88. Patología Habitual Muslo Anterior.

La patología habitual del muslo anterior tiene que ver con aquellas patología relacionadas con patologías de la musculatura, roturas de fibras y demás…

Hoy vamos a ver un caso típico, que es la rotura de fibras de uno de los músculos…

Las roturas de fibras, muy genéricamente se puede entender como una «herida» del tejido de los músculos, tendones y fascias que componen la estructura del aparato locomotor.

Dentro de una rotura de fibras hay diferentes grados, algunas son pequeñas, otras muy grandes, incluso desinserciones musculares…no entro más en este ámbito que no me corresponde, solo quiero que entiendas que hay muchos tipos.

Ecográficamente cuando tenemos una rotura en fase aguda encontraremos líquido provocado por el sangrado y encontraremos una falta de continuidad en la anatomía normal del tejido afectado, esto de forma muy general.

Una gran ventaja del aparato locomotor y su estudio ecográfico es que podemos comparar con el lado contralateral, normalmente sano…

Veamos este caso, paciente varón de 59 años que haciendo ejercicio nota un dolor en la cara anterior del muslo, no le impide la marcha, pero lo hace con dolor.

The habitual pathology of the anterior thigh has to do with those pathologies related to pathologies of the musculature, breaks of fibers and other … Today we are going to see a typical case, which is the breaking of fibers of one of the muscles … Fractures of fibers, very generically can be understood as a «wound» of the tissue of muscles, tendons and fascias that make up the structure of the locomotor system. Within a break of fibers there are different degrees, some are small, others very large, even muscle disengagements … I do not enter anymore in this area that does not correspond to me, I just want you to understand that there are many types. In Eco when we have a rupture in the acute phase we will find fluid caused by the bleeding and we will find a lack of continuity in the normal anatomy of the affected tissue, this in a very general way. A great advantage of the locomotor system and its ultrasound study is that we can compare with the contralateral side, normally healthy … Let’s see this case, a 59-year-old male patient who, exercising, notices a pain in the anterior aspect of his thigh, does not prevent him from walking, but he does so with pain.

Colocamos la sonda en Longitudinal en el eje largo del Muslo y observamos un Recto Anterior retraído que no inserta en la Rótula de forma normal y que no discurre paralelo al eje largo del fémur.

La retracción se produce al desinsertarse de la rótula las fibras del tendón correspondientes al Recto, el tendón cuadricipital es para que lo entiendas, la unión en un solo tendón de los 4 músculos del Cuadriceps que finalmente insertan a la cara proximal del hueso sesamoideo por excelencia, la rótula.

En esa misma localización y el corte Transverso observamos lo mismo, el músculo recto anterior ausente en su localización normal y se observa un área hipoecogénica que puede corresponder al hematoma…así:

We placed the probe in Longitudinal in the long axis of the thigh and we observed a retracted anterior rectum that does not insert in the patella in a normal way and that does not run parallel to the long axis of the femur. The retraction occurs when the tendon fibers corresponding to the rectum disengage from the patella, the quadriceps tendon is for you to understand, the union in a single tendon of the 4 quadriceps muscles that finally insert the proximal side of the sesamoid bone par excellence , the kneecap. In that same location and the Transverse section we observed the same thing, the anterior rectus muscle absent in its normal location and a hypoechoic area that can correspond to the hematoma is observed … like this:
Corte Transverso

Entre las líneas azules debería estar el Recto Anterior, está ausente, sustituido por grasa y vemos la presencia un a estructura alargada hipoecogénica correspondiente a un hematoma que apoya sobre el vasto intermedio.

Finalmente tenemos dos imágenes comparativas de los dos Muslos, el patológico y el normal contralateral, eso sí, debe ser comparativo el estudio en la misma zona exactamente de los dos muslos para que la fiabilidad de la imagen sea lo más alta posible.

Es importante saber en que momento, desde que se produce el hecho, nos encontramos, me explico, en roturas agudas encontraremos mucho componente líquido, por la sangre, en roturas más «pasadas», encontraremos más fibrosis o cicatriz y menos líquido, entra en escena la Elastografía, de la que hablaremos más adelante.

Este caso es una gran rotura muscular normalmente, son más pequeñas y localizadas casi a punta de dedo por la/el paciente.

