Estamos acostumbrados a ver ecografía de mama, siempre mujeres. Es verdad que el porcentaje altísimo de exploraciones realizadas es a mujeres. Pero un porcentaje pequeño, es para los hombres. Ellos también padecen patología mamaria. No es infrecuente ver a hombres que acuden a su centro de salud por dolor, mamario, aumento de densidad, bultos e incluso secreción mamaria.
Normalmente el estudio de elección para este tipo de signos mamarios en hombres les la ecografía mamaria bilateral. Eventualmente la radióloga decide si se le realiza mamaografía, normalmente, medio oblicuas.
La técnica es idéntica a la que se realiza en mujeres, cortes radiales y antiradiales, exploración retroareolar, super importante en hombres y axila.
Los hallazgos variables, desde normalidad como la imagen 2 donde ves el botón mamario y nada más, a aumentos de densidad y de tejido, imagen 3, normalmente palpables, en relación con ginecomastia, o ya en niveles superiores, tumores, como la imagen 7, en el tejido mamario.
Vamos a comprobar normalidad, básico, vamos después a detallar hallazgos compatibles con ginecomastia, como aumentos del tejido retroareolar de aspecto hipoecogénico, heterogéneo. en forma de raíz de árbol, unilateral o bilateral y en este caso, no simétrico de forma habitual. Medimos, comprobamos ambos planos, y colocamos doppler para ver.
¿Qué nos tiene que llamar mucho la atención, qué nos tiene que alarmar o cuales son nuestras líneas rojas…?
Básicamente la nodularidad. Normalmente el paciente va a venir porque se nota un bulto, que de modo habitual, son cambios en relación con ginecomastias, pero lo que debemos buscar, son nódulos, como los de la imagen 7, 8 y 9. Si los encontramos, medirlo y documentarlo muy bien y comentarlo con la radióloga si la tenemos de presencia o dejarlo muy bien explicado en nuestro documento pre informe.
Mira bien las imágenes, estúdialas. ¿Las comentamos juntos?:

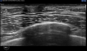
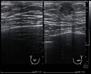
Siempre la anatomía normal. En la mujer tejido graso y tejido mamario conviven, en el hombre el tejido mamario no debe existir y tenemos que demostrar siempre la ausencia de este en el espacio retroareolar, principalmente. En la imagen 1 ves la relación de tejidos en un corte axial del pezón de la mama derecha masculina. Corresponde con la imagen número 2 ya sin anatomía.


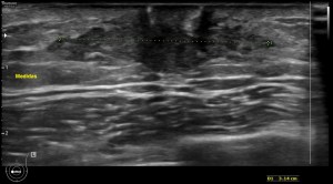
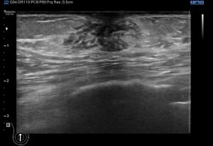
Aquí en la imagen 3 y 4 observas claramente como en el espacio retroareolar observamos una imagen hipoecogénica más larga que alta, heterogénea que está ocupando lo que normalmente debería ser espacio de grasa normal. En la imagen 4 lo que hacemos es realizar las medidas pertinentes, en los planos que consideremos oportunos.



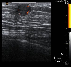
La imagen 5 y la imagen 6, sin y con doppler, para estudiar vascularización del tejido mamario patológico. No existe claro nódulo, por tanto no medimos. Por contra en la imagen 7,8 y 9 que te pongo a continuación puedes observar un claro nódulo retroareolar de la mama masculina, que tiene este aspecto semiológico:
En mama izquierda coincidiendo con la palpación del paciente, existe un nódulo retroareolar sólido de contorno irregular con vascularización redondeada que mide 11 mm.
Los ganglios axilares eran normales.
BIRADS 4C. Se cita al paciente desde servicio radiología para BAG con control ecográfico en mama izquierda.
Con resultado de AP positivo para Ca de Mama.



Se le realiza ampliación de estudio de mamografía, ambas mediolaterales. Imágenes 10 y 11:
Observamos claramente contorno nodular de la mama izquierda.


La mama masculina también alberga patología, incluso tumoral, revisa siempre la axila también en hombres. Buenas noches…


Buenas para medir grosor de pared grasa de la mamá Masculina hay algunos parámetros ??
El tejido graso aumentado con botón mamario normal, en que debería pensarse ?
Me gustaMe gusta
Que sepa yo, no…
Me gustaMe gusta