Esta calurosa madrugada te cuento en este Post un raro artefacto ecográfico que podemos toparnos y que esta semana he tenido la «suerte» de encontrarme. Te pongo 2 vídeos, artefactado y de normalidad y dos imágenes, para que puedas observarlo todo en conjunto.Te cuento el motivo de dicho efecto nocivo durante el Post. Nos va a servir este Post de repaso del Post dedicado a los artefactos buenos y artefactos malos que te conté ya hace mucho…
This hot morning I tell you in this Post a rare ecographic device that we can come across and that this week I had the «luck» to meet. I put 2 videos, artefacted and normal and two images, so you can observe everything together. I tell you the reason for this harmful effect during the Post. We are going to serve this post of review of the Post dedicated to the good artifacts and bad artifacts that I told you a long time ago …


Ves dos vídeos, idénticos, el mismo corte, la misma sonda, cambian ligeramente los parámetros, no lo suficiente para que en el vídeo dos, anule el artefacto. En el vídeo uno, marcado por la flecha naranja, en la parte más profunda de la imagen, tenemos un artefacto de imagen en forma de barras verticales hiperecogénicas, móviles.
En el vídeo número 2, no existe tal artefacto.
Explicación: Llevábamos observando este artefacto tiempo atrás.Pensamos que la sonda estaba rota, pero esta hipótesis dejó de ser útil cuando observamos que el artefacto se veía en todas las sondas disponibles del equipo.Contactamos con el servicio técnico de Canon y el especialista nos contó que es un artefacto de electricidad producido por las interferencias provocadas por la toma de electricidad (enchufe) donde el equipo está enchufado a la corriente eléctrica ya que en esta misma línea de corriente otros dispositivos eléctricos están conectados, siendo específicamente responsables, los LED que iluminan las estancias. Es decir, que aquellas tomas de corriente que sirvan electricidad a dispositivos eléctricos como LEDs pueden provocar este artefacto si nuestro equipo está conectado en esa misma línea.Vídeo 1.
Solución: Enchufar nuestro equipo a un enchufe «libre» de LEDs.Y así resolvimos el problema.Vídeo 2.
Aclaración: Este artefacto no se produce siempre, depende de la calidad de los LEDs y su aislante, es decir, si el LED está suficientemente aislado de fábrica, no tendremos este problema.
You see two videos, identical, the same cut, the same probe, slightly change the parameters, not enough so that in video number two, cancel the artifact. In video number one, marked by the orange arrow, in the deepest part of the image, we have an image artifact in the form of hyperechogenic, mobile vertical bars.
In video number 2, there is no such artifact.
Explanation: We had been observing this artifact long ago. We thought that the probe was broken, but this hypothesis stopped being useful when we observed that the device was visible in all the available probes of the equipment. We contacted the Canon technical service and the specialist told us about it which is an electrical device produced by the interference caused by the electrical outlet (socket) where the equipment is plugged into the electric current since in this same line of current other electrical devices are connected, being specifically responsible, the LEDs that illuminate the rooms. That is, those sockets that serve electricity to electrical devices such as LEDs can cause this device if our equipment is connected on that same line. Video 1.
Solution: Plug our equipment into a «free» LED socket. And so we solved the problem. Video 2.
Clarification: This device does not always occur, it depends on the quality of the LEDs and their insulation, that is, if the LED is sufficiently isolated from the factory, we will not have this problem.
Este artefacto interviene directamente en la calidad de la imagen, degradando la imagen final y por tanto dificultando en algunos casos el diagnóstico.
This artifact intervenes directly in the quality of the image, degrading the final image and therefore making diagnosis difficult in some cases.