Te dejo un video de una rotura lineal de una rotura longitudinal del Vasto intermedio o Músculo Crural cuando al paciente se le pide una contracción…simplemente alucinante¡¡¡ (Gracias Javier)

Finally we have two comparative images of the two thighs, the pathological and the contralateral normal, however, the study in the same area of ​​the two thighs must be compared so that the reliability of the image is as high as possible. It is important to know at what moment, since the event occurs, we are, I mean, in acute breaks we will find a lot of liquid component, by the blood, in more «past» breaks, we will find more fibrosis or scar and less liquid, enter into scene the Elastography, of which we will speak later. This case is a major muscle break usually, they are smaller and located almost at the tip of the finger by the patient. I leave a video of a linear break of a longitudinal break of the Intermediate Vasto or Crural Muscle when the patient is asked to contract … simply amazing! (Thanks Javier)

Se observa una imagen lineal anecoica en la profundidad de la imagen.

Compassion for Animals.

 

 

 

 

 

87. Muslo. Cara Anterior.

Empezamos la ecografía del MMII desde el punto de vista de la ecografía muscular. Es un área extensa en la que se encuentra una serie de músculos que ocupan toda la cara anterior de todo el muslo y que se denomina como Cuadriceps Femoral.

Es importante saber donde tiene la/el paciente la lesión, porque en áreas tan extensas debemos saber donde buscar con la ecografía para dirigir el estudio.

Vamos a estudiar básicamente músculos, pero también fascias, grasa, regiones vasculonerviosas, que en el muslo circulan por la región antero- interna del muslo. El Muslo anterior, el Cuadriceps, es extensor.

Ecográficamente el músculo se ve hipoecogénico, y aún más si hacemos contracciones de este.

Las fascias, los tendones y los rafes, hiperecogénicos.

Los vasos, anecoicos.

Su técnica de exploración es fácil, pero siempre atendiendo a la profundidad del estudio, hay diferencias de grosor importantes según cada paciente. Usaremos una frecuencia, en torno a los 13-14 Mhz, que se adapte al tamaño de la región a estudio.

Buscaremos las referencias óseas pertinentes como el Fémur.

Normalmente estudiamos de proximal a distal, empezando por el plano axial. Usamos el longitudinal a nuestro antojo, eso sí, para los tendones y su inserción, siempre manda el longitudinal.

He preparado un dibujo que muestra un poco la anatomía que buscamos. Como es tan grande el área y los músculos tendremos que hacer un estudio individualizado de cada músculo.

 

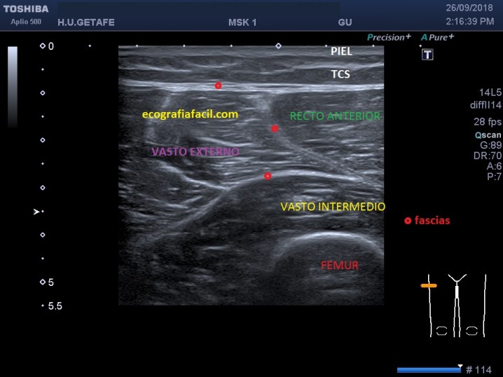
La imagen ecográfica es esta en un corte central, anterior del muslo.

Después nos movemos a ambos lados, lado interno, para Vasto interno y lado externo para Vasto externo.

En esta imagen encontramos el Rafe, línea hiperecogénica central del Recto Anterior que marcará cuanto más proximal estemos el tendón de este músculo que inserta en la cadera…Podemos usarlo de referencia anatómica.

Vasto interno
Vasto externo

Así vamos estudiando todo el muslo, hasta llegar a la inserción cuadricipital en la rótula. Como mejor veremos esto será en Longitudinal…es esta imagen…

Entre los músculo encontramos líneas hiperecogénicas de separación como las fascias.

Inserción cuadriceps

Para esta proyección vamos a pedir que los pies apoyen en la camilla y exista una flexión de la rodilla para poder realizar una extensión del cuadriceps para estudiar su inserción y así evitar la anisotropía.

Hoy perseguí un maravilloso atardecer y se me escapó…a veces las oportunidades no se dan, pero mañana seguro que hay otro…y quizá más hermoso…