Están siendo días muy difíciles, pero vamos a aprovechar que hoy es hoy y podemos sentarnos aquí a explicarte este caso que tenía guardado.
En el caso de esta semana toca revisar un caso de los no habituales, que es muy importante ya que es una patología que afecta a una de las ecoestructuras que más pasan desapercibidas en una exploración en el protocolo de abdomen. Son las vesículas seminales.
La ecoarquitectura no es visible en todos los estudios, de modo habitual, lo normal es que no se vean. Pero en ocasiones y por motivos fisiológicos evidentes, éstas se objetivan perfectamente como dos ecoestructuras más o menos ovaladas a ambos lados de la parte posterior de la vejiga. En función de su repleción estas vesículas se verán más o menos, repito, cuando se vean.

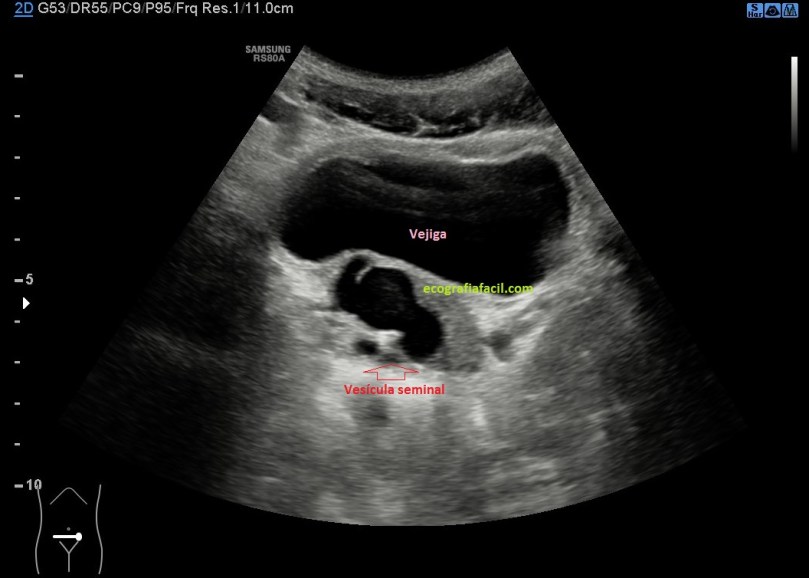
Es importante que conozcas la normalidad, para eso te muestro la imagen 1, para que te sirva como referencia. No es una imagen de una calidad extraordinaria, solo la hice para mostrar que la ecoestructura era visible y que era rigurosamente normal.
En el estudio que nos interesa hoy está enmarcado en el contexto de una ecografía abdominal, voy a obviar la parte que corresponde a piso superior, y te pido que te concentres en la exploración del aparato urinario que empieza en fosa renal derecha, ¿vale?…
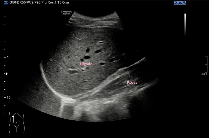
Bueno pues al explorar el lugar donde habitualmente encontramos en riñón derecho, encontré la imagen 2. Compara con la 2a. El paciente mostraba una fosa renal derecha vacía, donde el hígado y el psoas aparecían con semiología normal, pero donde clarísimamente faltaba el riñón. En estos casos hay que pensar en varias causas:
- Cirugía previa renal.
- Patología previa que explicase esta ausencia
- Una disposición anómala del órgano, por ejemplo un riñón pélvico.


Resolvemos al final y sigo con la explicación haciéndonos a la idea de que era la primera exploración de este paciente…Es evidente que en la imagen 2 observamos que falta el riñón y me aseguré de que no se encontraba ectópico, simplemente, certifiqué su ausencia dentro de toda la cavidad abdominal.
Me dirigí a la fosa renal izquierda, exploré el riñón locoregional, imagen 3, de tamaño normal, en ocasiones los riñones aumentan su tamaño en el contexto de la ausencia del otro riñón, ya que cuando tenemos ausencia de uno de los dos riñones en determinadas circunstancias, el contralateral compensa la función del que no funciona bien, y lo hace hipertrofiándose.

