Es una afección en la cual la vena ilíaca izquierda en la pelvis se comprime por la arteria ilíaca derecha que pasa justo por encima de ella. Aumenta considerablemente el riesgo de trombosis venosa profunda (TVP) en la pierna izquierda.
La solución, para explicarlo en pocas palabras es poner un stent en la vena iliaca izquierda con el fin de contrarrestar los efectos adversos que la compresión de la misma podría producir, en ocasiones leves, en otras bastante graves.
Lo que ves en estas imágenes que te voy a poner aquí son los hallazgos ecográficosque he podido visualizar hoy. Los voy a complementar con la correlación con las imágenes de TAC. En este caso específico con la eco solo se pudo corroborar los hallazgos del escáner, que a nivel anatómico arroja un mejor desarrollo de la anatomía regional implicada en el proceso.

2
3
5
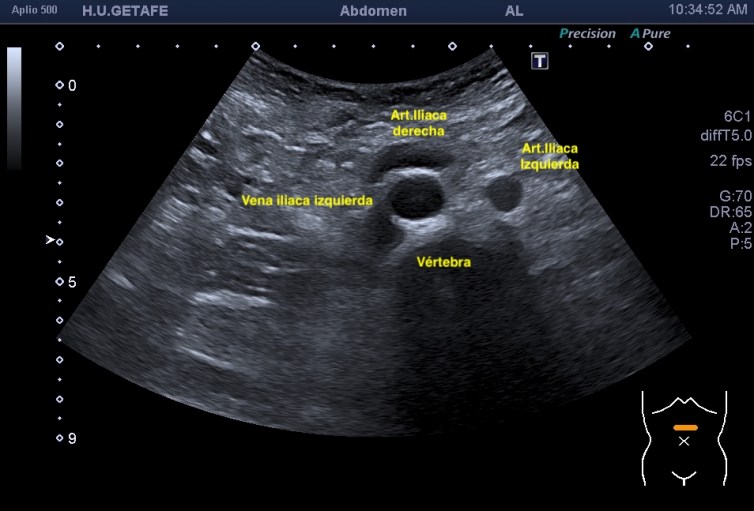
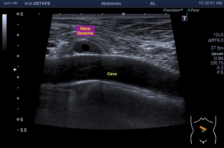
6En el corte longitudinal de la imagen 1 ya se ve una vaso perimetrado por una imagen hiperecogénica, no compresible a la presión con la sonda convexa. En la imagen 2 con la sonda lineal se observa el enrejado habitual de los stents, que en otras ocasiones ya hemos comentado en otro post en localización distinta.
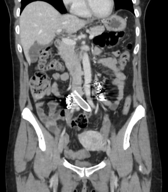
En el corte axial de las imágenes 3 y 4 puedes ver la anatomía radiológica implicada. La relación es perfecta, y completamente explicativa de la situación resulta mediante el tratamiento quirúrgico. En ella la Arteria iliaca derecha para justo por encima de la Vena iliaca Izquierda con la capacidad de poder comprimirla.
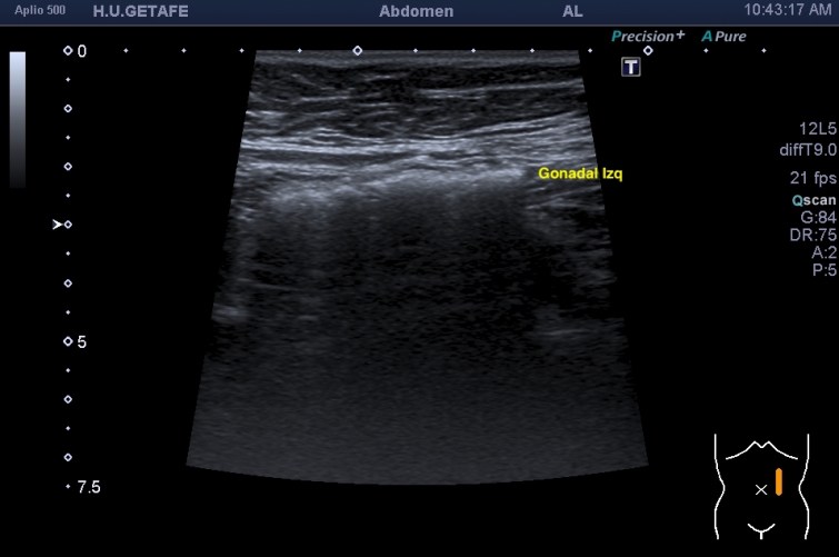
Finalmente, imagen 5 y 6 que te enseñan el tratamiento aplicado a las gonadales de forma bilateral, embolizadas con material hiperecogénico en su interior que en la reconstrucción coronal del CT se objetiva como una imagen bilateral brillante lateral a los grandes vasos.
Este breve post de este caso que me he encontrado en este lunes post curso de ecografía organizado por SETSS en Sevilla. No quiero dejar de dar las gracias al elenco de profesores que forman este equipo, me siento respaldado, apoyado, arropado y querido por ellas y por ellos. Es imposible si no están. Son enormes TSIDs Especialistas en Ecografía, les encanta coger la mano del alumnado y guiarles en sus primeros pasos en este mundo y lo hacen mejor que nadie. Son profesionales increíbles y además son mis amigas y amigos y les quiero, mucho. El próximo curso en Tenerife y en después León.

La info en el QR.
Hasta el final, como si no hubiera un mañana, dando lo mejor, disfrutando y sintiendo…no importa nada más en esta…locura.