Esta semana subí una imagen a las stories de Instagram donde podíamos ver dos lesiones mamarias, dos nódulos, uno anecoico y otro hiperecogénico. Os pregunté qué veíais en la imagen, con dos opciones para contestar, la primera opción era que podían ser dos quistes, verdadera, y la segunda opción, un nódulo sólido y un quiste, la mayoría de las respuestas, por encima del 90%, escogisteis un nódulo sólido y otro quístico. Image 1.
Sabía que os iba a llevar al huerto esa foto, era difícil, en una sola foto podía ocasionar la duda más que razonable que el nódulo hiperecogénico fuera sólido, pero realmente, los dos nódulos eran quistes.
El anecoico no generaba dudas. El otro, todas. Y la pregunta que muchas me hicisteis era que cómo podía ser un quiste el nódulo hiperecogénico. Este post es aclaratorio y con las fotos lo vais a entender.
Ese nódulo de aspecto redondo, hiperecogénico de bordes definidos y buena transmisión es lo que en argot ecográfico de la mama llamamos quiste viejo. Te cuento… Los quistes sabemos que son estructuras más o menos ovaladas, bien definidas que transmiten muy bien, de borde bien definidos y lisos y anecoicas con refuerzo posterior.

Son quistes que cuando se extraen por PAAF lo que extraen las radiólogas suele ser una sustancia serosa, líquida, del color de un café muy aguado, son los típicos quistes mamarios…¿qué pasa? En ocasiones, con el paso del tiempo, estos quistes pueden modificar su aspecto interno y ecográfico, cambiando a una sustancia mucho más grasa y que cuando se evacúan tiene una aspecto mucho más denso, pastoso, muy graso, de color crema, siempre y cuando sea un quiste no complicado con pus o sangre u otras…esto es lo que conocemos «quistes viejos», y esto es justamente lo que le pasó a ese nódulo quístico de aspecto ecogénico, que era un quiste que había cambiado su aspecto.
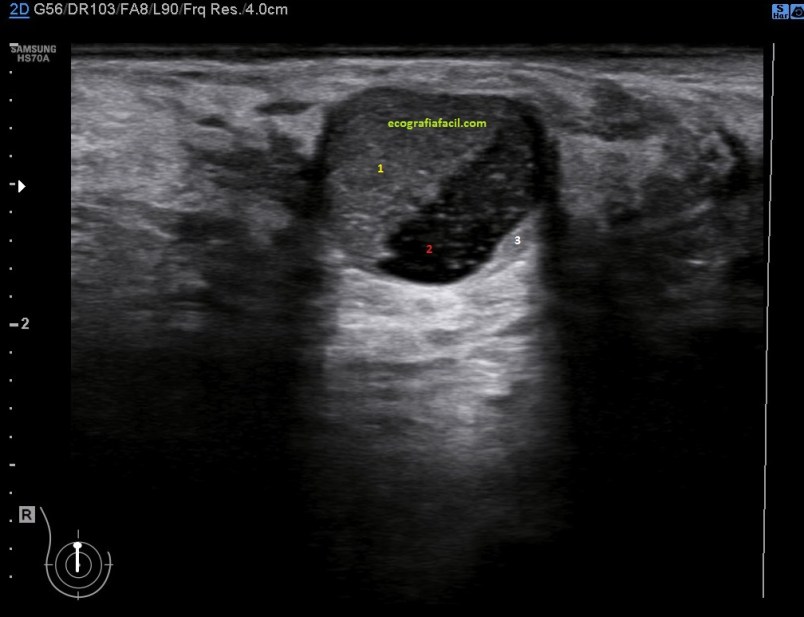
Cambian su aspecto de este modo, normalmente son anecoicos siempre, luego empiezan a cambiar hasta que son mitad anecoicos, mitad ecogénicos, como la imagen 2 y luego son totalmente ecogénicos como el quiste ecogénico de la foto 1.

En esta imagen 2 ves un nódulo quístico, mitad ecogénico marcado con un 1 en amarillo y mitad anecoico marcado con un 2 en rojo.
La radióloga puede tener dudas en algunas exploraciones, si por ejemplo es la primera exploración que se realiza la paciente apareciese este tipo de lesiones, entonces determinará ampliar con un estudio mediante intervencionismo o bien con control ecográfico, en este caso, no hizo falta pinchar el nódulo, vimos a ese quiste envejecer durante los controles que la paciente se realizaba regularmente y vimos cómo cambió de anecoico a hiperecogénico paulatina y lentamente año tras año, control tras control, primero siendo anecoico, luego parcialmente ecogénico y finalemente ecogénico por completo, siempre del mismo tamaño y colocado en la misma posición, por eso, en este caso no requirió análisis de Anatomía Patológica.
Siempre muy atentos al contenido del quiste, algunos pueden tener polo sólido, entonces seguro que la clasificación Birads cambia y el manejo que haga la radióloga de dicho nódulo, también.
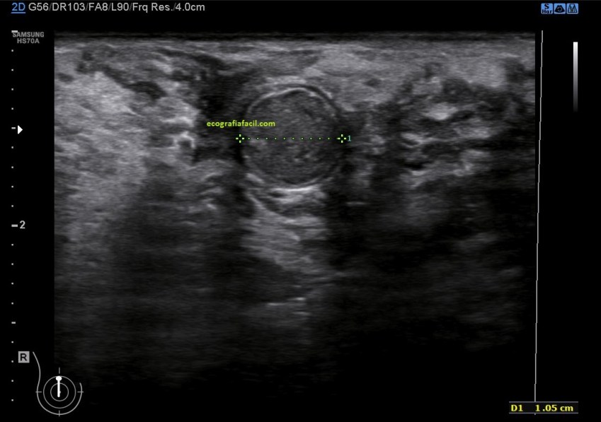
La mayoría de los quistes suelen ser como los descritos anteriormente, anecoicos, bordes lisos, ovalados, con refuerzo posterior,imagen 3,pero hay muchos tipos, te enseño algunos…»preciosos», mira:


En esta imagen 4 ves un quiste complicando con 3 diferentes tipos de densidades, marcadas por números siendo todas densidades agua diferentes, que se modifican con el movimiento de la mama modificando los diferentes tipos de niveles hidro-hidro.
Finalmente en la imagen 5, un quiste oleoso, calcificado en forma de cáscara de huevo, perfectamente circular, con excelente transmisión de sonido, muy bien definido.

En conclusión, los quistes no suelen ser todos anecoicos, máxime cuando son numerosos, en ocasiones podemos encontrar con mamas repletas de nódulos quísticos, superando la cincuentena, hay que explorarlos todos y documentarlos, sobre todos aquellos que no sean anecoicos.
150. Índice.
Be kind to all kinds. Feliz día Mundial de los Animales.