Si, ya lo sé, buff, un quiste de Baker…has visto un montón, son todos parecidos…ya lo sé, pero este me encanta por una cosa, la forma en la que transmitía la paciente, hace que el estudio sea increíblemente plástico, anodino, quizá habitual, pero me encanta y en esta noche, la séptima ya, creo, quizá he perdido la cuenta, me acompaña Zahara con su voz sedosa y en fin, que me apetece enseñarte esta preciosidad.
Mira:




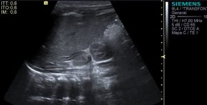
En la imagen 1 su anatomía, que es primordial y además me tiene loco perdido. El Gemelo y el Semimembranoso, profundo al Semitendinoso, que si los continuas en eje corto hacia próximal van a ser dos supermúsculos de la parte posterior del muslo. Y el cuello, del quiste que es muy bonito también.
Como el quiste era tan grande tuve que usar «Panoramic View» para poder hacer una medida y estudiar hasta donde llegaba el quiste.
La imagen 3 y 4, como son tan nítidas, puedes ver como el quiste de Baker no es un quiste de Baker simple, la pared es grosera, tiene septos y ecoestrusturas que hacen pensar que el quiste ha podido sufrir algún sangrado. Hay que descartar la formación de lesiones sólidas o polos sólido en los quistes (usando doppler), por norma general, en todos aquellos quistes que estudiemos, en otras localizaciones, por ejemplo, en la mama, en el abdomen, etc.
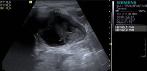
Hemos acabado aquí…no, claro que no, no iba a ser tan fácil. Te voy a mostrar otro quiste de Baker:



Compara estos dos quistes de Baker, si los miras bien son prácticamente iguales. Hay una diferencia muy importante entre tanta igualdad…uno es normal, el otro es patológico. Las tres últimas imágenes, 5 a 7, corresponde a un quiste de Baker infantil, por tanto se considera un hallazgo que puede ser normal para estas edades, esta figura en a edad adulta es siempre patológica y en relación con artrosis y cambios degenerativos de la articulación.
Por tanto, en la infancia se desconoce la forma clara el mecanismo por el que se produce. Podría estar relacionado con el desarrollo de la rodilla, pero a diferencia del adulto, su presencia no refleja ningún tipo de alteración intraarticular de la rodilla.
Imágenes idénticas de figuras patológicas que en el caso de la edad infantil no revisten más importancia y solo necesitan control. La exeresis de estos quistes no elimina la posibilidad de que se reproduzcan.
Recuerdo la importancia de comprobar siempre la permeabilidad de los vasos del hueco poplíteo con este tipo de patologías, el parecido de los síntomas de un quiste de Baker roto y la TVP puede ser muy similar y sin embargo, la TVP es una patología potencialmente peligrosa. Para ello pide al paciente que suba la pierna afectada por encima de su otra pierna para poder hacer que el retorno venoso sea más evidente y poder estudiar los mencionados vasos, sobre todo, su vena, claro.


La compresión con la sonda del hueco poplíteo establece la permeabilidad de la vena poplitea. Normalidad por tanto, manda, el comportamiento de la vena, compresible, y no el uso del doppler, por eso me permito el lujo de enseñarte la técnica sin el uso del doppler color. Línea roja: Si la vena no se colapsa.
Buenas noches.
Los recuerdos son agua…

























































