudio del Aquiles voy a intentar esquematizarlo para que no sea tan costoso, al menos la parte teórica, y vamos a disfrutar luego con las imágenes, que es lo que importa.

La sonda que usamos será de alta frecuencia.

La/el paciente en decúbito prono con el pie “colgando” fuera de la camilla de exploración y con un ángulo de 90º entre el eje largo de tibia con el eje largo del pie. Mira:

El ángulo correcto lo marca la línea roja que ves en la imagen superior.

La posición de la sonda será sobre el eje largo del tendón, que en ocasiones será muy fino y habrá que mantener la estabilidad de la sonda apoyando levemente el 5º dedo de la persona que ejecute la prueba sobre la piel de la/el paciente para mantener correctamente posicionado el transductor y además debemos asegurarnos de ver todo el tendón desde la parte proximal del tercio medio de la pierna hasta la inserción en el calcáneo tanto en longitudinal como en transversal…

Coloca la sonda donde están las letras de ecografiafacil.com

Consideraciones sobre el Tendón de Aquiles:

  • TENDÓN CONJUNTO DE LOS MÚSCULOS GEMELO Y SÓLEO, ANATOMÍA.
  • SE PUEDE INFLAMAR DEBIDO A SOBRECARGA O ARTRITIS, PATOLOGÍA. DICHA SOBRECARGA PUEDE PREDISPONER A ROTURA DEL MISMO (QUIRÚRGICO)
    • SUELE ROMPER 5 CM POR ENCIMA DE LA INSERCIÓN
  • SÍNDROME DE HAGLUND
    • “ESPOLÓN” ANÓMALO DEL CALCÁNEO EN EL BORDE POSTEROSUPERIOR, EN LA INSERCIÓN.

El objetivo de este estudio es:

  • OBJETIVAR PATOLOGÍA:
    • TENDINOPATÍAS
      • RESOLVER SI SON DIFUSAS O FOCALES
      • SI ESTAS ESTÁN CON ROTURA O SIN ROTURA
    • SI HAY DESGARROS
    • SI HUBIERE ROTURA, SI ESTA ROTURA FUESE COMPLETA O NO
    • BURSITIS

Las tendinopatías son la patología más habitual, debemos conocer sus signos ecográficos, para poder sospechar de sus presencia, mira:

  • PÉRDIDAS DE REFLEXIÓN (Hipoecogenicidades)
  • ÁREAS HIPOECOGÉNICAS/ANECOICAS (DESGARROS)
  • AUMENTO DEL CALIBRE, MUY HABITUAL
  • ENTESITIS
  • CALCIFICACIONES

Las roturas son menos habituales, pero son muy dolorosas y con mucha clínica, además eventualmente son quirúrgicas y sus signos ecográficos son estos:

  • INTERRUPCIÓN DEL GROSOR COMPLETO DEL TEJIDO TENDINOSO NORMAL
    • EL ESPACIO FORMADO SE SUELE LLENAR DE LÍQUIDO, SANGRE Y RESTOS
  • INTENTAR DELIMITAR LOS EXTREMOS y MEDIR LA DISTANCIA ENTRE ELLOS COMO INFORMACIÓN PARA EL CIRUJANO
  • EXPLORACIÓN DINÁMICA, SI ES POSIBLE Y EL DOLOR LO PERMITE (CASI NUNCA)

Lo primero normalidad:

En la inserción en el Calcáneo por la parte posterior las líneas amarillas marcan los diferentes grosores normales que adopta el tendón(hiperecogénico), desde su inserción distal hasta donde se hace más grande en el tercio distal de la pierna.

La flecha rosa marca una ligera cantidad de líquido normal que encontraremos justo encima de la línea hiperecogénica bajo el tendón y que corresponde con el calcáneo.

Cuanto más proximal es el tendón, más se aleja de la inserción, más fino se hace…

En las siguiente imágenes vemos normalidad de fibras y grosores, con grosores y alteración del patrón normal del tendón…

La imagen superior muestra un corte longitudinal del tendón tendinopático con técnica panorámica desde la inserción hasta el tercio medial de la pierna por la parte posterior, lógicamente.

