En el 262 os mostraba un quiste hidatídico hepático, lo puedes ver aquí.
Este post es continuación del 262.
Hoy estoy muy orgulloso de presentaros este caso. Las fotos son de Sandra, una alumna TSID que coqueteaba con la ecografía en tierras cálidas del sur, mucho talento, muchas ganas, tuvo su oportunidad hoy se acuerda de mi y me manda estas fotos:







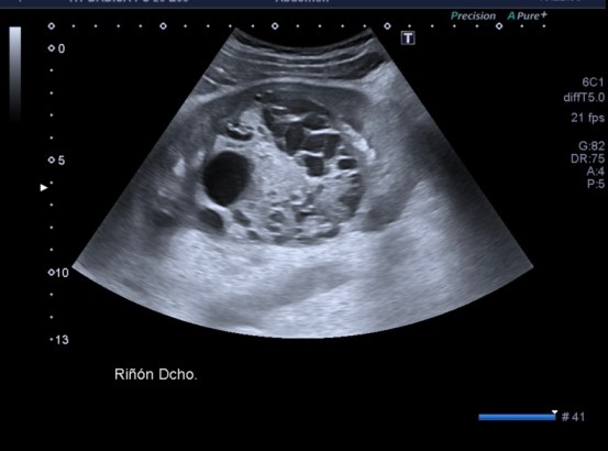
Lesión heterogénea, en el meso-riñón derecho, redonda, típica de quiste hidatídico.
Después de ver esta maravilla de imágenes, habiendo repasado el post 262 donde te explico las claves del quiste hidatídico, no tengo nada más que decir. Las imágenes hablan por si mismas. Perfectas, con una calidad increíble, el equipo increíble, bien ajustado, los parámetros adecuados, es un estudio perfecto, Sandra…yo lo sabía y te lo decía y estoy orgulloso, muy orgulloso de hacer esto que estoy haciendo ahora, en el día 2.
Gracias Sandra.
Un quiste hidatídico renal, maravilloso.