Bajo a la pelvis, a estudiar la vejiga, normal, anecoica, pero observo rápidamente una imagen anecoica, tortuosa, en la parte posterior derecha de la vejiga. Tiene aspecto quístico, con buen refuerzo posterior, bordes lisos, pero tortuosos.
Posterior y más centrada, la próstata, semiológicamente normal.
El quiste está en el teórico lugar de la vesícula seminal derecha, su contralateral permanecía normal.
Con la imagen lo vas a entender mucho mejor:

La imagen 4 es de semiología no normal, compara con la imagen 1 y verás como es absolutamente diferente.
Se observa una ecoestructura anecoica, con ligero contenido interno, pero globalmente anecogénica. Bordes lisos y bien definidos, algo tubular.

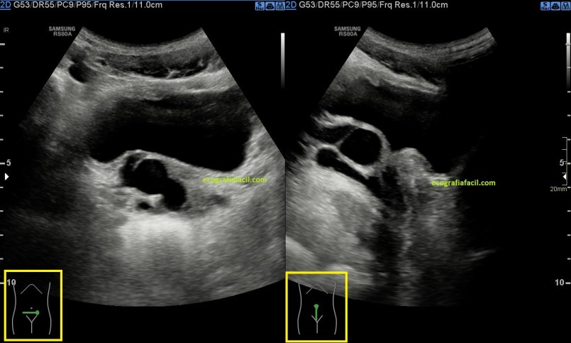
En la imagen 5 observa el estudio en ambos planos, tranverso y longitudinal de la vesícula seminal derecha y como la disposición ecoarquitectural se modifica sustancialmente en ambos planos, manteniendo semiología. Observa el pictograma.

La imagen 6 explica el comportamiento de la ecoarquitectura con doppler. La estructura se comporta avascular.
Con estos datos de ausencia renal derecha, el paciente sufre una ausencia del riñón derecho (displásico involucionado) una vez se revisó su historial clínico y además la lesión quística tortuosa en la vesícula derecha el radiólogo sospechó un Síndrome de Zinner, que te enlazo en el siguiente párrafo para que conozcas más y comprendas globalmente el estudio.
El Síndrome de Zinner se sospecha cuando aparece dilatación quística unilateral de la vesícula seminal y ausencia del riñón ipsilateral, producido por una alteración congénita de los conductos de Wolff.
Si quieres adquirir el libro Eco Fácil de la Editorial Marbán escrito por mi, te enlazo aquí.
Contenido del libro para que lo puedas ojear si lo deseas.
Puedes visitar marbanlibros.com para más info.
Papi, adelante, tu puedes…Te quiero con el Alma.
Muy bueno me encanto gracias
Me gustaMe gusta
Gracias Dra.Pérez, un placer.
Me gustaMe gusta
Gracias
Me gustaMe gusta
Excelente
Me gustaMe gusta
Mil gracias¡¡¡
Me gustaMe gusta
Muchas gracias por el contenido, es brutal!! Y para aprendices como yo nos viene de maravilla
Pero lo dicho, como buen aprendiz me surgen dudas
Tras leer tu post y el articulo enlazado del Síndrome de Zinner una de mis dudas es si este síndrome esta asociado a la potogia en referencia a las vesiculas seminales?? Si el riñón que falta es importante saber porque falta y por lo tanto tendría relación con ese diferente tamaño de las vesiculas?? y si se puede observar este síndrome aun teniendo ambos riñones?
Muchas gracias de nuevo
JL
Me gustaMe gusta
No le puedo responder por falta de conocimiento en este aspecto, le invito a investigar y poder desentrañar esta duda.
Me gustaMe gusta
cada día se aprende mas contigo gracias. me gustaría saber cual es el manejo urológico y me pregunto si hay problemas eyaculatorios en los pacientes
Me gustaMe gusta