En este breve post del primer día quiero mostrarte hallazgos típicos en pacientes con hepatopatía crónica, este paciente, tenía muchos de ellos…paso a contártelo. Normalmente el desarrollo es Normalidad, hígado graso, hepatitis alcohólica y cirrosis.
Cirrosis:




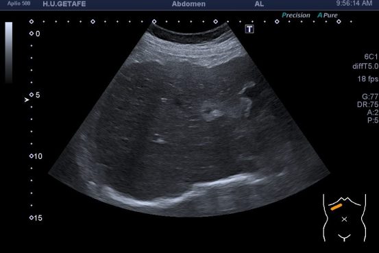
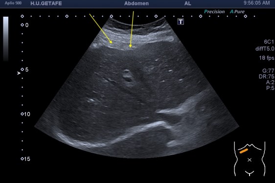
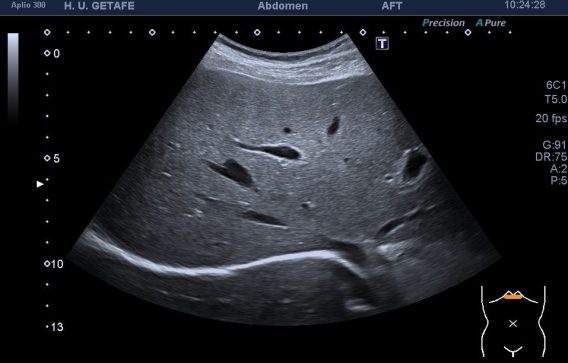
De la imagen 1 a 3 ves un hígado afectado por una cirrosis hepática. En ella vas a ver un tejido anormalmente heterogéneo, parcheado en ocasiones, como con «grumos», a veces muy pequeños, otras veces más grandes. Son los nódulos de regeneración. Cuando las células del tejido hepático se mueren son sustituidas por tejido cicatricial. Puedes ver el borde hepático abombado. Los cambios en la ecogenicidad son variados, te he decimos algunos, no me interesa contarte esto, me interesa que compares la imagen 1,2 y 3 con la imagen 4 y veas patología y normalidad del parénquima hepático. Muchas veces una imagen vale más que mil palabras, lo sé…
Líquido perivesicular:


En el mismo paciente, vas a ver dos vesículas, la de la imagen 5 con la pared tremendamente aumentada de tamaño, edematosa, se observa perfecta 5, 7 y 8, cortes longitudinales y axiales de la vesícula, con la pared muy gruesa hiperecogénica. Tiene líquido peri vesicular, el edema es eso, líquido, quizá en relación con la hepatopatía crónica que padece…lo mismo, aunque muy visual, no me interesa hablarte de patología, pero si que quiero que compares imagen 5 y 6 y veas en el mismo corte longitudinal, patología y normalidad…Otra vez, la imagen nos dice todo.


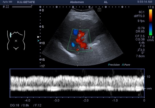
Vascularización portal afectada:

En la imagen 9 quiero que te fijes como el valor de la medida realizada sobre la vena porta estudiada desde transcostal, es demasiado baja para la lectura que habitualmente debe tener dicho vaso, aunque el flujo esté conservado, la medida es importante, podemos reconocer patología en la medida aunque en la imagen la vascularización parezca normal.
Esplenomegalia:


Finalmente, la imagen 11 y 12 donde puedes ver como la afectación del bazo existe, reflejada en un aumento de tamaño muy importante, casi llega a 20 centímetros. La esplenomegalia es muy habitual verla en estos estudios de hepatopatías, también en paciente con pacientes que han sufrido infección por VIH, monocucleosis, etc…En el adulto, por encima de 13 cms, consideramos que el bazo está grande. En el de imagen 11 vemos que está grande y además abollonado, comparativamente con la imagen 12, de normalidad.
El paciente poseía todos estos hallazgos en su exploración abdominal en relación con una hepatopatía crónica producida por ingesta masiva y continuada de alcohol.
Muy claro y explicativo, como siempre. Muchísimas gracias.
Me gustaMe gusta
en esas imágenes tu no mencionaste la ascitis que es parte del diagnostico de cirrosis.
Me gustaMe gusta