En la imagen siguiente, ejemplo típico de de calcificaciones con Entesitis de la inserción. Se observa una imagen lineal hiperecogénica en la inserción del tendón con hipoecogenicidad local…

Ahora el corte transversal…

Por último un ejemplo de rotura que te comparo con la imagen de la misma localización en la imagen obtenida previa a la cirugía en RMN:

 

Estas imágenes corresponden a la misma lesión , del mismo individuo vista con dos técnicas de imagen distinta, las flechas amarillas marcan la zona de rotura casi total…

En la eco se observa ligeramente el líquido anecoico que rodea la lesión y que se ve muy marcado en la imagen potenciada en T2 de la RMN.

Casos clínicos:

Tendinosis:

Dentro de la patología habitual que encontramos en esta localización tenemos la tendinosis del tendón que cursa con aumento de tamaño del tendón, hipoecogenicidad y dolor. Es lo más habitual y es fácil encontrarlo a unos 5 cms de la inserción. Puede haber un abombamiento del tendón, imagen 3. Pueden estar todos los cambios descritos o solo algunos de ellos.

Ojo siempre con la posición profunda de la parte posterior del tobillo. La Grasa de Kager y el Flexor del primer dedo que pasa superficial a la tibia y entra en el pie a la altura del tercer maleolo del tobillo (Imagen 1 y 3) en la profundidad del Aquiles puede contener patología que si no se exporta con suficiente profundidad, nos la podemos comer.

1
2
3

Calcios:

Los calcios de inserción son muy típicos en el estudio por dolor en la región aquílea. Suelen ser lineales, pueden ser bilaterales, hiperecogénicos. Pero a veces pueden ser muy numerosas y de aspecto más grotesco, todos en la inserción o cerca sin afectar a la Bursa retroaquílea. Imagen 5 y 6.

4
5

El problema es cuando aparecen a la altura de la Bursa retroaquílea como a 3 centímetros de la inserción, donde siempre podemos encontrar un poquito de líquido típicamente bilateral. Si la calcificación existe en esa localización y afecta a la Bursa retroaquílea podemos estar hablando de un Síndrome de Haglund, o sea, que mucho cuidado con el aspecto y la localización de las calcificaciones, no es lo mismo las de inserción, que las que están en la Bursa retroaquilea. Imagen 6,7 y 8, afectación por S.Haglund

6
7

 

Fíjate en la imagen en la imagen 8 como la localización es diferente de la imagen 5. Fíjate como la Bursa en la Rx está con una densidad distinta y como se ve la densidad del Aquiles en la Rx, la correlación con la 6 y la 7 es perfecta al ser la misma paciente. Un Síndrome de Haglund. Precioso.

Roturas:

Las roturas del tendón de Aquiles no son infrecuentes. Es un tendón muy potente. Tras la tendinosis mal cuidada pueden devenir complicaciones. Te voy a enseñar tres estadíos de las roturas en el tendón aunque eso este post ya has visto alguna.

Estadio 1, es una pequeña intratendinosa. Casi inapreciable. Imagen 9. Hipoecogenicidad en plano profundo del tendón , redondeada y pequeña.

9

El estadío 2 es una rotura de fibras superficiales que se encuentran retraídas, el tendón parece normal, pero las fibras están rotas. Es una rotura antigua. El tendón está aumentado de tamaño.

10

El estadío 3 es la madre de todas las roturas. Con todas las características que tiene que tener una rotura del tendón, hipoecogenicidad, heterogeneidad, aumento de tamaño, líquido, una evidente solución de discontinuidad en las fibras, en fin un desastre tendinoso.

11
12
13
14

11 y 13 demuestran rotura del tendón. 12 y 14 el resto de características que hemos mencionado como típicas de roturas de gran calibre.


La segunda edición morada de Eco Fácil editado por Marbán está a la venta.

Nuevos protocolos Doppler de Alejandro Soriano Valencia.

Un capítulo dedicado a la exploración del Tórax, básico.

Un capítulo precioso de María Leal Gondra sobre los valores y medidas normales de ecoestrusturas de uso habitual en los protocolos que describe el libro. Me encanta.


Un mundo imperfecto. Hay que vivirlo igual. No tengo miedo.

