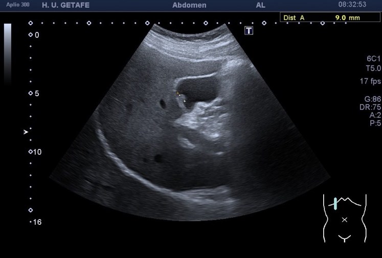
283. Pólipo vesicular. Zoom.

El pólipo vesicular es uno de los hallazgos ecográficos más comunes que tenemos en la ecografía abdominal. Para estudiar bien la vesícula debemos tener al paciente en ayunas con el fin de que la vesícula esté bien distendida, que esté plegada dificultaría notablemente la localización de este tipo de patologías.

Son estructuras redondeadas pegadas a la pared vesicular hiperecogénicas. Normalmente única, pueden aparecer en número variable lo que se conoce como una poliposis vesicular

Características semiólogicas básicas:

Los pólipos de colesterol son los más frecuentes.

Parecen masas adyacentes a la vesícula.

No presentan sombra posterior.

No se mueven al cambiar de posición al paciente.

El diagnóstico diferencial pueden ser la litiasis vesiculares, que son móviles, y que suelen dejar sombra acústica posterior.

Imágenes:

1
2
3
4
5
6
7

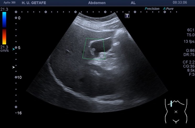
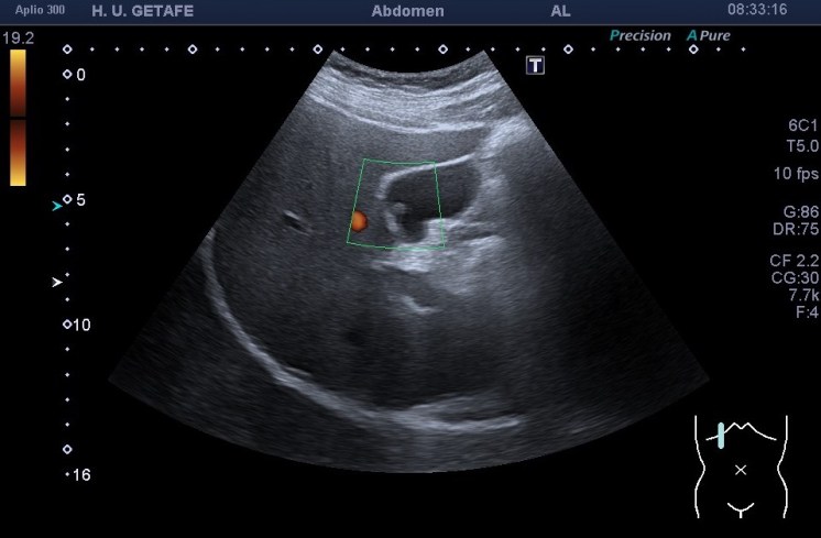
El estudio del pólipo tras su localización se realiza en dos proyecciones, variando al paciente de posición para ver si se mueve. Ponemos doppler, tanto color como modo angio, con el objetivo de demostrar un vaso en el interior del pólipo, que lo delataría como una estructura de aspecto maligno y debería ser valorado por el radiólogo y por el cirujano convenientemente. Por eso ajustar el doppler es muy importante en este caso también.

Medimos para hacer seguimiento de la lesión si se requiriese así. Aplicamos zoom para estudiarlo detalladamente, a mi me encantan las imágenes en este Canon. El Zoom es muy bueno y el estudio del pólipo gana muchísimo. Hablando del Zoom…

Como muy bien puedes observar el caso es bastante anodino, las imágenes te las he puesto y son la excusa para explicarte el uso del Zoom. Habitualmente es un ajuste ecográfico que no usamos en exceso, solo puntualmente, puede pixelar en exceso la imagen, como cuando hacemos una foto con nuestro móvil y la ampliamos con el gesto de nuestros dedos…pixelamos la imagen, perdemos resolución, pero lo nuevos equipos, ganan en esto también y con las sondas de baja frecuencia podemos conseguir imágenes muy bonitas de alguna ecoestructura pequeña y que nos interese medir bien, y este caso me resultó muy plástico y te lo quería explicar. Repasamos el concepto de pólipo vesicular y lo enlazamos con el uso del zoom.

Te animo que uses este ajuste o función del equipo para estudiar algunas estructuras pequeñas que desees ampliar aunque pierdas el detalle de aquellas estructuras que tenemos alrededor y que en ese caso no te resulten interesantes para esa foto que quiera documentar.

Día 5. Otra noche. Otro post. Otra canción.


Como dice Sidecars en Mundo Imperfecto…

Y todo llegará, si no le metes prisa al tiempo y aguantas lo que aguante el cuerpo, si esperas nunca habrá un momento perfecto…

Bailarle al silencio…

No hace falta relamer las heridas
No hace falta arrancarnos el pecho
Bienvenida al escuadrón suicida
Bienvenida a este mundo imperfecto.

 

2 comentarios sobre “283. Pólipo vesicular. Zoom.

Deja un comentario