Dentro de los estudios del abdomen estudiamos siempre la vía biliar intra y extrahepática, lo he contado en Post anteriores y está más que revisado. El caso de hoy es distinto. Dentro de un estudio de abdomen exploramos la región de la vía biliar con el objeto de localizar y certificar el posicionamiento no migrado de una endoprotesis biliar.
El paciente, diagnosticado de un tumor avanzado en hígado era portador de uno de estos stents que se colocan de forma endoscópica en la sala de vascular de radiología para paliar efectos adversos de aquellos problemas devenidos por el progreso de la enfermedad tumoral que pueda estar ocluyendo el normal paso de la bilis de la vesícula al intestino.
Cuando esto pasa el paciente puede presentar ictericia, pero el caso es que el paciente la presentaba después de haber sido intervenido y posterior a la colocación de dicha prótesis.
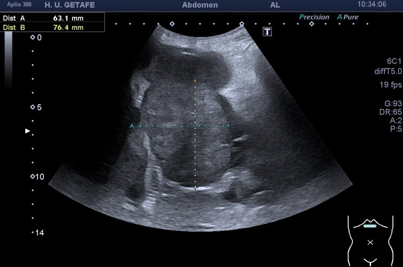
El estudio certificó que el Stent estaba bien posicionado y que el avance de la enfermedad mostraba una gran masa sólida hepática que sería la responsable de la nueva aparición de la ictericia.
Te enseño imágenes:





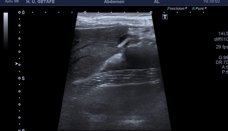
La endoprótesis se observa como una ecoarquitectura hiperecogénica con un entramado típico de los stents que se colocan en otras localizaciones cardiacas o aórticas. Se puede observa el aspecto rejilla típico, rodeado de una estructura hiperecogénica que es el cuerpo de la malla y que combate el aumento de la presión producida por el crecimiento de la masa tumoral.
Con la sonda de alta frecuencia y en determinados pacientes puede ver esta estructura metálica de una manera más definida con más detalle.
Observa y controla siempre la anatomía de la zona.
Espero que te haya gustado este breve post de domingo por la tarde. Caluroso, pero que me encanta.