 

293. Hemorragia Matriz Germinal Grado 1.

Uno de los lugares más especiales para hacer ecografía es en los servicios de neonatología. Hacer una ecografía transfontanelar a un recién nacido es una experiencia inolvidable, es de las pruebas a las que uno le pone siempre especial cariño. Particularmente a mi, me superencanta. Hoy quería subir este caso, muy sencillo. Muy bonito. Me acuerdo de ella, era muy linda.

Normalmente lo recién nacidos que se encuentran en las unidades de neonatos han sufrido o sufren alguna patología producida en el parto o justo después.

En el caso de esta pequeña nos pidieron una ecografía de control de una hemorragia de la matriz germinal grado 1 diagnosticada a las pocas horas de nacer.

En el Post 213 ya hable de este particular, pero hoy revisando casos y casos que tengo almacenados, he pasado todos la tarde en este empeño, me he encontrado con este caso, me acuerdo de ella. La hice yo en la unidad, inolvidable.

La hemorragia es la imagen hiperecogénica, homogénea y psudoredondeada del lado derecho. El quiste, redondo e hipoecogénico, del lado izquierdo. No se pudo demostrar una hemorragia en ese lugar.

1
2
3
4
5

 

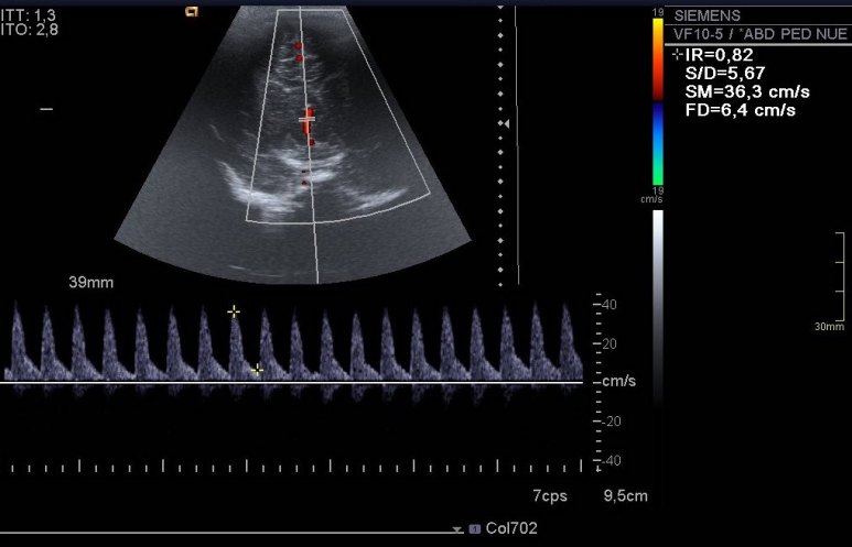
Pequeña hemorragia matriz germinal lado derecho, grado uno, y pequeño quiste asociado izquierdo indicando reabsorción parcial en ese lugar. Imagen 1.Sistema ventricular de tamaño normal. Imagen 1 a 4.

El índice de resistencia vascular se encontraba en los márgenes normales. Imagen 5.


La segunda edición morada de Eco Fácil editado por Marbán está a la venta.

Nuevos protocolos Doppler de Alejandro Soriano Valencia.

Un capítulo dedicado a la exploración del Tórax, básico.

Un capítulo precioso de María Leal Gondra sobre los valores y medidas normales de ecoestrusturas de uso habitual en los protocolos que describe el libro. Me encanta.


Desierto.

292. Fibroelastoma dorsi

En el caso que te enseño esta noche es una lesión poco frecuente que es típica con cierta predilección por una localización en la región paradorsal y situado en el ángulo inferior de la escápula.

En este caso la paciente presentaba un bulto palpable en el lugar referido en el párrafo anterior. La sospecha era de lipoma, venía con una petición de su médico de familia. La paciente contaba que se notaba más el bulto cuando realizaba una separación de la escápula, llevando los hombros hacia adelante. 

Situé a la paciente de espaldas a mi. Solamente tuve que poner transductor para ver una lesión heterogénea de aspecto global hiperecogénico. Medí la lesión en los dos planos intentando demostrar los bordes, que en la situación anatómica era complicada de estudiar. La lesión no presentaba captación doppler.

Imágenes:

1
2
3
4
5
6
7

Como siempre la normalidad en la imagen 1, para tener un punto de partida desde que el que partir, aunque en este caso solo me sirvió para comprobar que la lesión era unilateral, solo una vez en tierras pamplonicas vi un caso bilateral, y no lo podré olvidar.