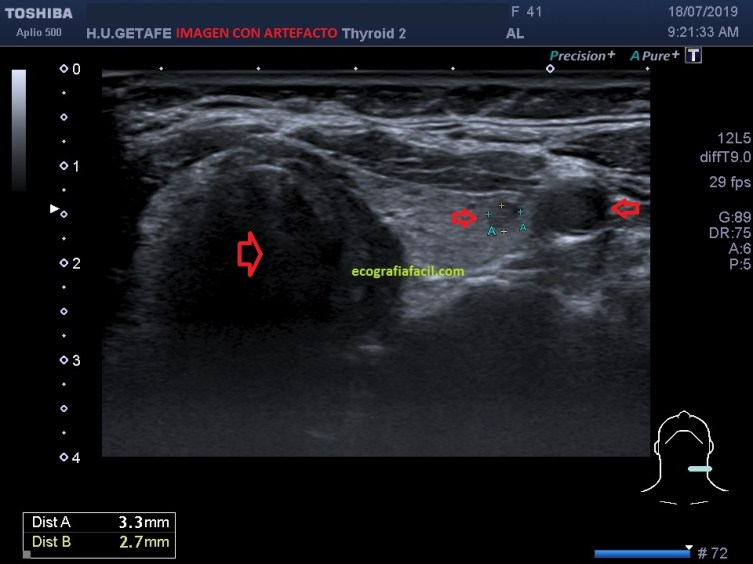
¿Pero cómo este artefacto degrada la imagen?, como una imagen vale más que mil palabras, te pongo dos imágenes de un corte del lóbulo tiroideo izquierdo, donde encontramos un nódulo pequeño. Observa y sobre todo presta atención a las flechas rojas.Son zonas de conflicto.


De los puntos de conflicto, principalmente, notamos el artefacto en dos, el nódulo y la arteria carótida izquierda, «manchada», más ecogénica de lo normal, (fig 1) cuando debería verse anecoica como en la figura 2. Sí, lo sé es muy sutil, pero es importante que la degradación de la imagen por pequeña que sea puede variar la fiabilidad diagnóstica, en este caso el nódulo de la figura 1 es menos nítido que el de la figura 2.
Of the points of conflict, mainly, we noticed the artifact in two, the nodule and the left carotid artery, «stained», more echogenic than normal, (fig1) when it should look anechoic as in figure 2. Yes, I know it is very subtle, but it is important that the degradation of the image however small can vary the diagnostic reliability, in this case the nodule of figure 1 is less clear than that of figure 2.
PD: Si alguien me lee desde la playa, que se dé un chapuzón por mi…
Oh verano
abundante,
carro
de
manzanas
maduras,
boca
de fresa
en la verdura, labios
de ciruela salvaje,
caminos
de suave polvo
encima del polvo,
mediodía,
tambor
de cobre rojo,
y en la tarde
descansa
el fuego,
el aire
hace bailar
el trébol, entra
en la usina desierta,
sube
una estrella
fresca
por el cielo
sombrío,
crepita
sin quemarse
la noche
del verano
Oda al Verano,(poema incompleto)…Pablo Neruda
Hola, quisiera contar un par de cosillas sobre la interferencia de dispositivos con alimentación por la red eléctrica:
la interferencia de las luces de LED sobre otros equipos se debe a la poca calidad de la fuente de alimentación conmutada existente dentro del propio foco LED. Esos circuitos, si no están bien hechos (y a veces incluso estándolo), son una fuente de problemas. He visto artefactos en imágenes de resonancia magnética por haberlos instalado en la sala del imán. En aquel hospital volvieron a las bombillas tradicionales (a ver cómo se las apañan cuando se les acabe el stock, porque ya no se fabrican). Cosas como esa hacen que un foco LED de OSRAM, por ejemplo, valga bastante más que el de marca blanca de una ferretería.
Por otro lado, a los señores de Canon habría que decirles que mejoren la capacidad de filtrado de sus fuentes de alimentación, que es también conmutada, porque este problema se va a dar ada vez más a menudo. Si el ecógrafo que usas tiene unos cuantos años, su fuente de alimentación no está diseñada para filtrar esos rizados de alta frecuencia porque la popularidad de las luces LED es algo bastante reciente. Ya nadie usa el viejo sistema de transformador-puente recitificador-conensador de filtrado (unos electrólíticos que podrían llegar a abultar como una lata grande de tomate, ¡y a veces montaban varios en paralelo!): eran voluminosos, caros, poco flexibles, pesadísimos… pero eran sólidos, fiables, más simples que el mecanismo de una cuchara (lo que aporta las dos ventajas anteriores) y a nivel filtrado eran bastante eficaces. En el diseño de circuitos hay que tomar decisiones y primar unos u otros objetivos, no es habitual conseguirlo todo. Ahora se lleva lo ligero, por ejemplo. ¿Alguien admitiría ahora que el cargador del portátil pesase dos o tres kilos, o el del teléfono móvil medio kilo?
Y volviendo a tu blog, tienes un repositorio de información francamente interesante. ¡Sigue así!
Un abrazo,
Roberto Alberdi
Me gustaLe gusta a 1 persona
Excelente aporte Roberto, estoy tremendamente agradecido por tu información,mil gracias.
Me gustaLe gusta a 1 persona