Otra noche, la del día 4. Otro post en el silencio de la noche, mientras la vida ahí fuera sigue su curso, Madrid brilla al fondo, el Faro de Moncloa fija mi atención.
Quería subir algo de MSK, pero me he encontrado este caso que es muy bonito, no por el caso en sí, que es bastante simple, pero me vale para explicarte un signo ecográfico muy importante en las LOES, hepáticas o de otro tipo.
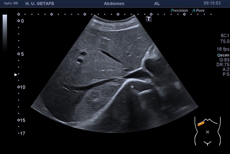
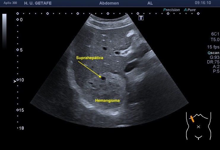
Te dejo las imágenes, estúdialas, luego las comento:





Los hemangiomas hepáticos son lesiones muy frecuentes en el estudio del protocolo de abdomen. Son ecoestructuras que alteran la normal ecoarquitectura del paréquima hepático. Hiperecogénicas, redondas u ovaladas, de brillo variable, menores de 3 cms. única o varias pueden parecer distribuidas aleatoriamente por el tejido hepático.
Bien, en el caso de hoy te presento un hemangioma atípico. Es hiperecogénico, pero su tamaño excede por tres el tamaño máximo de estas piezas patológicas ocupantes de espacio en el hígado. Está en torno a los 9 centímetros. Ligeramente heterogéneo este hemangioma es muy bonito porque rodea a una de las ramas de las suprahepáticas, como puedes ver en la imagen 1 y 2, en el corte axial se observa perfectamente.
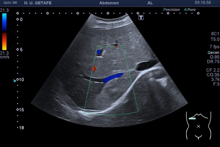
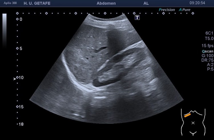
El caso en si mismo no tiene gran relevancia a no ser que la sospecha fuese que la masa que sabemos que es de un hemangioma atípico fuera de otra índole, pero ¿cómo podríamos sospechar que una LOE es maligna? Bien, hay varias maneras, hoy te quiero explicar una que estas imágenes cuentan muy bien. Cuando una lesión ocupante de espacio o LOE es de sospecha maligna, se puede reconocer por la relación que mantiene con los vasos de la región que está ocupando. En este caso puedes ver perfectamente que la LOE está coexistiendo perfectamente con la rama de la suprahepática a la que está envolviendo, abrazando, pero sin desplazarla, sin agredirla, sin infiltrarla, es decir, la está respetando. Le permite el normal flujo de la sangre a través de ella (imagen 3), no la ocluye ni la tapona y la pared del vaso está respetada. Por tanto, esta lesión que por su tamaño y aspecto podría ser sospechosa (imagen 4 y 5), se torna amable al ver que respeta al vaso que toca.
Podemos concluir, de modo general, que aquellas LOES que no respeten los vasos locoregionales en el modo antes mencionado, pueden aumentar el grado de sospecha de malignidad para el radiólogo, por eso es muy importante que estemos siempre muy atentos a estas relaciones anatómicas y las documentemos siempre muy detalladamente.
El deseo salta muros al revés…
El día que el presente ya sea historia
Y las aguas se nos calmen de una vez
Entenderás en mis silencios tantas cosas
Las que ahora escribo cuando no me ves