En la imagen 2 la imagen con anatomía de la figura patológica y la relación con ecoestrusturas normales adyacentes.

3 y 4 con medidas en eje corto y largo. La imagen 5 y 6 con los bordes y su relación con el tejido normal, finalmente la 7, doppler.

El Fibroelastoma Dorsi tiene un amplio diagnóstico diferencial y el diagnóstico es de anatomía patológica. Es un tumor benigno, de proliferación lenta, a menudo asintomático, descubierto en otras pruebas diagnósticas com el TAC o la RMN de la columna. Afecta mayoritariamente a mujeres de mediana edad y que usan sus hombros en su ejercicio laboral, la fricción mecánica de la escápula con la pared torácica puede ser uno de los efectos inductores a la aparición de este tipo de patologías.


La segunda edición morada de Eco Fácil editado por Marbán está a la venta.

Nuevos protocolos Doppler de Alejandro Soriano Valencia.

Un capítulo dedicado a la exploración del Tórax, básico.

Un capítulo precioso de María Leal Gondra sobre los valores y medidas normales de ecoestrusturas de uso habitual en los protocolos que describe el libro. Me encanta.


 

 

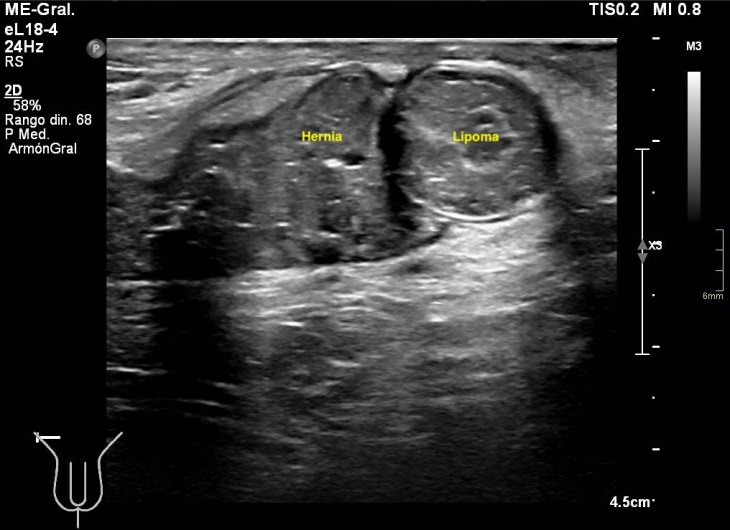
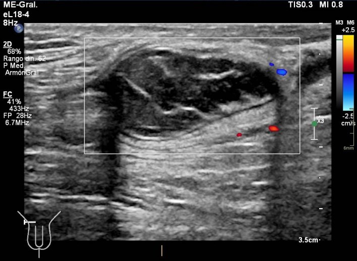
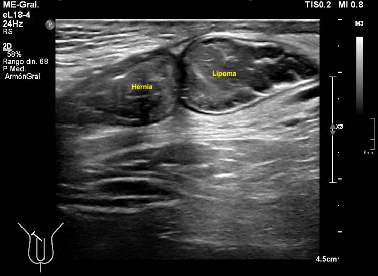
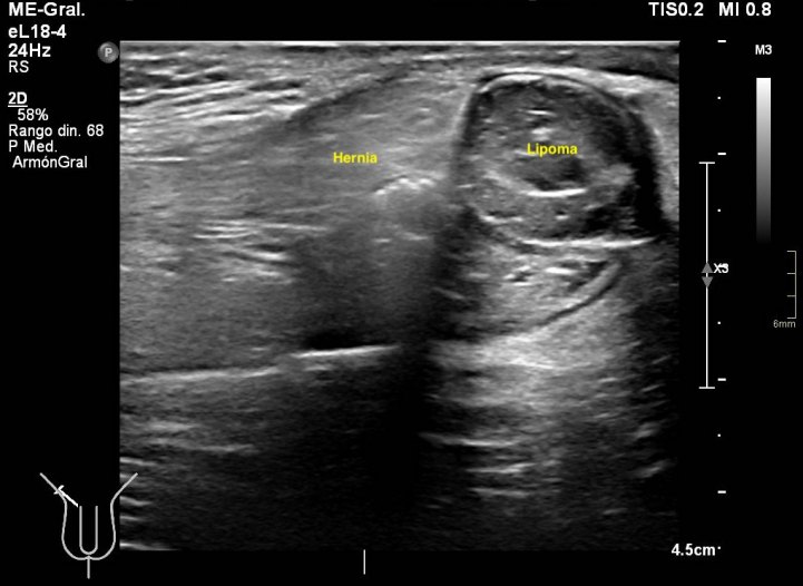
291. Lipoma de cordón y hernia inguinal.

