Bueno, yo ya no me voy a plantear situaciones que es mejor no pensar de porqué pasan o porqué no. El caso es que el caso de hoy es un de los que más ganas tenía de subir desde hace mucho. Quería hablarte de un músculo, poco conocido, que aunque se encuentra en la articulación del codo, no es foco de estudio habitual ni desde el punto de vista de la ecografía ni el de la RMN. Es el músculo Ancóneo.
Lo más importante es conocer su anatomía, la anatomía siempre es lo que entra por los ojos, y es bella, en este caso, también, cada vez me gusta más..Mira:

El codo no es una articulación como el hombro, desde el punto de vista de la anatomía es más complejo, más estructuras, más pequeñas, accesos complicados…en fin, me parece más difícil, muy bonita también, por cierto.
En la anatomía dibujada ves el músculo ancóneo que tienes que saber ciertas cosas de el, como por ejemplo:
Tiene una forma triangular en la cara postero lateral del codo con origen en el cóndilo lateral del húmero y con inserción en el olécranon y porción próximal de cúbito, está enervado por el nervio radial común y su función principal es ayudar al tríceps en la extensión del antebrazo y estabilizando la articulación del codo.
Ecográficamente es bastante normal, no es difícil de localizar si sabes su disposición anatómica, pero la verdad, no se suele mirar. Yo te lo enseño para que lo veas:

Hipoecogénico, de disposición oblicua a l ahora de colocar el traductor, profundo, alargado, cercano a la articulación, como protegiéndola.
Pero más allá de la anécdota de un fisioterapeuta que tenía obsesión con este músculo y su localización en aquel curso, ya hace muchos años, nunca me dio quebraderos de cabeza, quizá por desconocimiento…Pero hoy te voy a hablar de otro músculo ancóneo, no habitual, cuya presencia anatómica puede predisponer a ciertas neuritis del nervio cubital ya que se dispone en el lado postero interno de la articulación, superficial al nervio cubital. Es el Músculo Ancóneo Epitroclear o accesorio.
De presentación rara, su aspecto es típico de un músculo, justo encima del canal del cubital, donde normalmente no tiene que haber nada…Mira la normalidad de la anatomía ecográfica del canal cubital:

Para localizar esta ecoarquitectura tienes que trazar una línea imaginaria entre el olécranon y la epitróclea, visible por la orografía del codo y palpables, así que no tiene pérdida. Vas a ver el nervio cubital en un corte axial. Redondo, en forma de panel de abeja, observa la parte superior de la imagen ecográfica donde no existe nada por encima del nervio, justo en esa línea imaginaria que te he pedido que uses para conseguir esta imagen…
Ahora observa la siguiente imagen y compara:

Esta semana tenía que ser…una paciente con una sospecha de neuritis del cubital. Efectivamente en el corte idéntico al de la imagen superior, puedes ver un nervio muy aumentado de tamaño, desplazado, pero justo encima de él, superior y en forma de sombrero una imagen hipoecogénica alargada, con aspecto de músculo que no debiera estar ocupando ese espacio.
Estas dos últimas imágenes que te he enseñado son absolutamente gráficas para mostrarte el caso que nos ocupa en el post de hoy.
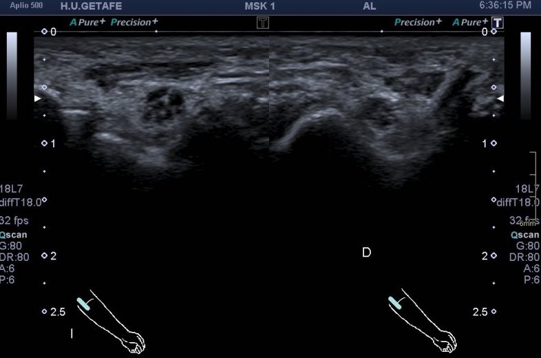
Siempre que tengas la oportunidad debes de usar el lado contralateral para salir de dudas…mira que imagen más preciosa vas a ver ahora, de ambos canales del cubital. Comparativas:

Compara ambas localizaciones, ambos nervios, como cambia el aspecto del izquierdo en comparación con el derecho y como en este, en el derecho, no existe en músculo ancóneo apitroclear. Derecho normal, izquierdo patológico.

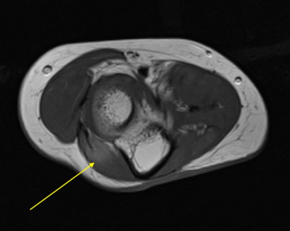
Ahora te enseño las imágenes de la resonancia; primero ancóneo normal señalado con flecha amarilla, recuerda, en el epicóndilo lateral…

Ahora el ancóneo accesorio o epitroclear, recuerda, en la epitróclea:

Uno de los estudio más bonitos que he visto, espero que te haya gustado y a partir de ahora estés super atenta a esta localización y a este tipo de patologías…

Queda muy poco tiempo para este curso super chulo en Sevilla…Te animas a venir con el mejor grupo de profes que pueda haber…con super equipos. Vas a disfrutar de la Ecografía…Vente¡¡¡¡
De todas aquellas cosas que hagas en la vida, solo serán memorables, las que te hicieron SENTIR.