268. Metastasis renal en Tejido Celular Subcutáneo.

Paciente ingresado que acudió a urgencias con una gran masa en la parte posterior de la pierna, abierta a piel.

Es un tumor sólido en el tejido celular subcutáneo del tercio medio de la región posterior de la pierna izquierda.

El paciente queda ingresado a expensas de realización de pruebas. Se le diagnostica en las primeras exploraciones un tumor renal. Se pide ecografía de la masa en la pierna para filiar.

Se realiza la exploración con las pertinentes medidas higiénicas ya que la piel no existe.

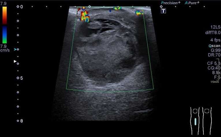
Se realiza estudio ecográfico de la «tumoración» que presenta el paciente la región postero interna de la pierna izquierda, se visualiza lesión heterogénea de 41 x 53 x 54 mm con áreas quísticas localizados sobre todo el tejido celular subcutáneo que presiona al gemelo medial, muy escasa vascularización, y áreas con sospecha de necrosis que en la ecografía se corresponden con imágenes de aspecto quístico.

Siempre es muy importante estudiar la patología en dos proyecciones, eje corto y eje largo. Medirlo y documentarlo muy muy bien. En caso de no usar pictograma, tenemos que escribir en la zona exacta donde se encuentra la lesión o la ecoestructura a estudio para que la radióloga sepa exactamente la localización.

Las partes blandas afectadas, la grasa y estructuras aledañas al tumor.

En estos casos donde la figura patológica está muy a piel, o está muy superficial es imprescindible poner una buena capa de gel entre la piel y la sonda a fin de no presionar en exceso para no deformarla y así poder perder cierta información que puede ser relevante.

Imágenes ecografía:

1
2
3
4
5

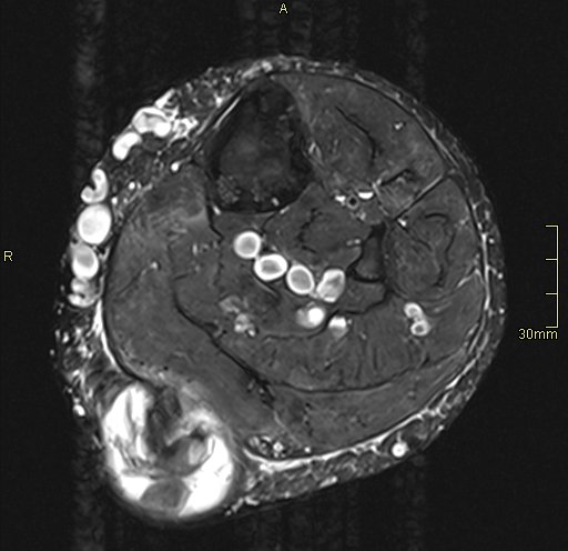
La radióloga con estos datos decide ampliar el estudio con RMN donde se observa que la lesión tiene aspecto heterogéneo con áreas hipo intensas sobre todo centrales con artefacto ferromagnético con secuencias en eco gradiente que puede sugerir la existencia de restos de hemosiderina y áreas hiperintensas sugerentes de necrosis como ves en la imagen 9.

La lesión impronta de forma importante al gemelo medial y parece infiltrar a la fascia del mismo.

6
7
8
9

Desde el punto de vista técnico y sin entrar en más detalles ya que este blog es de eco y el que escribe no da para más, te enseño cuatro cortes de RMN de la lesión estudiada posteriormente a la ecografía.

La imagen 6 te muestra un corte anatómico potenciado en T1 que nos va a mostrar relación anatómica de las estructuras. Cuando veas la imagen 7 y 8 te irás dando cuenta que la patología se muestra mucho más marcada ya que son corte axial y sagital y potenciado en un T2.

En el corte axial T2 puedes ver la gran cantidad de varices que superficialmente se observan en este corte, en formas circulares de distintos tamaños.

Puedes ver el comportamiento de la lesión en ambas potenciaciones y en al menos dos cortes ortogonales.

En este caso no hacía falta marcar la lesión.

La sospecha fue de Metástasis del Tumor Renal primario, sin poder descartarse otras figuras patológicas tumorales.

Otro Post, hay días que cuesta, pero salen los post, otras veces todo fluye, como hoy. Es como componer, como si fuera un Rock Star. Hoy quiero darte las gracias por estar ahí siempre, por apoyarme incondicionalmente allá donde estés leyendo esto, es impagable. Esta canción es para ti.


Sevilla y Tenerife…vente, tenemos un superequipazo de TSID Especialista en Ecografía, con unas ganas locas de enseñarte. Toda la info en los códigos QR.


Maldita Dulzura

4 comentarios sobre “268. Metastasis renal en Tejido Celular Subcutáneo.

Deja un comentario