En algunas ocasiones te encuentras cosas muy chulas, sin esperarlas, son esas cosas que no olvidas. Esta semana entró en la sala un paciente para descartar una hernia inguinal, valorada por el cirujano previa a la cirugía. Cuando el paciente se tumbó en la camilla y se descubrió la región inguinal, era evidente que algo pasaba porque tenía un bulto muy llamativo, duro. Justo cuando le puse el traductor y sin tiempo para reaccionar la hernia se corrigió, el bulto desapareció…casi. Me di cuenta que la hernia existía, sin verla, así que me pude a evaluar la región inguinal desde le teste, buscando el canal inguinal…Sorpresa…

Nada más acabar el testículo y empezar el canal inguinal me encontré una estructura hipoecogénica, con septos, con un borde ecogénico a modo de cápsula muy llamativo. La estructura era dura y fija, no respondía a valsalva, enseguida me dí cuenta de que no era parte de una hernia, no era una tripa, porque no se movía…siguiente sorpresa…

Cuando le pedía al paciente que hiciera valsalva, y por el canal inguinal aparecía una hernia muy evidente, con un cuello visible en dos proyecciones, la hernia tenía tanto grasa como asas intestinales, sonaba al entrar y al salir.

Lo más llamativo y lo que más me gustó de la prueba es que cuando la hernia llegaba a la estructura fija que estudié en primera instancia, la abrazaba, se apoyaba en ella y o conseguía moverla…y después retrocedía introduciéndose en la cavidad abdominal. 

La hernia era una hernia más, el bultoma me hizo saltar las alarmas y se lo comuniqué al radiólogo responsable. Ante la sospecha razonable de que pudiera ser un tumor, decidió ampliar con un TAC de Pelvis sin CIV que demostró la existencia tumonal benigna que correspondía con un lipoma de cordón, benigno, por su aspecto amable, bordes definidos, tabique externo y centro graso.

Hernia inguinal, con foramen de 15 mm, con introduccion en saco herniario de 3 cms, de grasa omental. Imagen nodular en cordon, distal, de 2 cms, que sugiere patologia benigna.

En una misma región coexistiendo dos figuras patológicas. Fue muy bonito ver que la hernia tocaba el lipoma y retrocedía, disfruté comprobando que los hallazgos ecográficos se confirmaron con el scanner. El caso es precioso y quería que lo vieses, y en esta noche lluviosa y fría, te lo dejo en imágenes…Espero que te guste.

1
2
3
4
5
6
7
8
9
10
11
12

De la imagen 2 a la 5 puedes ver documentado y medido en dos planos con doppler la lesión fija en el cordón.

De la imagem 6 a 8 puedes ver la lesión y su relación con la hernia, en la 6, no se ve la hernia, pero sí el canal inguinal, en la 7 y la 8 observas como la hernia toca el lipoma casi abrazándolo.

La 9 demuestra el contenido de tripas en la hernia.

La 10 y la 11 como la hernia se retira paulatinamente cuando el paciente deja de hacer la maniobra de valsalva.

La imagen 12, lo que corroboraba la sospecha de lesión tumoral en el cordón a expensas de la coexistencia de una hernia en esa localización. Precioso, TODO.


La segunda edición morada de Eco Fácil editado por Marbán está a la venta.

Nuevos protocolos Doppler de Alejandro Soriano Valencia.

Un capítulo dedicado a la exploración del Tórax, básico.

Un capítulo precioso de María Leal Gondra sobre los valores y medidas normales de ecoestrusturas de uso habitual en los protocolos que describe el libro.

“Hay quien apuesta fuerte…” No sé jugar de otra manera…

Hombres